About   Help   FAQ
Gene Expression Data
Assay Details
Assay
Reference: J:122989 Visel A, et al., GenePaint.org: an atlas of gene expression patterns in the mouse embryo. Nucleic Acids Res. 2004 Jan 1;32(Database issue):D552-6
Assay type: RNA in situ
MGI Accession ID: MGI:5423362
Gene symbol: Hprt1
Gene name: hypoxanthine phosphoribosyltransferase 1
Probe: EH1337 probe 1293
Probe preparation: Antisense labelled with digoxigenin RNA
Visualized with: Alkaline phosphatase
Assay notes: Cryosections of fresh frozen material were fixed in 4% paraformaldehyde for 20 min. before further processing. A tyramide-biotin/streptavidin amplification step was included in the in situ hybridization procedure. These data were downloaded from GenePaint.org on 1/30/12.
Results
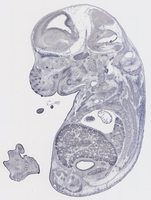
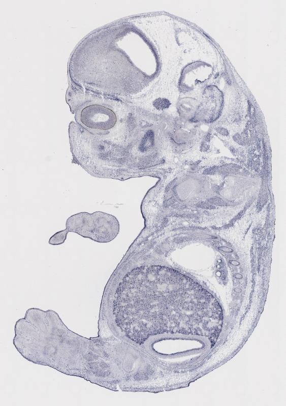
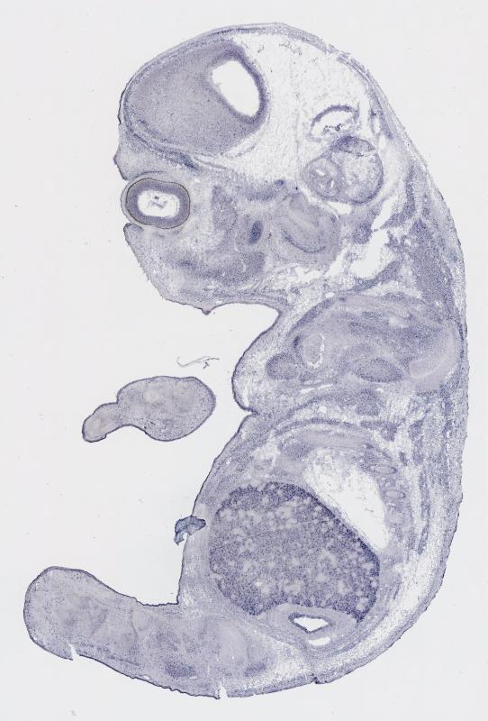
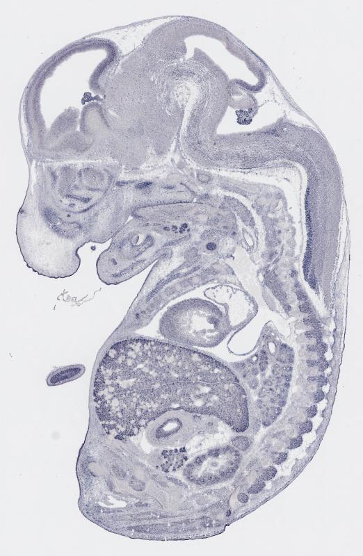
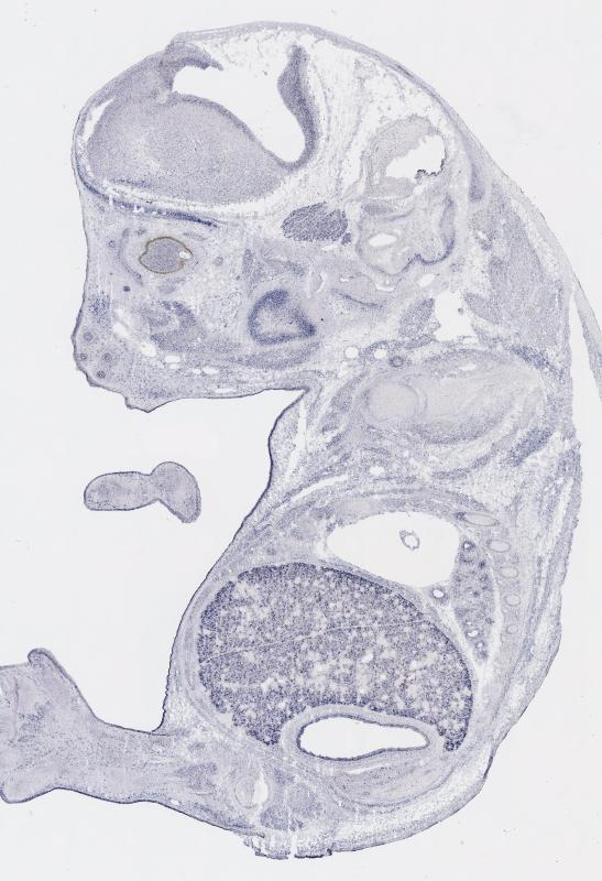
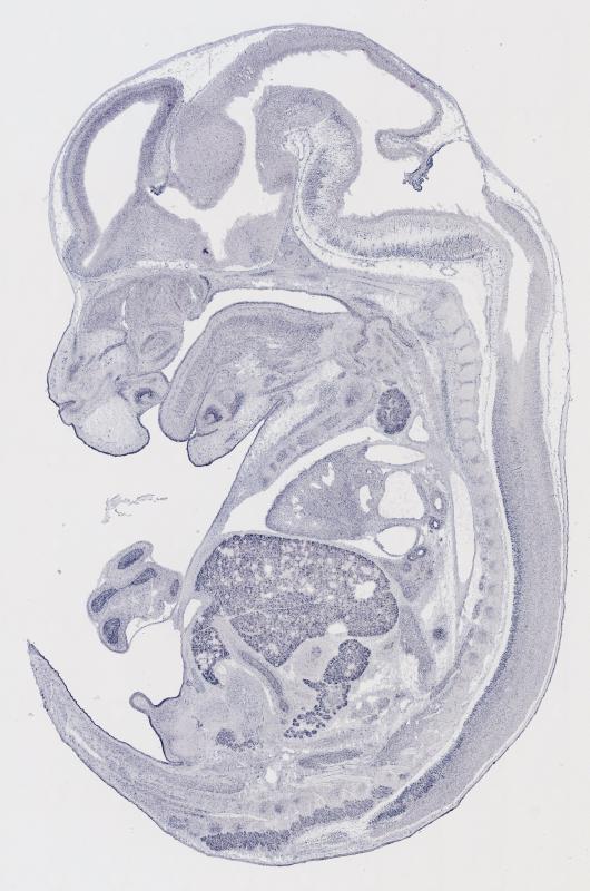
Specimen EH1337; Specimen C2670: embryonic day 14.5 (more )
Structure Level Pattern Image Note
TS22: nervous system Strong Regionally restricted Embryo_C2670_3_3B
TS22: central nervous system Strong Regionally restricted Embryo_C2670_3_3B
TS22: telencephalon Strong Regionally restricted Embryo_C2670_3_3C
TS22: cerebral cortex Strong Regionally restricted Embryo_C2670_3_3C
TS22: neocortex Strong Regionally restricted Embryo_C2670_3_3C
TS22: olfactory cortex Strong Regionally restricted Embryo_C2670_3_1A
TS22: main olfactory bulb Moderate Regionally restricted Embryo_C2670_3_3C
TS22: piriform cortex Strong Regionally restricted Embryo_C2670_3_1A
TS22: hippocampus Strong Regionally restricted Embryo_C2670_3_3B
TS22: basal ganglia Strong Regionally restricted Embryo_C2670_3_2A
TS22: corpus striatum Strong Regionally restricted Embryo_C2670_3_2A Expression was strong in the corpus striatum (lateral ganglionic eminence).
TS22: basal forebrain Absent
TS22: amygdala Absent
