About   Help   FAQ
Gene Expression Data
Assay Details
Assay
Reference: J:122989 Visel A, et al., GenePaint.org: an atlas of gene expression patterns in the mouse embryo. Nucleic Acids Res. 2004 Jan 1;32(Database issue):D552-6
Assay type: RNA in situ
MGI Accession ID: MGI:5423343
Gene symbol: Got1
Gene name: glutamic-oxaloacetic transaminase 1, soluble
Probe: ES599 probe 560
Probe preparation: Antisense labelled with digoxigenin RNA
Visualized with: Alkaline phosphatase
Assay notes: Cryosections of fresh frozen material were fixed in 4% paraformaldehyde for 20 min. before further processing. A tyramide-biotin/streptavidin amplification step was included in the in situ hybridization procedure. These data were downloaded from GenePaint.org on 1/30/12.
Results
Specimen ES599; Specimen S274: embryonic day 14.5 (more )
Structure Level Pattern Image Note
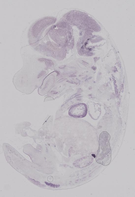
TS22: nervous system Strong Regionally restricted Embryo_S274_3_2B
TS22: central nervous system Strong Regionally restricted Embryo_S274_3_2B
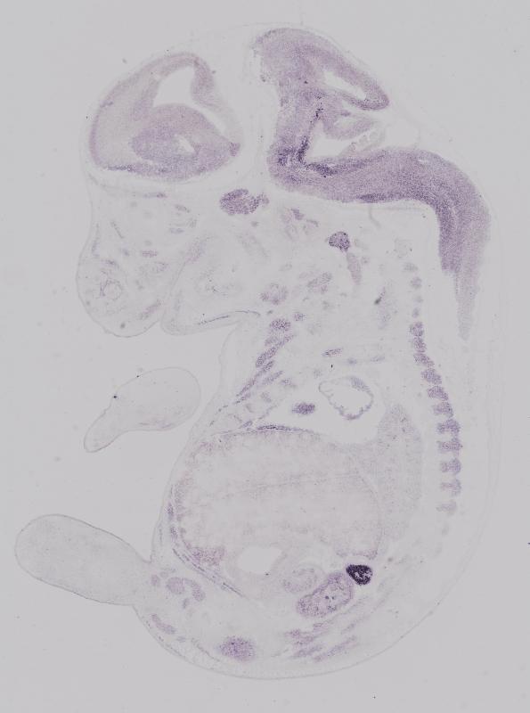
TS22: telencephalon Strong Regionally restricted Embryo_S274_3_3C
TS22: cerebral cortex Strong Regionally restricted Embryo_S274_3_3C
TS22: neocortex Weak Regionally restricted Embryo_S274_3_4B
TS22: olfactory cortex Strong Regionally restricted Embryo_S274_3_3C
TS22: main olfactory bulb Strong Regionally restricted Embryo_S274_3_3C
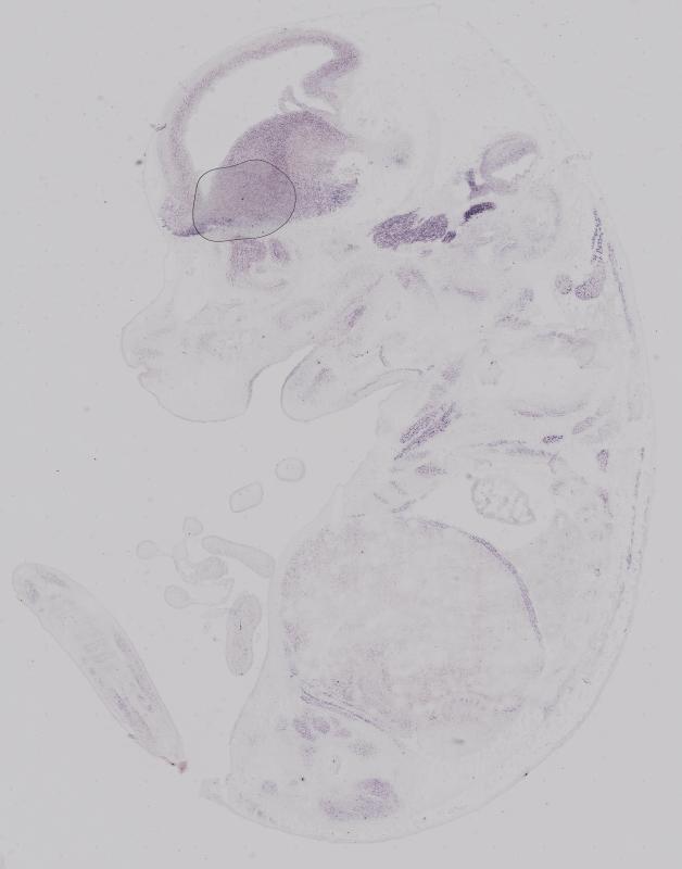
TS22: piriform cortex Moderate Regionally restricted Embryo_S274_3_1C
TS22: hippocampus Weak Regionally restricted Embryo_S274_3_3B
TS22: basal ganglia Weak Regionally restricted Embryo_S274_3_2B
TS22: corpus striatum Weak Regionally restricted Embryo_S274_3_2B Expression was weak in the corpus striatum (lateral ganglionic eminence).
TS22: basal forebrain Absent
TS22: amygdala Weak Regionally restricted Embryo_S274_3_1D
TS22: telencephalon septum Weak Ubiquitous Embryo_S274_3_3C
TS22: pallidum Weak Ubiquitous Embryo_S274_3_3B Expression was weak in the pallidum (medial ganglionic eminence).
