About   Help   FAQ
Gene Expression Data
Assay Details
Assay
Reference: J:122989 Visel A, et al., GenePaint.org: an atlas of gene expression patterns in the mouse embryo. Nucleic Acids Res. 2004 Jan 1;32(Database issue):D552-6
Assay type: RNA in situ
MGI Accession ID: MGI:5423351
Gene symbol: Degs1
Gene name: delta 4-desaturase, sphingolipid 1
Probe: EH1343 probe 1303
Probe preparation: Antisense labelled with digoxigenin RNA
Visualized with: Alkaline phosphatase
Assay notes: Cryosections of fresh frozen material were fixed in 4% paraformaldehyde for 20 min. before further processing. A tyramide-biotin/streptavidin amplification step was included in the in situ hybridization procedure. These data were downloaded from GenePaint.org on 1/30/12.
Results
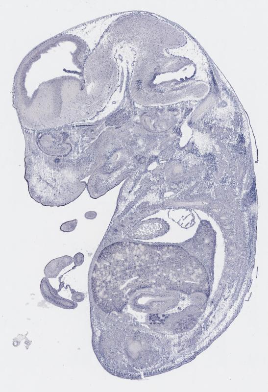
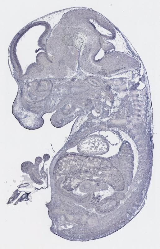
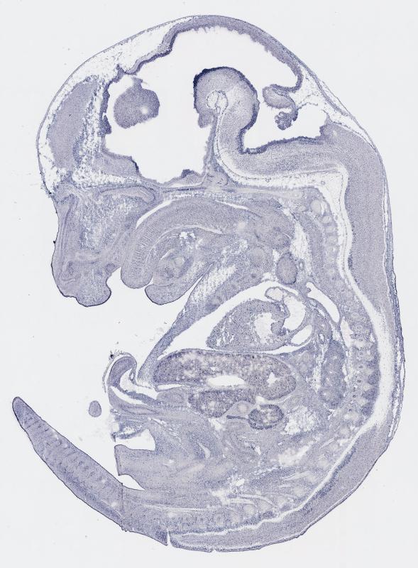
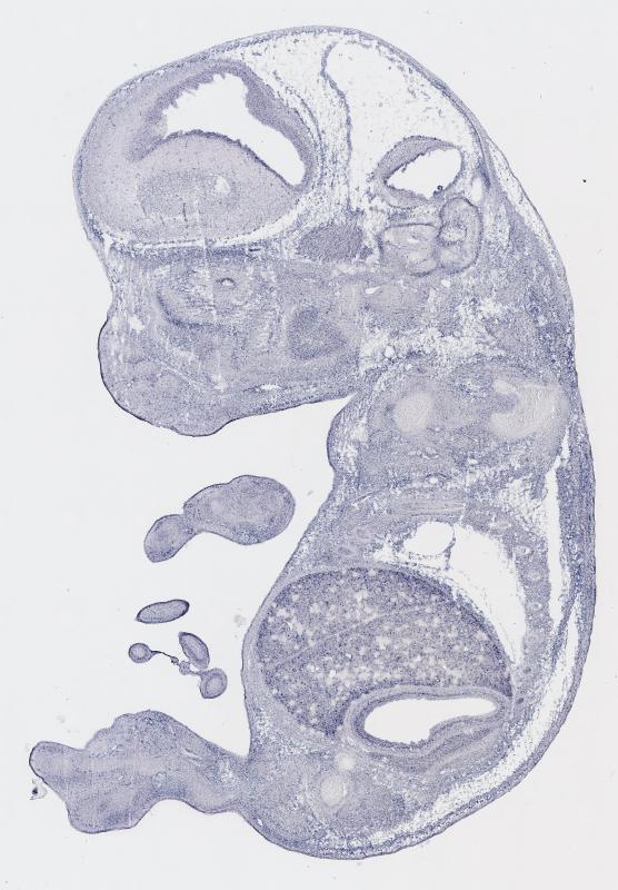
Specimen EH1343; Specimen C2652: embryonic day 14.5 (more )
Structure Level Pattern Image Note
TS22: nervous system Strong Regionally restricted Embryo_C2652_5_5C
TS22: central nervous system Strong Regionally restricted Embryo_C2652_5_5C
TS22: telencephalon Moderate Regionally restricted Embryo_C2652_5_1D
TS22: cerebral cortex Moderate Regionally restricted Embryo_C2652_5_1D
TS22: neocortex Moderate Regionally restricted Embryo_C2652_5_1D
TS22: olfactory cortex Absent
TS22: main olfactory bulb Absent
TS22: piriform cortex Absent
TS22: hippocampus Moderate Regionally restricted Embryo_C2652_5_1D
TS22: basal ganglia Moderate Regionally restricted Embryo_C2652_5_1D
TS22: corpus striatum Moderate Regionally restricted Embryo_C2652_5_1D Expression was detected in the corpus striatum (lateral ganglionic eminence).
TS22: basal forebrain Absent
TS22: amygdala Absent
TS22: telencephalon septum Weak Regionally restricted Embryo_C2652_5_4D
TS22: pallidum Weak Regionally restricted Embryo_C2652_5_4D Expression was weak in the pallidum (medial ganglionic eminence).
