About   Help   FAQ
Gene Expression Data
Assay Details
Assay
Reference: J:122989 Visel A, et al., GenePaint.org: an atlas of gene expression patterns in the mouse embryo. Nucleic Acids Res. 2004 Jan 1;32(Database issue):D552-6
Assay type: RNA in situ
MGI Accession ID: MGI:5423349
Gene symbol: Odc1
Gene name: ornithine decarboxylase, structural 1
Probe: EB1496 probe 1207
Probe preparation: Antisense labelled with digoxigenin RNA
Visualized with: Alkaline phosphatase
Assay notes: Cryosections of fresh frozen material were fixed in 4% paraformaldehyde for 20 min. before further processing. A tyramide-biotin/streptavidin amplification step was included in the in situ hybridization procedure. These data were downloaded from GenePaint.org on 1/30/12.
Results
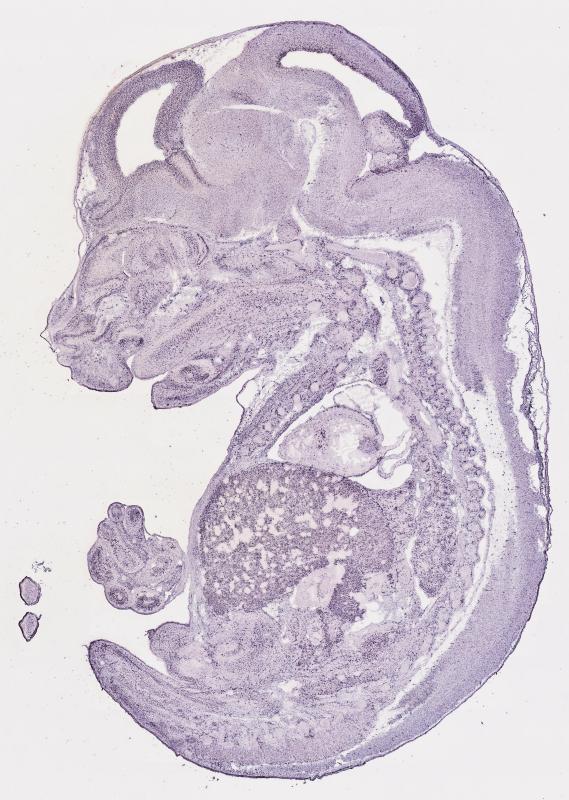
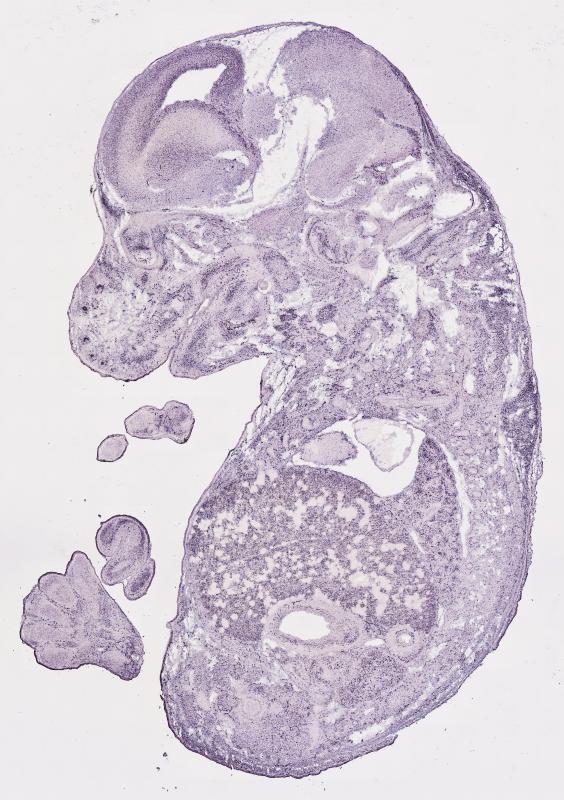
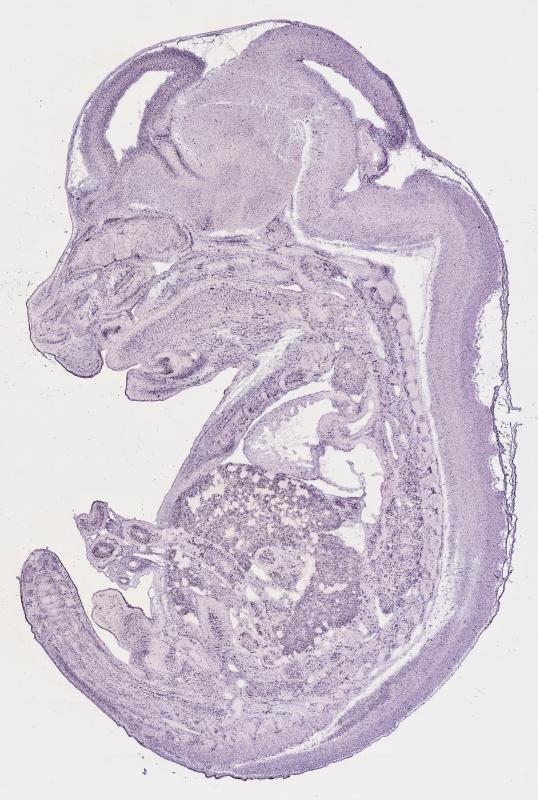
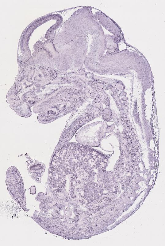
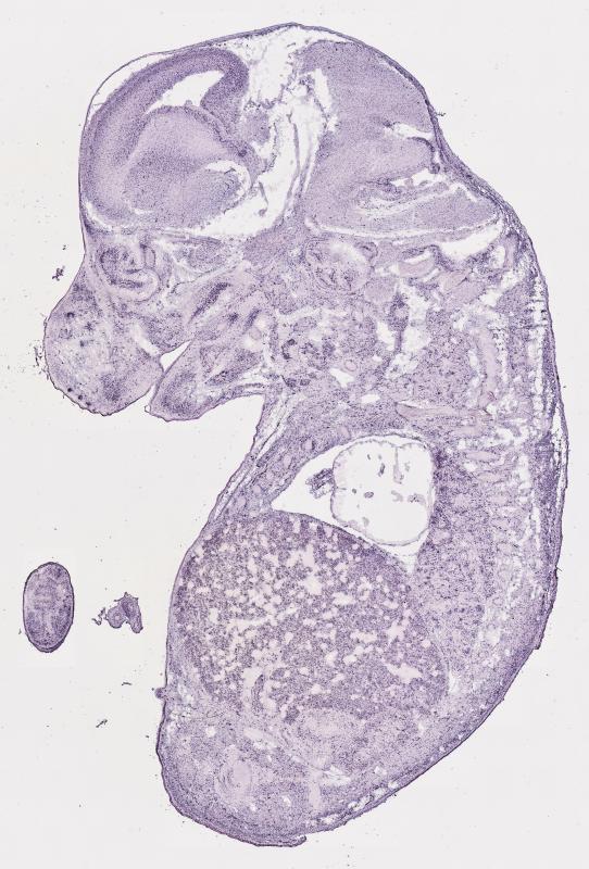
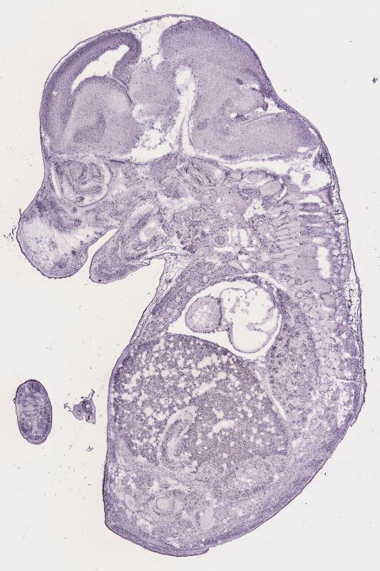
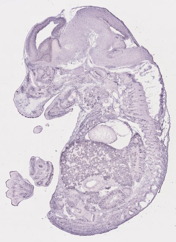
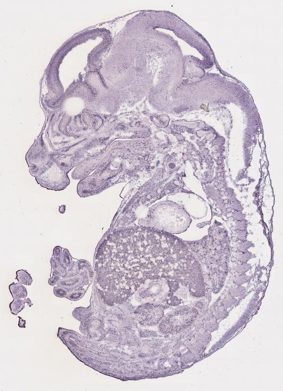
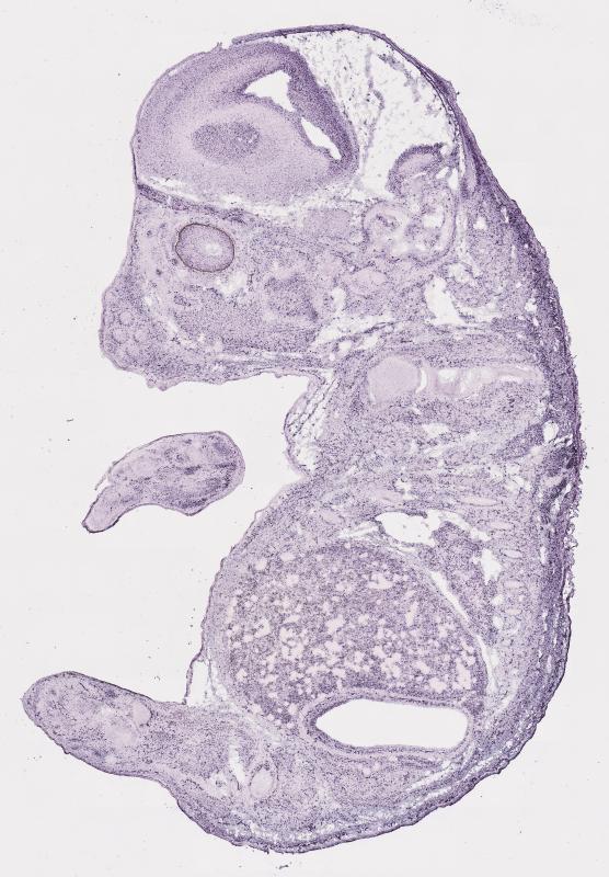
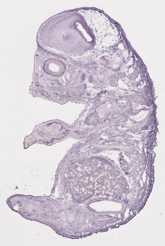
Specimen EB1496; Specimen B545: embryonic day 14.5 (more )
Structure Level Pattern Image Note
TS22: nervous system Strong Regionally restricted Embryo_B545_5_3A
TS22: central nervous system Strong Regionally restricted Embryo_B545_5_3A
TS22: telencephalon Strong Regionally restricted Embryo_B545_5_3A
