About   Help   FAQ
Gene Expression Data
Assay Details
Assay
Reference: J:122989 Visel A, et al., GenePaint.org: an atlas of gene expression patterns in the mouse embryo. Nucleic Acids Res. 2004 Jan 1;32(Database issue):D552-6
Assay type: RNA in situ
MGI Accession ID: MGI:5423189
Gene symbol: Calcb
Gene name: calcitonin-related polypeptide, beta
Probe: EH568 probe 235
Probe preparation: Antisense labelled with digoxigenin RNA
Visualized with: Alkaline phosphatase
Assay notes: Cryosections of fresh frozen material were fixed in 4% paraformaldehyde for 20 min. before further processing. A tyramide-biotin/streptavidin amplification step was included in the in situ hybridization procedure. These data were downloaded from GenePaint.org on 1/30/12.
Results
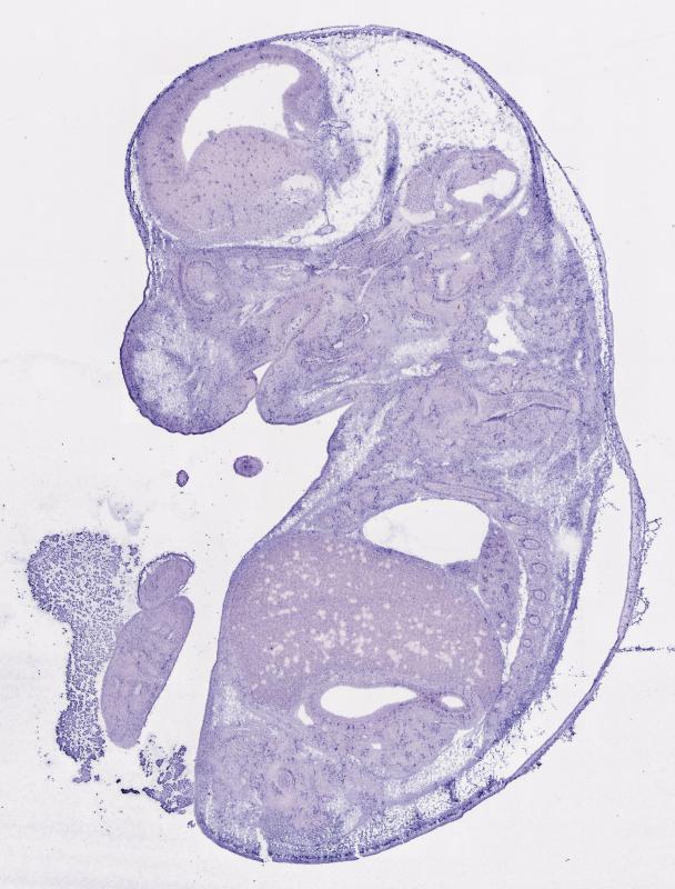
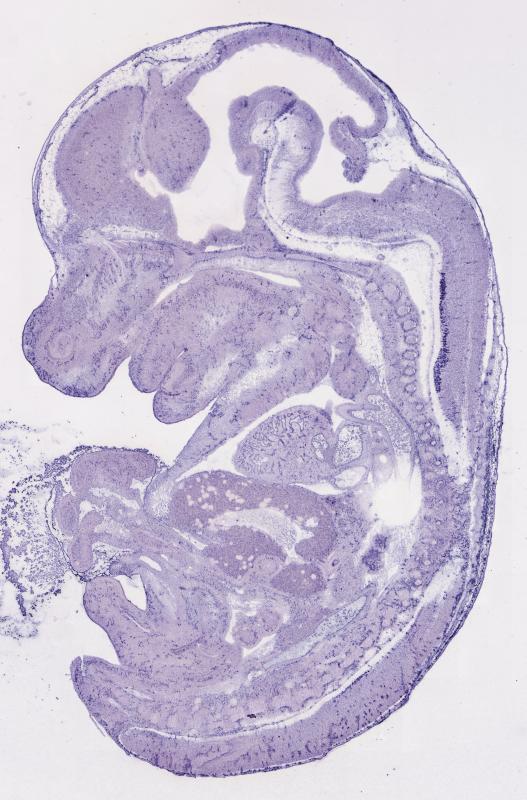
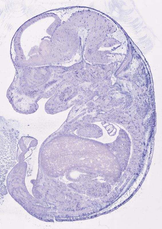
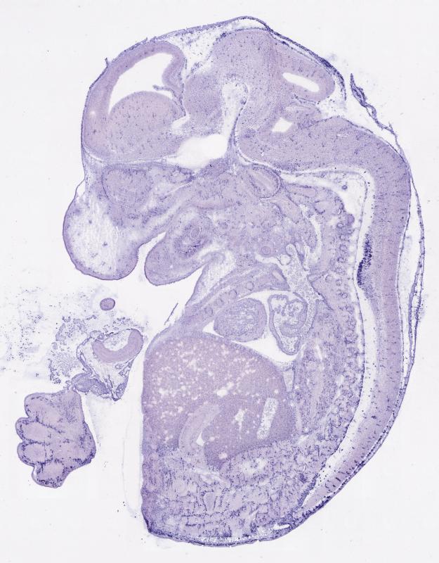
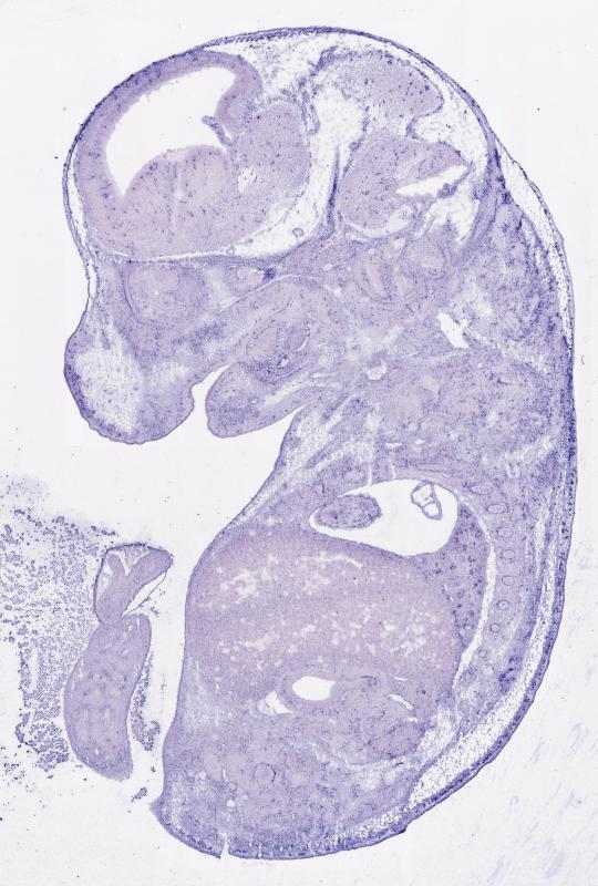
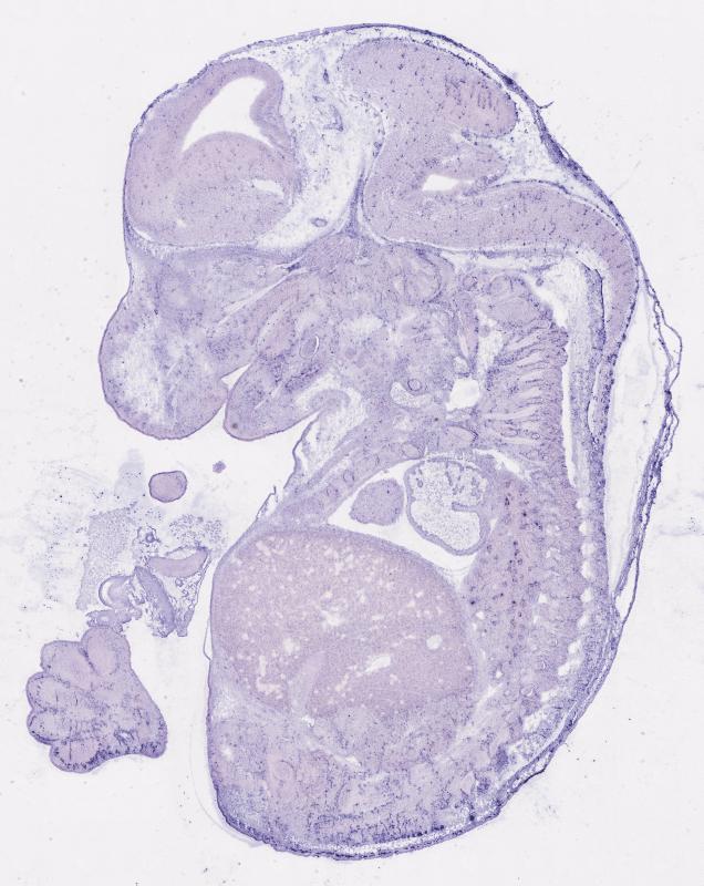
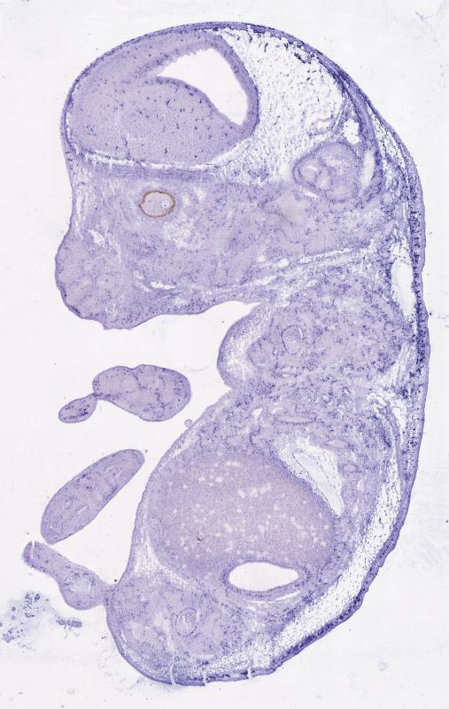
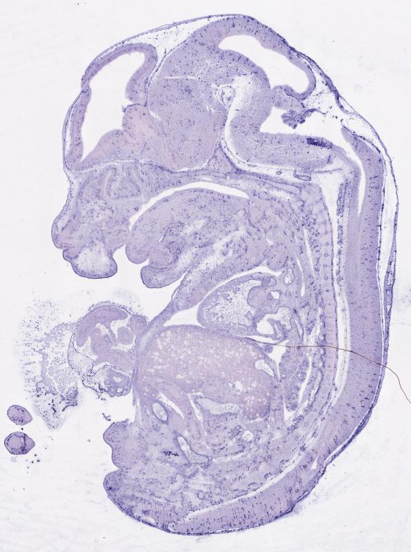
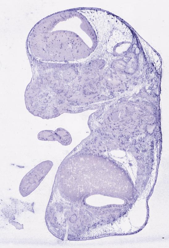
Specimen EH568; Specimen C2136: embryonic day 14.5 (more )
Structure Level Pattern Image Note
TS22: nervous system Moderate Regionally restricted Embryo_C2136_1_4B
TS22: central nervous system Moderate Regionally restricted Embryo_C2136_1_4B
