About   Help   FAQ
Gene Expression Data
Assay Details
Assay
Reference: J:122989 Visel A, et al., GenePaint.org: an atlas of gene expression patterns in the mouse embryo. Nucleic Acids Res. 2004 Jan 1;32(Database issue):D552-6
Assay type: RNA in situ
MGI Accession ID: MGI:5423224
Gene symbol: Smc2
Gene name: structural maintenance of chromosomes 2
Probe: EH3328 probe 3264
Probe preparation: Antisense labelled with digoxigenin RNA
Visualized with: Alkaline phosphatase
Assay notes: Cryosections of fresh frozen material were fixed in 4% paraformaldehyde for 20 min. before further processing. A tyramide-biotin/streptavidin amplification step was included in the in situ hybridization procedure. These data were downloaded from GenePaint.org on 1/30/12.
Results
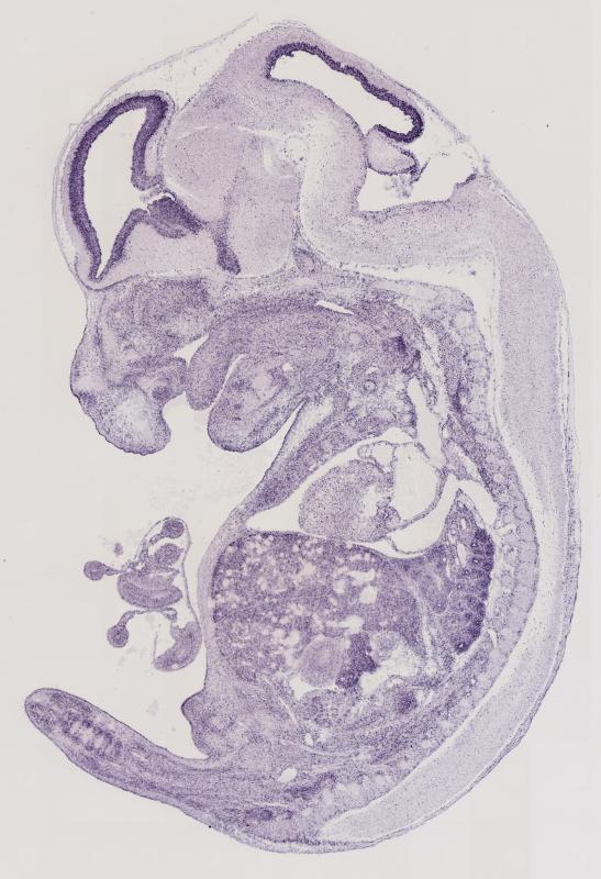
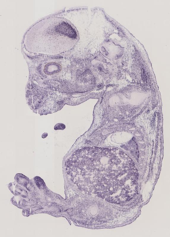
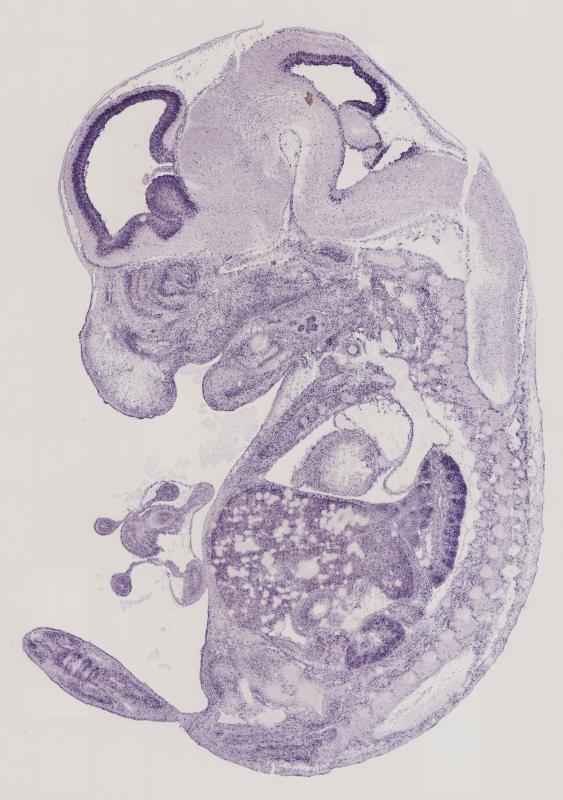
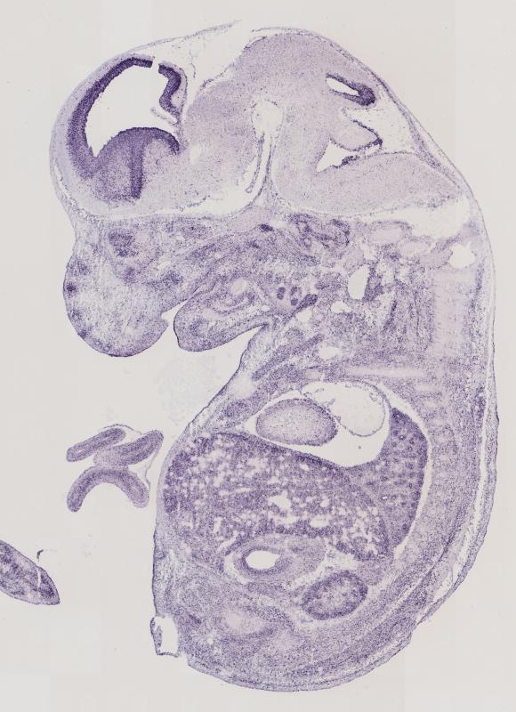
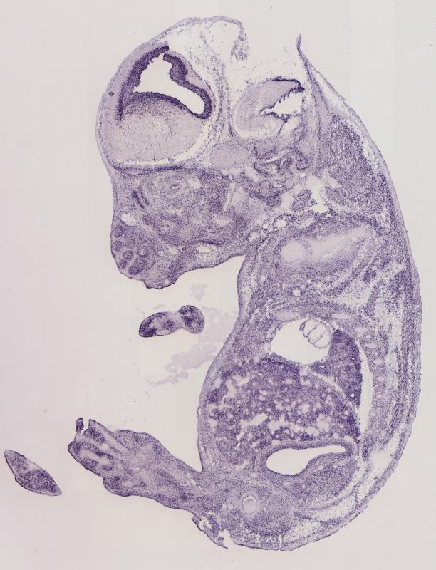
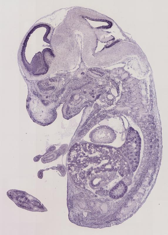
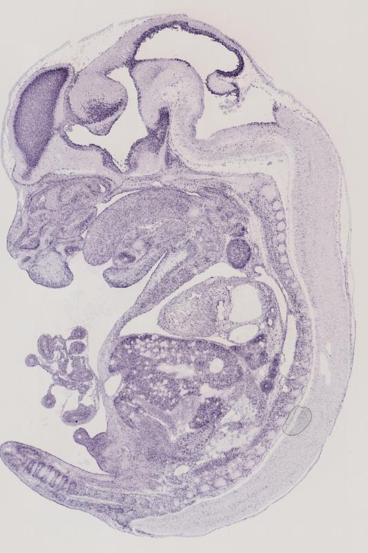
Specimen EH3328; Specimen C3312: embryonic day 14.5 (more )
Structure Level Pattern Image Note
TS22: nervous system Strong Regionally restricted Embryo_C3312_2_3C
TS22: central nervous system Strong Regionally restricted Embryo_C3312_2_3C
TS22: telencephalon Strong Regionally restricted Embryo_C3312_2_3C
TS22: cerebral cortex Strong Regionally restricted Embryo_C3312_2_3C
TS22: neocortex Strong Regionally restricted Embryo_C3312_2_3C
TS22: olfactory cortex Strong Regionally restricted Embryo_C3312_2_3C
TS22: main olfactory bulb Strong Regionally restricted Embryo_C3312_2_3C
TS22: piriform cortex Absent
TS22: hippocampus Strong Regionally restricted Embryo_C3312_2_3C
TS22: basal ganglia Strong Regionally restricted Embryo_C3312_2_2A
TS22: corpus striatum Strong Regionally restricted Embryo_C3312_2_2A Expression was strong in the corpus striatum (lateral ganglionic eminence).
TS22: basal forebrain Absent
