About   Help   FAQ
Gene Expression Data
Assay Details
Assay
Reference: J:122989 Visel A, et al., GenePaint.org: an atlas of gene expression patterns in the mouse embryo. Nucleic Acids Res. 2004 Jan 1;32(Database issue):D552-6
Assay type: RNA in situ
MGI Accession ID: MGI:5423340
Gene symbol: Gusb
Gene name: glucuronidase, beta
Probe: EB596 probe 546
Probe preparation: Antisense labelled with digoxigenin RNA
Visualized with: Alkaline phosphatase
Assay notes: Cryosections of fresh frozen material were fixed in 4% paraformaldehyde for 20 min. before further processing. A tyramide-biotin/streptavidin amplification step was included in the in situ hybridization procedure. These data were downloaded from GenePaint.org on 1/30/12.
Results
Specimen EB596; Specimen B372: embryonic day 14.5 (more )
Structure Level Pattern Image Note
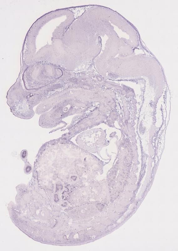
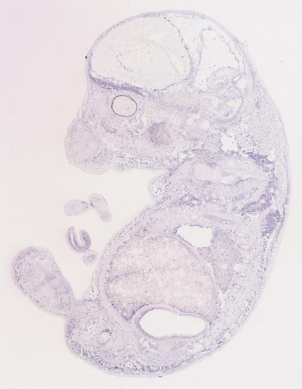
TS22: nervous system Strong Regionally restricted Embryo_B372_3_1B
TS22: central nervous system Strong Regionally restricted Embryo_B372_3_4B
TS22: telencephalon Strong Scattered Embryo_B372_3_6D
TS22: cerebral cortex Strong Scattered Embryo_B372_3_6D
TS22: neocortex Weak Scattered Embryo_B372_3_3A
TS22: olfactory cortex Strong Scattered Embryo_B372_3_6D
TS22: main olfactory bulb Weak Scattered Embryo_B372_3_3C
TS22: piriform cortex Strong Scattered Embryo_B372_3_6D
TS22: hippocampus Weak Scattered Embryo_B372_3_3A
TS22: basal ganglia Strong Scattered Embryo_B372_3_2A
TS22: corpus striatum Strong Scattered Embryo_B372_3_2A Expression was strong in the corpus striatum (lateral ganglionic eminence).
TS22: basal forebrain Weak Scattered Embryo_B372_3_3D
TS22: amygdala Weak Scattered Embryo_B372_3_2B
TS22: telencephalon septum Weak Scattered Embryo_B372_3_3C
TS22: pallidum Weak Scattered Embryo_B372_3_3C Expression was weak in the pallidum (medial ganglionic eminence).
TS22: diencephalon Weak Scattered Embryo_B372_3_3C
TS22: thalamus Weak Scattered Embryo_B372_3_3C
TS22: hypothalamus Weak Scattered Embryo_B372_3_3C
TS22: midbrain Weak Scattered Embryo_B372_3_3C