TS22: telencephalon septum Weak Regionally restricted Embryo_C2670_3_3C
TS22: pallidum Moderate Regionally restricted Embryo_C2670_3_3C Expression was detected in the pallidum (medial ganglionic eminence).
TS22: diencephalon Moderate Regionally restricted Embryo_C2670_3_3C
TS22: thalamus Moderate Regionally restricted Embryo_C2670_3_3C
TS22: hypothalamus Absent
TS22: midbrain Strong Regionally restricted Embryo_C2670_3_3C
TS22: pretectum Absent
TS22: superior colliculus Absent
TS22: inferior colliculus Strong Regionally restricted Embryo_C2670_3_3C
TS22: midbrain tegmentum Moderate Regionally restricted Embryo_C2670_3_3D
TS22: hindbrain Moderate Regionally restricted Embryo_C2670_3_3D
TS22: cerebellum Absent
TS22: pons Moderate Regionally restricted Embryo_C2670_3_3D
TS22: medulla oblongata Moderate Regionally restricted Embryo_C2670_3_3D
TS22: spinal cord Strong Regionally restricted Embryo_C2670_3_4C
TS22: choroid plexus Strong Regionally restricted Embryo_C2670_3_3B
TS22: meninges Absent
TS22: peripheral nervous system Strong Ubiquitous Embryo_C2670_3_2C
TS22: cranial ganglion Strong Ubiquitous Embryo_C2670_3_2C
TS22: dorsal root ganglion Strong Ubiquitous Embryo_C2670_3_3B
TS22: eye Strong Regionally restricted Embryo_C2670_3_1A
TS22: retina Moderate Regionally restricted Embryo_C2670_3_1B
TS22: lens Strong Regionally restricted Embryo_C2670_3_1A
TS22: cornea Absent
TS22: optic nerve Absent
TS22: nose Strong Regionally restricted Embryo_C2670_3_3A
TS22: olfactory epithelium Strong Regionally restricted Embryo_C2670_3_3A
TS22: ear Moderate Regionally restricted Embryo_C2670_3_1A
TS22: inner ear Moderate Regionally restricted Embryo_C2670_3_1A
TS22: cochlea Moderate Regionally restricted Embryo_C2670_3_3A
TS22: inner ear labyrinth Weak Regionally restricted Embryo_C2670_3_2C
TS22: middle ear Moderate Regionally restricted Embryo_C2670_3_1A
TS22: alimentary system Strong Regionally restricted Embryo_C2670_3_3A Expression was strong in the digestive system.