TS22: amygdala Strong Regionally restricted Embryo_C3312_2_2A
TS22: telencephalon septum Strong Regionally restricted Embryo_C3312_2_3C
TS22: pallidum Strong Regionally restricted Embryo_C3312_2_3A Expression was strong in the pallidum (medial ganglionic eminence).
TS22: diencephalon Strong Regionally restricted Embryo_C3312_2_3D
TS22: thalamus Strong Regionally restricted Embryo_C3312_2_3D
TS22: hypothalamus Strong Regionally restricted Embryo_C3312_2_3D
TS22: midbrain Strong Regionally restricted Embryo_C3312_2_3C
TS22: pretectum Absent
TS22: superior colliculus Strong Regionally restricted Embryo_C3312_2_3C
TS22: inferior colliculus Strong Regionally restricted Embryo_C3312_2_3C
TS22: midbrain tegmentum Strong Regionally restricted Embryo_C3312_2_3D
TS22: hindbrain Strong Regionally restricted Embryo_C3312_2_3D
TS22: cerebellum Strong Regionally restricted Embryo_C3312_2_3D
TS22: pons Moderate Regionally restricted Embryo_C3312_2_3B
TS22: medulla oblongata Absent
TS22: spinal cord Absent
TS22: choroid plexus Absent
TS22: meninges Absent
TS22: peripheral nervous system Absent
TS22: cranial ganglion Absent
TS22: dorsal root ganglion Absent
TS22: eye Strong Regionally restricted Embryo_C3312_2_1A
TS22: retina Moderate Regionally restricted Embryo_C3312_2_1A
TS22: lens Strong Regionally restricted Embryo_C3312_2_1A
TS22: cornea Absent
TS22: optic nerve Absent
TS22: nose Weak Regionally restricted Embryo_C3312_2_3B
TS22: olfactory epithelium Weak Regionally restricted Embryo_C3312_2_3B
TS22: ear Moderate Regionally restricted Embryo_C3312_2_3A
TS22: inner ear Moderate Regionally restricted Embryo_C3312_2_3A
TS22: cochlea Moderate Regionally restricted Embryo_C3312_2_3A
TS22: inner ear labyrinth Weak Regionally restricted Embryo_C3312_2_2C
TS22: middle ear Weak Regionally restricted Embryo_C3312_2_1B
TS22: alimentary system Moderate Regionally restricted Embryo_C3312_2_3B Expression was detected in the digestive system.
