About   Help   FAQ
Gene Expression Data
Assay Details
Assay
Reference: J:122989 Visel A, et al., GenePaint.org: an atlas of gene expression patterns in the mouse embryo. Nucleic Acids Res. 2004 Jan 1;32(Database issue):D552-6
Assay type: RNA in situ
MGI Accession ID: MGI:5423027
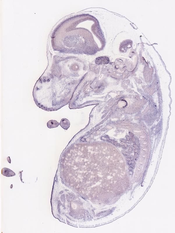
Gene symbol: Rcan1
Gene name: regulator of calcineurin 1
Probe: MY300 probe 88
Probe preparation: Antisense labelled with digoxigenin RNA
Visualized with: Alkaline phosphatase
Assay notes: Cryosections of fresh frozen material were fixed in 4% paraformaldehyde for 20 min. before further processing. A tyramide-biotin/streptavidin amplification step was included in the in situ hybridization procedure. These data were downloaded from GenePaint.org on 1/30/12.
Results
Specimen MY300; Specimen C1580: embryonic day 14.5 (more )
Structure Level Pattern Image Note
TS22: nervous system Strong Regionally restricted Embryo_C1580_2_3A
TS22: central nervous system Strong Regionally restricted Embryo_C1580_2_4C
TS22: telencephalon Strong Regionally restricted Embryo_C1580_2_3A
TS22: cerebral cortex Strong Regionally restricted Embryo_C1580_2_3A
TS22: neocortex Moderate Regionally restricted Embryo_C1580_2_3B
TS22: olfactory cortex Strong Regionally restricted Embryo_C1580_2_3A
TS22: main olfactory bulb Strong Regionally restricted Embryo_C1580_2_3A
TS22: piriform cortex Moderate Regionally restricted Embryo_C1580_2_2B
TS22: hippocampus Moderate Regionally restricted Embryo_C1580_2_2B
TS22: basal ganglia Moderate Regionally restricted Embryo_C1580_2_4B
TS22: corpus striatum Moderate Regionally restricted Embryo_C1580_2_2A Expression was detected in the corpus striatum (lateral ganglionic eminence).
TS22: basal forebrain Weak Regionally restricted Embryo_C1580_2_3B
TS22: amygdala Weak Regionally restricted Embryo_C1580_2_1D
TS22: telencephalon septum Moderate Regionally restricted Embryo_C1580_2_4B
TS22: pallidum Weak Regionally restricted Embryo_C1580_2_3C Expression was weak in the pallidum (medial ganglionic eminence).
TS22: diencephalon Strong Regionally restricted Embryo_C1580_2_4B
TS22: thalamus Moderate Regionally restricted Embryo_C1580_2_3D
TS22: hypothalamus Strong Regionally restricted Embryo_C1580_2_4B
TS22: midbrain Strong Regionally restricted Embryo_C1580_2_4C
TS22: pretectum Moderate Regionally restricted Embryo_C1580_2_5A
TS22: superior colliculus Moderate Regionally restricted Embryo_C1580_2_4B
TS22: inferior colliculus Moderate Regionally restricted Embryo_C1580_2_5B
TS22: midbrain tegmentum Strong Regionally restricted Embryo_C1580_2_4C
TS22: hindbrain Strong Regionally restricted Embryo_C1580_2_4C
TS22: cerebellum Moderate Regionally restricted Embryo_C1580_2_5B
TS22: pons Strong Regionally restricted Embryo_C1580_2_4C
TS22: medulla oblongata Strong Regionally restricted Embryo_C1580_2_4C
TS22: spinal cord Strong Regionally restricted Embryo_C1580_2_4A
TS22: choroid plexus Moderate Regionally restricted Embryo_C1580_2_4B
TS22: meninges Weak Regionally restricted Embryo_C1580_2_2B
TS22: peripheral nervous system Strong Regionally restricted Embryo_C1580_2_3B
TS22: cranial ganglion Strong Regionally restricted Embryo_C1580_2_2A
TS22: dorsal root ganglion Strong Regionally restricted Embryo_C1580_2_3B
TS22: eye Moderate Regionally restricted Embryo_C1580_2_1A
TS22: retina Weak Regionally restricted Embryo_C1580_2_1A
TS22: lens Moderate Regionally restricted Embryo_C1580_2_1A
TS22: cornea Absent
TS22: optic nerve Weak Regionally restricted Embryo_C1580_2_5B
TS22: nose Strong Regionally restricted Embryo_C1580_2_3A
TS22: olfactory epithelium Strong Regionally restricted Embryo_C1580_2_3A
TS22: ear Strong Regionally restricted Embryo_C1580_2_3A
TS22: inner ear Strong Regionally restricted Embryo_C1580_2_3A
TS22: cochlea Strong Regionally restricted Embryo_C1580_2_3A
TS22: inner ear labyrinth Moderate Regionally restricted Embryo_C1580_2_2A
TS22: middle ear Moderate Regionally restricted Embryo_C1580_2_1B
TS22: alimentary system Moderate Regionally restricted Embryo_C1580_2_4C Expression was detected in the digestive system.
