About   Help   FAQ
Gene Expression Data
Assay Details
Assay
Reference: J:122989 Visel A, et al., GenePaint.org: an atlas of gene expression patterns in the mouse embryo. Nucleic Acids Res. 2004 Jan 1;32(Database issue):D552-6
Assay type: RNA in situ
MGI Accession ID: MGI:5423061
Gene symbol: Dclk2
Gene name: doublecortin-like kinase 2
Probe: MH1342 probe 1052
Probe preparation: Antisense labelled with digoxigenin RNA
Visualized with: Alkaline phosphatase
Assay notes: Cryosections of fresh frozen material were fixed in 4% paraformaldehyde for 20 min. before further processing. A tyramide-biotin/streptavidin amplification step was included in the in situ hybridization procedure. These data were downloaded from GenePaint.org on 1/30/12.
Results
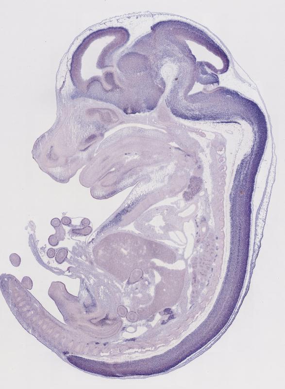
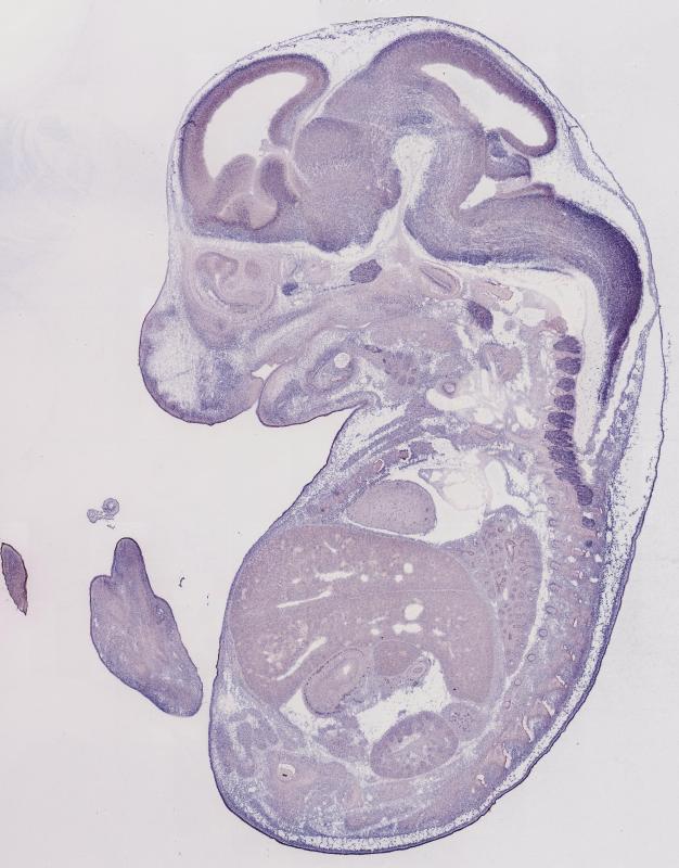
Specimen MH1342; Specimen C1580: embryonic day 14.5 (more )
Structure Level Pattern Image Note
TS22: nervous system Strong Regionally restricted Embryo_C1580_6_3C
TS22: central nervous system Strong Regionally restricted Embryo_C1580_6_3C
TS22: telencephalon Strong Regionally restricted Embryo_C1580_6_2D
TS22: cerebral cortex Strong Regionally restricted Embryo_C1580_6_2D
TS22: neocortex Strong Regionally restricted Embryo_C1580_6_2D
TS22: olfactory cortex Strong Regionally restricted Embryo_C1580_6_2D
TS22: main olfactory bulb Strong Regionally restricted Embryo_C1580_6_2D
TS22: piriform cortex Moderate Regionally restricted Embryo_C1580_6_1C
TS22: hippocampus Strong Regionally restricted Embryo_C1580_6_2D
TS22: basal ganglia Strong Regionally restricted Embryo_C1580_6_3C
TS22: corpus striatum Strong Regionally restricted Embryo_C1580_6_2C Expression was strong in the corpus striatum (lateral ganglionic eminence).
TS22: basal forebrain Strong Regionally restricted Embryo_C1580_6_2D
TS22: amygdala Strong Regionally restricted Embryo_C1580_6_1C
TS22: telencephalon septum Moderate Regionally restricted Embryo_C1580_6_3C
TS22: pallidum Strong Regionally restricted Embryo_C1580_6_3C Expression was strong in the pallidum (medial ganglionic eminence).
