About   Help   FAQ
Gene Expression Data
Assay Details
Assay
Reference: J:122989 Visel A, et al., GenePaint.org: an atlas of gene expression patterns in the mouse embryo. Nucleic Acids Res. 2004 Jan 1;32(Database issue):D552-6
Assay type: RNA in situ
MGI Accession ID: MGI:5423572
Gene symbol: Manba
Gene name: mannosidase, beta A, lysosomal
Probe: EH2704 probe 2646
Probe preparation: Antisense labelled with digoxigenin RNA
Visualized with: Alkaline phosphatase
Assay notes: Cryosections of fresh frozen material were fixed in 4% paraformaldehyde for 20 min. before further processing. A tyramide-biotin/streptavidin amplification step was included in the in situ hybridization procedure. These data were downloaded from GenePaint.org on 1/30/12.
Results
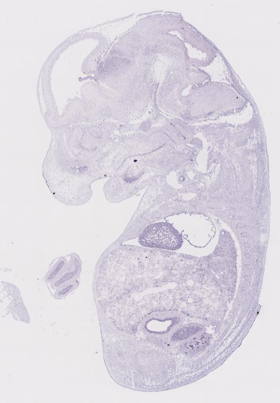
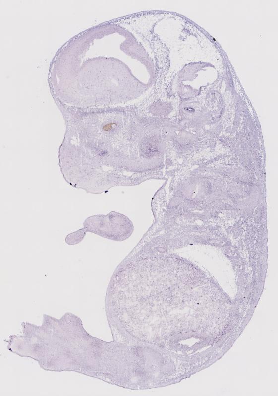
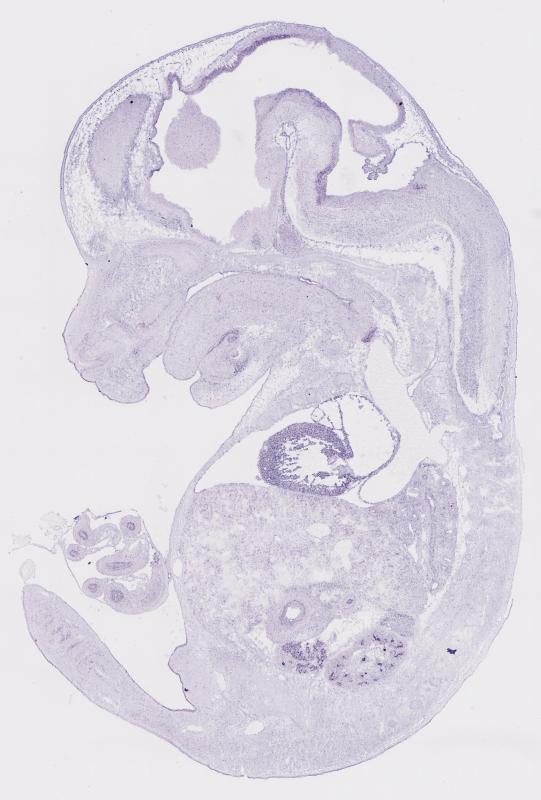
