About   Help   FAQ
Gene Expression Data
Assay Details
Assay
Reference: J:122989 Visel A, et al., GenePaint.org: an atlas of gene expression patterns in the mouse embryo. Nucleic Acids Res. 2004 Jan 1;32(Database issue):D552-6
Assay type: RNA in situ
MGI Accession ID: MGI:5423326
Gene symbol: Aldh2
Gene name: aldehyde dehydrogenase 2, mitochondrial
Probe: EH2106 probe 2058
Probe preparation: Antisense labelled with digoxigenin RNA
Visualized with: Alkaline phosphatase
Assay notes: Cryosections of fresh frozen material were fixed in 4% paraformaldehyde for 20 min. before further processing. A tyramide-biotin/streptavidin amplification step was included in the in situ hybridization procedure. These data were downloaded from GenePaint.org on 1/30/12.
Results
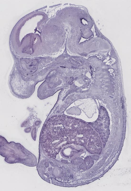
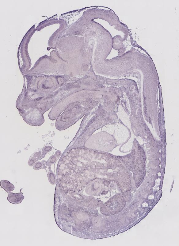
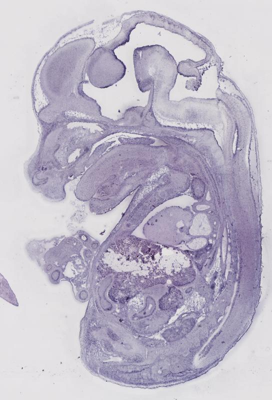
Specimen EH2106; Specimen C2997: embryonic day 14.5 (more )
Structure Level Pattern Image Note
TS22: nervous system Strong Regionally restricted Embryo_C2997_3_3A
TS22: central nervous system Strong Regionally restricted Embryo_C2997_3_3A
TS22: telencephalon Strong Regionally restricted Embryo_C2997_3_1C
TS22: cerebral cortex Weak Regionally restricted Embryo_C2997_3_3A
TS22: neocortex Weak Regionally restricted Embryo_C2997_3_3A
TS22: olfactory cortex Weak Regionally restricted Embryo_C2997_3_3A
TS22: main olfactory bulb Absent
TS22: piriform cortex Absent
TS22: hippocampus Weak Regionally restricted Embryo_C2997_3_3A
TS22: basal ganglia Strong Regionally restricted Embryo_C2997_3_1C
TS22: corpus striatum Strong Regionally restricted Embryo_C2997_3_1C Expression was strong in the corpus striatum (lateral ganglionic eminence).
TS22: basal forebrain Absent
TS22: amygdala Moderate Regionally restricted Embryo_C2997_3_1C
TS22: telencephalon septum Moderate Regionally restricted Embryo_C2997_3_3B
TS22: pallidum Weak Regionally restricted Embryo_C2997_3_3B Expression was weak in the pallidum (medial ganglionic eminence).
TS22: diencephalon Strong Regionally restricted Embryo_C2997_3_4A
TS22: thalamus Strong Regionally restricted Embryo_C2997_3_4A
TS22: hypothalamus Moderate Regionally restricted Embryo_C2997_3_4A
TS22: midbrain Strong Regionally restricted Embryo_C2997_3_3B
TS22: pretectum Absent
TS22: superior colliculus Absent
TS22: inferior colliculus Absent
TS22: midbrain tegmentum Strong Regionally restricted Embryo_C2997_3_3B
TS22: hindbrain Strong Regionally restricted Embryo_C2997_3_3D
TS22: cerebellum Strong Regionally restricted Embryo_C2997_3_3D
TS22: pons Weak Regionally restricted Embryo_C2997_3_3B
TS22: medulla oblongata Moderate Regionally restricted Embryo_C2997_3_4A
TS22: spinal cord Weak Regionally restricted Embryo_C2997_3_4A
TS22: choroid plexus Strong Regionally restricted Embryo_C2997_3_3A
TS22: meninges Strong Regionally restricted Embryo_C2997_3_1D
TS22: peripheral nervous system Absent
TS22: cranial ganglion Absent
TS22: dorsal root ganglion Absent
TS22: eye Absent
TS22: retina Absent
TS22: lens Absent
TS22: cornea Absent
TS22: optic nerve Absent
TS22: nose Weak Regionally restricted Embryo_C2997_3_5A
TS22: olfactory epithelium Weak Regionally restricted Embryo_C2997_3_5A
TS22: ear Weak Regionally restricted Embryo_C2997_3_3A
TS22: inner ear Weak Regionally restricted Embryo_C2997_3_3A
TS22: cochlea Weak Regionally restricted Embryo_C2997_3_3A
TS22: inner ear labyrinth Absent
TS22: middle ear Absent
TS22: alimentary system Strong Regionally restricted Embryo_C2997_3_1D Expression was strong in the digestive system.
