About   Help   FAQ
Gene Expression Data
Assay Details
Assay
Reference: J:122989 Visel A, et al., GenePaint.org: an atlas of gene expression patterns in the mouse embryo. Nucleic Acids Res. 2004 Jan 1;32(Database issue):D552-6
Assay type: RNA in situ
MGI Accession ID: MGI:5423618
Gene symbol: Dusp7
Gene name: dual specificity phosphatase 7
Probe: EH2053 probe 2007
Probe preparation: Antisense labelled with digoxigenin RNA
Visualized with: Alkaline phosphatase
Assay notes: Cryosections of fresh frozen material were fixed in 4% paraformaldehyde for 20 min. before further processing. A tyramide-biotin/streptavidin amplification step was included in the in situ hybridization procedure. These data were downloaded from GenePaint.org on 1/30/12.
Results
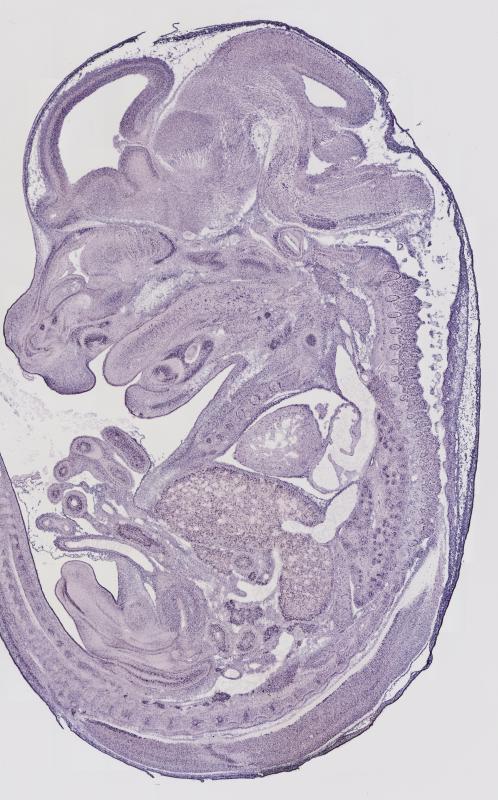
Specimen EH2053; Specimen C2868: embryonic day 14.5 (more )
Structure Level Pattern Image Note
TS22: nervous system Moderate Regionally restricted Embryo_C2868_3_3A
TS22: central nervous system Moderate Regionally restricted Embryo_C2868_3_3A
TS22: telencephalon Moderate Regionally restricted Embryo_C2868_3_3A
TS22: cerebral cortex Moderate Regionally restricted Embryo_C2868_3_5A
TS22: neocortex Moderate Regionally restricted Embryo_C2868_3_5A
TS22: olfactory cortex Weak Regionally restricted Embryo_C2868_3_4D
TS22: main olfactory bulb Weak Regionally restricted Embryo_C2868_3_4D
TS22: piriform cortex Absent
TS22: hippocampus Weak Regionally restricted Embryo_C2868_3_2B
TS22: basal ganglia Weak Regionally restricted Embryo_C2868_3_3A
TS22: corpus striatum Absent Expression was not detected in the corpus striatum (lateral ganglionic eminence).
TS22: basal forebrain Absent
TS22: amygdala Absent
TS22: telencephalon septum Weak Regionally restricted Embryo_C2868_3_3A
TS22: pallidum Weak Regionally restricted Embryo_C2868_3_3A Expression was weak in the pallidum (medial ganglionic eminence).
TS22: diencephalon Absent
TS22: thalamus Absent
TS22: hypothalamus Absent
TS22: midbrain Moderate Regionally restricted Embryo_C2868_3_3C
TS22: pretectum Absent
TS22: superior colliculus Weak Regionally restricted Embryo_C2868_3_3A
TS22: inferior colliculus Moderate Regionally restricted Embryo_C2868_3_3C
TS22: midbrain tegmentum Absent
TS22: hindbrain Weak Regionally restricted Embryo_C2868_3_4D
TS22: cerebellum Absent
TS22: pons Absent
TS22: medulla oblongata Weak Regionally restricted Embryo_C2868_3_4D
TS22: spinal cord Weak Regionally restricted Embryo_C2868_3_4A
TS22: choroid plexus Absent
TS22: meninges Absent
TS22: peripheral nervous system Weak Regionally restricted Embryo_C2868_3_2B
TS22: cranial ganglion Weak Ubiquitous Embryo_C2868_3_2B
TS22: dorsal root ganglion Weak Regionally restricted Embryo_C2868_3_4D
TS22: eye Absent
TS22: retina Absent
TS22: lens Absent
TS22: cornea Absent
TS22: optic nerve Absent
TS22: nose Absent
TS22: olfactory epithelium Absent
TS22: ear Absent
TS22: inner ear Absent
TS22: cochlea Absent
TS22: inner ear labyrinth Absent
TS22: middle ear Absent
TS22: alimentary system Moderate Regionally restricted Embryo_C2868_3_2B Expression was detected in the digestive system.