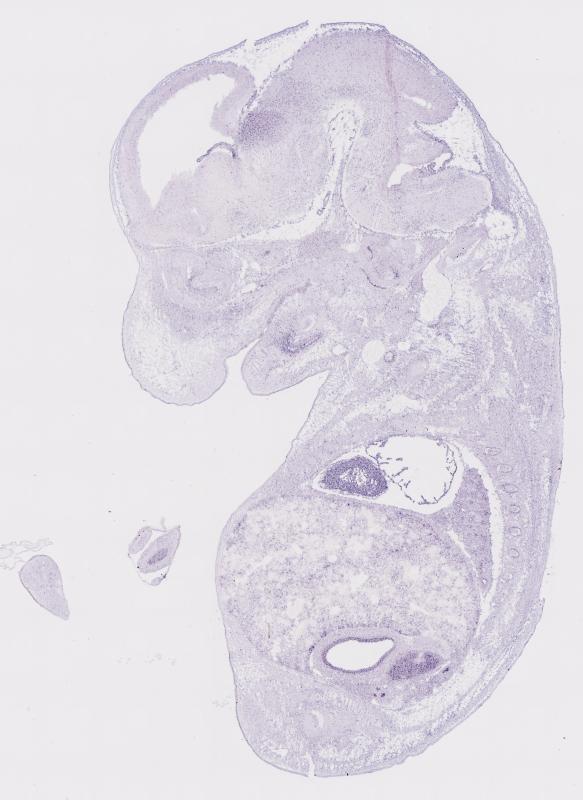
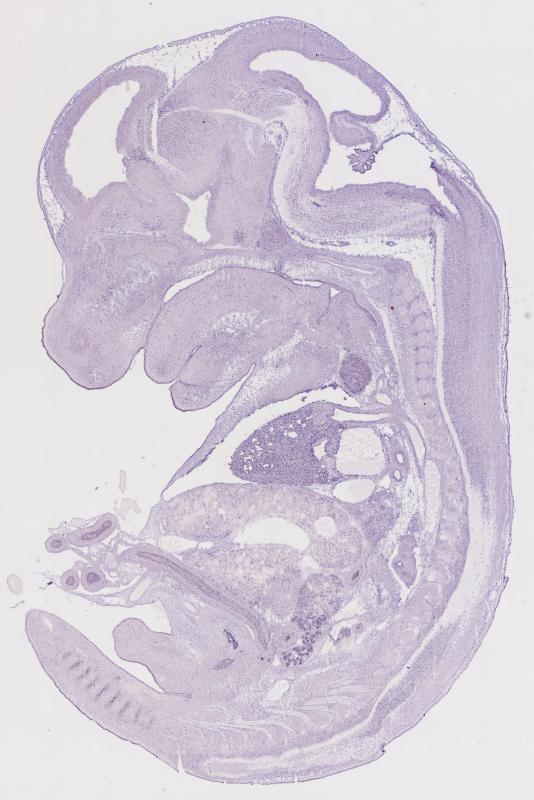
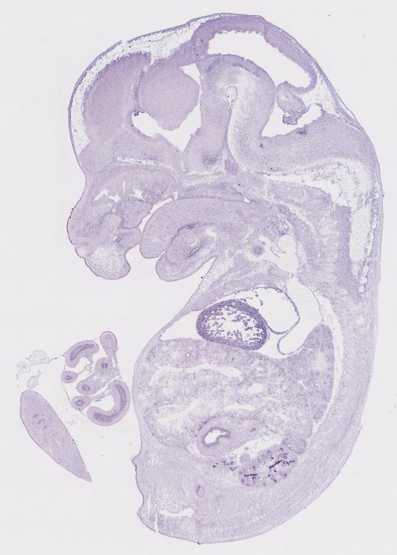
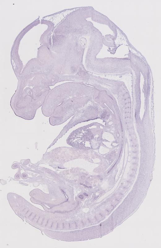
Specimen EH2704; Specimen C3031: embryonic day 14.5 (more )
Structure Level Pattern Image Note
TS22: nervous system Strong Regionally restricted Embryo_C3031_1_2A
TS22: central nervous system Strong Regionally restricted Embryo_C3031_1_2A
TS22: telencephalon Absent
TS22: cerebral cortex Absent
TS22: neocortex Absent
TS22: olfactory cortex Absent
TS22: main olfactory bulb Absent
TS22: piriform cortex Absent
TS22: hippocampus Absent
TS22: basal ganglia Absent
TS22: corpus striatum Absent Expression was not detected in the corpus striatum (lateral ganglionic eminence).
TS22: basal forebrain Absent
TS22: amygdala Absent
TS22: telencephalon septum Absent
TS22: pallidum Absent Expression was not detected in the pallidum (medial ganglionic eminence).
