About   Help   FAQ
Gene Expression Data
Assay Details
Assay
Reference: J:122989 Visel A, et al., GenePaint.org: an atlas of gene expression patterns in the mouse embryo. Nucleic Acids Res. 2004 Jan 1;32(Database issue):D552-6
Assay type: RNA in situ
MGI Accession ID: MGI:5423059
Gene symbol: Cyp4f13
Gene name: cytochrome P450, family 4, subfamily f, polypeptide 13
Probe: ES562 probe 543
Probe preparation: Antisense labelled with digoxigenin RNA
Visualized with: Alkaline phosphatase
Assay notes: Cryosections of fresh frozen material were fixed in 4% paraformaldehyde for 20 min. before further processing. A tyramide-biotin/streptavidin amplification step was included in the in situ hybridization procedure. These data were downloaded from GenePaint.org on 1/30/12.
Results
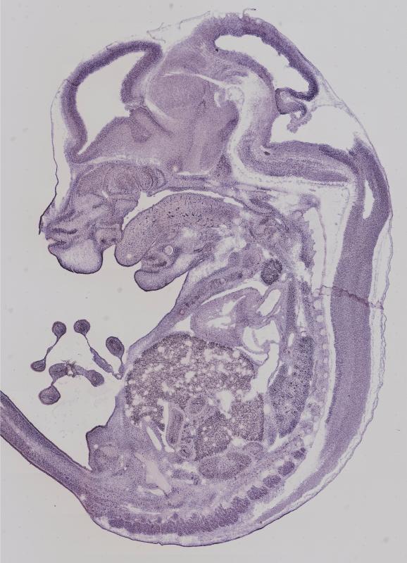
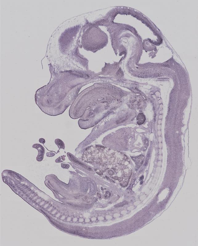
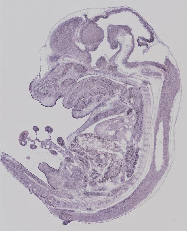
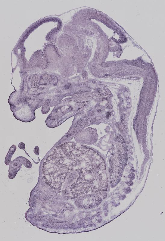
Specimen ES562; Specimen S272: embryonic day 14.5 (more )
Structure Level Pattern Image Note
TS22: nervous system Strong Regionally restricted Embryo_S272_5_3B
TS22: central nervous system Strong Regionally restricted Embryo_S272_5_3B
TS22: telencephalon Strong Regionally restricted Embryo_S272_5_2D
TS22: cerebral cortex Strong Regionally restricted Embryo_S272_5_2D
TS22: neocortex Strong Regionally restricted Embryo_S272_5_2D
TS22: olfactory cortex Moderate Regionally restricted Embryo_S272_5_2D
TS22: main olfactory bulb Moderate Regionally restricted Embryo_S272_5_2D
TS22: piriform cortex Moderate Regionally restricted Embryo_S272_5_1C
TS22: hippocampus Strong Regionally restricted Embryo_S272_5_2D
TS22: basal ganglia Strong Regionally restricted Embryo_S272_5_2D
TS22: corpus striatum Strong Regionally restricted Embryo_S272_5_2A Expression was strong in the corpus striatum (lateral ganglionic eminence).
TS22: basal forebrain Absent
TS22: amygdala Weak Ubiquitous Embryo_S272_5_1C
TS22: telencephalon septum Strong Regionally restricted Embryo_S272_5_2D
TS22: pallidum Strong Regionally restricted Embryo_S272_5_2D Expression was strong in the pallidum (medial ganglionic eminence).
TS22: diencephalon Moderate Regionally restricted Embryo_S272_5_4A
TS22: thalamus Weak Ubiquitous Embryo_S272_5_4A
TS22: hypothalamus Moderate Regionally restricted Embryo_S272_5_4A
TS22: midbrain Strong Regionally restricted Embryo_S272_5_3B
TS22: pretectum Weak Ubiquitous Embryo_S272_5_3B
TS22: superior colliculus Strong Regionally restricted Embryo_S272_5_3B
TS22: inferior colliculus Strong Ubiquitous Embryo_S272_5_3B
TS22: midbrain tegmentum Strong Regionally restricted Embryo_S272_5_3C
TS22: hindbrain Strong Regionally restricted Embryo_S272_5_4A
TS22: cerebellum Strong Regionally restricted Embryo_S272_5_4A
TS22: pons Weak Ubiquitous Embryo_S272_5_3B
TS22: medulla oblongata Strong Regionally restricted Embryo_S272_5_4A
TS22: spinal cord Strong Regionally restricted Embryo_S272_5_4A
TS22: choroid plexus Moderate Regionally restricted Embryo_S272_5_2D
TS22: meninges Absent
TS22: peripheral nervous system Strong Ubiquitous Embryo_S272_5_3A
TS22: cranial ganglion Strong Ubiquitous Embryo_S272_5_2B
TS22: dorsal root ganglion Strong Ubiquitous Embryo_S272_5_3A
TS22: eye Strong Regionally restricted Embryo_S272_5_6C
TS22: retina Moderate Regionally restricted Embryo_S272_5_6A
TS22: lens Strong Regionally restricted Embryo_S272_5_6C
TS22: cornea Moderate Regionally restricted Embryo_S272_5_6B
TS22: optic nerve Absent
TS22: nose Moderate Regionally restricted Embryo_S272_5_4A
TS22: olfactory epithelium Moderate Regionally restricted Embryo_S272_5_4A
TS22: ear Moderate Regionally restricted Embryo_S272_5_2D
TS22: inner ear Moderate Regionally restricted Embryo_S272_5_2D
TS22: cochlea Moderate Regionally restricted Embryo_S272_5_2D
TS22: inner ear labyrinth Moderate Regionally restricted Embryo_S272_5_2C
TS22: middle ear Moderate Regionally restricted Embryo_S272_5_1A
TS22: alimentary system Strong Regionally restricted Embryo_S272_5_3D Expression was strong in the digestive system.
