About   Help   FAQ
Gene Expression Data
Assay Details
Assay
Reference: J:122989 Visel A, et al., GenePaint.org: an atlas of gene expression patterns in the mouse embryo. Nucleic Acids Res. 2004 Jan 1;32(Database issue):D552-6
Assay type: RNA in situ
MGI Accession ID: MGI:5423016
Gene symbol: Chst11
Gene name: carbohydrate sulfotransferase 11
Probe: MH3364 probe 2961
Probe preparation: Antisense labelled with digoxigenin RNA
Visualized with: Alkaline phosphatase
Assay notes: Cryosections of fresh frozen material were fixed in 4% paraformaldehyde for 20 min. before further processing. A tyramide-biotin/streptavidin amplification step was included in the in situ hybridization procedure. These data were downloaded from GenePaint.org on 1/30/12.
Results
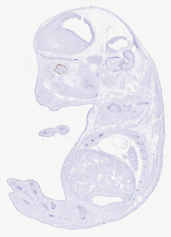
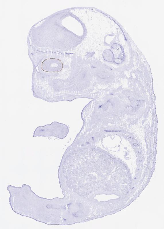
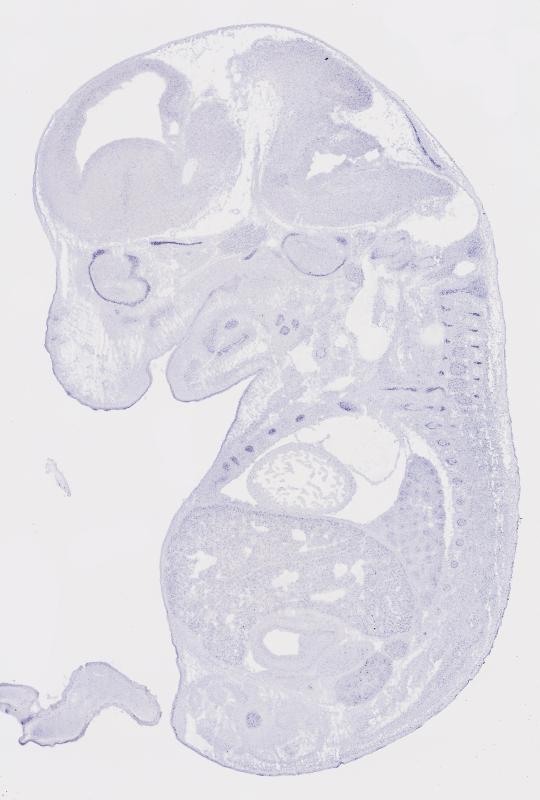
Specimen MH3364; Specimen C4446: embryonic day 14.5 (more )
Structure Level Pattern Image Note
TS22: nervous system Strong Ubiquitous Embryo_C4446_3_3D
TS22: central nervous system Strong Regionally restricted Embryo_C4446_3_3D
TS22: telencephalon Absent
TS22: cerebral cortex Absent
TS22: neocortex Absent
TS22: olfactory cortex Absent
TS22: main olfactory bulb Absent
TS22: piriform cortex Absent
TS22: hippocampus Absent
TS22: basal ganglia Absent
TS22: corpus striatum Absent Expression was not detected in the corpus striatum (lateral ganglionic eminence).
TS22: basal forebrain Absent
TS22: amygdala Absent
TS22: telencephalon septum Absent
TS22: pallidum Absent Expression was not detected in the pallidum (medial ganglionic eminence).
