About   Help   FAQ
Gene Expression Data
Assay Details
Assay
Reference: J:122989 Visel A, et al., GenePaint.org: an atlas of gene expression patterns in the mouse embryo. Nucleic Acids Res. 2004 Jan 1;32(Database issue):D552-6
Assay type: RNA in situ
MGI Accession ID: MGI:5423452
Gene symbol: Gucy1b1
Gene name: guanylate cyclase 1, soluble, beta 1
Probe: EH2609 probe 2545
Probe preparation: Antisense labelled with digoxigenin RNA
Visualized with: Alkaline phosphatase
Assay notes: Cryosections of fresh frozen material were fixed in 4% paraformaldehyde for 20 min. before further processing. A tyramide-biotin/streptavidin amplification step was included in the in situ hybridization procedure. These data were downloaded from GenePaint.org on 1/30/12.
Results
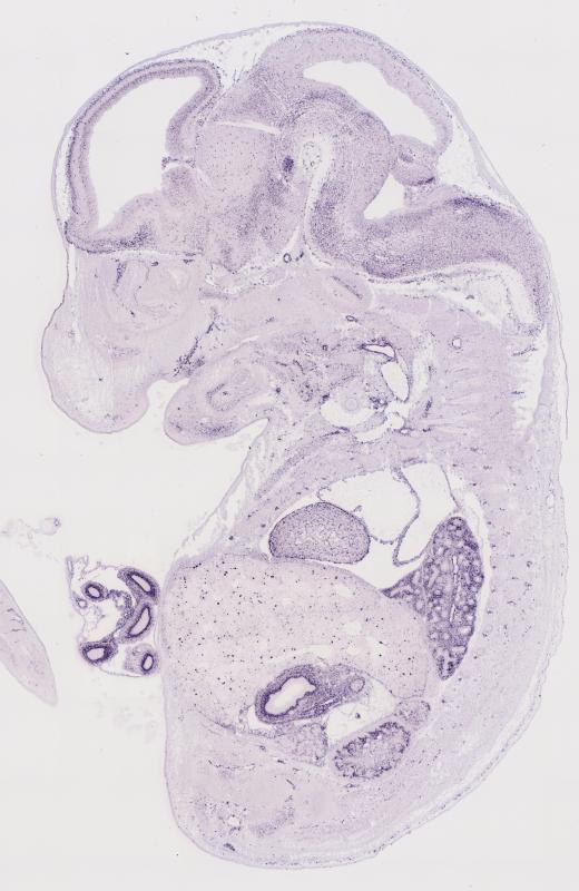
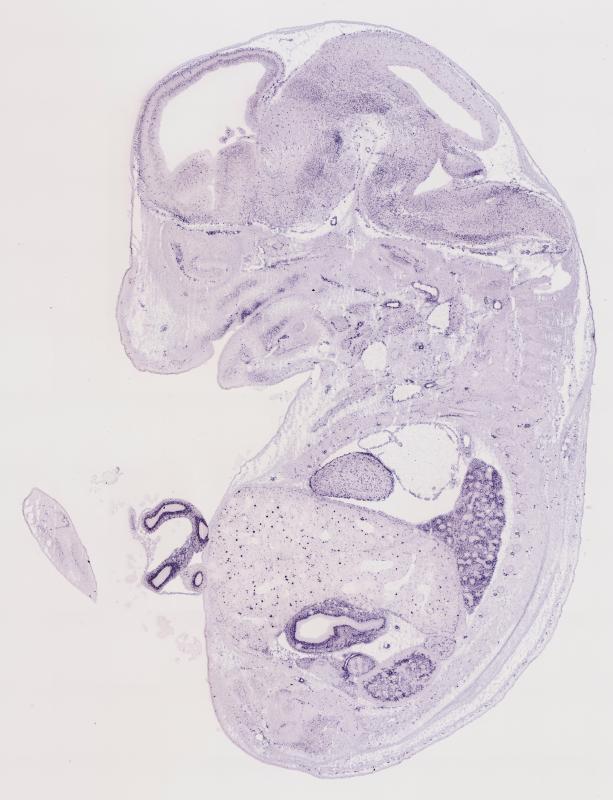
Specimen EH2609; Specimen C2993: embryonic day 14.5 (more )
Structure Level Pattern Image Note
TS22: nervous system Strong Regionally restricted Embryo_C2993_5_1A
TS22: central nervous system Strong Regionally restricted Embryo_C2993_5_2A
TS22: telencephalon Strong Regionally restricted Embryo_C2993_5_2A
TS22: cerebral cortex Strong Regionally restricted Embryo_C2993_5_1A
TS22: neocortex Moderate Regionally restricted Embryo_C2993_5_4C
TS22: olfactory cortex Strong Regionally restricted Embryo_C2993_5_1A
TS22: main olfactory bulb Moderate Regionally restricted Embryo_C2993_5_4C
TS22: piriform cortex Strong Regionally restricted Embryo_C2993_5_1A
TS22: hippocampus Moderate Regionally restricted Embryo_C2993_5_4C
TS22: basal ganglia Strong Regionally restricted Embryo_C2993_5_2A
TS22: corpus striatum Strong Regionally restricted Embryo_C2993_5_2A Expression was strong in the corpus striatum (lateral ganglionic eminence).
TS22: basal forebrain Strong Regionally restricted Embryo_C2993_5_4C