TS22: intestine Moderate Regionally restricted Embryo_C2868_3_4D
TS22: salivary gland Moderate Regionally restricted Embryo_C2868_3_2B
TS22: tongue Absent
TS22: tooth Moderate Regionally restricted Embryo_C2868_3_3D
TS22: palatal shelf Absent
TS22: esophagus Weak Regionally restricted Embryo_C2868_3_3D
TS22: stomach Weak Regionally restricted Embryo_C2868_3_2A
TS22: liver Weak Scattered Embryo_C2868_3_2D
TS22: respiratory system Moderate Regionally restricted Embryo_C2868_3_2B
TS22: pharynx Absent
TS22: larynx Absent
TS22: trachea Absent
TS22: main bronchus Absent
TS22: lung Moderate Regionally restricted Embryo_C2868_3_2B
TS22: urinary system Moderate Regionally restricted Embryo_C2868_3_4D Expression was detected in the genito-urinary system.
TS22: metanephros Weak Regionally restricted Embryo_C2868_3_3B
TS22: ureter Absent
TS22: bladder Absent
TS22: urethra Moderate Regionally restricted Embryo_C2868_3_4D
TS22: reproductive system Weak Regionally restricted Embryo_C2868_3_2B
TS22: genital tubercle Weak Regionally restricted Embryo_C2868_3_4C
TS22: gonad Weak Regionally restricted Embryo_C2868_3_2B
TS22: gland Moderate Regionally restricted Embryo_C2868_3_3B Expression was detected in the endocrine system.
TS22: thyroid gland Weak Regionally restricted Embryo_C2868_3_3B
TS22: pituitary gland Absent
TS22: pancreas Moderate Regionally restricted Embryo_C2868_3_3B
TS22: adrenal gland Absent
TS22: cardiovascular system Absent
TS22: heart Absent
TS22: heart atrium Absent
TS22: heart ventricle Absent
TS22: blood vessel Absent
TS22: hemolymphoid system Weak Regionally restricted Embryo_C2868_3_3C Expression was weak in the immune system.
TS22: spleen primordium Absent
TS22: thymus primordium Weak Regionally restricted Embryo_C2868_3_3C
TS22: appendicular skeleton Weak Regionally restricted Embryo_C2868_3_6C Expression was weak in the skeleton (limbs, shoulder, hip).
TS22: musculature Absent
TS22: face Absent Expression was not detected in the face/soft tissues.
TS22: facial bone primordium Weak Regionally restricted Embryo_C2868_3_3D
TS22: cranium Weak Regionally restricted Embryo_C2868_3_2A Expression was weak in the skull (base and vault).
TS22: axial skeleton Weak Regionally restricted Embryo_C2868_3_4A
TS22: tail Moderate Regionally restricted Embryo_C2868_3_5A
TS22: forelimb Moderate Regionally restricted Embryo_C2868_3_1B
TS22: hindlimb Moderate Regionally restricted Embryo_C2868_3_2B
TS22: integumental system Moderate Regionally restricted Embryo_C2868_3_2A
TS22: skin Moderate Regionally restricted Embryo_C2868_3_2A
TS22: hair Moderate Regionally restricted Embryo_C2868_3_6B
TS22: vibrissa follicle Moderate Regionally restricted Embryo_C2868_3_6B Expression was detected in whisker follicle.


Contributing Projects:
Mouse Genome Database (MGD), Gene Expression Database (GXD), Mouse Models of Human Cancer database (MMHCdb) (formerly Mouse Tumor Biology (MTB)), Gene Ontology (GO)
Citing These Resources
Funding Information
Warranty Disclaimer, Privacy Notice, Licensing, & Copyright
Send questions and comments to User Support.
last database update
12/30/2025
MGI 6.24
The Jackson Laboratory