TS22: diencephalon Moderate Regionally restricted Embryo_C1580_6_3C
TS22: thalamus Moderate Regionally restricted Embryo_C1580_6_3C
TS22: hypothalamus Moderate Regionally restricted Embryo_C1580_6_3C
TS22: midbrain Strong Regionally restricted Embryo_C1580_6_3C
TS22: pretectum Moderate Regionally restricted Embryo_C1580_6_3C
TS22: superior colliculus Strong Regionally restricted Embryo_C1580_6_3C
TS22: inferior colliculus Strong Regionally restricted Embryo_C1580_6_3C
TS22: midbrain tegmentum Moderate Regionally restricted Embryo_C1580_6_3C
TS22: hindbrain Strong Regionally restricted Embryo_C1580_6_3C
TS22: cerebellum Strong Regionally restricted Embryo_C1580_6_3C
TS22: pons Strong Regionally restricted Embryo_C1580_6_3C
TS22: medulla oblongata Strong Regionally restricted Embryo_C1580_6_3C
TS22: spinal cord Strong Regionally restricted Embryo_C1580_6_3C
TS22: choroid plexus Weak Regionally restricted Embryo_C1580_6_4A
TS22: meninges Weak Regionally restricted Embryo_C1580_6_3B
TS22: peripheral nervous system Strong Regionally restricted Embryo_C1580_6_3A
TS22: cranial ganglion Strong Regionally restricted Embryo_C1580_6_2A
TS22: dorsal root ganglion Strong Regionally restricted Embryo_C1580_6_3A
TS22: eye Strong Regionally restricted Embryo_C1580_6_1C
TS22: retina Strong Regionally restricted Embryo_C1580_6_1C
TS22: lens Absent
TS22: cornea Absent
TS22: optic nerve Absent
TS22: nose Moderate Regionally restricted Embryo_C1580_6_4A
TS22: olfactory epithelium Moderate Regionally restricted Embryo_C1580_6_4A
TS22: ear Strong Regionally restricted Embryo_C1580_6_3A
TS22: inner ear Strong Regionally restricted Embryo_C1580_6_3A
TS22: cochlea Strong Regionally restricted Embryo_C1580_6_2A
TS22: inner ear labyrinth Moderate Regionally restricted Embryo_C1580_6_2C
TS22: middle ear Strong Regionally restricted Embryo_C1580_6_2A
TS22: alimentary system Moderate Regionally restricted Embryo_C1580_6_3B Expression was detected in the digestive system.
TS22: intestine Moderate Regionally restricted Embryo_C1580_6_3B
TS22: salivary gland Weak Regionally restricted Embryo_C1580_6_5A
TS22: tongue Absent
TS22: tooth Absent
TS22: palatal shelf Weak Scattered Embryo_C1580_6_3A
TS22: esophagus Weak Regionally restricted Embryo_C1580_6_4A
TS22: stomach Weak Regionally restricted Embryo_C1580_6_6A
TS22: liver Absent
TS22: respiratory system Weak Regionally restricted Embryo_C1580_6_4D
TS22: pharynx Absent
TS22: larynx Absent
TS22: trachea Weak Regionally restricted Embryo_C1580_6_4A
TS22: main bronchus Absent
TS22: lung Weak Regionally restricted Embryo_C1580_6_4D
TS22: urinary system Moderate Regionally restricted Embryo_C1580_6_3B Expression was detected in the genito-urinary system.
TS22: metanephros Weak Regionally restricted Embryo_C1580_6_5B
TS22: ureter Moderate Scattered Embryo_C1580_6_3B
TS22: bladder Absent
TS22: urethra Moderate Scattered Embryo_C1580_6_3B
TS22: reproductive system Moderate Scattered Embryo_C1580_6_3B
TS22: genital tubercle Moderate Scattered Embryo_C1580_6_3B
TS22: gonad Absent
TS22: gland Weak Regionally restricted Embryo_C1580_6_5A Expression was weak in the endocrine system.
TS22: thyroid gland Absent
TS22: pituitary gland Absent
TS22: pancreas Weak Regionally restricted Embryo_C1580_6_5A
TS22: adrenal gland Weak Regionally restricted Embryo_C1580_6_5A
TS22: cardiovascular system Weak Regionally restricted Embryo_C1580_6_4A
TS22: heart Weak Scattered Embryo_C1580_6_4A
TS22: heart atrium Absent
TS22: heart ventricle Weak Scattered Embryo_C1580_6_4A
TS22: blood vessel Absent
TS22: hemolymphoid system Moderate Scattered Embryo_C1580_6_3B Expression was detected in the immune system.
TS22: spleen primordium Moderate Scattered Embryo_C1580_6_6A
TS22: thymus primordium Moderate Scattered Embryo_C1580_6_3B
TS22: appendicular skeleton Absent Expression was not detected in the skeleton (limbs, shoulder, hip).
TS22: musculature Absent
TS22: face Absent Expression was not detected in the face/soft tissues.
TS22: facial bone primordium Absent
TS22: cranium Absent Expression was not detected in the skull (base and vault).
TS22: axial skeleton Absent
TS22: tail Weak Regionally restricted Embryo_C1580_6_3C
TS22: forelimb Moderate Regionally restricted Embryo_C1580_6_1A
TS22: hindlimb Moderate Regionally restricted Embryo_C1580_6_1A
TS22: integumental system Moderate Regionally restricted Embryo_C1580_6_1A
TS22: skin Moderate Regionally restricted Embryo_C1580_6_1A
TS22: hair Absent
TS22: vibrissa follicle Weak Scattered Embryo_C1580_6_1A Expression was weak in whisker follicle.


Contributing Projects:
Mouse Genome Database (MGD), Gene Expression Database (GXD), Mouse Models of Human Cancer database (MMHCdb) (formerly Mouse Tumor Biology (MTB)), Gene Ontology (GO)
Citing These Resources
Funding Information
Warranty Disclaimer, Privacy Notice, Licensing, & Copyright
Send questions and comments to User Support.
last database update
12/30/2025
MGI 6.24
The Jackson Laboratory