TS22: diencephalon Weak Ubiquitous Embryo_S274_3_3B
TS22: thalamus Weak Ubiquitous Embryo_S274_3_3B
TS22: hypothalamus Weak Ubiquitous Embryo_S274_3_3B
TS22: midbrain Strong Regionally restricted Embryo_S274_3_3C
TS22: pretectum Strong Regionally restricted Embryo_S274_3_3B
TS22: superior colliculus Weak Ubiquitous Embryo_S274_3_2B
TS22: inferior colliculus Moderate Regionally restricted Embryo_S274_3_3C
TS22: midbrain tegmentum Strong Regionally restricted Embryo_S274_3_3B
TS22: hindbrain Strong Regionally restricted Embryo_S274_3_3C
TS22: cerebellum Moderate Ubiquitous Embryo_S274_3_3C
TS22: pons Strong Regionally restricted Embryo_S274_3_4B
TS22: medulla oblongata Strong Regionally restricted Embryo_S274_3_3C
TS22: spinal cord Strong Regionally restricted Embryo_S274_3_2B
TS22: choroid plexus Absent
TS22: meninges Absent
TS22: peripheral nervous system Moderate Ubiquitous Embryo_S274_3_2A
TS22: cranial ganglion Moderate Ubiquitous Embryo_S274_3_2A
TS22: dorsal root ganglion Moderate Ubiquitous Embryo_S274_3_2A
TS22: eye Weak Regionally restricted Embryo_S274_3_1C
TS22: retina Weak Regionally restricted Embryo_S274_3_1C
TS22: lens Absent
TS22: cornea Absent
TS22: optic nerve Absent
TS22: nose Weak Regionally restricted Embryo_S274_3_3C
TS22: olfactory epithelium Weak Regionally restricted Embryo_S274_3_3C
TS22: ear Moderate Regionally restricted Embryo_S274_3_2A
TS22: inner ear Moderate Regionally restricted Embryo_S274_3_2A
TS22: cochlea Weak Regionally restricted Embryo_S274_3_2B
TS22: inner ear labyrinth Moderate Regionally restricted Embryo_S274_3_2A
TS22: middle ear Absent
TS22: alimentary system Strong Regionally restricted Embryo_S274_3_3B Expression was strong in the digestive system.
TS22: intestine Absent
TS22: salivary gland Weak Ubiquitous Embryo_S274_3_2B
TS22: tongue Strong Regionally restricted Embryo_S274_3_3B
TS22: tooth Weak Regionally restricted Embryo_S274_3_3C
TS22: palatal shelf Absent
TS22: esophagus Absent
TS22: stomach Absent
TS22: liver Moderate Regionally restricted Embryo_S274_3_1A
TS22: respiratory system Absent
TS22: pharynx Absent
TS22: larynx Absent
TS22: trachea Absent
TS22: main bronchus Absent
TS22: lung Absent
TS22: urinary system Moderate Regionally restricted Embryo_S274_3_2A Expression was detected in the genito-urinary system.
TS22: metanephros Moderate Regionally restricted Embryo_S274_3_2A
TS22: ureter Absent
TS22: bladder Absent
TS22: urethra Absent
TS22: reproductive system Weak Regionally restricted Embryo_S274_3_2A
TS22: genital tubercle Weak Regionally restricted Embryo_S274_3_2A
TS22: gonad Weak Regionally restricted Embryo_S274_3_2A
TS22: gland Strong Regionally restricted Embryo_S274_3_2A Expression was strong in the endocrine system.
TS22: thyroid gland Absent
TS22: pituitary gland Absent
TS22: pancreas Absent
TS22: adrenal gland Strong Ubiquitous Embryo_S274_3_2A
TS22: cardiovascular system Strong Regionally restricted Embryo_S274_3_3B
TS22: heart Strong Regionally restricted Embryo_S274_3_3B
TS22: heart atrium Moderate Regionally restricted Embryo_S274_3_3A
TS22: heart ventricle Strong Ubiquitous Embryo_S274_3_3B
TS22: blood vessel Absent
TS22: hemolymphoid system Moderate Regionally restricted Embryo_S274_3_2D Expression was detected in the immune system.
TS22: spleen primordium Absent
TS22: thymus primordium Moderate Ubiquitous Embryo_S274_3_2D
TS22: appendicular skeleton Absent Expression was not detected in the skeleton (limbs, shoulder, hip).
TS22: musculature Moderate Ubiquitous Embryo_S274_3_1A
TS22: face Absent Expression was not detected in the face/soft tissues.
TS22: facial bone primordium Absent
TS22: cranium Absent Expression was not detected in the skull (base and vault).
TS22: axial skeleton Absent
TS22: tail Weak Regionally restricted Embryo_S274_3_5A
TS22: forelimb Weak Regionally restricted Embryo_S274_3_1B
TS22: hindlimb Weak Regionally restricted Embryo_S274_3_1B
TS22: integumental system Weak Regionally restricted Embryo_S274_3_6A
TS22: skin Absent
TS22: hair Weak Regionally restricted Embryo_S274_3_6A
TS22: vibrissa follicle Weak Regionally restricted Embryo_S274_3_6A Expression was weak in whisker follicle.


Contributing Projects:
Mouse Genome Database (MGD), Gene Expression Database (GXD), Mouse Models of Human Cancer database (MMHCdb) (formerly Mouse Tumor Biology (MTB)), Gene Ontology (GO)
Citing These Resources
Funding Information
Warranty Disclaimer, Privacy Notice, Licensing, & Copyright
Send questions and comments to User Support.
last database update
04/14/2026
MGI 6.24
The Jackson Laboratory