About   Help   FAQ
Gene Expression Data
Assay Details
Assay
Reference: J:122989 Visel A, et al., GenePaint.org: an atlas of gene expression patterns in the mouse embryo. Nucleic Acids Res. 2004 Jan 1;32(Database issue):D552-6
Assay type: RNA in situ
MGI Accession ID: MGI:5423347
Gene symbol: Mars1
Gene name: methionine-tRNA synthetase 1
Probe: ES1145 probe 1131
Probe preparation: Antisense labelled with digoxigenin RNA
Visualized with: Alkaline phosphatase
Assay notes: Cryosections of fresh frozen material were fixed in 4% paraformaldehyde for 20 min. before further processing. A tyramide-biotin/streptavidin amplification step was included in the in situ hybridization procedure. These data were downloaded from GenePaint.org on 1/30/12.
Results
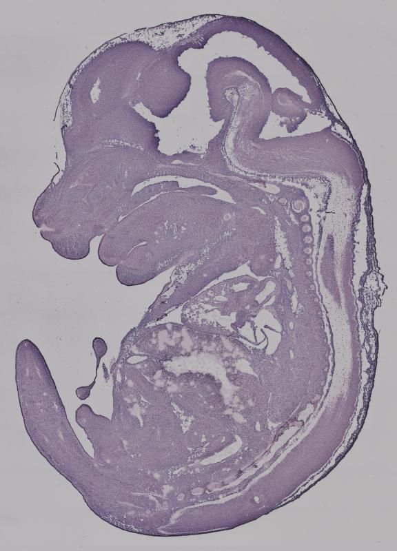
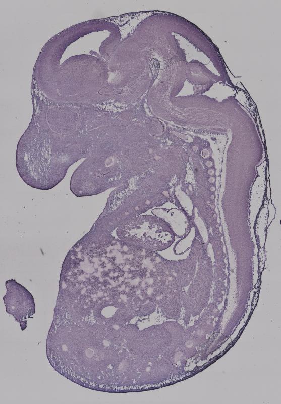
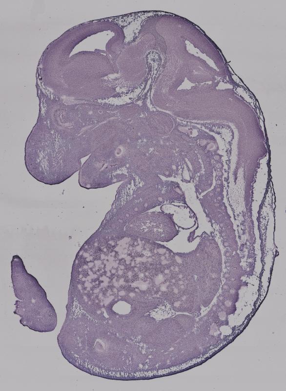
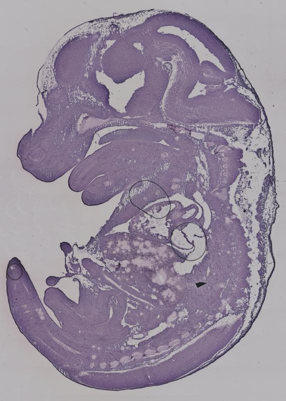
Specimen ES1145; Specimen S416: embryonic day 14.5 (more )
Structure Level Pattern Image Note
TS22: nervous system Strong Regionally restricted Embryo_S416_5_3C
TS22: central nervous system Strong Regionally restricted Embryo_S416_5_3C
TS22: telencephalon Strong Regionally restricted Embryo_S416_5_3C
TS22: cerebral cortex Strong Regionally restricted Embryo_S416_5_3C
TS22: neocortex Strong Regionally restricted Embryo_S416_5_3C
TS22: olfactory cortex Weak Ubiquitous Embryo_S416_5_3C
TS22: main olfactory bulb Weak Ubiquitous Embryo_S416_5_3C
TS22: piriform cortex Weak Ubiquitous Embryo_S416_5_1C
TS22: hippocampus Moderate Ubiquitous Embryo_S416_5_3C
TS22: basal ganglia Moderate Regionally restricted Embryo_S416_5_3B
TS22: corpus striatum Moderate Regionally restricted Embryo_S416_5_2B Expression was detected in the corpus striatum (lateral ganglionic eminence).
TS22: basal forebrain Absent
TS22: amygdala Weak Ubiquitous Embryo_S416_5_1C
TS22: telencephalon septum Moderate Regionally restricted Embryo_S416_5_3C
TS22: pallidum Moderate Regionally restricted Embryo_S416_5_3B Expression was detected in the pallidum (medial ganglionic eminence).
TS22: diencephalon Moderate Regionally restricted Embryo_S416_5_3C
TS22: thalamus Strong Regionally restricted Embryo_S416_5_3C
TS22: hypothalamus Moderate Regionally restricted Embryo_S416_5_3C
TS22: midbrain Strong Regionally restricted Embryo_S416_5_3C
TS22: pretectum Weak Ubiquitous Embryo_S416_5_3B
TS22: superior colliculus Strong Regionally restricted Embryo_S416_5_3C
TS22: inferior colliculus Moderate Ubiquitous Embryo_S416_5_3C
TS22: midbrain tegmentum Strong Regionally restricted Embryo_S416_5_3C
TS22: hindbrain Moderate Regionally restricted Embryo_S416_5_3C
TS22: cerebellum Moderate Regionally restricted Embryo_S416_5_3C
TS22: pons Moderate Regionally restricted Embryo_S416_5_3C
TS22: medulla oblongata Moderate Regionally restricted Embryo_S416_5_3C
TS22: spinal cord Weak Ubiquitous Embryo_S416_5_3C
TS22: choroid plexus Strong Regionally restricted Embryo_S416_5_3C
TS22: meninges Strong Regionally restricted Embryo_S416_5_1C
TS22: peripheral nervous system Moderate Ubiquitous Embryo_S416_5_2B
TS22: cranial ganglion Moderate Ubiquitous Embryo_S416_5_2B
TS22: dorsal root ganglion Moderate Ubiquitous Embryo_S416_5_2B
TS22: eye Weak Ubiquitous Embryo_S416_5_1A
TS22: retina Weak Ubiquitous Embryo_S416_5_1C
TS22: lens Weak Ubiquitous Embryo_S416_5_1A
TS22: cornea Weak Ubiquitous Embryo_S416_5_1B
TS22: optic nerve Weak Ubiquitous Embryo_S416_5_2D
TS22: nose Weak Ubiquitous Embryo_S416_5_3C
TS22: olfactory epithelium Weak Ubiquitous Embryo_S416_5_3C
TS22: ear Weak Regionally restricted Embryo_S416_5_2B
TS22: inner ear Weak Ubiquitous Embryo_S416_5_2B
TS22: cochlea Weak Ubiquitous Embryo_S416_5_2D
TS22: inner ear labyrinth Weak Ubiquitous Embryo_S416_5_2B
TS22: middle ear Absent
TS22: alimentary system Strong Regionally restricted Embryo_S416_5_1C Expression was strong in the digestive system.