TS22: telencephalon Weak Regionally restricted Embryo_C2136_1_1A
TS22: cerebral cortex Weak Regionally restricted Embryo_C2136_1_4B
TS22: neocortex Weak Regionally restricted Embryo_C2136_1_4B
TS22: olfactory cortex Weak Scattered Embryo_C2136_1_4B
TS22: main olfactory bulb Weak Scattered Embryo_C2136_1_4B
TS22: piriform cortex Absent
TS22: hippocampus Absent
TS22: basal ganglia Weak Regionally restricted Embryo_C2136_1_2A
TS22: corpus striatum Absent Expression was not detected in the corpus striatum (lateral ganglionic eminence).
TS22: basal forebrain Weak Regionally restricted Embryo_C2136_1_2A
TS22: amygdala Weak Regionally restricted Embryo_C2136_1_2A
TS22: telencephalon septum Absent
TS22: pallidum Absent Expression was not detected in the pallidum (medial ganglionic eminence).
TS22: diencephalon Weak Regionally restricted Embryo_C2136_1_4B
TS22: thalamus Weak Regionally restricted Embryo_C2136_1_4B
TS22: hypothalamus Weak Regionally restricted Embryo_C2136_1_4B
TS22: midbrain Weak Regionally restricted Embryo_C2136_1_4B
TS22: pretectum Weak Regionally restricted Embryo_C2136_1_4B
TS22: superior colliculus Weak Regionally restricted Embryo_C2136_1_4B
TS22: inferior colliculus Weak Regionally restricted Embryo_C2136_1_4B
TS22: midbrain tegmentum Weak Regionally restricted Embryo_C2136_1_4A
