About   Help   FAQ
Gene Expression Data
Assay Details
Assay
Reference: J:122989 Visel A, et al., GenePaint.org: an atlas of gene expression patterns in the mouse embryo. Nucleic Acids Res. 2004 Jan 1;32(Database issue):D552-6
Assay type: RNA in situ
MGI Accession ID: MGI:5423436
Gene symbol: Ctps1
Gene name: cytidine 5'-triphosphate synthase 1
Probe: EH1903 probe 1820
Probe preparation: Antisense labelled with digoxigenin RNA
Visualized with: Alkaline phosphatase
Assay notes: Cryosections of fresh frozen material were fixed in 4% paraformaldehyde for 20 min. before further processing. A tyramide-biotin/streptavidin amplification step was included in the in situ hybridization procedure. These data were downloaded from GenePaint.org on 1/30/12.
Results
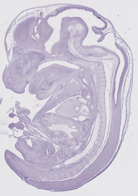
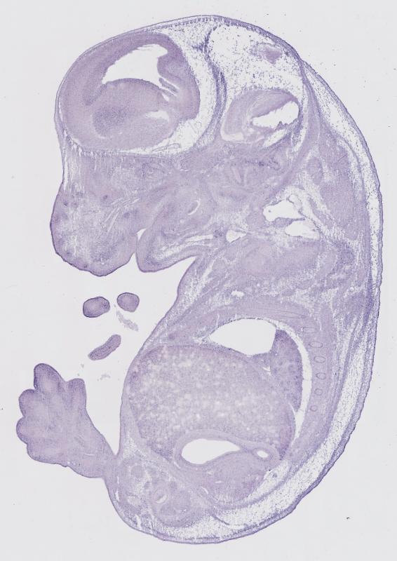
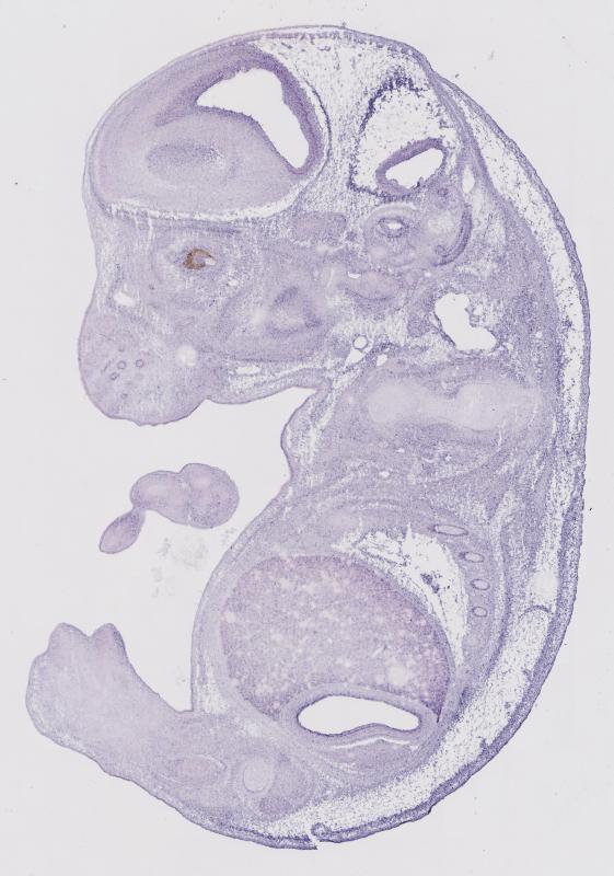
Specimen EH1903; Specimen C2731: embryonic day 14.5 (more )
Structure Level Pattern Image Note
TS22: nervous system Strong Regionally restricted Embryo_C2731_5_4D
TS22: central nervous system Strong Regionally restricted Embryo_C2731_5_4D
TS22: telencephalon Moderate Regionally restricted Embryo_C2731_5_3B
TS22: cerebral cortex Moderate Regionally restricted Embryo_C2731_5_3B
TS22: neocortex Moderate Regionally restricted Embryo_C2731_5_3B
TS22: olfactory cortex Moderate Regionally restricted Embryo_C2731_5_3B
TS22: main olfactory bulb Moderate Regionally restricted Embryo_C2731_5_3B
TS22: piriform cortex Absent
TS22: hippocampus Moderate Regionally restricted Embryo_C2731_5_3B
TS22: basal ganglia Moderate Regionally restricted Embryo_C2731_5_3B
TS22: corpus striatum Moderate Regionally restricted Embryo_C2731_5_2B Expression was detected in the corpus striatum (lateral ganglionic eminence).
TS22: basal forebrain Absent
TS22: amygdala Absent
TS22: telencephalon septum Moderate Regionally restricted Embryo_C2731_5_3B
TS22: pallidum Moderate Regionally restricted Embryo_C2731_5_3B Expression was detected in the pallidum (medial ganglionic eminence).