TS22: diencephalon Absent
TS22: thalamus Absent
TS22: hypothalamus Absent
TS22: midbrain Moderate Regionally restricted Embryo_C3031_1_4C
TS22: pretectum Moderate Regionally restricted Embryo_C3031_1_4C
TS22: superior colliculus Absent
TS22: inferior colliculus Absent
TS22: midbrain tegmentum Absent
TS22: hindbrain Absent
TS22: cerebellum Absent
TS22: pons Absent
TS22: medulla oblongata Absent
TS22: spinal cord Moderate Regionally restricted Embryo_C3031_1_4A
TS22: choroid plexus Strong Regionally restricted Embryo_C3031_1_2A
TS22: meninges Absent
TS22: peripheral nervous system Absent
TS22: cranial ganglion Absent
TS22: dorsal root ganglion Absent
TS22: eye Absent
TS22: retina Absent
TS22: lens Absent
TS22: cornea Absent
TS22: optic nerve Absent
TS22: nose Absent
TS22: olfactory epithelium Absent
TS22: ear Moderate Regionally restricted Embryo_C3031_1_2D
TS22: inner ear Moderate Regionally restricted Embryo_C3031_1_2D
TS22: cochlea Moderate Regionally restricted Embryo_C3031_1_2D
TS22: inner ear labyrinth Absent
TS22: middle ear Absent
TS22: alimentary system Moderate Regionally restricted Embryo_C3031_1_3B Expression was detected in the digestive system.
TS22: intestine Moderate Regionally restricted Embryo_C3031_1_3B
TS22: salivary gland Absent
TS22: tongue Absent
TS22: tooth Absent
TS22: palatal shelf Absent
TS22: esophagus Moderate Regionally restricted Embryo_C3031_1_4B
TS22: stomach Moderate Regionally restricted Embryo_C3031_1_2A
TS22: liver Weak Regionally restricted Embryo_C3031_1_2B
TS22: respiratory system Weak Regionally restricted Embryo_C3031_1_2B
TS22: pharynx Absent
TS22: larynx Absent
TS22: trachea Absent
TS22: main bronchus Absent
TS22: lung Weak Regionally restricted Embryo_C3031_1_2B
TS22: urinary system Strong Regionally restricted Embryo_C3031_1_3B Expression was strong in the genito-urinary system.
TS22: metanephros Strong Regionally restricted Embryo_C3031_1_3B
TS22: ureter Absent
TS22: bladder Moderate Regionally restricted Embryo_C3031_1_4B
TS22: urethra Weak Regionally restricted Embryo_C3031_1_4B
TS22: reproductive system Strong Regionally restricted Embryo_C3031_1_2C
TS22: genital tubercle Absent
TS22: gonad Strong Ubiquitous Embryo_C3031_1_2C
TS22: gland Strong Regionally restricted Embryo_C3031_1_3D Expression was strong in the endocrine system.
TS22: thyroid gland Strong Regionally restricted Embryo_C3031_1_3D
TS22: pituitary gland Absent
TS22: pancreas Strong Ubiquitous Embryo_C3031_1_3C
TS22: adrenal gland Moderate Regionally restricted Embryo_C3031_1_3B
TS22: cardiovascular system Strong Regionally restricted Embryo_C3031_1_3D
TS22: heart Strong Regionally restricted Embryo_C3031_1_3D
TS22: heart atrium Moderate Regionally restricted Embryo_C3031_1_3D
TS22: heart ventricle Strong Ubiquitous Embryo_C3031_1_3D
TS22: blood vessel Absent
TS22: hemolymphoid system Moderate Regionally restricted Embryo_C3031_1_3D Expression was detected in the immune system.
TS22: spleen primordium Absent
TS22: thymus primordium Moderate Ubiquitous Embryo_C3031_1_3D
TS22: appendicular skeleton Absent Expression was not detected in the skeleton (limbs, shoulder, hip).
TS22: musculature Absent
TS22: face Moderate Regionally restricted Embryo_C3031_1_1C Expression was detected in the face/soft tissues.
TS22: facial bone primordium Absent
TS22: cranium Moderate Regionally restricted Embryo_C3031_1_1A Expression was detected in the skull (base and vault).
TS22: axial skeleton Absent
TS22: tail Moderate Regionally restricted Embryo_C3031_1_4A
TS22: forelimb Absent
TS22: hindlimb Absent
TS22: integumental system Absent
TS22: skin Absent
TS22: hair Absent
TS22: vibrissa follicle Absent Expression was not detected in whisker follicle.


Contributing Projects:
Mouse Genome Database (MGD), Gene Expression Database (GXD), Mouse Models of Human Cancer database (MMHCdb) (formerly Mouse Tumor Biology (MTB)), Gene Ontology (GO)
Citing These Resources
Funding Information
Warranty Disclaimer, Privacy Notice, Licensing, & Copyright
Send questions and comments to User Support.
last database update
04/14/2026
MGI 6.24
The Jackson Laboratory