About   Help   FAQ
Gene Expression Data
Assay Details
Assay
Reference: J:122989 Visel A, et al., GenePaint.org: an atlas of gene expression patterns in the mouse embryo. Nucleic Acids Res. 2004 Jan 1;32(Database issue):D552-6
Assay type: RNA in situ
MGI Accession ID: MGI:5423135
Gene symbol: Bdh1
Gene name: 3-hydroxybutyrate dehydrogenase, type 1
Probe: ES329 probe 341
Probe preparation: Antisense labelled with digoxigenin RNA
Visualized with: Alkaline phosphatase
Assay notes: Cryosections of fresh frozen material were fixed in 4% paraformaldehyde for 20 min. before further processing. A tyramide-biotin/streptavidin amplification step was included in the in situ hybridization procedure. These data were downloaded from GenePaint.org on 1/30/12.
Results
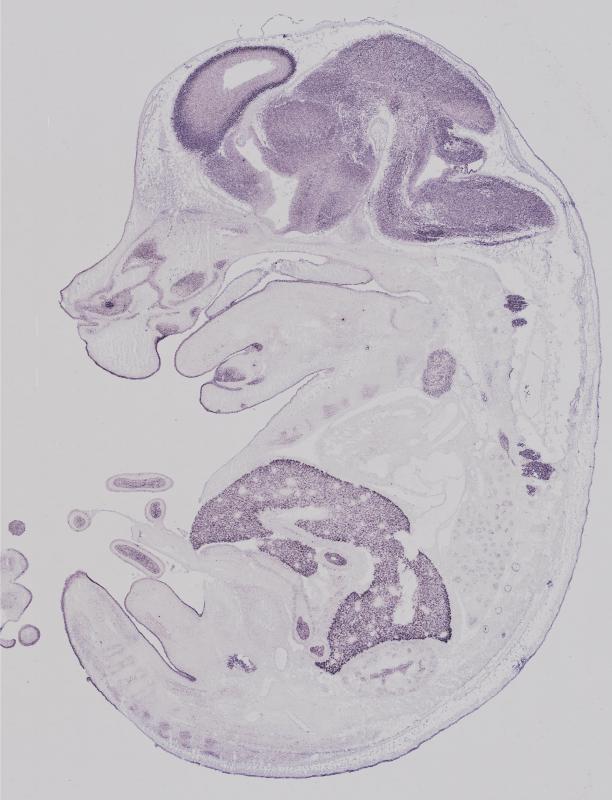
Specimen ES329; Specimen S218: embryonic day 14.5 (more )
Structure Level Pattern Image Note
TS22: nervous system Strong Regionally restricted Embryo_S218_5_2C
TS22: central nervous system Strong Regionally restricted Embryo_S218_5_2C
TS22: telencephalon Strong Regionally restricted Embryo_S218_5_4D
TS22: cerebral cortex Strong Regionally restricted Embryo_S218_5_4D
TS22: neocortex Strong Regionally restricted Embryo_S218_5_4D
TS22: olfactory cortex Strong Regionally restricted Embryo_S218_5_3D
TS22: main olfactory bulb Strong Regionally restricted Embryo_S218_5_3D
TS22: piriform cortex Moderate Regionally restricted Embryo_S218_5_1B
TS22: hippocampus Strong Regionally restricted Embryo_S218_5_4D
TS22: basal ganglia Moderate Regionally restricted Embryo_S218_5_5D
TS22: corpus striatum Moderate Regionally restricted Embryo_S218_5_5D Expression was detected in the corpus striatum (lateral ganglionic eminence).
TS22: basal forebrain Moderate Regionally restricted Embryo_S218_5_3A
TS22: amygdala Moderate Regionally restricted Embryo_S218_5_5D
TS22: telencephalon septum Moderate Regionally restricted Embryo_S218_5_3B
TS22: pallidum Absent Expression was not detected in the pallidum (medial ganglionic eminence).