TS22: diencephalon Absent
TS22: thalamus Absent
TS22: hypothalamus Absent
TS22: midbrain Strong Regionally restricted Embryo_C2731_5_3D
TS22: pretectum Absent
TS22: superior colliculus Strong Regionally restricted Embryo_C2731_5_3D
TS22: inferior colliculus Strong Ubiquitous Embryo_C2731_5_4D
TS22: midbrain tegmentum Strong Regionally restricted Embryo_C2731_5_3D
TS22: hindbrain Absent
TS22: cerebellum Absent
TS22: pons Absent
TS22: medulla oblongata Absent
TS22: spinal cord Moderate Regionally restricted Embryo_C2731_5_4C
TS22: choroid plexus Moderate Regionally restricted Embryo_C2731_5_5B
TS22: meninges Strong Regionally restricted Embryo_C2731_5_1D
TS22: peripheral nervous system Weak Ubiquitous Embryo_C2731_5_5B
TS22: cranial ganglion Weak Ubiquitous Embryo_C2731_5_5B
TS22: dorsal root ganglion Weak Ubiquitous Embryo_C2731_5_5B
TS22: eye Absent
TS22: retina Absent
TS22: lens Absent
TS22: cornea Absent
TS22: optic nerve Absent
TS22: nose Moderate Regionally restricted Embryo_C2731_5_4D
TS22: olfactory epithelium Moderate Regionally restricted Embryo_C2731_5_4D
TS22: ear Absent
TS22: inner ear Absent
TS22: cochlea Absent
TS22: inner ear labyrinth Absent
TS22: middle ear Absent
TS22: alimentary system Strong Regionally restricted Embryo_C2731_5_3A Expression was strong in the digestive system.
TS22: intestine Weak Regionally restricted Embryo_C2731_5_3C
TS22: salivary gland Moderate Regionally restricted Embryo_C2731_5_3A
TS22: tongue Moderate Regionally restricted Embryo_C2731_5_4A
TS22: tooth Moderate Regionally restricted Embryo_C2731_5_3B
TS22: palatal shelf Absent
TS22: esophagus Weak Regionally restricted Embryo_C2731_5_4C
TS22: stomach Strong Regionally restricted Embryo_C2731_5_1D
TS22: liver Strong Regionally restricted Embryo_C2731_5_3A
TS22: respiratory system Moderate Regionally restricted Embryo_C2731_5_2B
TS22: pharynx Absent
TS22: larynx Absent
TS22: trachea Weak Regionally restricted Embryo_C2731_5_4C
TS22: main bronchus Absent
TS22: lung Moderate Regionally restricted Embryo_C2731_5_2B
TS22: urinary system Moderate Regionally restricted Embryo_C2731_5_3A Expression was detected in the genito-urinary system.
TS22: metanephros Moderate Regionally restricted Embryo_C2731_5_3A
TS22: ureter Absent
TS22: bladder Moderate Regionally restricted Embryo_C2731_5_4B
TS22: urethra Absent
TS22: reproductive system Moderate Regionally restricted Embryo_C2731_5_4B
TS22: genital tubercle Moderate Regionally restricted Embryo_C2731_5_4B
TS22: gonad Absent
TS22: gland Moderate Regionally restricted Embryo_C2731_5_3D Expression was detected in the endocrine system.
TS22: thyroid gland Moderate Regionally restricted Embryo_C2731_5_3D
TS22: pituitary gland Moderate Regionally restricted Embryo_C2731_5_3D
TS22: pancreas Weak Regionally restricted Embryo_C2731_5_3B
TS22: adrenal gland Absent
TS22: cardiovascular system Moderate Regionally restricted Embryo_C2731_5_4A
TS22: heart Moderate Regionally restricted Embryo_C2731_5_4A
TS22: heart atrium Absent
TS22: heart ventricle Moderate Regionally restricted Embryo_C2731_5_4A
TS22: blood vessel Absent
TS22: hemolymphoid system Moderate Regionally restricted Embryo_C2731_5_4A Expression was detected in the immune system.
TS22: spleen primordium Absent
TS22: thymus primordium Moderate Regionally restricted Embryo_C2731_5_4A
TS22: appendicular skeleton Absent Expression was not detected in the skeleton (limbs, shoulder, hip).
TS22: musculature Absent
TS22: face Absent Expression was not detected in the face/soft tissues.
TS22: facial bone primordium Absent
TS22: cranium Moderate Regionally restricted Embryo_C2731_5_2A Expression was detected in the skull (base and vault).
TS22: axial skeleton Moderate Regionally restricted Embryo_C2731_5_1D
TS22: tail Weak Regionally restricted Embryo_C2731_5_4D
TS22: forelimb Strong Regionally restricted Embryo_C2731_5_1A
TS22: hindlimb Strong Regionally restricted Embryo_C2731_5_1A
TS22: integumental system Strong Regionally restricted Embryo_C2731_5_1A
TS22: skin Strong Regionally restricted Embryo_C2731_5_1A
TS22: hair Moderate Regionally restricted Embryo_C2731_5_1D
TS22: vibrissa follicle Moderate Regionally restricted Embryo_C2731_5_1D Expression was detected in whisker follicle.


Contributing Projects:
Mouse Genome Database (MGD), Gene Expression Database (GXD), Mouse Models of Human Cancer database (MMHCdb) (formerly Mouse Tumor Biology (MTB)), Gene Ontology (GO)
Citing These Resources
Funding Information
Warranty Disclaimer, Privacy Notice, Licensing, & Copyright
Send questions and comments to User Support.
last database update
12/30/2025
MGI 6.24
The Jackson Laboratory