TS22: hindbrain Weak Regionally restricted Embryo_C2136_1_4B
TS22: cerebellum Absent
TS22: pons Weak Scattered Embryo_C2136_1_5B
TS22: medulla oblongata Weak Regionally restricted Embryo_C2136_1_4B
TS22: spinal cord Weak Regionally restricted Embryo_C2136_1_4C
TS22: choroid plexus Moderate Regionally restricted Embryo_C2136_1_4B
TS22: meninges Weak Regionally restricted Embryo_C2136_1_2A
TS22: peripheral nervous system Weak Regionally restricted Embryo_C2136_1_2B
TS22: cranial ganglion Weak Scattered Embryo_C2136_1_2B
TS22: dorsal root ganglion Weak Regionally restricted Embryo_C2136_1_5C
TS22: eye Weak Scattered Embryo_C2136_1_1A
TS22: retina Weak Scattered Embryo_C2136_1_1A
TS22: lens Weak Scattered Embryo_C2136_1_1A
TS22: cornea Weak Scattered Embryo_C2136_1_1A
TS22: optic nerve Weak Regionally restricted Embryo_C2136_1_2B
TS22: nose Weak Regionally restricted Embryo_C2136_1_4B
TS22: olfactory epithelium Weak Regionally restricted Embryo_C2136_1_4B
TS22: ear Weak Regionally restricted Embryo_C2136_1_5B
TS22: inner ear Weak Regionally restricted Embryo_C2136_1_5B
TS22: cochlea Weak Regionally restricted Embryo_C2136_1_5D
TS22: inner ear labyrinth Weak Regionally restricted Embryo_C2136_1_1C
TS22: middle ear Absent
TS22: alimentary system Weak Regionally restricted Embryo_C2136_1_4C Expression was weak in the digestive system.
