About   Help   FAQ
Gene Expression Data
Assay Details
Assay
Reference: J:122989 Visel A, et al., GenePaint.org: an atlas of gene expression patterns in the mouse embryo. Nucleic Acids Res. 2004 Jan 1;32(Database issue):D552-6
Assay type: RNA in situ
MGI Accession ID: MGI:5423754
Gene symbol: Ptgs1
Gene name: prostaglandin-endoperoxide synthase 1
Probe: ES733 probe 720
Probe preparation: Antisense labelled with digoxigenin RNA
Visualized with: Alkaline phosphatase
Assay notes: Cryosections of fresh frozen material were fixed in 4% paraformaldehyde for 20 min. before further processing. A tyramide-biotin/streptavidin amplification step was included in the in situ hybridization procedure. These data were downloaded from GenePaint.org on 1/30/12.
Results
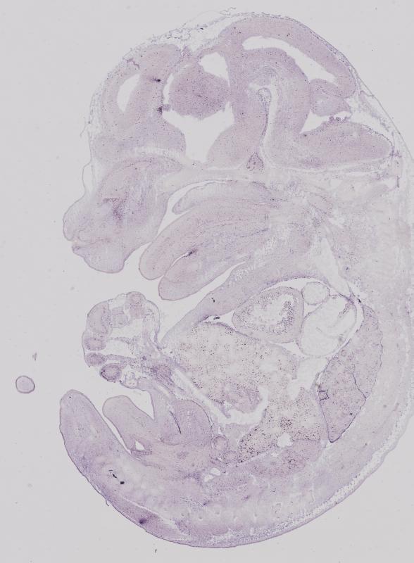
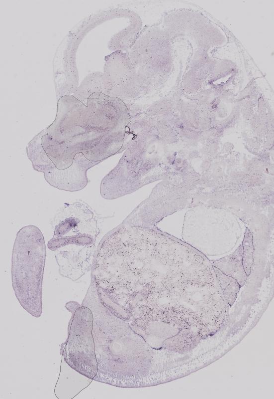
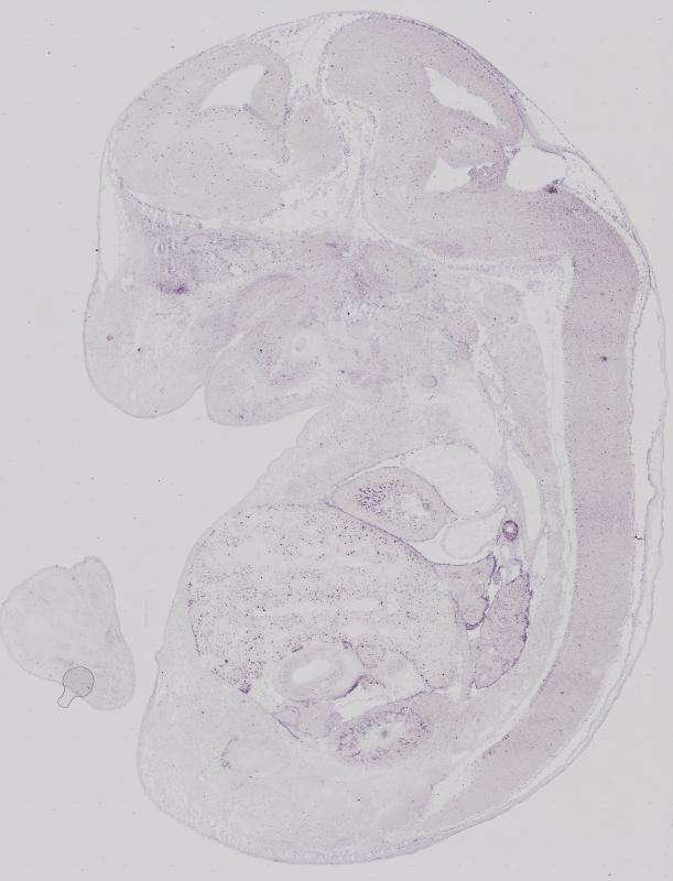
Specimen ES733; Specimen S318: embryonic day 14.5 (more )
Structure Level Pattern Image Note
TS22: nervous system Strong Regionally restricted Embryo_S318_1_3B
TS22: central nervous system Moderate Regionally restricted Embryo_S318_1_4A
TS22: telencephalon Moderate Regionally restricted Embryo_S318_1_4A
TS22: cerebral cortex Moderate Regionally restricted Embryo_S318_1_4A
TS22: neocortex Moderate Scattered Embryo_S318_1_4A
TS22: olfactory cortex Weak Regionally restricted Embryo_S318_1_2D
TS22: main olfactory bulb Absent
TS22: piriform cortex Weak Scattered Embryo_S318_1_2D
TS22: hippocampus Moderate Scattered Embryo_S318_1_4A
TS22: basal ganglia Moderate Scattered Embryo_S318_1_2C
TS22: corpus striatum Moderate Scattered Embryo_S318_1_2C Expression was detected in the corpus striatum (lateral ganglionic eminence).
TS22: basal forebrain Weak Scattered Embryo_S318_1_4A
TS22: amygdala Moderate Scattered Embryo_S318_1_2C
TS22: telencephalon septum Moderate Scattered Embryo_S318_1_4A
TS22: pallidum Moderate Scattered Embryo_S318_1_5B Expression was detected in the pallidum (medial ganglionic eminence).
