About   Help   FAQ
Gene Expression Data
Assay Details
Assay
Reference: J:122989 Visel A, et al., GenePaint.org: an atlas of gene expression patterns in the mouse embryo. Nucleic Acids Res. 2004 Jan 1;32(Database issue):D552-6
Assay type: RNA in situ
MGI Accession ID: MGI:5423659
Gene symbol: Farsb
Gene name: phenylalanyl-tRNA synthetase, beta subunit
Probe: ES1125 probe 934
Probe preparation: Antisense labelled with digoxigenin RNA
Visualized with: Alkaline phosphatase
Assay notes: Cryosections of fresh frozen material were fixed in 4% paraformaldehyde for 20 min. before further processing. A tyramide-biotin/streptavidin amplification step was included in the in situ hybridization procedure. These data were downloaded from GenePaint.org on 1/30/12.
Results
Specimen ES1125; Specimen S352: embryonic day 14.5 (more )
Structure Level Pattern Image Note
TS22: nervous system Strong Regionally restricted Embryo_S352_4_3B
TS22: central nervous system Strong Regionally restricted Embryo_S352_4_4B
TS22: telencephalon Strong Regionally restricted Embryo_S352_4_4B
TS22: cerebral cortex Strong Regionally restricted Embryo_S352_4_4B
TS22: neocortex Moderate Regionally restricted Embryo_S352_4_4B
TS22: olfactory cortex Strong Regionally restricted Embryo_S352_4_4B
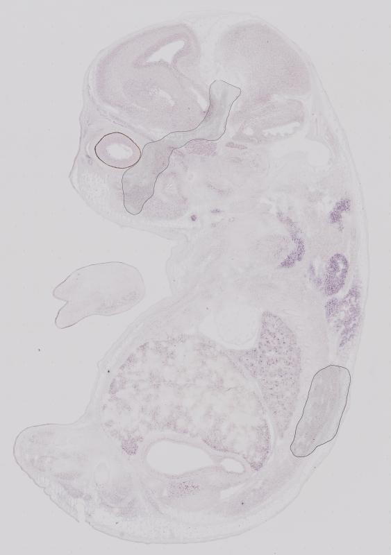
TS22: main olfactory bulb Strong Regionally restricted Embryo_S352_4_3B
TS22: piriform cortex Weak Regionally restricted Embryo_S352_4_1A
TS22: hippocampus Moderate Regionally restricted Embryo_S352_4_4B
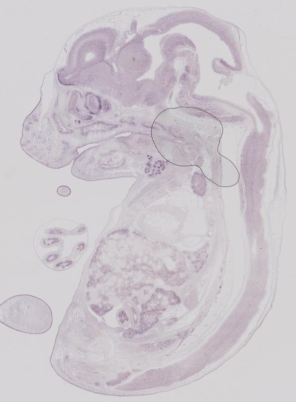
TS22: basal ganglia Moderate Regionally restricted Embryo_S352_4_2A
TS22: corpus striatum Moderate Regionally restricted Embryo_S352_4_2A Expression was detected in the corpus striatum (lateral ganglionic eminence).
TS22: basal forebrain Absent
TS22: amygdala Absent
TS22: telencephalon septum Moderate Regionally restricted Embryo_S352_4_3A
TS22: pallidum Weak Regionally restricted Embryo_S352_4_3A Expression was weak in the pallidum (medial ganglionic eminence).
TS22: diencephalon Weak Regionally restricted Embryo_S352_4_2C
TS22: thalamus Weak Regionally restricted Embryo_S352_4_2C
TS22: hypothalamus Absent
TS22: midbrain Strong Regionally restricted Embryo_S352_4_3B
TS22: pretectum Absent
TS22: superior colliculus Weak Regionally restricted Embryo_S352_4_2C
TS22: inferior colliculus Strong Regionally restricted Embryo_S352_4_3B
TS22: midbrain tegmentum Weak Regionally restricted Embryo_S352_4_2C
TS22: hindbrain Strong Regionally restricted Embryo_S352_4_3A
TS22: cerebellum Weak Regionally restricted Embryo_S352_4_3A
TS22: pons Absent
TS22: medulla oblongata Strong Regionally restricted Embryo_S352_4_3A
TS22: spinal cord Moderate Regionally restricted Embryo_S352_4_3A
TS22: choroid plexus Absent
TS22: meninges Absent
TS22: peripheral nervous system Moderate Ubiquitous Embryo_S352_4_2C
TS22: cranial ganglion Moderate Ubiquitous Embryo_S352_4_2C
TS22: dorsal root ganglion Absent
TS22: eye Moderate Regionally restricted Embryo_S352_4_1A
TS22: retina Moderate Regionally restricted Embryo_S352_4_1A
TS22: lens Moderate Regionally restricted Embryo_S352_4_1A
TS22: cornea Absent
TS22: optic nerve Absent
TS22: nose Strong Regionally restricted Embryo_S352_4_3A
TS22: olfactory epithelium Strong Regionally restricted Embryo_S352_4_3A
TS22: ear Absent
TS22: inner ear Absent
TS22: cochlea Absent
TS22: inner ear labyrinth Absent
TS22: middle ear Absent
TS22: alimentary system Strong Regionally restricted Embryo_S352_4_3A Expression was strong in the digestive system.
