About   Help   FAQ
Gene Expression Data
Assay Details
Assay
Reference: J:122989 Visel A, et al., GenePaint.org: an atlas of gene expression patterns in the mouse embryo. Nucleic Acids Res. 2004 Jan 1;32(Database issue):D552-6
Assay type: RNA in situ
MGI Accession ID: MGI:5423585
Gene symbol: Pcyt2
Gene name: phosphate cytidylyltransferase 2, ethanolamine
Probe: EH2132 probe 2050
Probe preparation: Antisense labelled with digoxigenin RNA
Visualized with: Alkaline phosphatase
Assay notes: Cryosections of fresh frozen material were fixed in 4% paraformaldehyde for 20 min. before further processing. A tyramide-biotin/streptavidin amplification step was included in the in situ hybridization procedure. These data were downloaded from GenePaint.org on 1/30/12.
Results
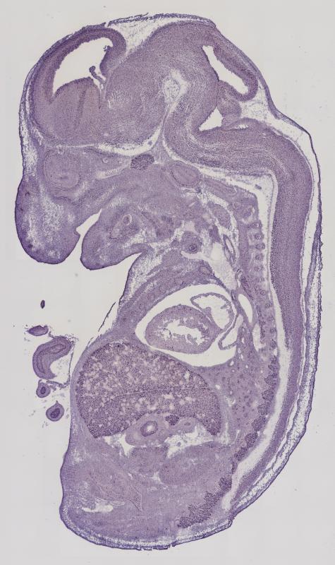
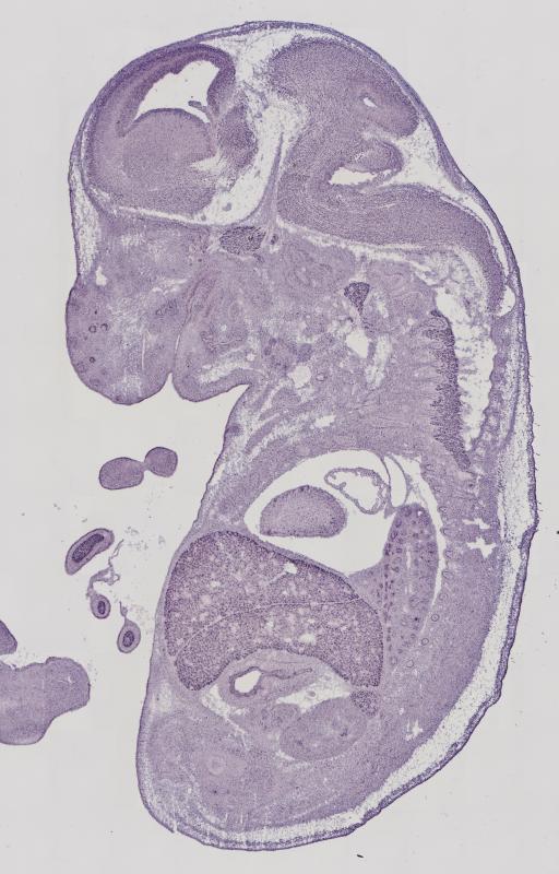
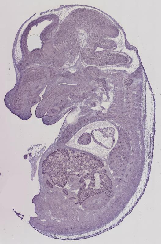
Specimen EH2132; Specimen C2950: embryonic day 14.5 (more )
Structure Level Pattern Image Note
TS22: nervous system Strong Regionally restricted Embryo_C2950_3_4A
TS22: central nervous system Strong Regionally restricted Embryo_C2950_3_4A
TS22: telencephalon Strong Regionally restricted Embryo_C2950_3_4A
TS22: cerebral cortex Strong Regionally restricted Embryo_C2950_3_4A
TS22: neocortex Strong Regionally restricted Embryo_C2950_3_4A
TS22: olfactory cortex Strong Regionally restricted Embryo_C2950_3_4A
TS22: main olfactory bulb Strong Regionally restricted Embryo_C2950_3_4A
TS22: piriform cortex Absent
TS22: hippocampus Strong Regionally restricted Embryo_C2950_3_3A
TS22: basal ganglia Strong Regionally restricted Embryo_C2950_3_6A
TS22: corpus striatum Strong Regionally restricted Embryo_C2950_3_6A Expression was strong in the corpus striatum (lateral ganglionic eminence).
TS22: basal forebrain Absent
TS22: amygdala Absent
TS22: telencephalon septum Weak Ubiquitous Embryo_C2950_3_3D
TS22: pallidum Absent Expression was not detected in the pallidum (medial ganglionic eminence).
