About   Help   FAQ
Gene Expression Data
Assay Details
Assay
Reference: J:122989 Visel A, et al., GenePaint.org: an atlas of gene expression patterns in the mouse embryo. Nucleic Acids Res. 2004 Jan 1;32(Database issue):D552-6
Assay type: RNA in situ
MGI Accession ID: MGI:5423226
Gene symbol: Kyat1
Gene name: kynurenine aminotransferase 1
Probe: EH2632 probe 2561
Probe preparation: Antisense labelled with digoxigenin RNA
Visualized with: Alkaline phosphatase
Assay notes: Cryosections of fresh frozen material were fixed in 4% paraformaldehyde for 20 min. before further processing. A tyramide-biotin/streptavidin amplification step was included in the in situ hybridization procedure. These data were downloaded from GenePaint.org on 1/30/12.
Results
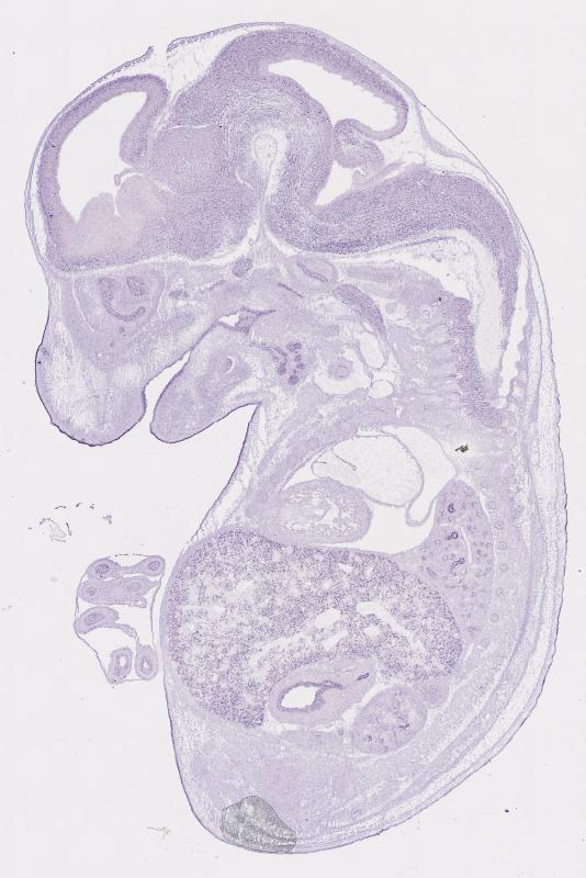
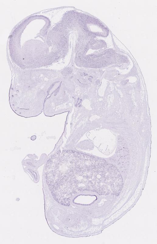
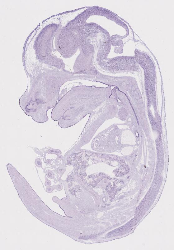
Specimen EH2632; Specimen C3260: embryonic day 14.5 (more )
Structure Level Pattern Image Note
TS22: nervous system Strong Regionally restricted Embryo_C3260_6_3C
TS22: central nervous system Strong Regionally restricted Embryo_C3260_6_3C
TS22: telencephalon Strong Regionally restricted Embryo_C3260_6_3C
TS22: cerebral cortex Strong Regionally restricted Embryo_C3260_6_3C
TS22: neocortex Strong Regionally restricted Embryo_C3260_6_3C
TS22: olfactory cortex Strong Regionally restricted Embryo_C3260_6_3C
TS22: main olfactory bulb Strong Regionally restricted Embryo_C3260_6_3C
TS22: piriform cortex Absent
TS22: hippocampus Weak Regionally restricted Embryo_C3260_6_3C
TS22: basal ganglia Weak Regionally restricted Embryo_C3260_6_2A
TS22: corpus striatum Weak Regionally restricted Embryo_C3260_6_2A Expression was weak in the corpus striatum (lateral ganglionic eminence).
TS22: basal forebrain Absent
TS22: amygdala Weak Regionally restricted Embryo_C3260_6_2A
TS22: telencephalon septum Absent
TS22: pallidum Absent Expression was not detected in the pallidum (medial ganglionic eminence).
