About   Help   FAQ
Gene Expression Data
Assay Details
Assay
Reference: J:122989 Visel A, et al., GenePaint.org: an atlas of gene expression patterns in the mouse embryo. Nucleic Acids Res. 2004 Jan 1;32(Database issue):D552-6
Assay type: RNA in situ
MGI Accession ID: MGI:5423503
Gene symbol: Ache
Gene name: acetylcholinesterase
Probe: EG518 probe 593
Probe preparation: Antisense labelled with digoxigenin RNA
Visualized with: Alkaline phosphatase
Assay notes: Cryosections of fresh frozen material were fixed in 4% paraformaldehyde for 20 min. before further processing. A tyramide-biotin/streptavidin amplification step was included in the in situ hybridization procedure. These data were downloaded from GenePaint.org on 1/30/12.
Results
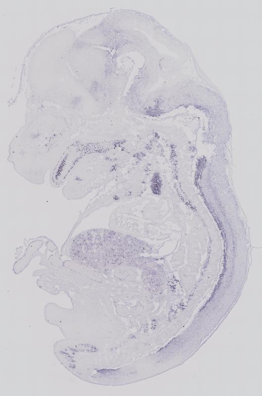
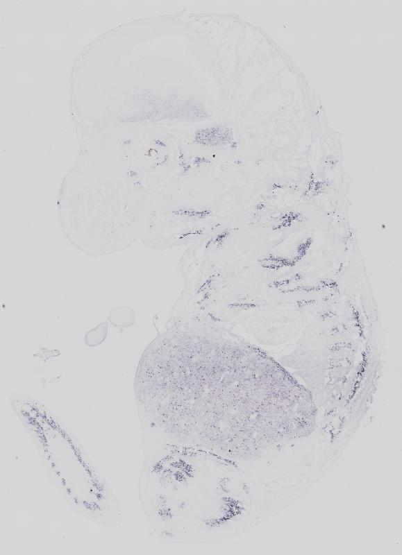
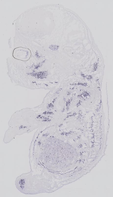
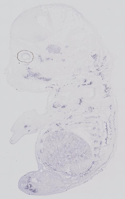
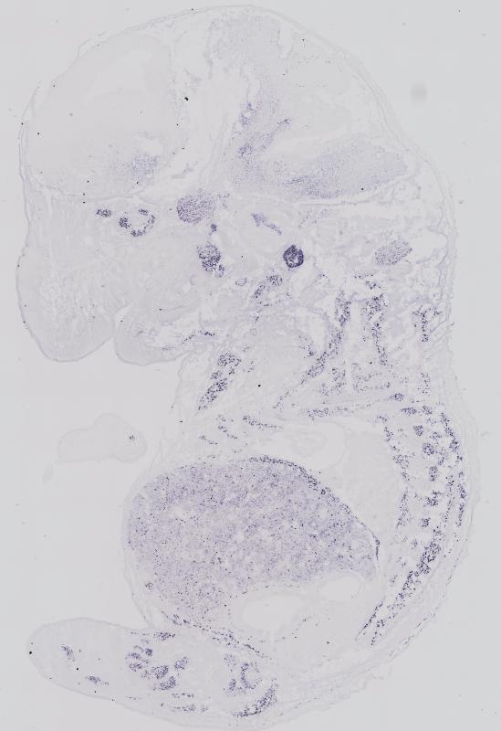
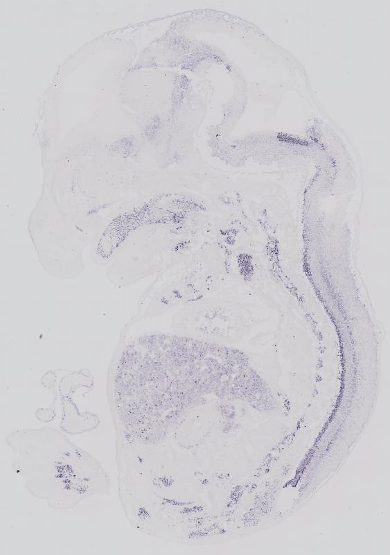
Specimen EG518; Specimen G0268: embryonic day 14.5 (more )
Structure Level Pattern Image Note
TS22: nervous system Strong Regionally restricted Embryo_G0268_5_3A
TS22: central nervous system Strong Regionally restricted Embryo_G0268_5_3A
TS22: telencephalon Absent
TS22: cerebral cortex Absent
TS22: neocortex Absent
TS22: olfactory cortex Absent
TS22: main olfactory bulb Absent
TS22: piriform cortex Absent
TS22: hippocampus Absent
TS22: basal ganglia Absent
TS22: corpus striatum Absent Expression was not detected in the corpus striatum (lateral ganglionic eminence).
TS22: basal forebrain Absent
TS22: amygdala Absent
TS22: telencephalon septum Absent
TS22: pallidum Absent Expression was not detected in the pallidum (medial ganglionic eminence).
