About   Help   FAQ
Gene Expression Data
Assay Details
Assay
Reference: J:122989 Visel A, et al., GenePaint.org: an atlas of gene expression patterns in the mouse embryo. Nucleic Acids Res. 2004 Jan 1;32(Database issue):D552-6
Assay type: RNA in situ
MGI Accession ID: MGI:5423058
Gene symbol: Slc35f2
Gene name: solute carrier family 35, member F2
Probe: MH3177 probe 2788
Probe preparation: Antisense labelled with digoxigenin RNA
Visualized with: Alkaline phosphatase
Assay notes: Cryosections of fresh frozen material were fixed in 4% paraformaldehyde for 20 min. before further processing. A tyramide-biotin/streptavidin amplification step was included in the in situ hybridization procedure. These data were downloaded from GenePaint.org on 1/30/12.
Results
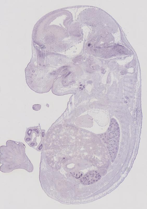
Specimen MH3177; Specimen C4268: embryonic day 14.5 (more )
Structure Level Pattern Image Note
TS22: nervous system Strong Regionally restricted Embryo_C4268_1_4A
TS22: central nervous system Strong Regionally restricted Embryo_C4268_1_4A
TS22: telencephalon Strong Regionally restricted Embryo_C4268_1_4B
TS22: cerebral cortex Strong Regionally restricted Embryo_C4268_1_4B
TS22: neocortex Absent
TS22: olfactory cortex Strong Regionally restricted Embryo_C4268_1_4B
TS22: main olfactory bulb Strong Regionally restricted Embryo_C4268_1_4B
TS22: piriform cortex Strong Regionally restricted Embryo_C4268_1_1B
TS22: hippocampus Absent
TS22: basal ganglia Weak Regionally restricted Embryo_C4268_1_2C
TS22: corpus striatum Weak Regionally restricted Embryo_C4268_1_2C Expression was weak in the corpus striatum (lateral ganglionic eminence).
TS22: basal forebrain Absent
TS22: amygdala Absent
TS22: telencephalon septum Absent
TS22: pallidum Absent Expression was not detected in the pallidum (medial ganglionic eminence).
TS22: diencephalon Absent
TS22: thalamus Absent
TS22: hypothalamus Absent
TS22: midbrain Strong Regionally restricted Embryo_C4268_1_4A
TS22: pretectum Absent
TS22: superior colliculus Absent
TS22: inferior colliculus Absent
TS22: midbrain tegmentum Strong Regionally restricted Embryo_C4268_1_4A
TS22: hindbrain Strong Regionally restricted Embryo_C4268_1_2C
TS22: cerebellum Absent
TS22: pons Strong Regionally restricted Embryo_C4268_1_3A
TS22: medulla oblongata Strong Regionally restricted Embryo_C4268_1_2C
TS22: spinal cord Strong Regionally restricted Embryo_C4268_1_4A
TS22: choroid plexus Absent
TS22: meninges Absent
TS22: peripheral nervous system Moderate Regionally restricted Embryo_C4268_1_3C
TS22: cranial ganglion Weak Regionally restricted Embryo_C4268_1_2D
TS22: dorsal root ganglion Weak Regionally restricted Embryo_C4268_1_5C
TS22: eye Absent
TS22: retina Absent
TS22: lens Absent
TS22: cornea Absent
TS22: optic nerve Absent
TS22: nose Absent
TS22: olfactory epithelium Absent
TS22: ear Absent
TS22: inner ear Absent
TS22: cochlea Absent
TS22: inner ear labyrinth Absent
TS22: middle ear Absent
TS22: alimentary system Strong Regionally restricted Embryo_C4268_1_3B Expression was strong in the digestive system.
TS22: intestine Moderate Regionally restricted Embryo_C4268_1_3A
TS22: salivary gland Strong Regionally restricted Embryo_C4268_1_3B
TS22: tongue Absent
TS22: tooth Strong Regionally restricted Embryo_C4268_1_5A
TS22: palatal shelf Absent
TS22: esophagus Absent
TS22: stomach Absent
TS22: liver Absent
TS22: respiratory system Weak Regionally restricted Embryo_C4268_1_3A
TS22: pharynx Absent
TS22: larynx Absent
TS22: trachea Absent
TS22: main bronchus Absent
TS22: lung Weak Regionally restricted Embryo_C4268_1_3A
TS22: urinary system Strong Regionally restricted Embryo_C4268_1_2B Expression was strong in the genito-urinary system.
TS22: metanephros Weak Regionally restricted Embryo_C4268_1_3A
TS22: ureter Absent
TS22: bladder Absent
TS22: urethra Absent
TS22: reproductive system Strong Regionally restricted Embryo_C4268_1_2B
TS22: genital tubercle Weak Regionally restricted Embryo_C4268_1_4D
TS22: gonad Strong Regionally restricted Embryo_C4268_1_2B
TS22: gland Moderate Regionally restricted Embryo_C4268_1_4A Expression was detected in the endocrine system.
TS22: thyroid gland Moderate Regionally restricted Embryo_C4268_1_4A
TS22: pituitary gland Absent
TS22: pancreas Weak Regionally restricted Embryo_C4268_1_3B
TS22: adrenal gland Absent
TS22: cardiovascular system Absent
TS22: heart Absent
TS22: heart atrium Absent
TS22: heart ventricle Absent
TS22: blood vessel Absent
TS22: hemolymphoid system Weak Regionally restricted Embryo_C4268_1_4A Expression was weak in the immune system.
TS22: spleen primordium Absent
TS22: thymus primordium Weak Scattered Embryo_C4268_1_4A
TS22: appendicular skeleton Absent Expression was not detected in the skeleton (limbs, shoulder, hip).
TS22: musculature Absent
TS22: face Absent Expression was not detected in the face/soft tissues.
TS22: facial bone primordium Absent
TS22: cranium Absent Expression was not detected in the skull (base and vault).
TS22: axial skeleton Absent
TS22: tail Weak Regionally restricted Embryo_C4268_1_5C
TS22: forelimb Weak Regionally restricted Embryo_C4268_1_2C
TS22: hindlimb Weak Regionally restricted Embryo_C4268_1_2C
TS22: integumental system Weak Regionally restricted Embryo_C4268_1_2C
TS22: skin Weak Regionally restricted Embryo_C4268_1_2C
TS22: hair Absent
TS22: vibrissa follicle Absent Expression was not detected in whisker follicle.


Contributing Projects:
Mouse Genome Database (MGD), Gene Expression Database (GXD), Mouse Models of Human Cancer database (MMHCdb) (formerly Mouse Tumor Biology (MTB)), Gene Ontology (GO)
Citing These Resources
Funding Information
Warranty Disclaimer, Privacy Notice, Licensing, & Copyright
Send questions and comments to User Support.
last database update
12/30/2025
MGI 6.24
The Jackson Laboratory