About   Help   FAQ
Gene Expression Data
Assay Details
Assay
Reference: J:122989 Visel A, et al., GenePaint.org: an atlas of gene expression patterns in the mouse embryo. Nucleic Acids Res. 2004 Jan 1;32(Database issue):D552-6
Assay type: RNA in situ
MGI Accession ID: MGI:5423238
Gene symbol: Bckdhb
Gene name: branched chain ketoacid dehydrogenase E1, beta polypeptide
Probe: EH2361 probe 2319
Probe preparation: Antisense labelled with digoxigenin RNA
Visualized with: Alkaline phosphatase
Assay notes: Cryosections of fresh frozen material were fixed in 4% paraformaldehyde for 20 min. before further processing. A tyramide-biotin/streptavidin amplification step was included in the in situ hybridization procedure. These data were downloaded from GenePaint.org on 1/30/12.
Results
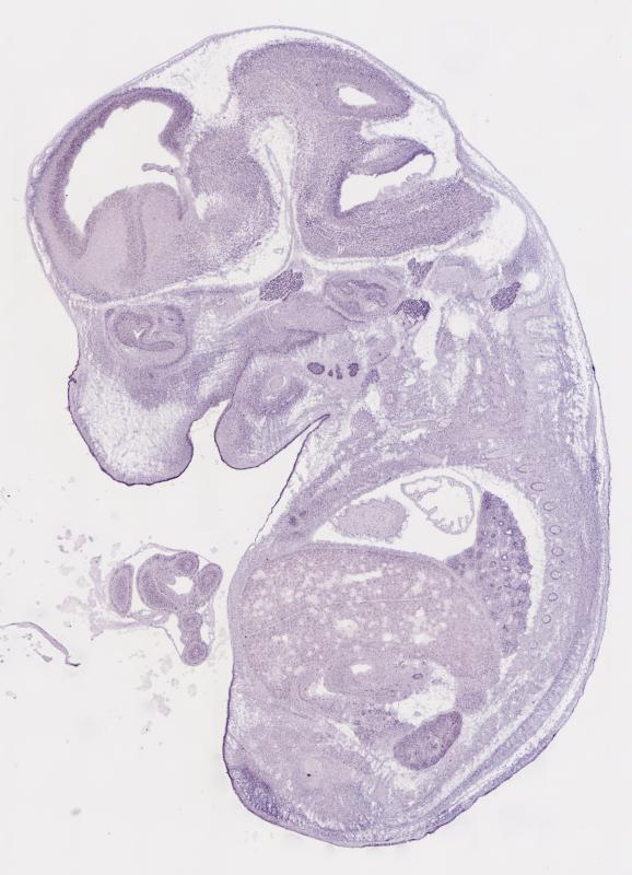
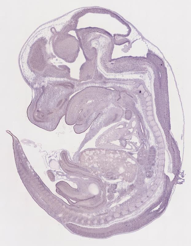
Specimen EH2361; Specimen C2975: embryonic day 14.5 (more )
Structure Level Pattern Image Note
TS22: nervous system Strong Regionally restricted Embryo_C2975_6_3B
TS22: central nervous system Strong Regionally restricted Embryo_C2975_6_3B
TS22: telencephalon Strong Regionally restricted Embryo_C2975_6_1D
TS22: cerebral cortex Weak Regionally restricted Embryo_C2975_6_3B
TS22: neocortex Moderate Regionally restricted Embryo_C2975_6_3B
TS22: olfactory cortex Moderate Regionally restricted Embryo_C2975_6_3B
TS22: main olfactory bulb Moderate Regionally restricted Embryo_C2975_6_3B
TS22: piriform cortex Moderate Regionally restricted Embryo_C2975_6_1B
TS22: hippocampus Weak Regionally restricted Embryo_C2975_6_3B
TS22: basal ganglia Strong Regionally restricted Embryo_C2975_6_1D
TS22: corpus striatum Strong Regionally restricted Embryo_C2975_6_1D Expression was strong in the corpus striatum (lateral ganglionic eminence).
TS22: basal forebrain Weak Ubiquitous Embryo_C2975_6_3B
TS22: amygdala Weak Ubiquitous Embryo_C2975_6_1B
TS22: telencephalon septum Weak Regionally restricted Embryo_C2975_6_3B
TS22: pallidum Weak Regionally restricted Embryo_C2975_6_3B Expression was weak in the pallidum (medial ganglionic eminence).