TS22: diencephalon Absent
TS22: thalamus Absent
TS22: hypothalamus Absent
TS22: midbrain Strong Ubiquitous Embryo_C4446_3_3D
TS22: pretectum Absent
TS22: superior colliculus Strong Regionally restricted Embryo_C4446_3_3D
TS22: inferior colliculus Strong Ubiquitous Embryo_C4446_3_3D
TS22: midbrain tegmentum Absent
TS22: hindbrain Strong Ubiquitous Embryo_C4446_3_3D
TS22: cerebellum Absent
TS22: pons Absent
TS22: medulla oblongata Absent
TS22: spinal cord Strong Ubiquitous Embryo_C4446_3_3D
TS22: choroid plexus Weak Regionally restricted Embryo_C4446_3_3C
TS22: meninges Absent
TS22: peripheral nervous system Absent
TS22: cranial ganglion Absent
TS22: dorsal root ganglion Absent
TS22: eye Absent
TS22: retina Absent
TS22: lens Absent
TS22: cornea Absent
TS22: optic nerve Absent
TS22: nose Absent
TS22: olfactory epithelium Absent
TS22: ear Strong Regionally restricted Embryo_C4446_3_4D
TS22: inner ear Strong Regionally restricted Embryo_C4446_3_4D
TS22: cochlea Strong Regionally restricted Embryo_C4446_3_4D
TS22: inner ear labyrinth Strong Regionally restricted Embryo_C4446_3_1B
TS22: middle ear Absent
TS22: alimentary system Moderate Regionally restricted Embryo_C4446_3_4A Expression was detected in the digestive system.
TS22: intestine Moderate Regionally restricted Embryo_C4446_3_4A
TS22: salivary gland Weak Regionally restricted Embryo_C4446_3_4D
TS22: tongue Absent
TS22: tooth Absent
TS22: palatal shelf Absent
TS22: esophagus Absent
TS22: stomach Absent
TS22: liver Moderate Ubiquitous Embryo_C4446_3_2D
TS22: respiratory system Moderate Regionally restricted Embryo_C4446_3_2C
TS22: pharynx Absent
TS22: larynx Absent
TS22: trachea Absent
TS22: main bronchus Absent
TS22: lung Moderate Regionally restricted Embryo_C4446_3_2C
TS22: urinary system Moderate Ubiquitous Embryo_C4446_3_2D Expression was detected in the genito-urinary system.
TS22: metanephros Moderate Ubiquitous Embryo_C4446_3_2D
TS22: ureter Absent
TS22: bladder Absent
TS22: urethra Absent
TS22: reproductive system Strong Regionally restricted Embryo_C4446_3_5A
TS22: genital tubercle Strong Regionally restricted Embryo_C4446_3_5A
TS22: gonad Absent
TS22: gland Moderate Ubiquitous Embryo_C4446_3_2D Expression was detected in the endocrine system.
TS22: thyroid gland Absent
TS22: pituitary gland Absent
TS22: pancreas Absent
TS22: adrenal gland Moderate Ubiquitous Embryo_C4446_3_2D
TS22: cardiovascular system Strong Regionally restricted Embryo_C4446_3_4A
TS22: heart Strong Regionally restricted Embryo_C4446_3_4A
TS22: heart atrium Strong Regionally restricted Embryo_C4446_3_4A
TS22: heart ventricle Absent
TS22: blood vessel Absent
TS22: hemolymphoid system Moderate Ubiquitous Embryo_C4446_3_3C Expression was detected in the immune system.
TS22: spleen primordium Absent
TS22: thymus primordium Moderate Ubiquitous Embryo_C4446_3_3C
TS22: appendicular skeleton Strong Regionally restricted Embryo_C4446_3_3A Expression was strong in the skeleton (limbs, shoulder, hip).
TS22: musculature Absent
TS22: face Absent Expression was not detected in the face/soft tissues.
TS22: facial bone primordium Strong Regionally restricted Embryo_C4446_3_3C
TS22: cranium Strong Regionally restricted Embryo_C4446_3_2B Expression was strong in the skull (base and vault).
TS22: axial skeleton Strong Regionally restricted Embryo_C4446_3_1A
TS22: tail Absent
TS22: forelimb Absent
TS22: hindlimb Strong Regionally restricted Embryo_C4446_3_1C
TS22: integumental system Moderate Regionally restricted Embryo_C4446_3_6A
TS22: skin Absent
TS22: hair Moderate Regionally restricted Embryo_C4446_3_6A
TS22: vibrissa follicle Moderate Regionally restricted Embryo_C4446_3_6A Expression was detected in whisker follicle.


Contributing Projects:
Mouse Genome Database (MGD), Gene Expression Database (GXD), Mouse Models of Human Cancer database (MMHCdb) (formerly Mouse Tumor Biology (MTB)), Gene Ontology (GO)
Citing These Resources
Funding Information
Warranty Disclaimer, Privacy Notice, Licensing, & Copyright
Send questions and comments to User Support.
last database update
12/30/2025
MGI 6.24
The Jackson Laboratory