TS22: pretectum Weak Scattered Embryo_B372_3_3C
TS22: superior colliculus Weak Scattered Embryo_B372_3_3C
TS22: inferior colliculus Weak Scattered Embryo_B372_3_3C
TS22: midbrain tegmentum Weak Scattered Embryo_B372_3_3C
TS22: hindbrain Weak Scattered Embryo_B372_3_3C
TS22: cerebellum Weak Scattered Embryo_B372_3_3C
TS22: pons Weak Scattered Embryo_B372_3_3C
TS22: medulla oblongata Weak Scattered Embryo_B372_3_3C
TS22: spinal cord Strong Scattered Embryo_B372_3_4B
TS22: choroid plexus Weak Regionally restricted Embryo_B372_3_3A
TS22: meninges Moderate Regionally restricted Embryo_B372_3_3D
TS22: peripheral nervous system Absent
TS22: cranial ganglion Absent
TS22: dorsal root ganglion Absent
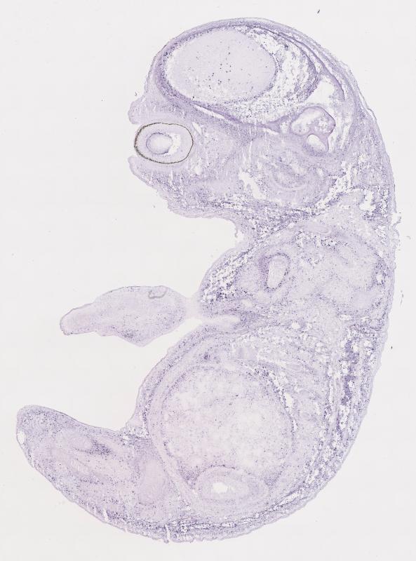
TS22: eye Strong Regionally restricted Embryo_B372_3_1B
TS22: retina Absent
TS22: lens Strong Regionally restricted Embryo_B372_3_1B
TS22: cornea Absent
TS22: optic nerve Absent
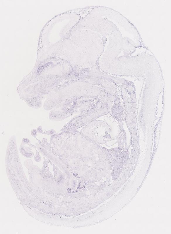
TS22: nose Moderate Regionally restricted Embryo_B372_3_3D
TS22: olfactory epithelium Moderate Regionally restricted Embryo_B372_3_3D
TS22: ear Absent
TS22: inner ear Absent
TS22: cochlea Absent
TS22: inner ear labyrinth Absent
TS22: middle ear Absent
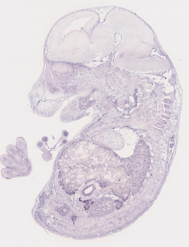
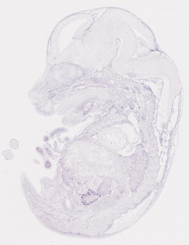
TS22: alimentary system Strong Regionally restricted Embryo_B372_3_3B Expression was strong in the digestive system.
TS22: intestine Strong Regionally restricted Embryo_B372_3_3B
TS22: salivary gland Absent
TS22: tongue Absent
TS22: tooth Absent
TS22: palatal shelf Moderate Regionally restricted Embryo_B372_3_4B
TS22: esophagus Absent
TS22: stomach Moderate Regionally restricted Embryo_B372_3_2B
TS22: liver Strong Regionally restricted Embryo_B372_3_3A
TS22: respiratory system Moderate Regionally restricted Embryo_B372_3_3A
TS22: pharynx Absent
TS22: larynx Absent
TS22: trachea Absent
TS22: main bronchus Absent
TS22: lung Moderate Ubiquitous Embryo_B372_3_3A
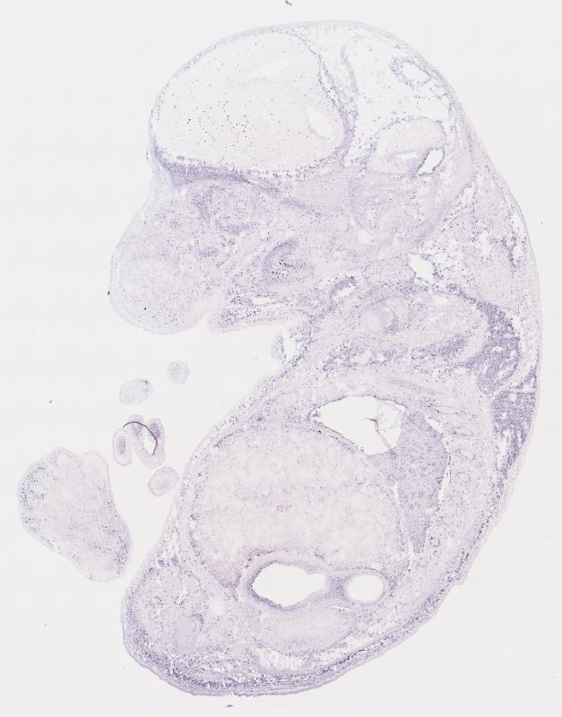
TS22: urinary system Moderate Regionally restricted Embryo_B372_3_4B Expression was detected in the genito-urinary system.
