About   Help   FAQ
Gene Expression Data
Assay Details
Assay
Reference: J:122989 Visel A, et al., GenePaint.org: an atlas of gene expression patterns in the mouse embryo. Nucleic Acids Res. 2004 Jan 1;32(Database issue):D552-6
Assay type: RNA in situ
MGI Accession ID: MGI:5423074
Gene symbol: Cryzl1
Gene name: crystallin zeta like 1
Probe: MY215 probe 61
Probe preparation: Antisense labelled with digoxigenin RNA
Visualized with: Alkaline phosphatase
Assay notes: Cryosections of fresh frozen material were fixed in 4% paraformaldehyde for 20 min. before further processing. A tyramide-biotin/streptavidin amplification step was included in the in situ hybridization procedure. These data were downloaded from GenePaint.org on 1/30/12.
Results
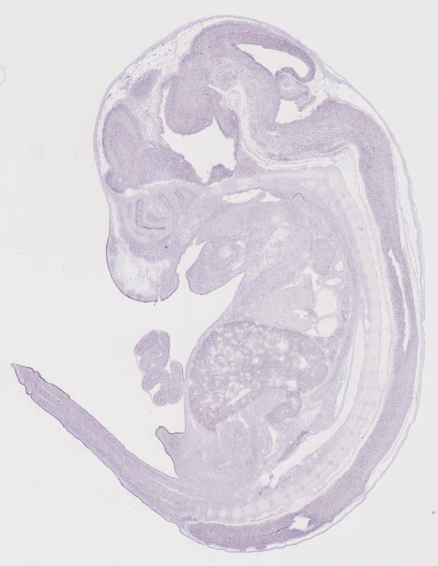
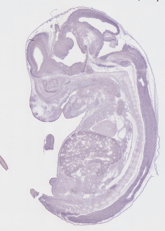
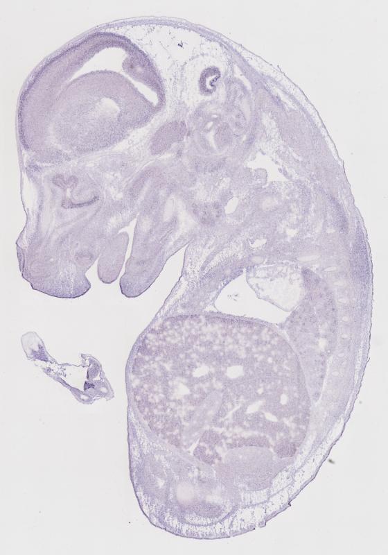
Specimen MY215; Specimen C1285: embryonic day 14.5 (more )
Structure Level Pattern Image Note
TS22: nervous system Moderate Regionally restricted
TS22: central nervous system Moderate Regionally restricted
TS22: telencephalon Moderate Regionally restricted
TS22: cerebral cortex Moderate Regionally restricted Embryo_C1285_3_2C
TS22: neocortex Moderate Scattered
TS22: olfactory cortex Weak Regionally restricted Embryo_C1285_3_2B
TS22: main olfactory bulb Weak Regionally restricted Embryo_C1285_3_2B
TS22: piriform cortex Weak Regionally restricted Embryo_C1285_3_6C
TS22: hippocampus Moderate Regionally restricted
TS22: basal ganglia Moderate Regionally restricted Embryo_C1285_3_3B
TS22: corpus striatum Moderate Regionally restricted Embryo_C1285_3_3B Expression was detected in the corpus striatum (lateral ganglionic eminence).
TS22: basal forebrain Weak Regionally restricted Embryo_C1285_3_3A
TS22: amygdala Weak Regionally restricted Embryo_C1285_3_2C
TS22: telencephalon septum Weak Regionally restricted
TS22: pallidum Weak Regionally restricted Embryo_C1285_3_5C Expression was weak in the pallidum (medial ganglionic eminence).