TS22: intestine Moderate Regionally restricted Embryo_C1580_2_3A
TS22: salivary gland Weak Regionally restricted Embryo_C1580_2_5B
TS22: tongue Weak Regionally restricted Embryo_C1580_2_4A
TS22: tooth Weak Regionally restricted Embryo_C1580_2_4C
TS22: palatal shelf Moderate Regionally restricted Embryo_C1580_2_4C
TS22: esophagus Weak Regionally restricted Embryo_C1580_2_4B
TS22: stomach Weak Regionally restricted Embryo_C1580_2_6A
TS22: liver Weak Regionally restricted Embryo_C1580_2_3A
TS22: respiratory system Moderate Regionally restricted Embryo_C1580_2_4A
TS22: pharynx Moderate Regionally restricted Embryo_C1580_2_4A
TS22: larynx Weak Regionally restricted Embryo_C1580_2_4A
TS22: trachea Moderate Regionally restricted Embryo_C1580_2_4A
TS22: main bronchus Absent
TS22: lung Moderate Regionally restricted Embryo_C1580_2_3A
TS22: urinary system Strong Regionally restricted Embryo_C1580_2_5A Expression was strong in the genito-urinary system.
TS22: metanephros Strong Regionally restricted Embryo_C1580_2_5A
TS22: ureter Absent
TS22: bladder Weak Regionally restricted Embryo_C1580_2_3B
TS22: urethra Weak Regionally restricted Embryo_C1580_2_3C
TS22: reproductive system Moderate Regionally restricted Embryo_C1580_2_3C
TS22: genital tubercle Moderate Regionally restricted Embryo_C1580_2_3C
TS22: gonad Absent
TS22: gland Moderate Regionally restricted Embryo_C1580_2_3B Expression was detected in the endocrine system.
TS22: thyroid gland Moderate Regionally restricted Embryo_C1580_2_3B
TS22: pituitary gland Weak Regionally restricted Embryo_C1580_2_4A
TS22: pancreas Weak Regionally restricted Embryo_C1580_2_5A
TS22: adrenal gland Absent
TS22: cardiovascular system Strong Regionally restricted Embryo_C1580_2_3D
TS22: heart Strong Regionally restricted Embryo_C1580_2_3D
TS22: heart atrium Strong Regionally restricted Embryo_C1580_2_3D
TS22: heart ventricle Strong Regionally restricted Embryo_C1580_2_3D
TS22: blood vessel Absent
TS22: hemolymphoid system Moderate Regionally restricted Embryo_C1580_2_6B Expression was detected in the immune system.
TS22: spleen primordium Moderate Regionally restricted Embryo_C1580_2_6B
TS22: thymus primordium Moderate Regionally restricted Embryo_C1580_2_3C
TS22: appendicular skeleton Strong Regionally restricted Embryo_C1580_2_5A Expression was strong in the skeleton (limbs, shoulder, hip).
TS22: musculature Absent
TS22: face Moderate Regionally restricted Embryo_C1580_2_2C Expression was detected in the face/soft tissues.
TS22: facial bone primordium Absent
TS22: cranium Absent Expression was not detected in the skull (base and vault).
TS22: axial skeleton Weak Regionally restricted Embryo_C1580_2_1A
TS22: tail Strong Regionally restricted Embryo_C1580_2_3B
TS22: forelimb Strong Regionally restricted Embryo_C1580_2_1A
TS22: hindlimb Strong Regionally restricted Embryo_C1580_2_1A
TS22: integumental system Strong Regionally restricted Embryo_C1580_2_1C
TS22: skin Strong Regionally restricted Embryo_C1580_2_3B
TS22: hair Strong Regionally restricted Embryo_C1580_2_1C
TS22: vibrissa follicle Strong Regionally restricted Embryo_C1580_2_1C Expression was strong in whisker follicle.


Contributing Projects:
Mouse Genome Database (MGD), Gene Expression Database (GXD), Mouse Models of Human Cancer database (MMHCdb) (formerly Mouse Tumor Biology (MTB)), Gene Ontology (GO)
Citing These Resources
Funding Information
Warranty Disclaimer, Privacy Notice, Licensing, & Copyright
Send questions and comments to User Support.
last database update
03/24/2026
MGI 6.24
The Jackson Laboratory