TS22: intestine Strong Regionally restricted Embryo_S416_5_4A
TS22: salivary gland Weak Ubiquitous Embryo_S416_5_2B
TS22: tongue Weak Ubiquitous Embryo_S416_5_3C
TS22: tooth Weak Ubiquitous Embryo_S416_5_3D
TS22: palatal shelf Moderate Ubiquitous Embryo_S416_5_3C
TS22: esophagus Moderate Regionally restricted Embryo_S416_5_3B
TS22: stomach Strong Regionally restricted Embryo_S416_5_1C
TS22: liver Moderate Ubiquitous Embryo_S416_5_1C
TS22: respiratory system Weak Ubiquitous Embryo_S416_5_2B
TS22: pharynx Weak Ubiquitous Embryo_S416_5_3B
TS22: larynx Weak Ubiquitous Embryo_S416_5_3B
TS22: trachea Weak Ubiquitous Embryo_S416_5_3B
TS22: main bronchus Weak Ubiquitous Embryo_S416_5_2D
TS22: lung Weak Ubiquitous Embryo_S416_5_2B
TS22: urinary system Strong Regionally restricted Embryo_S416_5_3D Expression was strong in the genito-urinary system.
TS22: metanephros Weak Ubiquitous Embryo_S416_5_2C
TS22: ureter Absent
TS22: bladder Weak Ubiquitous Embryo_S416_5_4A
TS22: urethra Weak Ubiquitous Embryo_S416_5_4A
TS22: reproductive system Strong Regionally restricted Embryo_S416_5_3D
TS22: genital tubercle Strong Regionally restricted Embryo_S416_5_3D
TS22: gonad Weak Ubiquitous Embryo_S416_5_2A
TS22: gland Weak Ubiquitous Embryo_S416_5_3A Expression was weak in the endocrine system.
TS22: thyroid gland Weak Ubiquitous Embryo_S416_5_3A
TS22: pituitary gland Weak Ubiquitous Embryo_S416_5_3B
TS22: pancreas Weak Ubiquitous Embryo_S416_5_3A
TS22: adrenal gland Weak Ubiquitous Embryo_S416_5_2C
TS22: cardiovascular system Moderate Regionally restricted Embryo_S416_5_3B
TS22: heart Moderate Regionally restricted Embryo_S416_5_3B
TS22: heart atrium Moderate Regionally restricted Embryo_S416_5_3B
TS22: heart ventricle Moderate Regionally restricted Embryo_S416_5_3B
TS22: blood vessel Moderate Regionally restricted Embryo_S416_5_3B
TS22: hemolymphoid system Weak Ubiquitous Embryo_S416_5_3A Expression was weak in the immune system.
TS22: spleen primordium Weak Ubiquitous Embryo_S416_5_1C
TS22: thymus primordium Weak Ubiquitous Embryo_S416_5_3A
TS22: appendicular skeleton Absent Expression was not detected in the skeleton (limbs, shoulder, hip).
TS22: musculature Weak Ubiquitous Embryo_S416_5_1B
TS22: face Weak Ubiquitous Embryo_S416_5_2C Expression was weak in the face/soft tissues.
TS22: facial bone primordium Absent
TS22: cranium Absent Expression was not detected in the skull (base and vault).
TS22: axial skeleton Absent
TS22: tail Strong Regionally restricted Embryo_S416_5_3D
TS22: forelimb Strong Regionally restricted Embryo_S416_5_1C
TS22: hindlimb Strong Regionally restricted Embryo_S416_5_1C
TS22: integumental system Strong Regionally restricted Embryo_S416_5_1C
TS22: skin Strong Regionally restricted Embryo_S416_5_1C
TS22: hair Weak Ubiquitous Embryo_S416_5_2C
TS22: vibrissa follicle Weak Ubiquitous Embryo_S416_5_2C Expression was weak in whisker follicle.


Contributing Projects:
Mouse Genome Database (MGD), Gene Expression Database (GXD), Mouse Models of Human Cancer database (MMHCdb) (formerly Mouse Tumor Biology (MTB)), Gene Ontology (GO)
Citing These Resources
Funding Information
Warranty Disclaimer, Privacy Notice, Licensing, & Copyright
Send questions and comments to User Support.
last database update
12/30/2025
MGI 6.24
The Jackson Laboratory