About   Help   FAQ
Gene Expression Data
Assay Details
Assay
Reference: J:122989 Visel A, et al., GenePaint.org: an atlas of gene expression patterns in the mouse embryo. Nucleic Acids Res. 2004 Jan 1;32(Database issue):D552-6
Assay type: RNA in situ
MGI Accession ID: MGI:5423020
Gene symbol: Fth1
Gene name: ferritin heavy polypeptide 1
Probe: ES565 probe 556
Probe preparation: Antisense labelled with digoxigenin RNA
Visualized with: Alkaline phosphatase
Assay notes: Cryosections of fresh frozen material were fixed in 4% paraformaldehyde for 20 min. before further processing. A tyramide-biotin/streptavidin amplification step was included in the in situ hybridization procedure. These data were downloaded from GenePaint.org on 1/30/12.
Results
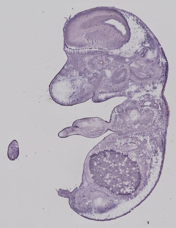
Specimen ES565; Specimen S273: embryonic day 14.5 (more )
Structure Level Pattern Image Note
TS22: nervous system Strong Regionally restricted Embryo_S273_3_1D
TS22: central nervous system Strong Regionally restricted Embryo_S273_3_1D
TS22: telencephalon Moderate Regionally restricted Embryo_S273_3_2B
TS22: cerebral cortex Moderate Regionally restricted Embryo_S273_3_2B
TS22: neocortex Weak Regionally restricted Embryo_S273_3_3B
TS22: olfactory cortex Moderate Regionally restricted Embryo_S273_3_2B
TS22: main olfactory bulb Weak Regionally restricted Embryo_S273_3_3B
TS22: piriform cortex Moderate Scattered Embryo_S273_3_2B
TS22: hippocampus Weak Regionally restricted Embryo_S273_3_3B
TS22: basal ganglia Moderate Scattered Embryo_S273_3_2B
TS22: corpus striatum Moderate Scattered Embryo_S273_3_2B Expression was detected in the corpus striatum (lateral ganglionic eminence).
TS22: basal forebrain Weak Scattered Embryo_S273_3_3B
TS22: amygdala Moderate Scattered Embryo_S273_3_1D
TS22: telencephalon septum Weak Scattered Embryo_S273_3_3B
TS22: pallidum Weak Scattered Embryo_S273_3_3A Expression was weak in the pallidum (medial ganglionic eminence).
TS22: diencephalon Moderate Scattered Embryo_S273_3_2B
TS22: thalamus Moderate Scattered Embryo_S273_3_2B
TS22: hypothalamus Moderate Scattered Embryo_S273_3_2B
TS22: midbrain Moderate Scattered Embryo_S273_3_2A
TS22: pretectum Moderate Scattered Embryo_S273_3_2A
TS22: superior colliculus Moderate Scattered Embryo_S273_3_2A
TS22: inferior colliculus Moderate Scattered Embryo_S273_3_2A
TS22: midbrain tegmentum Moderate Scattered Embryo_S273_3_2B
TS22: hindbrain Strong Regionally restricted Embryo_S273_3_2B
TS22: cerebellum Weak Scattered Embryo_S273_3_2B
TS22: pons Strong Regionally restricted Embryo_S273_3_2B
TS22: medulla oblongata Strong Regionally restricted Embryo_S273_3_2B
TS22: spinal cord Moderate Scattered Embryo_S273_3_2B
TS22: choroid plexus Strong Regionally restricted Embryo_S273_3_2B
TS22: meninges Strong Regionally restricted Embryo_S273_3_1D
TS22: peripheral nervous system Moderate Regionally restricted Embryo_S273_3_1C
TS22: cranial ganglion Absent
TS22: dorsal root ganglion Moderate Ubiquitous Embryo_S273_3_1C
TS22: eye Strong Regionally restricted Embryo_S273_3_1A
TS22: retina Absent
TS22: lens Strong Regionally restricted Embryo_S273_3_1A
TS22: cornea Absent
TS22: optic nerve Absent
TS22: nose Weak Regionally restricted Embryo_S273_3_3A
TS22: olfactory epithelium Weak Regionally restricted Embryo_S273_3_3A
TS22: ear Strong Regionally restricted Embryo_S273_3_1A
TS22: inner ear Strong Regionally restricted Embryo_S273_3_1A
TS22: cochlea Strong Regionally restricted Embryo_S273_3_2A
TS22: inner ear labyrinth Strong Regionally restricted Embryo_S273_3_1A
TS22: middle ear Moderate Regionally restricted Embryo_S273_3_5C
TS22: alimentary system Strong Regionally restricted Embryo_S273_3_2B Expression was strong in the digestive system.