TS22: diencephalon Weak Regionally restricted Embryo_C2975_6_3B
TS22: thalamus Weak Regionally restricted Embryo_C2975_6_3B
TS22: hypothalamus Weak Regionally restricted Embryo_C2975_6_3B
TS22: midbrain Strong Regionally restricted Embryo_C2975_6_3B
TS22: pretectum Weak Regionally restricted Embryo_C2975_6_3B
TS22: superior colliculus Weak Regionally restricted Embryo_C2975_6_3B
TS22: inferior colliculus Weak Regionally restricted Embryo_C2975_6_3B
TS22: midbrain tegmentum Strong Regionally restricted Embryo_C2975_6_3B
TS22: hindbrain Strong Ubiquitous Embryo_C2975_6_3B
TS22: cerebellum Moderate Regionally restricted Embryo_C2975_6_3B
TS22: pons Strong Regionally restricted Embryo_C2975_6_3B
TS22: medulla oblongata Strong Regionally restricted Embryo_C2975_6_3B
TS22: spinal cord Moderate Regionally restricted Embryo_C2975_6_3B
TS22: choroid plexus Absent
TS22: meninges Absent
TS22: peripheral nervous system Strong Ubiquitous Embryo_C2975_6_2B
TS22: cranial ganglion Strong Ubiquitous Embryo_C2975_6_2B
TS22: dorsal root ganglion Strong Ubiquitous Embryo_C2975_6_3A
TS22: eye Weak Regionally restricted Embryo_C2975_6_1B
TS22: retina Weak Regionally restricted Embryo_C2975_6_1B
TS22: lens Absent
TS22: cornea Absent
TS22: optic nerve Absent
TS22: nose Weak Regionally restricted Embryo_C2975_6_3A
TS22: olfactory epithelium Weak Regionally restricted Embryo_C2975_6_3A
TS22: ear Strong Regionally restricted Embryo_C2975_6_1A
TS22: inner ear Moderate Regionally restricted Embryo_C2975_6_2A
TS22: cochlea Weak Regionally restricted Embryo_C2975_6_4D
TS22: inner ear labyrinth Moderate Regionally restricted Embryo_C2975_6_2A
TS22: middle ear Strong Regionally restricted Embryo_C2975_6_1A
TS22: alimentary system Strong Regionally restricted Embryo_C2975_6_2C Expression was strong in the digestive system.
TS22: intestine Weak Regionally restricted Embryo_C2975_6_3A
TS22: salivary gland Strong Regionally restricted Embryo_C2975_6_2C
TS22: tongue Moderate Regionally restricted Embryo_C2975_6_4B
TS22: tooth Weak Ubiquitous Embryo_C2975_6_4C
TS22: palatal shelf Absent
TS22: esophagus Moderate Regionally restricted Embryo_C2975_6_3D
TS22: stomach Moderate Regionally restricted Embryo_C2975_6_1C
TS22: liver Weak Ubiquitous Embryo_C2975_6_3B
TS22: respiratory system Moderate Regionally restricted Embryo_C2975_6_3B
TS22: pharynx Moderate Regionally restricted Embryo_C2975_6_3D
TS22: larynx Moderate Regionally restricted Embryo_C2975_6_3D
TS22: trachea Moderate Regionally restricted Embryo_C2975_6_4A
TS22: main bronchus Moderate Regionally restricted Embryo_C2975_6_3B
TS22: lung Moderate Regionally restricted Embryo_C2975_6_3B
TS22: urinary system Strong Regionally restricted Embryo_C2975_6_3D Expression was strong in the genito-urinary system.
TS22: metanephros Moderate Regionally restricted Embryo_C2975_6_2C
TS22: ureter Absent
TS22: bladder Weak Regionally restricted Embryo_C2975_6_4B
TS22: urethra Moderate Regionally restricted Embryo_C2975_6_4A
TS22: reproductive system Strong Regionally restricted Embryo_C2975_6_3D
TS22: genital tubercle Strong Regionally restricted Embryo_C2975_6_3D
TS22: gonad Absent
TS22: gland Moderate Regionally restricted Embryo_C2975_6_2C Expression was detected in the endocrine system.
TS22: thyroid gland Weak Ubiquitous Embryo_C2975_6_3B
TS22: pituitary gland Weak Regionally restricted Embryo_C2975_6_3C
TS22: pancreas Moderate Regionally restricted Embryo_C2975_6_2C
TS22: adrenal gland Absent
TS22: cardiovascular system Weak Regionally restricted Embryo_C2975_6_3C
TS22: heart Weak Regionally restricted Embryo_C2975_6_3C
TS22: heart atrium Weak Regionally restricted Embryo_C2975_6_3C
TS22: heart ventricle Weak Regionally restricted Embryo_C2975_6_4A
TS22: blood vessel Absent
TS22: hemolymphoid system Moderate Regionally restricted Embryo_C2975_6_3B Expression was detected in the immune system.
TS22: spleen primordium Absent
TS22: thymus primordium Moderate Regionally restricted Embryo_C2975_6_3B
TS22: appendicular skeleton Absent Expression was not detected in the skeleton (limbs, shoulder, hip).
TS22: musculature Weak Ubiquitous Embryo_C2975_6_1B
TS22: face Absent Expression was not detected in the face/soft tissues.
TS22: facial bone primordium Moderate Regionally restricted Embryo_C2975_6_3B
TS22: cranium Moderate Regionally restricted Embryo_C2975_6_1C Expression was detected in the skull (base and vault).
TS22: axial skeleton Absent
TS22: tail Moderate Regionally restricted Embryo_C2975_6_4A
TS22: forelimb Strong Regionally restricted Embryo_C2975_6_1A
TS22: hindlimb Strong Regionally restricted Embryo_C2975_6_1A
TS22: integumental system Strong Regionally restricted Embryo_C2975_6_1D
TS22: skin Strong Regionally restricted Embryo_C2975_6_3D
TS22: hair Strong Regionally restricted Embryo_C2975_6_1D
TS22: vibrissa follicle Strong Regionally restricted Embryo_C2975_6_1D Expression was strong in whisker follicle.


Contributing Projects:
Mouse Genome Database (MGD), Gene Expression Database (GXD), Mouse Models of Human Cancer database (MMHCdb) (formerly Mouse Tumor Biology (MTB)), Gene Ontology (GO)
Citing These Resources
Funding Information
Warranty Disclaimer, Privacy Notice, Licensing, & Copyright
Send questions and comments to User Support.
last database update
03/24/2026
MGI 6.24
The Jackson Laboratory