TS22: intestine Weak Regionally restricted Embryo_C3312_2_2D
TS22: salivary gland Moderate Regionally restricted Embryo_C3312_2_3B
TS22: tongue Weak Ubiquitous Embryo_C3312_2_3C
TS22: tooth Moderate Regionally restricted Embryo_C3312_2_3D
TS22: palatal shelf Absent
TS22: esophagus Weak Regionally restricted Embryo_C3312_2_4A
TS22: stomach Weak Regionally restricted Embryo_C3312_2_2D
TS22: liver Moderate Regionally restricted Embryo_C3312_2_2A
TS22: respiratory system Strong Regionally restricted Embryo_C3312_2_3B
TS22: pharynx Absent
TS22: larynx Absent
TS22: trachea Weak Regionally restricted Embryo_C3312_2_4B
TS22: main bronchus Absent
TS22: lung Strong Regionally restricted Embryo_C3312_2_3B
TS22: urinary system Moderate Regionally restricted Embryo_C3312_2_3D Expression was detected in the genito-urinary system.
TS22: metanephros Moderate Regionally restricted Embryo_C3312_2_2C
TS22: ureter Absent
TS22: bladder Weak Regionally restricted Embryo_C3312_2_4B
TS22: urethra Absent
TS22: reproductive system Moderate Regionally restricted Embryo_C3312_2_2D
TS22: genital tubercle Moderate Regionally restricted Embryo_C3312_2_2D
TS22: gonad Absent
TS22: gland Moderate Regionally restricted Embryo_C3312_2_4B Expression was detected in the endocrine system.
TS22: thyroid gland Moderate Regionally restricted Embryo_C3312_2_3D
TS22: pituitary gland Moderate Regionally restricted Embryo_C3312_2_4B
TS22: pancreas Absent
TS22: adrenal gland Weak Regionally restricted Embryo_C3312_2_3B
TS22: cardiovascular system Weak Ubiquitous Embryo_C3312_2_3D
TS22: heart Weak Ubiquitous Embryo_C3312_2_3D
TS22: heart atrium Weak Ubiquitous Embryo_C3312_2_3D
TS22: heart ventricle Weak Ubiquitous Embryo_C3312_2_3D
TS22: blood vessel Weak Ubiquitous Embryo_C3312_2_3D
TS22: hemolymphoid system Moderate Regionally restricted Embryo_C3312_2_3D Expression was detected in the immune system.
TS22: spleen primordium Weak Regionally restricted Embryo_C3312_2_1C
TS22: thymus primordium Moderate Regionally restricted Embryo_C3312_2_3D
TS22: appendicular skeleton Absent Expression was not detected in the skeleton (limbs, shoulder, hip).
TS22: musculature Absent
TS22: face Absent Expression was not detected in the face/soft tissues.
TS22: facial bone primordium Absent
TS22: cranium Moderate Regionally restricted Embryo_C3312_2_2A Expression was detected in the skull (base and vault).
TS22: axial skeleton Absent
TS22: tail Moderate Regionally restricted Embryo_C3312_2_3C
TS22: forelimb Strong Regionally restricted Embryo_C3312_2_2A
TS22: hindlimb Strong Regionally restricted Embryo_C3312_2_6C
TS22: integumental system Moderate Regionally restricted Embryo_C3312_2_2A
TS22: skin Weak Regionally restricted Embryo_C3312_2_2D
TS22: hair Moderate Regionally restricted Embryo_C3312_2_2A
TS22: vibrissa follicle Moderate Regionally restricted Embryo_C3312_2_2A Expression was detected in whisker follicle.


Contributing Projects:
Mouse Genome Database (MGD), Gene Expression Database (GXD), Mouse Models of Human Cancer database (MMHCdb) (formerly Mouse Tumor Biology (MTB)), Gene Ontology (GO)
Citing These Resources
Funding Information
Warranty Disclaimer, Privacy Notice, Licensing, & Copyright
Send questions and comments to User Support.
last database update
12/30/2025
MGI 6.24
The Jackson Laboratory