TS22: intestine Absent
TS22: salivary gland Strong Regionally restricted Embryo_S273_3_2B
TS22: tongue Moderate Scattered Embryo_S273_3_3B
TS22: tooth Absent
TS22: palatal shelf Absent
TS22: esophagus Absent
TS22: stomach Moderate Regionally restricted Embryo_S273_3_1B
TS22: liver Strong Ubiquitous Embryo_S273_3_1A
TS22: respiratory system Strong Regionally restricted Embryo_S273_3_3D
TS22: pharynx Absent
TS22: larynx Absent
TS22: trachea Absent
TS22: main bronchus Absent
TS22: lung Strong Regionally restricted Embryo_S273_3_3D
TS22: urinary system Moderate Regionally restricted Embryo_S273_3_3C Expression was detected in the genito-urinary system.
TS22: metanephros Absent
TS22: ureter Absent
TS22: bladder Moderate Regionally restricted Embryo_S273_3_3C
TS22: urethra Absent
TS22: reproductive system Moderate Regionally restricted Embryo_S273_3_4A
TS22: genital tubercle Moderate Regionally restricted Embryo_S273_3_4A
TS22: gonad Absent
TS22: gland Moderate Regionally restricted Embryo_S273_3_2C Expression was detected in the endocrine system.
TS22: thyroid gland Moderate Ubiquitous Embryo_S273_3_2C
TS22: pituitary gland Absent
TS22: pancreas Absent
TS22: adrenal gland Absent
TS22: cardiovascular system Strong Regionally restricted Embryo_S273_3_2C
TS22: heart Strong Regionally restricted Embryo_S273_3_2C
TS22: heart atrium Strong Regionally restricted Embryo_S273_3_2C
TS22: heart ventricle Strong Regionally restricted Embryo_S273_3_2C
TS22: blood vessel Moderate Regionally restricted Embryo_S273_3_2C
TS22: hemolymphoid system Moderate Regionally restricted Embryo_S273_3_2C Expression was detected in the immune system.
TS22: spleen primordium Moderate Regionally restricted Embryo_S273_3_1B
TS22: thymus primordium Moderate Ubiquitous Embryo_S273_3_2C
TS22: appendicular skeleton Absent Expression was not detected in the skeleton (limbs, shoulder, hip).
TS22: musculature Absent
TS22: face Absent Expression was not detected in the face/soft tissues.
TS22: facial bone primordium Absent
TS22: cranium Moderate Regionally restricted Embryo_S273_3_4B Expression was detected in the skull (base and vault).
TS22: axial skeleton Absent
TS22: tail Moderate Regionally restricted Embryo_S273_3_4B
TS22: forelimb Strong Regionally restricted Embryo_S273_3_1D
TS22: hindlimb Strong Regionally restricted Embryo_S273_3_1D
TS22: integumental system Strong Regionally restricted Embryo_S273_3_1D
TS22: skin Strong Regionally restricted Embryo_S273_3_1D
TS22: hair Absent
TS22: vibrissa follicle Absent Expression was not detected in whisker follicle.


Contributing Projects:
Mouse Genome Database (MGD), Gene Expression Database (GXD), Mouse Models of Human Cancer database (MMHCdb) (formerly Mouse Tumor Biology (MTB)), Gene Ontology (GO)
Citing These Resources
Funding Information
Warranty Disclaimer, Privacy Notice, Licensing, & Copyright
Send questions and comments to User Support.
last database update
03/24/2026
MGI 6.24
The Jackson Laboratory