TS22: diencephalon Moderate Regionally restricted Embryo_C1285_3_5A
TS22: thalamus Moderate Regionally restricted Embryo_C1285_3_5A
TS22: hypothalamus Moderate Regionally restricted Embryo_C1285_3_5A
TS22: midbrain Moderate Regionally restricted Embryo_C1285_3_5C
TS22: pretectum Moderate Regionally restricted Embryo_C1285_3_6B
TS22: superior colliculus Moderate Regionally restricted Embryo_C1285_3_5C
TS22: inferior colliculus Moderate Regionally restricted Embryo_C1285_3_5C
TS22: midbrain tegmentum Weak Regionally restricted Embryo_C1285_3_4D
TS22: hindbrain Moderate Regionally restricted Embryo_C1285_3_4C
TS22: cerebellum Weak Regionally restricted Embryo_C1285_3_4B
TS22: pons Weak Regionally restricted Embryo_C1285_3_5C
TS22: medulla oblongata Moderate Regionally restricted Embryo_C1285_3_4C
TS22: spinal cord Moderate Regionally restricted Embryo_C1285_3_4C
TS22: choroid plexus Absent
TS22: meninges Weak Regionally restricted Embryo_C1285_3_4A
TS22: peripheral nervous system Moderate Regionally restricted Embryo_C1285_3_2D
TS22: cranial ganglion Weak Regionally restricted Embryo_C1285_3_2B
TS22: dorsal root ganglion Weak Regionally restricted
TS22: eye Weak Regionally restricted Embryo_C1285_3_1D
TS22: retina Weak Regionally restricted Embryo_C1285_3_6D
TS22: lens Absent
TS22: cornea Weak Regionally restricted Embryo_C1285_3_1B
TS22: optic nerve Absent
TS22: nose Weak Regionally restricted Embryo_C1285_3_3A
TS22: olfactory epithelium Weak Regionally restricted Embryo_C1285_3_3A
TS22: ear Weak Regionally restricted
TS22: inner ear Weak Regionally restricted
TS22: cochlea Absent
TS22: inner ear labyrinth Weak Regionally restricted
TS22: middle ear Absent Embryo_C1285_3_2D
TS22: alimentary system Weak Regionally restricted Expression was weak in the digestive system.
TS22: intestine Weak Regionally restricted Embryo_C1285_3_2D
TS22: salivary gland Weak Regionally restricted
TS22: tongue Weak Regionally restricted Embryo_C1285_3_2D
TS22: tooth Absent
TS22: palatal shelf Absent
TS22: esophagus Absent
TS22: stomach Weak Regionally restricted Embryo_C1285_3_5C
TS22: liver Weak Regionally restricted Embryo_C1285_3_2B
TS22: respiratory system Weak Regionally restricted Embryo_C1285_3_4B
TS22: pharynx Weak Regionally restricted Embryo_C1285_3_4C
TS22: larynx Weak Regionally restricted Embryo_C1285_3_4D
TS22: trachea Absent
TS22: main bronchus Absent
TS22: lung Weak Regionally restricted Embryo_C1285_3_3B
TS22: urinary system Weak Regionally restricted Embryo_C1285_3_4C Expression was weak in the genito-urinary system.
TS22: metanephros Weak Regionally restricted Embryo_C1285_3_5B
TS22: ureter Absent
TS22: bladder Weak Regionally restricted Embryo_C1285_3_4B
TS22: urethra Absent
TS22: reproductive system Weak Regionally restricted Embryo_C1285_3_4C
TS22: genital tubercle Weak Regionally restricted Embryo_C1285_3_4C
TS22: gonad Absent
TS22: gland Weak Regionally restricted Embryo_C1285_3_5C Expression was weak in the endocrine system.
TS22: thyroid gland Weak Regionally restricted Embryo_C1285_3_5A
TS22: pituitary gland Weak Regionally restricted Embryo_C1285_3_5B
TS22: pancreas Weak Regionally restricted Embryo_C1285_3_5C
TS22: adrenal gland Weak Regionally restricted Embryo_C1285_3_6B
TS22: cardiovascular system Weak Regionally restricted Embryo_C1285_3_4A
TS22: heart Weak Regionally restricted Embryo_C1285_3_4A
TS22: heart atrium Weak Regionally restricted Embryo_C1285_3_4A
TS22: heart ventricle Absent
TS22: blood vessel Weak Regionally restricted Embryo_C1285_3_4B
TS22: hemolymphoid system Weak Regionally restricted Embryo_C1285_3_4A Expression was weak in the immune system.
TS22: spleen primordium Absent
TS22: thymus primordium Weak Regionally restricted Embryo_C1285_3_4A
TS22: appendicular skeleton Absent Expression was not detected in the skeleton (limbs, shoulder, hip).
TS22: musculature Absent
TS22: face Weak Regionally restricted Embryo_C1285_3_2B Expression was weak in the face/soft tissues.
TS22: facial bone primordium Absent
TS22: cranium Absent Expression was not detected in the skull (base and vault).
TS22: axial skeleton Absent
TS22: tail Weak Regionally restricted Embryo_C1285_3_4B
TS22: forelimb Weak Regionally restricted Embryo_C1285_3_1C
TS22: hindlimb Weak Regionally restricted Embryo_C1285_3_6B
TS22: integumental system Weak Regionally restricted Embryo_C1285_3_5B
TS22: skin Weak Regionally restricted Embryo_C1285_3_1D
TS22: hair Weak Regionally restricted Embryo_C1285_3_5B
TS22: vibrissa follicle Weak Regionally restricted Embryo_C1285_3_5B Expression was weak in whisker follicle.


Contributing Projects:
Mouse Genome Database (MGD), Gene Expression Database (GXD), Mouse Models of Human Cancer database (MMHCdb) (formerly Mouse Tumor Biology (MTB)), Gene Ontology (GO)
Citing These Resources
Funding Information
Warranty Disclaimer, Privacy Notice, Licensing, & Copyright
Send questions and comments to User Support.
last database update
12/30/2025
MGI 6.24
The Jackson Laboratory