TS22: amygdala Strong Regionally restricted Embryo_C2993_5_1B
TS22: telencephalon septum Absent
TS22: pallidum Weak Regionally restricted Embryo_C2993_5_4D Expression was weak in the pallidum (medial ganglionic eminence).
TS22: diencephalon Moderate Regionally restricted Embryo_C2993_5_4D
TS22: thalamus Moderate Scattered Embryo_C2993_5_4D
TS22: hypothalamus Moderate Regionally restricted Embryo_C2993_5_4D
TS22: midbrain Moderate Regionally restricted Embryo_C2993_5_4B
TS22: pretectum Moderate Regionally restricted Embryo_C2993_5_4B
TS22: superior colliculus Absent
TS22: inferior colliculus Absent
TS22: midbrain tegmentum Moderate Regionally restricted Embryo_C2993_5_4B
TS22: hindbrain Strong Regionally restricted Embryo_C2993_5_4B
TS22: cerebellum Moderate Regionally restricted Embryo_C2993_5_4C
TS22: pons Moderate Regionally restricted Embryo_C2993_5_4C
TS22: medulla oblongata Strong Regionally restricted Embryo_C2993_5_4B
TS22: spinal cord Moderate Regionally restricted Embryo_C2993_5_4B
TS22: choroid plexus Moderate Regionally restricted Embryo_C2993_5_3B
TS22: meninges Absent
TS22: peripheral nervous system Absent
TS22: cranial ganglion Absent
TS22: dorsal root ganglion Absent
TS22: eye Strong Regionally restricted Embryo_C2993_5_1A
TS22: retina Absent
TS22: lens Strong Ubiquitous Embryo_C2993_5_1A
TS22: cornea Absent
TS22: optic nerve Absent
TS22: nose Moderate Regionally restricted Embryo_C2993_5_3B
TS22: olfactory epithelium Moderate Regionally restricted Embryo_C2993_5_3B
TS22: ear Moderate Regionally restricted Embryo_C2993_5_3B
TS22: inner ear Moderate Regionally restricted Embryo_C2993_5_3B
TS22: cochlea Moderate Regionally restricted Embryo_C2993_5_3B
TS22: inner ear labyrinth Absent
TS22: middle ear Moderate Regionally restricted Embryo_C2993_5_1A
TS22: alimentary system Strong Regionally restricted Embryo_C2993_5_4A Expression was strong in the digestive system.
