About   Help   FAQ
Gene Expression Data
Assay Details
Assay
Reference: J:122989 Visel A, et al., GenePaint.org: an atlas of gene expression patterns in the mouse embryo. Nucleic Acids Res. 2004 Jan 1;32(Database issue):D552-6
Assay type: RNA in situ
MGI Accession ID: MGI:5423080
Gene symbol: Cdk11b
Gene name: cyclin dependent kinase 11B
Probe: ES1161 probe 1147
Probe preparation: Antisense labelled with digoxigenin RNA
Visualized with: Alkaline phosphatase
Assay notes: Cryosections of fresh frozen material were fixed in 4% paraformaldehyde for 20 min. before further processing. A tyramide-biotin/streptavidin amplification step was included in the in situ hybridization procedure. These data were downloaded from GenePaint.org on 1/30/12.
Results
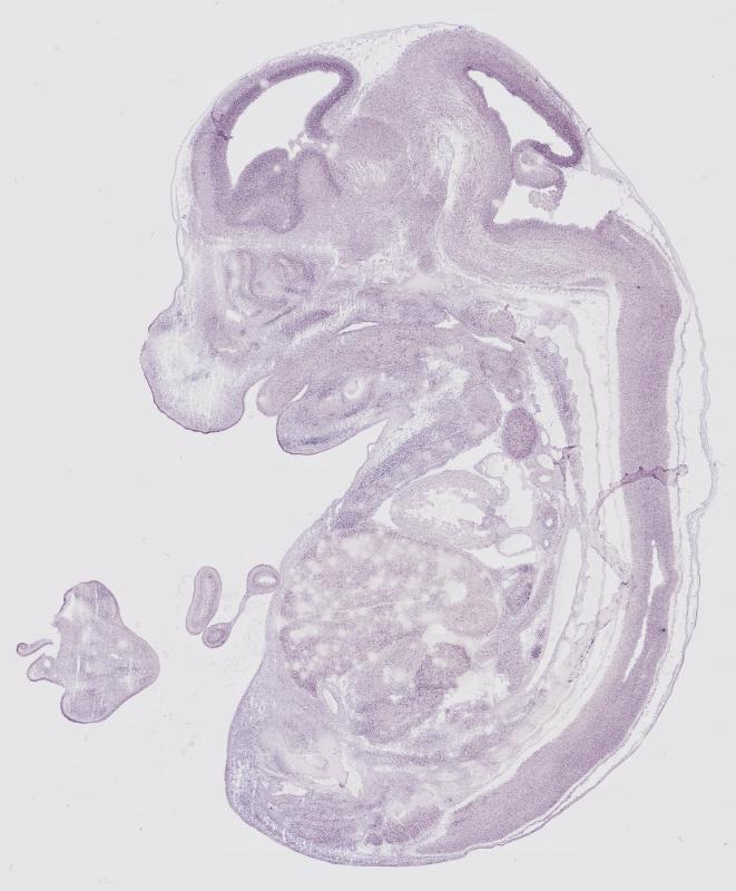
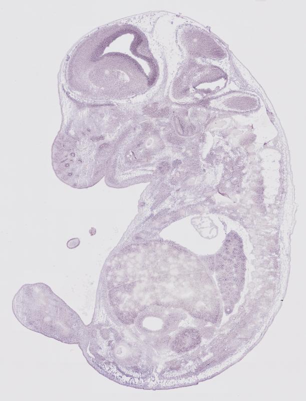
Specimen ES1161; Specimen S425: embryonic day 14.5 (more )
Structure Level Pattern Image Note
TS22: nervous system Moderate Regionally restricted Embryo_S425_1_5A
TS22: central nervous system Moderate Regionally restricted Embryo_S425_1_5A
TS22: telencephalon Moderate Regionally restricted Embryo_S425_1_5A
TS22: cerebral cortex Moderate Regionally restricted Embryo_S425_1_5A
TS22: neocortex Moderate Regionally restricted Embryo_S425_1_5A
TS22: olfactory cortex Weak Regionally restricted Embryo_S425_1_4A
TS22: main olfactory bulb Weak Regionally restricted Embryo_S425_1_4A
TS22: piriform cortex Absent
TS22: hippocampus Moderate Regionally restricted Embryo_S425_1_5A
TS22: basal ganglia Moderate Regionally restricted Embryo_S425_1_5A
TS22: corpus striatum Moderate Regionally restricted Embryo_S425_1_5A Expression was detected in the corpus striatum (lateral ganglionic eminence).