TS22: diencephalon Moderate Regionally restricted Embryo_S218_5_4A
TS22: thalamus Moderate Ubiquitous Embryo_S218_5_4A
TS22: hypothalamus Weak Ubiquitous Embryo_S218_5_4A
TS22: midbrain Moderate Regionally restricted Embryo_S218_5_4A
TS22: pretectum Moderate Ubiquitous Embryo_S218_5_4A
TS22: superior colliculus Moderate Ubiquitous Embryo_S218_5_4A
TS22: inferior colliculus Absent
TS22: midbrain tegmentum Moderate Regionally restricted Embryo_S218_5_4A
TS22: hindbrain Strong Regionally restricted Embryo_S218_5_3A
TS22: cerebellum Strong Ubiquitous Embryo_S218_5_3A
TS22: pons Moderate Regionally restricted Embryo_S218_5_4A
TS22: medulla oblongata Strong Ubiquitous Embryo_S218_5_3A
TS22: spinal cord Strong Ubiquitous Embryo_S218_5_3A
TS22: choroid plexus Weak Scattered Embryo_S218_5_2C
TS22: meninges Absent
TS22: peripheral nervous system Strong Ubiquitous Embryo_S218_5_2C
TS22: cranial ganglion Strong Ubiquitous Embryo_S218_5_5C
TS22: dorsal root ganglion Strong Ubiquitous Embryo_S218_5_5C
TS22: eye Strong Regionally restricted Embryo_S218_5_2C
TS22: retina Moderate Regionally restricted Embryo_S218_5_1B
TS22: lens Absent
TS22: cornea Absent
TS22: optic nerve Strong Regionally restricted Embryo_S218_5_2C
TS22: nose Moderate Regionally restricted Embryo_S218_5_4A
TS22: olfactory epithelium Moderate Regionally restricted Embryo_S218_5_4A
TS22: ear Moderate Regionally restricted Embryo_S218_5_1A
TS22: inner ear Moderate Regionally restricted Embryo_S218_5_2C
TS22: cochlea Absent
TS22: inner ear labyrinth Moderate Regionally restricted Embryo_S218_5_2C
TS22: middle ear Moderate Regionally restricted Embryo_S218_5_1A
TS22: alimentary system Strong Regionally restricted Embryo_S218_5_3A Expression was strong in the digestive system.
TS22: intestine Moderate Regionally restricted Embryo_S218_5_4B
TS22: salivary gland Weak Regionally restricted Embryo_S218_5_5A
TS22: tongue Moderate Regionally restricted Embryo_S218_5_4A
TS22: tooth Moderate Regionally restricted Embryo_S218_5_4A
TS22: palatal shelf Weak Regionally restricted Embryo_S218_5_4A
TS22: esophagus Weak Regionally restricted Embryo_S218_5_3B
TS22: stomach Weak Regionally restricted Embryo_S218_5_3A
TS22: liver Strong Ubiquitous Embryo_S218_5_3A
TS22: respiratory system Absent
TS22: pharynx Absent
TS22: larynx Absent
TS22: trachea Absent
TS22: main bronchus Absent
TS22: lung Absent
TS22: urinary system Weak Regionally restricted Embryo_S218_5_4B Expression was weak in the genito-urinary system.
TS22: metanephros Weak Regionally restricted Embryo_S218_5_4B
TS22: ureter Absent
TS22: bladder Weak Regionally restricted Embryo_S218_5_3D
TS22: urethra Weak Regionally restricted Embryo_S218_5_3D
TS22: reproductive system Weak Regionally restricted Embryo_S218_5_2B
TS22: genital tubercle Absent
TS22: gonad Weak Regionally restricted Embryo_S218_5_2B
TS22: gland Weak Regionally restricted Embryo_S218_5_3A Expression was weak in the endocrine system.
TS22: thyroid gland Absent
TS22: pituitary gland Absent
TS22: pancreas Weak Regionally restricted Embryo_S218_5_3A
TS22: adrenal gland Absent
TS22: cardiovascular system Absent
TS22: heart Absent
TS22: heart atrium Absent
TS22: heart ventricle Absent
TS22: blood vessel Absent
TS22: hemolymphoid system Weak Regionally restricted Embryo_S218_5_3C Expression was weak in the immune system.
TS22: spleen primordium Absent
TS22: thymus primordium Weak Ubiquitous Embryo_S218_5_3C
TS22: appendicular skeleton Strong Regionally restricted Embryo_S218_5_4D Expression was strong in the skeleton (limbs, shoulder, hip).
TS22: musculature Absent
TS22: face Strong Regionally restricted Embryo_S218_5_2A Expression was strong in the face/soft tissues.
TS22: facial bone primordium Absent
TS22: cranium Absent Expression was not detected in the skull (base and vault).
TS22: axial skeleton Absent
TS22: tail Absent
TS22: forelimb Absent
TS22: hindlimb Absent
TS22: integumental system Strong Regionally restricted Embryo_S218_5_3A
TS22: skin Moderate Ubiquitous Embryo_S218_5_1A
TS22: hair Strong Ubiquitous Embryo_S218_5_3A
TS22: vibrissa follicle Strong Ubiquitous Embryo_S218_5_3A Expression was strong in whisker follicle.


Contributing Projects:
Mouse Genome Database (MGD), Gene Expression Database (GXD), Mouse Models of Human Cancer database (MMHCdb) (formerly Mouse Tumor Biology (MTB)), Gene Ontology (GO)
Citing These Resources
Funding Information
Warranty Disclaimer, Privacy Notice, Licensing, & Copyright
Send questions and comments to User Support.
last database update
12/30/2025
MGI 6.24
The Jackson Laboratory