TS22: diencephalon Absent
TS22: thalamus Absent
TS22: hypothalamus Absent
TS22: midbrain Strong Regionally restricted Embryo_C3260_6_4B
TS22: pretectum Moderate Regionally restricted Embryo_C3260_6_4B
TS22: superior colliculus Strong Regionally restricted Embryo_C3260_6_4B
TS22: inferior colliculus Absent
TS22: midbrain tegmentum Strong Regionally restricted Embryo_C3260_6_4B
TS22: hindbrain Strong Regionally restricted Embryo_C3260_6_4B
TS22: cerebellum Moderate Regionally restricted Embryo_C3260_6_4B
TS22: pons Strong Regionally restricted Embryo_C3260_6_4B
TS22: medulla oblongata Strong Regionally restricted Embryo_C3260_6_4B
TS22: spinal cord Strong Ubiquitous Embryo_C3260_6_4B
TS22: choroid plexus Absent
TS22: meninges Absent
TS22: peripheral nervous system Moderate Ubiquitous Embryo_C3260_6_2A
TS22: cranial ganglion Moderate Ubiquitous Embryo_C3260_6_2A
TS22: dorsal root ganglion Moderate Ubiquitous Embryo_C3260_6_3B
TS22: eye Moderate Regionally restricted Embryo_C3260_6_1B
TS22: retina Moderate Regionally restricted Embryo_C3260_6_1B
TS22: lens Absent
TS22: cornea Absent
TS22: optic nerve Absent
TS22: nose Weak Regionally restricted Embryo_C3260_6_3C
TS22: olfactory epithelium Weak Regionally restricted Embryo_C3260_6_3C
TS22: ear Strong Regionally restricted Embryo_C3260_6_1A
TS22: inner ear Moderate Regionally restricted Embryo_C3260_6_2D
TS22: cochlea Weak Regionally restricted Embryo_C3260_6_3B
TS22: inner ear labyrinth Moderate Regionally restricted Embryo_C3260_6_2D
TS22: middle ear Strong Regionally restricted Embryo_C3260_6_1A
TS22: alimentary system Strong Regionally restricted Embryo_C3260_6_3B Expression was strong in the digestive system.
TS22: intestine Moderate Regionally restricted Embryo_C3260_6_4B
TS22: salivary gland Strong Regionally restricted Embryo_C3260_6_3B
TS22: tongue Strong Regionally restricted Embryo_C3260_6_4A
TS22: tooth Moderate Regionally restricted Embryo_C3260_6_4A
TS22: palatal shelf Absent
TS22: esophagus Strong Regionally restricted Embryo_C3260_6_4B
TS22: stomach Strong Regionally restricted Embryo_C3260_6_2B
TS22: liver Strong Scattered Embryo_C3260_6_3B
TS22: respiratory system Strong Regionally restricted Embryo_C3260_6_4A
TS22: pharynx Strong Regionally restricted Embryo_C3260_6_4A
TS22: larynx Strong Regionally restricted Embryo_C3260_6_4A
TS22: trachea Strong Regionally restricted Embryo_C3260_6_4C
TS22: main bronchus Strong Regionally restricted Embryo_C3260_6_3C
TS22: lung Weak Regionally restricted Embryo_C3260_6_3D
TS22: urinary system Strong Regionally restricted Embryo_C3260_6_4C Expression was strong in the genito-urinary system.
TS22: metanephros Moderate Regionally restricted Embryo_C3260_6_3B
TS22: ureter Absent
TS22: bladder Strong Regionally restricted Embryo_C3260_6_4C
TS22: urethra Strong Regionally restricted Embryo_C3260_6_4C
TS22: reproductive system Moderate Regionally restricted Embryo_C3260_6_4B
TS22: genital tubercle Moderate Regionally restricted Embryo_C3260_6_4B
TS22: gonad Absent
TS22: gland Weak Regionally restricted Embryo_C3260_6_4A Expression was weak in the endocrine system.
TS22: thyroid gland Weak Regionally restricted Embryo_C3260_6_4A
TS22: pituitary gland Weak Regionally restricted Embryo_C3260_6_3D
TS22: pancreas Weak Regionally restricted Embryo_C3260_6_3D
TS22: adrenal gland Absent
TS22: cardiovascular system Absent
TS22: heart Absent
TS22: heart atrium Absent
TS22: heart ventricle Absent
TS22: blood vessel Absent
TS22: hemolymphoid system Weak Regionally restricted Embryo_C3260_6_4A Expression was weak in the immune system.
TS22: spleen primordium Absent
TS22: thymus primordium Weak Regionally restricted Embryo_C3260_6_4A
TS22: appendicular skeleton Strong Regionally restricted Embryo_C3260_6_1D Expression was strong in the skeleton (limbs, shoulder, hip).
TS22: musculature Absent
TS22: face Absent Expression was not detected in the face/soft tissues.
TS22: facial bone primordium Absent
TS22: cranium Absent Expression was not detected in the skull (base and vault).
TS22: axial skeleton Absent
TS22: tail Moderate Regionally restricted Embryo_C3260_6_4B
TS22: forelimb Strong Regionally restricted Embryo_C3260_6_1A
TS22: hindlimb Strong Regionally restricted Embryo_C3260_6_1A
TS22: integumental system Strong Regionally restricted Embryo_C3260_6_1A
TS22: skin Strong Regionally restricted Embryo_C3260_6_1A
TS22: hair Strong Regionally restricted Embryo_C3260_6_2C
TS22: vibrissa follicle Strong Regionally restricted Embryo_C3260_6_2C Expression was strong in whisker follicle.


Contributing Projects:
Mouse Genome Database (MGD), Gene Expression Database (GXD), Mouse Models of Human Cancer database (MMHCdb) (formerly Mouse Tumor Biology (MTB)), Gene Ontology (GO)
Citing These Resources
Funding Information
Warranty Disclaimer, Privacy Notice, Licensing, & Copyright
Send questions and comments to User Support.
last database update
01/28/2026
MGI 6.24
The Jackson Laboratory