About   Help   FAQ
Gene Expression Data
Assay Details
Assay
Reference: J:122989 Visel A, et al., GenePaint.org: an atlas of gene expression patterns in the mouse embryo. Nucleic Acids Res. 2004 Jan 1;32(Database issue):D552-6
Assay type: RNA in situ
MGI Accession ID: MGI:5423520
Gene symbol: Galnt1
Gene name: polypeptide N-acetylgalactosaminyltransferase 1
Probe: ES802 probe 787
Probe preparation: Antisense labelled with digoxigenin RNA
Visualized with: Alkaline phosphatase
Assay notes: Cryosections of fresh frozen material were fixed in 4% paraformaldehyde for 20 min. before further processing. A tyramide-biotin/streptavidin amplification step was included in the in situ hybridization procedure. These data were downloaded from GenePaint.org on 1/30/12.
Results
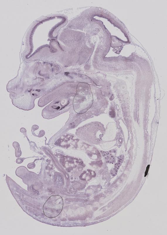
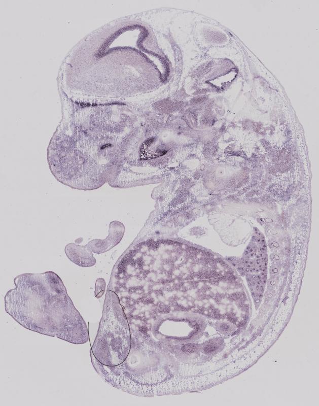
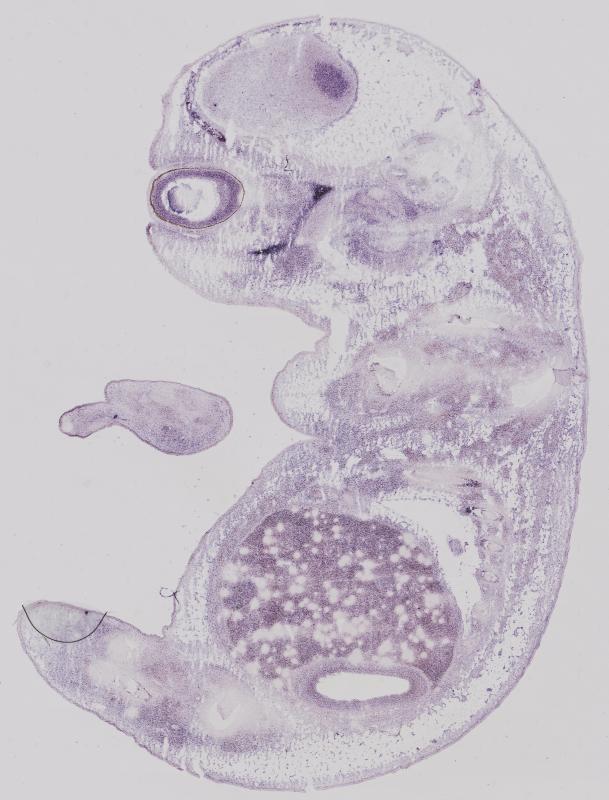
Specimen ES802; Specimen S325: embryonic day 14.5 (more )
Structure Level Pattern Image Note
TS22: nervous system Strong Regionally restricted Embryo_S325_3_3D
TS22: central nervous system Strong Regionally restricted Embryo_S325_3_3D
TS22: telencephalon Strong Regionally restricted Embryo_S325_3_3A
TS22: cerebral cortex Strong Regionally restricted Embryo_S325_3_3A
TS22: neocortex Strong Regionally restricted Embryo_S325_3_3A
TS22: olfactory cortex Strong Regionally restricted Embryo_S325_3_3A
TS22: main olfactory bulb Strong Regionally restricted Embryo_S325_3_3B
TS22: piriform cortex Absent
TS22: hippocampus Strong Regionally restricted Embryo_S325_3_3A
TS22: basal ganglia Strong Regionally restricted Embryo_S325_3_2A
TS22: corpus striatum Strong Regionally restricted Embryo_S325_3_2A Expression was strong in the corpus striatum (lateral ganglionic eminence).
TS22: basal forebrain Absent
TS22: amygdala Absent
TS22: telencephalon septum Strong Regionally restricted Embryo_S325_3_3B
TS22: pallidum Strong Regionally restricted Embryo_S325_3_3B Expression was strong in the pallidum (medial ganglionic eminence).