TS22: metanephros Weak Scattered Embryo_B372_3_3B
TS22: ureter Absent
TS22: bladder Moderate Ubiquitous Embryo_B372_3_4B
TS22: urethra Absent
TS22: reproductive system Absent
TS22: genital tubercle Absent
TS22: gonad Absent
TS22: gland Strong Regionally restricted Embryo_B372_3_3A Expression was strong in the endocrine system.
TS22: thyroid gland Absent
TS22: pituitary gland Absent
TS22: pancreas Strong Regionally restricted Embryo_B372_3_3A
TS22: adrenal gland Strong Ubiquitous Embryo_B372_3_3A
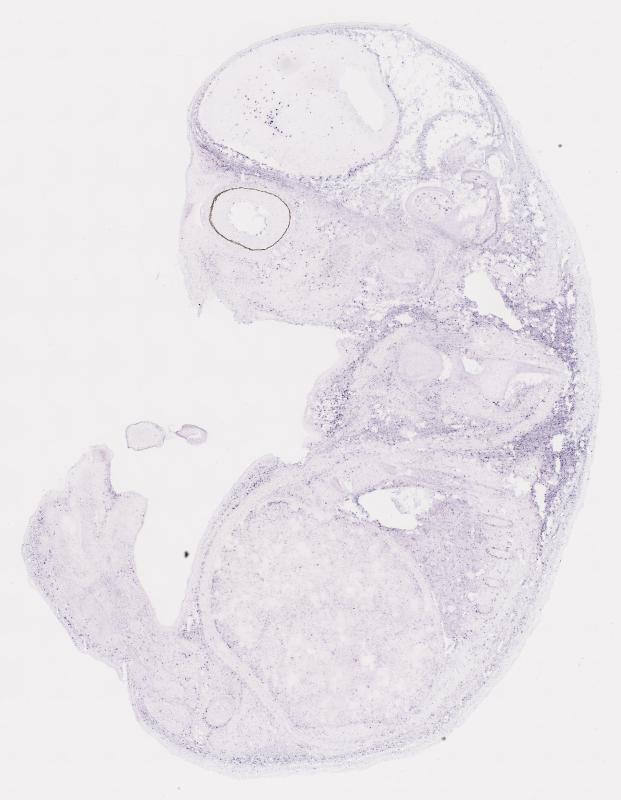
TS22: cardiovascular system Moderate Regionally restricted Embryo_B372_3_4C
TS22: heart Moderate Regionally restricted Embryo_B372_3_4C
TS22: heart atrium Moderate Regionally restricted Embryo_B372_3_4C
TS22: heart ventricle Weak Regionally restricted Embryo_B372_3_4A
TS22: blood vessel Absent
TS22: hemolymphoid system Weak Regionally restricted Embryo_B372_3_3D Expression was weak in the immune system.
TS22: spleen primordium Absent
TS22: thymus primordium Weak Ubiquitous Embryo_B372_3_3D
TS22: appendicular skeleton Absent Expression was not detected in the skeleton (limbs, shoulder, hip).
TS22: musculature Moderate Ubiquitous Embryo_B372_3_2C
TS22: face Absent Expression was not detected in the face/soft tissues.
TS22: facial bone primordium Strong Regionally restricted Embryo_B372_3_5A
TS22: cranium Absent Expression was not detected in the skull (base and vault).
TS22: axial skeleton Strong Regionally restricted Embryo_B372_3_4B
TS22: tail Weak Regionally restricted Embryo_B372_3_4B
TS22: forelimb Weak Regionally restricted Embryo_B372_3_1A
TS22: hindlimb Weak Regionally restricted Embryo_B372_3_6D
TS22: integumental system Absent
TS22: skin Absent
TS22: hair Absent
TS22: vibrissa follicle Absent Expression was not detected in whisker follicle.


Contributing Projects:
Mouse Genome Database (MGD), Gene Expression Database (GXD), Mouse Models of Human Cancer database (MMHCdb) (formerly Mouse Tumor Biology (MTB)), Gene Ontology (GO)
Citing These Resources
Funding Information
Warranty Disclaimer, Privacy Notice, Licensing, & Copyright
Send questions and comments to User Support.
last database update
12/30/2025
MGI 6.24
The Jackson Laboratory