TS22: cerebral cortex Strong Regionally restricted Embryo_B545_5_3A
TS22: neocortex Strong Regionally restricted Embryo_B545_5_3A
TS22: olfactory cortex Moderate Regionally restricted Embryo_B545_5_3A
TS22: main olfactory bulb Moderate Regionally restricted Embryo_B545_5_2B
TS22: piriform cortex Weak Regionally restricted Embryo_B545_5_2B
TS22: hippocampus Strong Regionally restricted Embryo_B545_5_4B
TS22: basal ganglia Strong Regionally restricted Embryo_B545_5_4B
TS22: corpus striatum Strong Regionally restricted Embryo_B545_5_4B Expression was strong in the corpus striatum (lateral ganglionic eminence).
TS22: basal forebrain Weak Regionally restricted Embryo_B545_5_3B
TS22: amygdala Weak Regionally restricted Embryo_B545_5_3A
TS22: telencephalon septum Strong Regionally restricted Embryo_B545_5_3A
TS22: pallidum Strong Regionally restricted Embryo_B545_5_3A Expression was strong in the pallidum (medial ganglionic eminence).
TS22: diencephalon Weak Regionally restricted Embryo_B545_5_3A
TS22: thalamus Strong Regionally restricted Embryo_B545_5_3D
TS22: hypothalamus Weak Regionally restricted Embryo_B545_5_3A
TS22: midbrain Strong Regionally restricted Embryo_B545_5_3C
TS22: pretectum Weak Regionally restricted Embryo_B545_5_3A
TS22: superior colliculus Moderate Regionally restricted Embryo_B545_5_3A
TS22: inferior colliculus Strong Regionally restricted Embryo_B545_5_3A
TS22: midbrain tegmentum Strong Regionally restricted Embryo_B545_5_3C