TS22: intestine Weak Regionally restricted Embryo_C2136_1_4C
TS22: salivary gland Absent
TS22: tongue Weak Scattered Embryo_C2136_1_4C
TS22: tooth Weak Regionally restricted Embryo_C2136_1_4C
TS22: palatal shelf Absent
TS22: esophagus Weak Regionally restricted Embryo_C2136_1_4B
TS22: stomach Weak Scattered Embryo_C2136_1_1C
TS22: liver Absent
TS22: respiratory system Weak Regionally restricted Embryo_C2136_1_4B
TS22: pharynx Absent
TS22: larynx Absent
TS22: trachea Weak Regionally restricted Embryo_C2136_1_4B
TS22: main bronchus Absent
TS22: lung Weak Regionally restricted Embryo_C2136_1_2C
TS22: urinary system Moderate Regionally restricted Embryo_C2136_1_4D Expression was detected in the genito-urinary system.
TS22: metanephros Weak Scattered Embryo_C2136_1_6A
TS22: ureter Weak Scattered Embryo_C2136_1_4D
TS22: bladder Moderate Regionally restricted Embryo_C2136_1_4D
TS22: urethra Moderate Scattered Embryo_C2136_1_4D
TS22: reproductive system Weak Regionally restricted Embryo_C2136_1_4C
TS22: genital tubercle Weak Regionally restricted Embryo_C2136_1_4C
TS22: gonad Absent
TS22: gland Absent Expression was not detected in the endocrine system.
TS22: thyroid gland Absent
TS22: pituitary gland Absent
TS22: pancreas Absent
TS22: adrenal gland Absent
TS22: cardiovascular system Weak Regionally restricted Embryo_C2136_1_4A
TS22: heart Weak Regionally restricted Embryo_C2136_1_4A
TS22: heart atrium Weak Regionally restricted Embryo_C2136_1_4A
TS22: heart ventricle Weak Regionally restricted Embryo_C2136_1_4A
TS22: blood vessel Weak Regionally restricted Embryo_C2136_1_4A
TS22: hemolymphoid system Weak Regionally restricted Embryo_C2136_1_1D Expression was weak in the immune system.
TS22: spleen primordium Weak Scattered Embryo_C2136_1_1D
TS22: thymus primordium Absent
TS22: appendicular skeleton Weak Regionally restricted Embryo_C2136_1_1B Expression was weak in the skeleton (limbs, shoulder, hip).
TS22: musculature Absent
TS22: face Absent Expression was not detected in the face/soft tissues.
TS22: facial bone primordium Absent
TS22: cranium Weak Regionally restricted Embryo_C2136_1_2D Expression was weak in the skull (base and vault).
TS22: axial skeleton Weak Regionally restricted Embryo_C2136_1_4A
TS22: tail Weak Scattered Embryo_C2136_1_2D
TS22: forelimb Moderate Scattered Embryo_C2136_1_1A
TS22: hindlimb Moderate Scattered Embryo_C2136_1_1A
TS22: integumental system Weak Regionally restricted Embryo_C2136_1_2C
TS22: skin Weak Regionally restricted Embryo_C2136_1_2C
TS22: hair Absent
TS22: vibrissa follicle Absent Expression was not detected in whisker follicle.


Contributing Projects:
Mouse Genome Database (MGD), Gene Expression Database (GXD), Mouse Models of Human Cancer database (MMHCdb) (formerly Mouse Tumor Biology (MTB)), Gene Ontology (GO)
Citing These Resources
Funding Information
Warranty Disclaimer, Privacy Notice, Licensing, & Copyright
Send questions and comments to User Support.
last database update
01/28/2026
MGI 6.24
The Jackson Laboratory