TS22: intestine Moderate Regionally restricted Embryo_S352_4_4B
TS22: salivary gland Strong Regionally restricted Embryo_S352_4_3A
TS22: tongue Moderate Regionally restricted Embryo_S352_4_4B
TS22: tooth Strong Regionally restricted Embryo_S352_4_4B
TS22: palatal shelf Moderate Regionally restricted Embryo_S352_4_4A
TS22: esophagus Absent
TS22: stomach Absent
TS22: liver Moderate Regionally restricted Embryo_S352_4_1A
TS22: respiratory system Moderate Regionally restricted Embryo_S352_4_1A
TS22: pharynx Weak Regionally restricted Embryo_S352_4_4A
TS22: larynx Weak Regionally restricted Embryo_S352_4_4A
TS22: trachea Weak Regionally restricted Embryo_S352_4_4A
TS22: main bronchus Absent
TS22: lung Moderate Regionally restricted Embryo_S352_4_4A
TS22: urinary system Moderate Regionally restricted Embryo_S352_4_4A Expression was detected in the genito-urinary system.
TS22: metanephros Moderate Regionally restricted Embryo_S352_4_4A
TS22: ureter Absent
TS22: bladder Weak Regionally restricted Embryo_S352_4_4A
TS22: urethra Moderate Regionally restricted Embryo_S352_4_4A
TS22: reproductive system Moderate Regionally restricted Embryo_S352_4_4A
TS22: genital tubercle Moderate Regionally restricted Embryo_S352_4_4A
TS22: gonad Weak Regionally restricted Embryo_S352_4_1C
TS22: gland Moderate Regionally restricted Embryo_S352_4_2B Expression was detected in the endocrine system.
TS22: thyroid gland Absent
TS22: pituitary gland Weak Regionally restricted Embryo_S352_4_4A
TS22: pancreas Moderate Regionally restricted Embryo_S352_4_2B
TS22: adrenal gland Absent
TS22: cardiovascular system Absent
TS22: heart Absent
TS22: heart atrium Absent
TS22: heart ventricle Absent
TS22: blood vessel Absent
TS22: hemolymphoid system Moderate Regionally restricted Embryo_S352_4_3C Expression was detected in the immune system.
TS22: spleen primordium Absent
TS22: thymus primordium Moderate Regionally restricted Embryo_S352_4_3C
TS22: appendicular skeleton Absent Expression was not detected in the skeleton (limbs, shoulder, hip).
TS22: musculature Strong Regionally restricted Embryo_S352_4_1A
TS22: face Absent Expression was not detected in the face/soft tissues.
TS22: facial bone primordium Strong Regionally restricted Embryo_S352_4_4A
TS22: cranium Absent Expression was not detected in the skull (base and vault).
TS22: axial skeleton Absent
TS22: tail Moderate Regionally restricted Embryo_S352_4_5B
TS22: forelimb Moderate Regionally restricted Embryo_S352_4_1A
TS22: hindlimb Moderate Regionally restricted Embryo_S352_4_1A
TS22: integumental system Moderate Regionally restricted Embryo_S352_4_1A
TS22: skin Moderate Regionally restricted Embryo_S352_4_1A
TS22: hair Absent
TS22: vibrissa follicle Absent Expression was not detected in whisker follicle.


Contributing Projects:
Mouse Genome Database (MGD), Gene Expression Database (GXD), Mouse Models of Human Cancer database (MMHCdb) (formerly Mouse Tumor Biology (MTB)), Gene Ontology (GO)
Citing These Resources
Funding Information
Warranty Disclaimer, Privacy Notice, Licensing, & Copyright
Send questions and comments to User Support.
last database update
12/30/2025
MGI 6.24
The Jackson Laboratory