TS22: diencephalon Moderate Regionally restricted Embryo_C2652_5_4A
TS22: thalamus Moderate Scattered Embryo_C2652_5_4A
TS22: hypothalamus Weak Regionally restricted Embryo_C2652_5_4A
TS22: midbrain Moderate Regionally restricted Embryo_C2652_5_4B
TS22: pretectum Absent
TS22: superior colliculus Weak Regionally restricted Embryo_C2652_5_4A
TS22: inferior colliculus Weak Regionally restricted Embryo_C2652_5_3C
TS22: midbrain tegmentum Moderate Regionally restricted Embryo_C2652_5_4B
TS22: hindbrain Strong Regionally restricted Embryo_C2652_5_4A
TS22: cerebellum Absent
TS22: pons Strong Regionally restricted Embryo_C2652_5_4A
TS22: medulla oblongata Strong Regionally restricted Embryo_C2652_5_4A
TS22: spinal cord Strong Regionally restricted Embryo_C2652_5_4B
TS22: choroid plexus Strong Regionally restricted Embryo_C2652_5_4A
TS22: meninges Weak Regionally restricted Embryo_C2652_5_5B
TS22: peripheral nervous system Moderate Ubiquitous Embryo_C2652_5_5B
TS22: cranial ganglion Moderate Ubiquitous Embryo_C2652_5_5B
TS22: dorsal root ganglion Moderate Ubiquitous Embryo_C2652_5_5B
TS22: eye Strong Regionally restricted Embryo_C2652_5_5C
TS22: retina Absent
TS22: lens Absent
TS22: cornea Absent
TS22: optic nerve Strong Regionally restricted Embryo_C2652_5_5C
TS22: nose Absent
TS22: olfactory epithelium Absent
TS22: ear Moderate Regionally restricted Embryo_C2652_5_1C
TS22: inner ear Moderate Regionally restricted Embryo_C2652_5_1C
TS22: cochlea Weak Regionally restricted Embryo_C2652_5_1C
TS22: inner ear labyrinth Absent
TS22: middle ear Absent
TS22: alimentary system Strong Regionally restricted Embryo_C2652_5_3A Expression was strong in the digestive system.
TS22: intestine Moderate Regionally restricted Embryo_C2652_5_3B
TS22: salivary gland Absent
TS22: tongue Absent
TS22: tooth Weak Regionally restricted Embryo_C2652_5_4C
TS22: palatal shelf Absent
TS22: esophagus Weak Regionally restricted Embryo_C2652_5_4A
TS22: stomach Weak Regionally restricted Embryo_C2652_5_2C
TS22: liver Strong Regionally restricted Embryo_C2652_5_3A
TS22: respiratory system Moderate Regionally restricted Embryo_C2652_5_3B
TS22: pharynx Absent
TS22: larynx Absent
TS22: trachea Absent
TS22: main bronchus Absent
TS22: lung Moderate Regionally restricted Embryo_C2652_5_3B
TS22: urinary system Moderate Regionally restricted Embryo_C2652_5_5B Expression was detected in the genito-urinary system.
TS22: metanephros Moderate Regionally restricted Embryo_C2652_5_5B
TS22: ureter Absent
TS22: bladder Weak Regionally restricted Embryo_C2652_5_4B
TS22: urethra Absent
TS22: reproductive system Weak Regionally restricted Embryo_C2652_5_4C
TS22: genital tubercle Weak Regionally restricted Embryo_C2652_5_4C
TS22: gonad Absent
TS22: gland Strong Regionally restricted Embryo_C2652_5_3B Expression was strong in the endocrine system.
TS22: thyroid gland Absent
TS22: pituitary gland Absent
TS22: pancreas Strong Regionally restricted Embryo_C2652_5_3B
TS22: adrenal gland Absent
TS22: cardiovascular system Weak Regionally restricted Embryo_C2652_5_3D
TS22: heart Weak Regionally restricted Embryo_C2652_5_3D
TS22: heart atrium Absent
TS22: heart ventricle Weak Scattered Embryo_C2652_5_3D
TS22: blood vessel Weak Regionally restricted Embryo_C2652_5_4A
TS22: hemolymphoid system Moderate Regionally restricted Embryo_C2652_5_4C Expression was detected in the immune system.
TS22: spleen primordium Moderate Regionally restricted Embryo_C2652_5_1C
TS22: thymus primordium Weak Regionally restricted Embryo_C2652_5_4C
TS22: appendicular skeleton Absent Expression was not detected in the skeleton (limbs, shoulder, hip).
TS22: musculature Absent
TS22: face Absent Expression was not detected in the face/soft tissues.
TS22: facial bone primordium Weak Regionally restricted Embryo_C2652_5_4C
TS22: cranium Strong Regionally restricted Embryo_C2652_5_2B Expression was strong in the skull (base and vault).
TS22: axial skeleton Absent
TS22: tail Weak Regionally restricted Embryo_C2652_5_3D
TS22: forelimb Weak Regionally restricted Embryo_C2652_5_1A
TS22: hindlimb Weak Regionally restricted Embryo_C2652_5_1A
TS22: integumental system Moderate Regionally restricted Embryo_C2652_5_2B
TS22: skin Moderate Regionally restricted Embryo_C2652_5_2B
TS22: hair Absent
TS22: vibrissa follicle Absent Expression was not detected in whisker follicle.


Contributing Projects:
Mouse Genome Database (MGD), Gene Expression Database (GXD), Mouse Models of Human Cancer database (MMHCdb) (formerly Mouse Tumor Biology (MTB)), Gene Ontology (GO)
Citing These Resources
Funding Information
Warranty Disclaimer, Privacy Notice, Licensing, & Copyright
Send questions and comments to User Support.
last database update
04/14/2026
MGI 6.24
The Jackson Laboratory