TS22: hindbrain Strong Regionally restricted Embryo_B545_5_3C
TS22: cerebellum Strong Regionally restricted Embryo_B545_5_3C
TS22: pons Moderate Regionally restricted Embryo_B545_5_3C
TS22: medulla oblongata Weak Regionally restricted Embryo_B545_5_3D
TS22: spinal cord Moderate Regionally restricted Embryo_B545_5_3D
TS22: choroid plexus Strong Regionally restricted Embryo_B545_5_3A
TS22: meninges Weak Regionally restricted Embryo_B545_5_3C
TS22: peripheral nervous system Moderate Regionally restricted Embryo_B545_5_3A
TS22: cranial ganglion Strong Regionally restricted Embryo_B545_5_2A
TS22: dorsal root ganglion Strong Regionally restricted Embryo_B545_5_5A
TS22: eye Moderate Regionally restricted Embryo_B545_5_2D
TS22: retina Moderate Regionally restricted Embryo_B545_5_1C
TS22: lens Absent
TS22: cornea Moderate Regionally restricted Embryo_B545_5_1A
TS22: optic nerve Moderate Regionally restricted Embryo_B545_5_2D
TS22: nose Strong Regionally restricted Embryo_B545_5_3A
TS22: olfactory epithelium Strong Regionally restricted Embryo_B545_5_3A
TS22: ear Strong Regionally restricted Embryo_B545_5_5B
TS22: inner ear Strong Regionally restricted Embryo_B545_5_5B
TS22: cochlea Strong Regionally restricted Embryo_B545_5_3A
TS22: inner ear labyrinth Strong Regionally restricted Embryo_B545_5_5B
TS22: middle ear Strong Regionally restricted Embryo_B545_5_1B
TS22: alimentary system Strong Regionally restricted Embryo_B545_5_4A Expression was strong in the digestive system.