TS22: intestine Strong Regionally restricted Embryo_S272_5_3C
TS22: salivary gland Strong Regionally restricted Embryo_S272_5_2C
TS22: tongue Moderate Regionally restricted Embryo_S272_5_3A
TS22: tooth Strong Regionally restricted Embryo_S272_5_3A
TS22: palatal shelf Strong Regionally restricted Embryo_S272_5_3A
TS22: esophagus Weak Regionally restricted Embryo_S272_5_3D
TS22: stomach Moderate Regionally restricted Embryo_S272_5_1B
TS22: liver Strong Regionally restricted Embryo_S272_5_3D
TS22: respiratory system Strong Regionally restricted Embryo_S272_5_2D
TS22: pharynx Weak Regionally restricted Embryo_S272_5_3D
TS22: larynx Weak Regionally restricted Embryo_S272_5_3D
TS22: trachea Weak Regionally restricted Embryo_S272_5_3D
TS22: main bronchus Absent
TS22: lung Strong Regionally restricted Embryo_S272_5_2D
TS22: urinary system Strong Regionally restricted Embryo_S272_5_2A Expression was strong in the genito-urinary system.
TS22: metanephros Strong Ubiquitous Embryo_S272_5_2A
TS22: ureter Weak Regionally restricted Embryo_S272_5_3B
TS22: bladder Weak Ubiquitous Embryo_S272_5_3B
TS22: urethra Weak Regionally restricted Embryo_S272_5_3B
TS22: reproductive system Moderate Regionally restricted Embryo_S272_5_3C
TS22: genital tubercle Moderate Regionally restricted Embryo_S272_5_3C
TS22: gonad Absent
TS22: gland Strong Regionally restricted Embryo_S272_5_3B Expression was strong in the endocrine system.
TS22: thyroid gland Strong Regionally restricted Embryo_S272_5_3B
TS22: pituitary gland Strong Regionally restricted Embryo_S272_5_4A
TS22: pancreas Strong Regionally restricted Embryo_S272_5_2D
TS22: adrenal gland Moderate Regionally restricted Embryo_S272_5_4B
TS22: cardiovascular system Weak Regionally restricted Embryo_S272_5_3C
TS22: heart Weak Regionally restricted Embryo_S272_5_3C
TS22: heart atrium Absent
TS22: heart ventricle Weak Ubiquitous Embryo_S272_5_3C
TS22: blood vessel Absent
TS22: hemolymphoid system Strong Regionally restricted Embryo_S272_5_3B Expression was strong in the immune system.
TS22: spleen primordium Absent
TS22: thymus primordium Strong Ubiquitous Embryo_S272_5_3B
TS22: appendicular skeleton Absent Expression was not detected in the skeleton (limbs, shoulder, hip).
TS22: musculature Moderate Regionally restricted Embryo_S272_5_1C
TS22: face Absent Expression was not detected in the face/soft tissues.
TS22: facial bone primordium Strong Regionally restricted Embryo_S272_5_3B
TS22: cranium Strong Regionally restricted Embryo_S272_5_1C Expression was strong in the skull (base and vault).
TS22: axial skeleton Moderate Regionally restricted Embryo_S272_5_1B
TS22: tail Strong Regionally restricted Embryo_S272_5_3C
TS22: forelimb Strong Regionally restricted Embryo_S272_5_1A
TS22: hindlimb Strong Regionally restricted Embryo_S272_5_1A
TS22: integumental system Strong Regionally restricted Embryo_S272_5_1A
TS22: skin Strong Regionally restricted Embryo_S272_5_1A
TS22: hair Moderate Regionally restricted Embryo_S272_5_1D
TS22: vibrissa follicle Moderate Regionally restricted Embryo_S272_5_1D Expression was detected in whisker follicle.


Contributing Projects:
Mouse Genome Database (MGD), Gene Expression Database (GXD), Mouse Models of Human Cancer database (MMHCdb) (formerly Mouse Tumor Biology (MTB)), Gene Ontology (GO)
Citing These Resources
Funding Information
Warranty Disclaimer, Privacy Notice, Licensing, & Copyright
Send questions and comments to User Support.
last database update
12/30/2025
MGI 6.24
The Jackson Laboratory