TS22: diencephalon Moderate Regionally restricted Embryo_S325_3_3D
TS22: thalamus Moderate Ubiquitous Embryo_S325_3_3D
TS22: hypothalamus Weak Regionally restricted Embryo_S325_3_3C
TS22: midbrain Strong Regionally restricted Embryo_S325_3_3D
TS22: pretectum Absent
TS22: superior colliculus Strong Regionally restricted Embryo_S325_3_3D
TS22: inferior colliculus Strong Regionally restricted Embryo_S325_3_3B
TS22: midbrain tegmentum Strong Regionally restricted Embryo_S325_3_3D
TS22: hindbrain Strong Regionally restricted Embryo_S325_3_3D
TS22: cerebellum Weak Regionally restricted Embryo_S325_3_3C
TS22: pons Strong Regionally restricted Embryo_S325_3_3D
TS22: medulla oblongata Strong Regionally restricted Embryo_S325_3_3D
TS22: spinal cord Absent
TS22: choroid plexus Absent
TS22: meninges Absent
TS22: peripheral nervous system Absent
TS22: cranial ganglion Absent
TS22: dorsal root ganglion Absent
TS22: eye Strong Regionally restricted Embryo_S325_3_1A
TS22: retina Moderate Ubiquitous Embryo_S325_3_1A
TS22: lens Strong Regionally restricted Embryo_S325_3_1A
TS22: cornea Absent
TS22: optic nerve Absent
TS22: nose Absent
TS22: olfactory epithelium Absent
TS22: ear Weak Regionally restricted Embryo_S325_3_2C
TS22: inner ear Weak Regionally restricted Embryo_S325_3_2C
TS22: cochlea Absent
TS22: inner ear labyrinth Weak Regionally restricted Embryo_S325_3_2C
TS22: middle ear Absent
TS22: alimentary system Strong Regionally restricted Embryo_S325_3_3C Expression was strong in the digestive system.
TS22: intestine Weak Regionally restricted Embryo_S325_3_3B
TS22: salivary gland Weak Regionally restricted Embryo_S325_3_2C
TS22: tongue Weak Regionally restricted Embryo_S325_3_3C
TS22: tooth Strong Regionally restricted Embryo_S325_3_3C
TS22: palatal shelf Moderate Regionally restricted Embryo_S325_3_4B
TS22: esophagus Weak Regionally restricted Embryo_S325_3_3D
TS22: stomach Moderate Ubiquitous Embryo_S325_3_1B
TS22: liver Moderate Ubiquitous Embryo_S325_3_1A
TS22: respiratory system Strong Regionally restricted Embryo_S325_3_2D
TS22: pharynx Strong Regionally restricted Embryo_S325_3_4A
TS22: larynx Strong Regionally restricted Embryo_S325_3_4A
TS22: trachea Strong Ubiquitous Embryo_S325_3_4A
TS22: main bronchus Absent
TS22: lung Strong Regionally restricted Embryo_S325_3_2D
TS22: urinary system Moderate Regionally restricted Embryo_S325_3_3A Expression was detected in the genito-urinary system.
TS22: metanephros Moderate Ubiquitous Embryo_S325_3_3A
TS22: ureter Absent
TS22: bladder Weak Ubiquitous Embryo_S325_3_3D
TS22: urethra Absent
TS22: reproductive system Absent
TS22: genital tubercle Absent
TS22: gonad Absent
TS22: gland Moderate Regionally restricted Embryo_S325_3_4A Expression was detected in the endocrine system.
TS22: thyroid gland Moderate Ubiquitous Embryo_S325_3_3B
TS22: pituitary gland Moderate Regionally restricted Embryo_S325_3_4A
TS22: pancreas Weak Ubiquitous Embryo_S325_3_2D
TS22: adrenal gland Weak Ubiquitous Embryo_S325_3_2D
TS22: cardiovascular system Strong Regionally restricted Embryo_S325_3_3D
TS22: heart Strong Regionally restricted Embryo_S325_3_3D
TS22: heart atrium Absent
TS22: heart ventricle Strong Regionally restricted Embryo_S325_3_3D
TS22: blood vessel Absent
TS22: hemolymphoid system Strong Regionally restricted Embryo_S325_3_4A Expression was strong in the immune system.
TS22: spleen primordium Absent
TS22: thymus primordium Strong Ubiquitous Embryo_S325_3_4A
TS22: appendicular skeleton Absent Expression was not detected in the skeleton (limbs, shoulder, hip).
TS22: musculature Absent
TS22: face Absent Expression was not detected in the face/soft tissues.
TS22: facial bone primordium Strong Regionally restricted Embryo_S325_3_2D
TS22: cranium Strong Regionally restricted Embryo_S325_3_6A Expression was strong in the skull (base and vault).
TS22: axial skeleton Strong Regionally restricted Embryo_S325_3_5D
TS22: tail Weak Ubiquitous Embryo_S325_3_4A
TS22: forelimb Weak Ubiquitous Embryo_S325_3_1B
TS22: hindlimb Weak Regionally restricted Embryo_S325_3_2A
TS22: integumental system Absent
TS22: skin Absent
TS22: hair Absent
TS22: vibrissa follicle Absent Expression was not detected in whisker follicle.


Contributing Projects:
Mouse Genome Database (MGD), Gene Expression Database (GXD), Mouse Models of Human Cancer database (MMHCdb) (formerly Mouse Tumor Biology (MTB)), Gene Ontology (GO)
Citing These Resources
Funding Information
Warranty Disclaimer, Privacy Notice, Licensing, & Copyright
Send questions and comments to User Support.
last database update
12/30/2025
MGI 6.24
The Jackson Laboratory