TS22: intestine Strong Regionally restricted Embryo_B545_5_4A
TS22: salivary gland Strong Regionally restricted Embryo_B545_5_2D
TS22: tongue Weak Regionally restricted Embryo_B545_5_3D
TS22: tooth Strong Regionally restricted Embryo_B545_5_4B
TS22: palatal shelf Moderate Regionally restricted Embryo_B545_5_4A
TS22: esophagus Weak Regionally restricted Embryo_B545_5_3D
TS22: stomach Strong Regionally restricted Embryo_B545_5_1B
TS22: liver Strong Regionally restricted Embryo_B545_5_3C
TS22: respiratory system Strong Regionally restricted Embryo_B545_5_4A
TS22: pharynx Strong Regionally restricted Embryo_B545_5_4A
TS22: larynx Weak Regionally restricted Embryo_B545_5_4B
TS22: trachea Weak Regionally restricted Embryo_B545_5_4B
TS22: main bronchus Weak Regionally restricted Embryo_B545_5_4C
TS22: lung Strong Ubiquitous Embryo_B545_5_4A
TS22: urinary system Strong Regionally restricted Embryo_B545_5_3D Expression was strong in the genito-urinary system.
TS22: metanephros Strong Regionally restricted Embryo_B545_5_2D
TS22: ureter Moderate Regionally restricted Embryo_B545_5_3D
TS22: bladder Strong Regionally restricted Embryo_B545_5_3D
TS22: urethra Absent
TS22: reproductive system Strong Regionally restricted Embryo_B545_5_4A
TS22: genital tubercle Strong Regionally restricted Embryo_B545_5_4A
TS22: gonad Strong Regionally restricted Embryo_B545_5_2B
TS22: gland Strong Regionally restricted Embryo_B545_5_3D Expression was strong in the endocrine system.
TS22: thyroid gland Strong Regionally restricted Embryo_B545_5_3D
TS22: pituitary gland Strong Regionally restricted Embryo_B545_5_4B
TS22: pancreas Strong Regionally restricted Embryo_B545_5_2D
TS22: adrenal gland Moderate Regionally restricted Embryo_B545_5_2D
TS22: cardiovascular system Moderate Regionally restricted Embryo_B545_5_4B
TS22: heart Moderate Regionally restricted Embryo_B545_5_4B
TS22: heart atrium Moderate Regionally restricted Embryo_B545_5_4A
TS22: heart ventricle Moderate Scattered Embryo_B545_5_4B
TS22: blood vessel Moderate Regionally restricted Embryo_B545_5_3D
TS22: hemolymphoid system Strong Regionally restricted Embryo_B545_5_3D Expression was strong in the immune system.
TS22: spleen primordium Strong Regionally restricted Embryo_B545_5_1D
TS22: thymus primordium Strong Regionally restricted Embryo_B545_5_3D
TS22: appendicular skeleton Strong Regionally restricted Embryo_B545_5_1A Expression was strong in the skeleton (limbs, shoulder, hip).
TS22: musculature Strong Regionally restricted Embryo_B545_5_4B
TS22: face Strong Regionally restricted Embryo_B545_5_6A Expression was strong in the face/soft tissues.
TS22: facial bone primordium Strong Regionally restricted Embryo_B545_5_4A
TS22: cranium Strong Regionally restricted Embryo_B545_5_6A Expression was strong in the skull (base and vault).
TS22: axial skeleton Strong Regionally restricted Embryo_B545_5_5A
TS22: tail Strong Regionally restricted Embryo_B545_5_4A
TS22: forelimb Strong Regionally restricted Embryo_B545_5_6C
TS22: hindlimb Strong Regionally restricted Embryo_B545_5_6B
TS22: integumental system Strong Regionally restricted Embryo_B545_5_2B
TS22: skin Strong Regionally restricted Embryo_B545_5_2A
TS22: hair Strong Regionally restricted Embryo_B545_5_2B
TS22: vibrissa follicle Strong Regionally restricted Embryo_B545_5_2B Expression was strong in whisker follicle.


Contributing Projects:
Mouse Genome Database (MGD), Gene Expression Database (GXD), Mouse Models of Human Cancer database (MMHCdb) (formerly Mouse Tumor Biology (MTB)), Gene Ontology (GO)
Citing These Resources
Funding Information
Warranty Disclaimer, Privacy Notice, Licensing, & Copyright
Send questions and comments to User Support.
last database update
03/24/2026
MGI 6.24
The Jackson Laboratory