TS22: basal forebrain Absent
TS22: amygdala Moderate Regionally restricted Embryo_S425_1_2C
TS22: telencephalon septum Weak Regionally restricted Embryo_S425_1_4A
TS22: pallidum Weak Regionally restricted Embryo_S425_1_5A Expression was weak in the pallidum (medial ganglionic eminence).
TS22: diencephalon Weak Regionally restricted Embryo_S425_1_4C
TS22: thalamus Weak Regionally restricted Embryo_S425_1_4C
TS22: hypothalamus Weak Regionally restricted Embryo_S425_1_4C
TS22: midbrain Moderate Regionally restricted Embryo_S425_1_4A
TS22: pretectum Absent
TS22: superior colliculus Moderate Regionally restricted Embryo_S425_1_4A
TS22: inferior colliculus Moderate Ubiquitous Embryo_S425_1_3C
TS22: midbrain tegmentum Moderate Regionally restricted Embryo_S425_1_4A
TS22: hindbrain Weak Regionally restricted Embryo_S425_1_4A
TS22: cerebellum Weak Regionally restricted Embryo_S425_1_4A
TS22: pons Weak Regionally restricted Embryo_S425_1_4A
TS22: medulla oblongata Weak Regionally restricted Embryo_S425_1_4A
TS22: spinal cord Absent
TS22: choroid plexus Absent
TS22: meninges Absent
TS22: peripheral nervous system Absent
TS22: cranial ganglion Absent
TS22: dorsal root ganglion Absent
TS22: eye Absent
TS22: retina Absent
TS22: lens Absent
TS22: cornea Absent
TS22: optic nerve Absent
TS22: nose Weak Regionally restricted Embryo_S425_1_4A
TS22: olfactory epithelium Weak Regionally restricted Embryo_S425_1_4A
TS22: ear Absent
TS22: inner ear Absent
TS22: cochlea Absent
TS22: inner ear labyrinth Absent
TS22: middle ear Absent
TS22: alimentary system Moderate Regionally restricted Embryo_S425_1_4A Expression was detected in the digestive system.
TS22: intestine Absent
TS22: salivary gland Absent
TS22: tongue Absent
TS22: tooth Moderate Regionally restricted Embryo_S425_1_4A
TS22: palatal shelf Absent
TS22: esophagus Absent
TS22: stomach Absent
TS22: liver Absent
TS22: respiratory system Moderate Regionally restricted Embryo_S425_1_4A
TS22: pharynx Moderate Regionally restricted Embryo_S425_1_4A
TS22: larynx Absent
TS22: trachea Absent
TS22: main bronchus Absent
TS22: lung Absent
TS22: urinary system Moderate Regionally restricted Embryo_S425_1_3A Expression was detected in the genito-urinary system.
TS22: metanephros Moderate Regionally restricted Embryo_S425_1_3A
TS22: ureter Absent
TS22: bladder Absent
TS22: urethra Absent
TS22: reproductive system Absent
TS22: genital tubercle Absent
TS22: gonad Absent
TS22: gland Absent Expression was not detected in the endocrine system.
TS22: thyroid gland Absent
TS22: pituitary gland Absent
TS22: pancreas Absent
TS22: adrenal gland Absent
TS22: cardiovascular system Absent
TS22: heart Absent
TS22: heart atrium Absent
TS22: heart ventricle Absent
TS22: blood vessel Absent
TS22: hemolymphoid system Weak Regionally restricted Embryo_S425_1_3C Expression was weak in the immune system.
TS22: spleen primordium Absent
TS22: thymus primordium Weak Ubiquitous Embryo_S425_1_3C
TS22: appendicular skeleton Absent Expression was not detected in the skeleton (limbs, shoulder, hip).
TS22: musculature Absent
TS22: face Absent Expression was not detected in the face/soft tissues.
TS22: facial bone primordium Absent
TS22: cranium Absent Expression was not detected in the skull (base and vault).
TS22: axial skeleton Absent
TS22: tail Absent
TS22: forelimb Absent
TS22: hindlimb Absent
TS22: integumental system Weak Regionally restricted Embryo_S425_1_2C
TS22: skin Absent
TS22: hair Weak Regionally restricted Embryo_S425_1_2C
TS22: vibrissa follicle Weak Regionally restricted Embryo_S425_1_2C Expression was weak in whisker follicle.


Contributing Projects:
Mouse Genome Database (MGD), Gene Expression Database (GXD), Mouse Models of Human Cancer database (MMHCdb) (formerly Mouse Tumor Biology (MTB)), Gene Ontology (GO)
Citing These Resources
Funding Information
Warranty Disclaimer, Privacy Notice, Licensing, & Copyright
Send questions and comments to User Support.
last database update
12/30/2025
MGI 6.24
The Jackson Laboratory