TS22: intestine Strong Regionally restricted Embryo_C2993_5_4A
TS22: salivary gland Moderate Regionally restricted Embryo_C2993_5_5D
TS22: tongue Strong Regionally restricted Embryo_C2993_5_4A
TS22: tooth Absent
TS22: palatal shelf Absent
TS22: esophagus Strong Regionally restricted Embryo_C2993_5_4B
TS22: stomach Strong Regionally restricted Embryo_C2993_5_2A
TS22: liver Strong Scattered Embryo_C2993_5_2A
TS22: respiratory system Strong Regionally restricted Embryo_C2993_5_3C
TS22: pharynx Absent
TS22: larynx Strong Regionally restricted Embryo_C2993_5_4B
TS22: trachea Absent
TS22: main bronchus Absent
TS22: lung Strong Regionally restricted Embryo_C2993_5_3C
TS22: urinary system Strong Regionally restricted Embryo_C2993_5_3A Expression was strong in the genito-urinary system.
TS22: metanephros Strong Regionally restricted Embryo_C2993_5_3A
TS22: ureter Absent
TS22: bladder Moderate Regionally restricted Embryo_C2993_5_4C
TS22: urethra Absent
TS22: reproductive system Strong Regionally restricted Embryo_C2993_5_5A
TS22: genital tubercle Strong Regionally restricted Embryo_C2993_5_5A
TS22: gonad Weak Regionally restricted Embryo_C2993_5_2B
TS22: gland Moderate Regionally restricted Embryo_C2993_5_3C Expression was detected in the endocrine system.
TS22: thyroid gland Moderate Regionally restricted Embryo_C2993_5_4A
TS22: pituitary gland Moderate Regionally restricted Embryo_C2993_5_4B
TS22: pancreas Moderate Regionally restricted Embryo_C2993_5_3C
TS22: adrenal gland Moderate Regionally restricted Embryo_C2993_5_3A
TS22: cardiovascular system Strong Regionally restricted Embryo_C2993_5_4A
TS22: heart Strong Regionally restricted Embryo_C2993_5_4A
TS22: heart atrium Strong Regionally restricted Embryo_C2993_5_4B
TS22: heart ventricle Strong Regionally restricted Embryo_C2993_5_4A
TS22: blood vessel Moderate Regionally restricted Embryo_C2993_5_4B
TS22: hemolymphoid system Strong Regionally restricted Embryo_C2993_5_4A Expression was strong in the immune system.
TS22: spleen primordium Strong Regionally restricted Embryo_C2993_5_2A
TS22: thymus primordium Strong Regionally restricted Embryo_C2993_5_4A
TS22: appendicular skeleton Absent Expression was not detected in the skeleton (limbs, shoulder, hip).
TS22: musculature Moderate Regionally restricted Embryo_C2993_5_1D
TS22: face Moderate Regionally restricted Embryo_C2993_5_1C Expression was detected in the face/soft tissues.
TS22: facial bone primordium Absent
TS22: cranium Absent Expression was not detected in the skull (base and vault).
TS22: axial skeleton Absent
TS22: tail Weak Regionally restricted Embryo_C2993_5_4B
TS22: forelimb Moderate Regionally restricted Embryo_C2993_5_1A
TS22: hindlimb Moderate Regionally restricted Embryo_C2993_5_1A
TS22: integumental system Moderate Regionally restricted Embryo_C2993_5_2B
TS22: skin Absent
TS22: hair Moderate Regionally restricted Embryo_C2993_5_2B
TS22: vibrissa follicle Moderate Regionally restricted Embryo_C2993_5_2B Expression was detected in whisker follicle.


Contributing Projects:
Mouse Genome Database (MGD), Gene Expression Database (GXD), Mouse Models of Human Cancer database (MMHCdb) (formerly Mouse Tumor Biology (MTB)), Gene Ontology (GO)
Citing These Resources
Funding Information
Warranty Disclaimer, Privacy Notice, Licensing, & Copyright
Send questions and comments to User Support.
last database update
03/24/2026
MGI 6.24
The Jackson Laboratory