TS22: intestine Strong Regionally restricted Embryo_C2670_3_4B
TS22: salivary gland Strong Regionally restricted Embryo_C2670_3_3A
TS22: tongue Moderate Regionally restricted Embryo_C2670_3_3D
TS22: tooth Strong Regionally restricted Embryo_C2670_3_3D
TS22: palatal shelf Absent
TS22: esophagus Strong Regionally restricted Embryo_C2670_3_4A
TS22: stomach Strong Regionally restricted Embryo_C2670_3_1C
TS22: liver Strong Ubiquitous Embryo_C2670_3_3C
TS22: respiratory system Strong Regionally restricted Embryo_C2670_3_3B
TS22: pharynx Strong Regionally restricted Embryo_C2670_3_3D
TS22: larynx Weak Regionally restricted Embryo_C2670_3_3D
TS22: trachea Moderate Regionally restricted Embryo_C2670_3_4A
TS22: main bronchus Weak Regionally restricted Embryo_C2670_3_3B
TS22: lung Strong Regionally restricted Embryo_C2670_3_3B
TS22: urinary system Strong Regionally restricted Embryo_C2670_3_3B Expression was strong in the genito-urinary system.
TS22: metanephros Strong Regionally restricted Embryo_C2670_3_3B
TS22: ureter Absent
TS22: bladder Moderate Regionally restricted Embryo_C2670_3_4B
TS22: urethra Moderate Regionally restricted Embryo_C2670_3_4B
TS22: reproductive system Strong Regionally restricted Embryo_C2670_3_2A
TS22: genital tubercle Moderate Regionally restricted Embryo_C2670_3_4B
TS22: gonad Strong Regionally restricted Embryo_C2670_3_2A
TS22: gland Strong Regionally restricted Embryo_C2670_3_3C Expression was strong in the endocrine system.
TS22: thyroid gland Moderate Regionally restricted Embryo_C2670_3_3C
TS22: pituitary gland Absent
TS22: pancreas Strong Regionally restricted Embryo_C2670_3_3C
TS22: adrenal gland Moderate Regionally restricted Embryo_C2670_3_3B
TS22: cardiovascular system Strong Regionally restricted Embryo_C2670_3_4A
TS22: heart Strong Regionally restricted Embryo_C2670_3_4A
TS22: heart atrium Strong Regionally restricted Embryo_C2670_3_4A
TS22: heart ventricle Strong Regionally restricted Embryo_C2670_3_4A
TS22: blood vessel Absent
TS22: hemolymphoid system Strong Regionally restricted Embryo_C2670_3_3C Expression was strong in the immune system.
TS22: spleen primordium Absent
TS22: thymus primordium Strong Ubiquitous Embryo_C2670_3_3C
TS22: appendicular skeleton Absent Expression was not detected in the skeleton (limbs, shoulder, hip).
TS22: musculature Moderate Regionally restricted Embryo_C2670_3_1D
TS22: face Absent Expression was not detected in the face/soft tissues.
TS22: facial bone primordium Absent
TS22: cranium Strong Regionally restricted Embryo_C2670_3_2A Expression was strong in the skull (base and vault).
TS22: axial skeleton Moderate Regionally restricted Embryo_C2670_3_1C
TS22: tail Moderate Regionally restricted Embryo_C2670_3_4A
TS22: forelimb Strong Regionally restricted Embryo_C2670_3_1A
TS22: hindlimb Strong Regionally restricted Embryo_C2670_3_1A
TS22: integumental system Strong Regionally restricted Embryo_C2670_3_2A
TS22: skin Strong Regionally restricted Embryo_C2670_3_2A
TS22: hair Strong Regionally restricted Embryo_C2670_3_2A
TS22: vibrissa follicle Strong Regionally restricted Embryo_C2670_3_2A Expression was strong in whisker follicle.


Contributing Projects:
Mouse Genome Database (MGD), Gene Expression Database (GXD), Mouse Models of Human Cancer database (MMHCdb) (formerly Mouse Tumor Biology (MTB)), Gene Ontology (GO)
Citing These Resources
Funding Information
Warranty Disclaimer, Privacy Notice, Licensing, & Copyright
Send questions and comments to User Support.
last database update
04/14/2026
MGI 6.24
The Jackson Laboratory