About   Help   FAQ
Gene Expression Data
Assay Details
Assay
Reference: J:122989 Visel A, et al., GenePaint.org: an atlas of gene expression patterns in the mouse embryo. Nucleic Acids Res. 2004 Jan 1;32(Database issue):D552-6
Assay type: RNA in situ
MGI Accession ID: MGI:5423546
Gene symbol: Trit1
Gene name: tRNA isopentenyltransferase 1
Probe: EN496 probe 415
Probe preparation: Antisense labelled with digoxigenin RNA
Visualized with: Alkaline phosphatase
Assay notes: Cryosections of fresh frozen material were fixed in 4% paraformaldehyde for 20 min. before further processing. A tyramide-biotin/streptavidin amplification step was included in the in situ hybridization procedure. These data were downloaded from GenePaint.org on 1/30/12.
Results
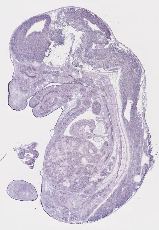
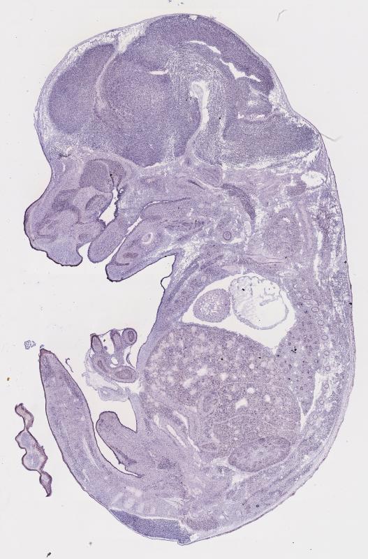
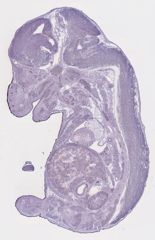
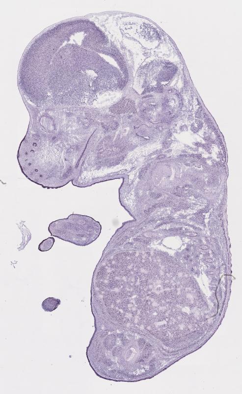
Specimen EN496; Specimen N306: embryonic day 14.5 (more )
Structure Level Pattern Image Note
TS22: nervous system Strong Regionally restricted Embryo_N306_4_1A
TS22: central nervous system Moderate Regionally restricted Embryo_N306_4_3A
TS22: telencephalon Moderate Regionally restricted Embryo_N306_4_3A
TS22: cerebral cortex Moderate Regionally restricted Embryo_N306_4_3A
TS22: neocortex Moderate Ubiquitous Embryo_N306_4_3A
TS22: olfactory cortex Absent
TS22: main olfactory bulb Absent
TS22: piriform cortex Absent
TS22: hippocampus Moderate Ubiquitous Embryo_N306_4_3A
TS22: basal ganglia Moderate Regionally restricted Embryo_N306_4_3A
TS22: corpus striatum Moderate Ubiquitous Embryo_N306_4_2A Expression was detected in the corpus striatum (lateral ganglionic eminence).
TS22: basal forebrain Absent
TS22: amygdala Absent
TS22: telencephalon septum Moderate Ubiquitous Embryo_N306_4_3A
TS22: pallidum Moderate Ubiquitous Embryo_N306_4_2D Expression was detected in the pallidum (medial ganglionic eminence).
TS22: diencephalon Moderate Ubiquitous Embryo_N306_4_3B
TS22: thalamus Moderate Ubiquitous Embryo_N306_4_3B
TS22: hypothalamus Moderate Ubiquitous Embryo_N306_4_3B
TS22: midbrain Moderate Ubiquitous Embryo_N306_4_3A
TS22: pretectum Moderate Ubiquitous Embryo_N306_4_3B
TS22: superior colliculus Moderate Ubiquitous Embryo_N306_4_3A
TS22: inferior colliculus Moderate Ubiquitous Embryo_N306_4_3A
TS22: midbrain tegmentum Moderate Ubiquitous Embryo_N306_4_2D
TS22: hindbrain Moderate Ubiquitous Embryo_N306_4_2A
TS22: cerebellum Moderate Ubiquitous Embryo_N306_4_3B
TS22: pons Moderate Ubiquitous Embryo_N306_4_2A
TS22: medulla oblongata Moderate Ubiquitous Embryo_N306_4_2A
TS22: spinal cord Moderate Ubiquitous Embryo_N306_4_2A
TS22: choroid plexus Absent
TS22: meninges Absent
TS22: peripheral nervous system Moderate Ubiquitous Embryo_N306_4_3C
TS22: cranial ganglion Moderate Ubiquitous Embryo_N306_4_2A
TS22: dorsal root ganglion Moderate Ubiquitous Embryo_N306_4_3C
TS22: eye Strong Regionally restricted Embryo_N306_4_1A
TS22: retina Strong Ubiquitous Embryo_N306_4_1A
TS22: lens Absent
TS22: cornea Absent
TS22: optic nerve Moderate Ubiquitous Embryo_N306_4_2B
TS22: nose Strong Ubiquitous Embryo_N306_4_3B
TS22: olfactory epithelium Strong Ubiquitous Embryo_N306_4_3B
TS22: ear Moderate Regionally restricted Embryo_N306_4_2A
TS22: inner ear Moderate Regionally restricted Embryo_N306_4_2A
TS22: cochlea Moderate Regionally restricted Embryo_N306_4_2A
TS22: inner ear labyrinth Moderate Regionally restricted Embryo_N306_4_1B
TS22: middle ear Moderate Regionally restricted Embryo_N306_4_5D
TS22: alimentary system Strong Regionally restricted Embryo_N306_4_2C Expression was strong in the digestive system.