TS22: diencephalon Strong Regionally restricted Embryo_C2950_3_4A
TS22: thalamus Strong Regionally restricted Embryo_C2950_3_4A
TS22: hypothalamus Absent
TS22: midbrain Strong Ubiquitous Embryo_C2950_3_4A
TS22: pretectum Weak Ubiquitous Embryo_C2950_3_3C
TS22: superior colliculus Strong Ubiquitous Embryo_C2950_3_4A
TS22: inferior colliculus Strong Ubiquitous Embryo_C2950_3_4A
TS22: midbrain tegmentum Strong Regionally restricted Embryo_C2950_3_4A
TS22: hindbrain Moderate Regionally restricted Embryo_C2950_3_3D
TS22: cerebellum Moderate Regionally restricted Embryo_C2950_3_3D
TS22: pons Moderate Regionally restricted Embryo_C2950_3_4A
TS22: medulla oblongata Moderate Regionally restricted Embryo_C2950_3_4A
TS22: spinal cord Weak Ubiquitous Embryo_C2950_3_3B
TS22: choroid plexus Strong Regionally restricted Embryo_C2950_3_3A
TS22: meninges Absent
TS22: peripheral nervous system Strong Ubiquitous Embryo_C2950_3_2B
TS22: cranial ganglion Strong Ubiquitous Embryo_C2950_3_2B
TS22: dorsal root ganglion Strong Ubiquitous Embryo_C2950_3_4C
TS22: eye Strong Regionally restricted Embryo_C2950_3_1A
TS22: retina Strong Regionally restricted Embryo_C2950_3_1A
TS22: lens Strong Regionally restricted Embryo_C2950_3_1A
TS22: cornea Strong Regionally restricted Embryo_C2950_3_1A
TS22: optic nerve Absent
TS22: nose Weak Ubiquitous Embryo_C2950_3_4A
TS22: olfactory epithelium Weak Ubiquitous Embryo_C2950_3_4A
TS22: ear Moderate Regionally restricted Embryo_C2950_3_4D
TS22: inner ear Moderate Regionally restricted Embryo_C2950_3_4D
TS22: cochlea Moderate Regionally restricted Embryo_C2950_3_4D
TS22: inner ear labyrinth Absent
TS22: middle ear Weak Regionally restricted Embryo_C2950_3_1A
TS22: alimentary system Strong Regionally restricted Embryo_C2950_3_2A Expression was strong in the digestive system.
TS22: intestine Strong Regionally restricted Embryo_C2950_3_2B
TS22: salivary gland Moderate Ubiquitous Embryo_C2950_3_5A
TS22: tongue Moderate Regionally restricted Embryo_C2950_3_4C
TS22: tooth Moderate Regionally restricted Embryo_C2950_3_4A
TS22: palatal shelf Absent
TS22: esophagus Weak Regionally restricted Embryo_C2950_3_3D
TS22: stomach Strong Regionally restricted Embryo_C2950_3_2A
TS22: liver Strong Ubiquitous Embryo_C2950_3_1A
TS22: respiratory system Strong Regionally restricted Embryo_C2950_3_2C
TS22: pharynx Weak Regionally restricted Embryo_C2950_3_4C
TS22: larynx Absent
TS22: trachea Weak Regionally restricted Embryo_C2950_3_4A
TS22: main bronchus Weak Regionally restricted Embryo_C2950_3_4C
TS22: lung Strong Regionally restricted Embryo_C2950_3_2C
TS22: urinary system Strong Regionally restricted Embryo_C2950_3_2A Expression was strong in the genito-urinary system.
TS22: metanephros Absent
TS22: ureter Absent
TS22: bladder Weak Regionally restricted Embryo_C2950_3_4A
TS22: urethra Weak Regionally restricted Embryo_C2950_3_4A
TS22: reproductive system Strong Regionally restricted Embryo_C2950_3_2A
TS22: genital tubercle Moderate Regionally restricted Embryo_C2950_3_4A
TS22: gonad Strong Regionally restricted Embryo_C2950_3_2A
TS22: gland Strong Ubiquitous Embryo_C2950_3_2B Expression was strong in the endocrine system.
TS22: thyroid gland Absent
TS22: pituitary gland Absent
TS22: pancreas Weak Regionally restricted Embryo_C2950_3_3B
TS22: adrenal gland Strong Ubiquitous Embryo_C2950_3_2B
TS22: cardiovascular system Weak Regionally restricted Embryo_C2950_3_4A
TS22: heart Weak Regionally restricted Embryo_C2950_3_4A
TS22: heart atrium Weak Regionally restricted Embryo_C2950_3_4A
TS22: heart ventricle Weak Regionally restricted Embryo_C2950_3_4A
TS22: blood vessel Absent
TS22: hemolymphoid system Moderate Regionally restricted Embryo_C2950_3_4A Expression was detected in the immune system.
TS22: spleen primordium Absent
TS22: thymus primordium Moderate Ubiquitous Embryo_C2950_3_4A
TS22: appendicular skeleton Absent Expression was not detected in the skeleton (limbs, shoulder, hip).
TS22: musculature Absent
TS22: face Absent Expression was not detected in the face/soft tissues.
TS22: facial bone primordium Moderate Regionally restricted Embryo_C2950_3_4A
TS22: cranium Weak Regionally restricted Embryo_C2950_3_2B Expression was weak in the skull (base and vault).
TS22: axial skeleton Moderate Regionally restricted Embryo_C2950_3_2B
TS22: tail Moderate Regionally restricted Embryo_C2950_3_4A
TS22: forelimb Moderate Regionally restricted Embryo_C2950_3_1A
TS22: hindlimb Moderate Regionally restricted Embryo_C2950_3_6A
TS22: integumental system Strong Regionally restricted Embryo_C2950_3_6D
TS22: skin Moderate Regionally restricted Embryo_C2950_3_4A
TS22: hair Strong Regionally restricted Embryo_C2950_3_6D
TS22: vibrissa follicle Strong Regionally restricted Embryo_C2950_3_6D Expression was strong in whisker follicle.


Contributing Projects:
Mouse Genome Database (MGD), Gene Expression Database (GXD), Mouse Models of Human Cancer database (MMHCdb) (formerly Mouse Tumor Biology (MTB)), Gene Ontology (GO)
Citing These Resources
Funding Information
Warranty Disclaimer, Privacy Notice, Licensing, & Copyright
Send questions and comments to User Support.
last database update
04/14/2026
MGI 6.24
The Jackson Laboratory