TS22: intestine Weak Regionally restricted Embryo_C2997_3_4B
TS22: salivary gland Moderate Regionally restricted Embryo_C2997_3_2C
TS22: tongue Weak Regionally restricted Embryo_C2997_3_4B
TS22: tooth Absent
TS22: palatal shelf Moderate Regionally restricted Embryo_C2997_3_4B
TS22: esophagus Moderate Regionally restricted Embryo_C2997_3_4A
TS22: stomach Strong Regionally restricted Embryo_C2997_3_1D
TS22: liver Moderate Ubiquitous Embryo_C2997_3_1D
TS22: respiratory system Strong Regionally restricted Embryo_C2997_3_1D
TS22: pharynx Absent
TS22: larynx Absent
TS22: trachea Absent
TS22: main bronchus Absent
TS22: lung Strong Regionally restricted Embryo_C2997_3_1D
TS22: urinary system Strong Regionally restricted Embryo_C2997_3_4B Expression was strong in the genito-urinary system.
TS22: metanephros Weak Ubiquitous Embryo_C2997_3_5D
TS22: ureter Absent
TS22: bladder Strong Regionally restricted Embryo_C2997_3_4B
TS22: urethra Absent
TS22: reproductive system Weak Regionally restricted Embryo_C2997_3_2D
TS22: genital tubercle Absent
TS22: gonad Weak Regionally restricted Embryo_C2997_3_2D
TS22: gland Strong Regionally restricted Embryo_C2997_3_3C Expression was strong in the endocrine system.
TS22: thyroid gland Strong Regionally restricted Embryo_C2997_3_3C
TS22: pituitary gland Absent
TS22: pancreas Absent
TS22: adrenal gland Absent
TS22: cardiovascular system Absent
TS22: heart Absent
TS22: heart atrium Absent
TS22: heart ventricle Absent
TS22: blood vessel Absent
TS22: hemolymphoid system Weak Regionally restricted Embryo_C2997_3_3C Expression was weak in the immune system.
TS22: spleen primordium Absent
TS22: thymus primordium Weak Regionally restricted Embryo_C2997_3_3C
TS22: appendicular skeleton Absent Expression was not detected in the skeleton (limbs, shoulder, hip).
TS22: musculature Absent
TS22: face Absent Expression was not detected in the face/soft tissues.
TS22: facial bone primordium Absent
TS22: cranium Absent Expression was not detected in the skull (base and vault).
TS22: axial skeleton Absent
TS22: tail Absent
TS22: forelimb Strong Regionally restricted Embryo_C2997_3_1A
TS22: hindlimb Strong Regionally restricted Embryo_C2997_3_6C
TS22: integumental system Strong Regionally restricted Embryo_C2997_3_1A
TS22: skin Strong Ubiquitous Embryo_C2997_3_1A
TS22: hair Absent
TS22: vibrissa follicle Absent Expression was not detected in whisker follicle.


Contributing Projects:
Mouse Genome Database (MGD), Gene Expression Database (GXD), Mouse Models of Human Cancer database (MMHCdb) (formerly Mouse Tumor Biology (MTB)), Gene Ontology (GO)
Citing These Resources
Funding Information
Warranty Disclaimer, Privacy Notice, Licensing, & Copyright
Send questions and comments to User Support.
last database update
03/24/2026
MGI 6.24
The Jackson Laboratory