TS22: diencephalon Moderate Scattered Embryo_S318_1_3C
TS22: thalamus Moderate Scattered Embryo_S318_1_4A
TS22: hypothalamus Moderate Scattered Embryo_S318_1_3C
TS22: midbrain Moderate Scattered Embryo_S318_1_3C
TS22: pretectum Weak Scattered Embryo_S318_1_3C
TS22: superior colliculus Weak Scattered Embryo_S318_1_3C
TS22: inferior colliculus Weak Scattered Embryo_S318_1_3C
TS22: midbrain tegmentum Moderate Scattered Embryo_S318_1_3C
TS22: hindbrain Moderate Regionally restricted Embryo_S318_1_4A
TS22: cerebellum Moderate Scattered Embryo_S318_1_4A
TS22: pons Moderate Scattered Embryo_S318_1_4A
TS22: medulla oblongata Moderate Regionally restricted Embryo_S318_1_3A
TS22: spinal cord Moderate Regionally restricted Embryo_S318_1_3A
TS22: choroid plexus Moderate Regionally restricted Embryo_S318_1_3B
TS22: meninges Absent
TS22: peripheral nervous system Absent
TS22: cranial ganglion Absent
TS22: dorsal root ganglion Absent
TS22: eye Strong Regionally restricted Embryo_S318_1_2B
TS22: retina Weak Scattered Embryo_S318_1_1C
TS22: lens Weak Regionally restricted Embryo_S318_1_1C
TS22: cornea Strong Regionally restricted Embryo_S318_1_2B
TS22: optic nerve Absent
TS22: nose Strong Regionally restricted Embryo_S318_1_3B
TS22: olfactory epithelium Strong Regionally restricted Embryo_S318_1_3B
TS22: ear Strong Regionally restricted Embryo_S318_1_1D
TS22: inner ear Strong Regionally restricted Embryo_S318_1_1D
TS22: cochlea Absent
TS22: inner ear labyrinth Strong Regionally restricted Embryo_S318_1_1D
TS22: middle ear Weak Regionally restricted Embryo_S318_1_1A
TS22: alimentary system Strong Regionally restricted Embryo_S318_1_4A Expression was strong in the digestive system.
TS22: intestine Strong Regionally restricted Embryo_S318_1_4A
TS22: salivary gland Weak Regionally restricted Embryo_S318_1_5A
TS22: tongue Moderate Scattered Embryo_S318_1_4A
TS22: tooth Absent
TS22: palatal shelf Absent
TS22: esophagus Absent
TS22: stomach Moderate Regionally restricted Embryo_S318_1_1B
TS22: liver Strong Scattered Embryo_S318_1_4A
TS22: respiratory system Strong Regionally restricted Embryo_S318_1_2D
TS22: pharynx Strong Regionally restricted Embryo_S318_1_4A
TS22: larynx Absent
TS22: trachea Strong Regionally restricted Embryo_S318_1_3C
TS22: main bronchus Strong Regionally restricted Embryo_S318_1_2D
TS22: lung Strong Regionally restricted Embryo_S318_1_4A
TS22: urinary system Moderate Regionally restricted Embryo_S318_1_2D Expression was detected in the genito-urinary system.
TS22: metanephros Moderate Regionally restricted Embryo_S318_1_2D
TS22: ureter Weak Regionally restricted Embryo_S318_1_4A
TS22: bladder Weak Regionally restricted Embryo_S318_1_4A
TS22: urethra Weak Regionally restricted Embryo_S318_1_4A
TS22: reproductive system Weak Regionally restricted Embryo_S318_1_4B
TS22: genital tubercle Weak Regionally restricted Embryo_S318_1_4B
TS22: gonad Absent
TS22: gland Strong Regionally restricted Embryo_S318_1_4A Expression was strong in the endocrine system.
TS22: thyroid gland Moderate Regionally restricted Embryo_S318_1_4A
TS22: pituitary gland Strong Regionally restricted Embryo_S318_1_4A
TS22: pancreas Absent
TS22: adrenal gland Absent
TS22: cardiovascular system Strong Regionally restricted Embryo_S318_1_4A
TS22: heart Strong Regionally restricted Embryo_S318_1_4A
TS22: heart atrium Strong Regionally restricted Embryo_S318_1_4A
TS22: heart ventricle Strong Regionally restricted Embryo_S318_1_4A
TS22: blood vessel Absent
TS22: hemolymphoid system Moderate Regionally restricted Embryo_S318_1_4A Expression was detected in the immune system.
TS22: spleen primordium Moderate Regionally restricted Embryo_S318_1_1B
TS22: thymus primordium Moderate Regionally restricted Embryo_S318_1_4A
TS22: appendicular skeleton Absent Expression was not detected in the skeleton (limbs, shoulder, hip).
TS22: musculature Moderate Regionally restricted Embryo_S318_1_1A
TS22: face Absent Expression was not detected in the face/soft tissues.
TS22: facial bone primordium Absent
TS22: cranium Absent Expression was not detected in the skull (base and vault).
TS22: axial skeleton Absent
TS22: tail Weak Regionally restricted Embryo_S318_1_4B
TS22: forelimb Moderate Regionally restricted Embryo_S318_1_1A
TS22: hindlimb Moderate Regionally restricted Embryo_S318_1_1A
TS22: integumental system Moderate Regionally restricted Embryo_S318_1_1A
TS22: skin Moderate Regionally restricted Embryo_S318_1_1A
TS22: hair Absent
TS22: vibrissa follicle Absent Expression was not detected in whisker follicle.


Contributing Projects:
Mouse Genome Database (MGD), Gene Expression Database (GXD), Mouse Models of Human Cancer database (MMHCdb) (formerly Mouse Tumor Biology (MTB)), Gene Ontology (GO)
Citing These Resources
Funding Information
Warranty Disclaimer, Privacy Notice, Licensing, & Copyright
Send questions and comments to User Support.
last database update
03/24/2026
MGI 6.24
The Jackson Laboratory