TS22: intestine Weak Regionally restricted Embryo_N306_4_3D
TS22: salivary gland Strong Ubiquitous Embryo_N306_4_1D
TS22: tongue Absent
TS22: tooth Moderate Ubiquitous Embryo_N306_4_3A
TS22: palatal shelf Absent
TS22: esophagus Strong Regionally restricted Embryo_N306_4_2C
TS22: stomach Strong Regionally restricted Embryo_N306_4_1A
TS22: liver Strong Regionally restricted Embryo_N306_4_2C
TS22: respiratory system Strong Regionally restricted Embryo_N306_4_3B
TS22: pharynx Strong Regionally restricted Embryo_N306_4_3B
TS22: larynx Strong Regionally restricted Embryo_N306_4_3B
TS22: trachea Weak Ubiquitous Embryo_N306_4_2D
TS22: main bronchus Strong Regionally restricted Embryo_N306_4_3B
TS22: lung Strong Regionally restricted Embryo_N306_4_3B
TS22: urinary system Moderate Regionally restricted Embryo_N306_4_3C Expression was detected in the genito-urinary system.
TS22: metanephros Weak Ubiquitous Embryo_N306_4_3D
TS22: ureter Absent
TS22: bladder Moderate Regionally restricted Embryo_N306_4_3C
TS22: urethra Moderate Regionally restricted Embryo_N306_4_3C
TS22: reproductive system Moderate Regionally restricted Embryo_N306_4_3D
TS22: genital tubercle Moderate Regionally restricted Embryo_N306_4_3D
TS22: gonad Absent
TS22: gland Strong Regionally restricted Embryo_N306_4_3A Expression was strong in the endocrine system.
TS22: thyroid gland Moderate Ubiquitous Embryo_N306_4_2B
TS22: pituitary gland Strong Ubiquitous Embryo_N306_4_3A
TS22: pancreas Weak Ubiquitous Embryo_N306_4_3C
TS22: adrenal gland Absent
TS22: cardiovascular system Absent
TS22: heart Absent
TS22: heart atrium Absent
TS22: heart ventricle Absent
TS22: blood vessel Absent
TS22: hemolymphoid system Moderate Regionally restricted Embryo_N306_4_3B Expression was detected in the immune system.
TS22: spleen primordium Absent
TS22: thymus primordium Moderate Ubiquitous Embryo_N306_4_3B
TS22: appendicular skeleton Absent Expression was not detected in the skeleton (limbs, shoulder, hip).
TS22: musculature Absent
TS22: face Absent Expression was not detected in the face/soft tissues.
TS22: facial bone primordium Absent
TS22: cranium Absent Expression was not detected in the skull (base and vault).
TS22: axial skeleton Absent
TS22: tail Moderate Regionally restricted Embryo_N306_4_4B
TS22: forelimb Strong Regionally restricted Embryo_N306_4_6B
TS22: hindlimb Strong Regionally restricted Embryo_N306_4_6B
TS22: integumental system Strong Regionally restricted Embryo_N306_4_5B
TS22: skin Strong Regionally restricted Embryo_N306_4_4A
TS22: hair Strong Regionally restricted Embryo_N306_4_5B
TS22: vibrissa follicle Strong Regionally restricted Embryo_N306_4_5B Expression was strong in whisker follicle.


Contributing Projects:
Mouse Genome Database (MGD), Gene Expression Database (GXD), Mouse Models of Human Cancer database (MMHCdb) (formerly Mouse Tumor Biology (MTB)), Gene Ontology (GO)
Citing These Resources
Funding Information
Warranty Disclaimer, Privacy Notice, Licensing, & Copyright
Send questions and comments to User Support.
last database update
12/30/2025
MGI 6.24
The Jackson Laboratory