TS22: diencephalon Weak Regionally restricted Embryo_G0268_5_4A
TS22: thalamus Weak Regionally restricted Embryo_G0268_5_4A
TS22: hypothalamus Weak Regionally restricted Embryo_G0268_5_4A
TS22: midbrain Weak Regionally restricted Embryo_G0268_5_4A
TS22: pretectum Weak Regionally restricted Embryo_G0268_5_4A
TS22: superior colliculus Absent
TS22: inferior colliculus Absent
TS22: midbrain tegmentum Weak Regionally restricted Embryo_G0268_5_3D
TS22: hindbrain Strong Regionally restricted Embryo_G0268_5_3A
TS22: cerebellum Weak Regionally restricted Embryo_G0268_5_4A
TS22: pons Weak Regionally restricted Embryo_G0268_5_4B
TS22: medulla oblongata Strong Regionally restricted Embryo_G0268_5_3A
TS22: spinal cord Strong Regionally restricted Embryo_G0268_5_3A
TS22: choroid plexus Absent
TS22: meninges Absent
TS22: peripheral nervous system Strong Regionally restricted Embryo_G0268_5_2A
TS22: cranial ganglion Strong Regionally restricted Embryo_G0268_5_2A
TS22: dorsal root ganglion Absent
TS22: eye Weak Regionally restricted Embryo_G0268_5_1B
TS22: retina Weak Regionally restricted Embryo_G0268_5_1B
TS22: lens Absent
TS22: cornea Absent
TS22: optic nerve Absent
TS22: nose Absent
TS22: olfactory epithelium Absent
TS22: ear Moderate Regionally restricted Embryo_G0268_5_2A
TS22: inner ear Moderate Regionally restricted Embryo_G0268_5_2A
TS22: cochlea Moderate Regionally restricted Embryo_G0268_5_2A
TS22: inner ear labyrinth Absent
TS22: middle ear Absent
TS22: alimentary system Strong Regionally restricted Embryo_G0268_5_3B Expression was strong in the digestive system.
TS22: intestine Absent
TS22: salivary gland Absent
TS22: tongue Strong Regionally restricted Embryo_G0268_5_3B
TS22: tooth Absent
TS22: palatal shelf Absent
TS22: esophagus Absent
TS22: stomach Absent
TS22: liver Strong Scattered Embryo_G0268_5_1B
TS22: respiratory system Absent
TS22: pharynx Absent
TS22: larynx Absent
TS22: trachea Absent
TS22: main bronchus Absent
TS22: lung Absent
TS22: urinary system Absent Expression was not detected in the genito-urinary system.
TS22: metanephros Absent
TS22: ureter Absent
TS22: bladder Absent
TS22: urethra Absent
TS22: reproductive system Absent
TS22: genital tubercle Absent
TS22: gonad Absent
TS22: gland Absent Expression was not detected in the endocrine system.
TS22: thyroid gland Absent
TS22: pituitary gland Absent
TS22: pancreas Absent
TS22: adrenal gland Absent
TS22: cardiovascular system Weak Regionally restricted Embryo_G0268_5_3B
TS22: heart Weak Regionally restricted Embryo_G0268_5_3B
TS22: heart atrium Absent
TS22: heart ventricle Weak Regionally restricted Embryo_G0268_5_3B
TS22: blood vessel Absent
TS22: hemolymphoid system Strong Regionally restricted Embryo_G0268_5_3B Expression was strong in the immune system.
TS22: spleen primordium Absent
TS22: thymus primordium Strong Ubiquitous Embryo_G0268_5_3B
TS22: appendicular skeleton Absent Expression was not detected in the skeleton (limbs, shoulder, hip).
TS22: musculature Strong Regionally restricted Embryo_G0268_5_1A
TS22: face Strong Regionally restricted Embryo_G0268_5_1A Expression was strong in the face/soft tissues.
TS22: facial bone primordium Absent
TS22: cranium Absent Expression was not detected in the skull (base and vault).
TS22: axial skeleton Absent
TS22: tail Strong Regionally restricted Embryo_G0268_5_5C
TS22: forelimb Strong Regionally restricted Embryo_G0268_5_1A
TS22: hindlimb Strong Regionally restricted Embryo_G0268_5_3A
TS22: integumental system Absent
TS22: skin Absent
TS22: hair Absent
TS22: vibrissa follicle Absent Expression was not detected in whisker follicle.


Contributing Projects:
Mouse Genome Database (MGD), Gene Expression Database (GXD), Mouse Models of Human Cancer database (MMHCdb) (formerly Mouse Tumor Biology (MTB)), Gene Ontology (GO)
Citing These Resources
Funding Information
Warranty Disclaimer, Privacy Notice, Licensing, & Copyright
Send questions and comments to User Support.
last database update
04/14/2026
MGI 6.24
The Jackson Laboratory