About   Help   FAQ
Gene Expression Data
Assay Details
Assay
Reference: J:122989 Visel A, et al., GenePaint.org: an atlas of gene expression patterns in the mouse embryo. Nucleic Acids Res. 2004 Jan 1;32(Database issue):D552-6
Assay type: RNA in situ
MGI Accession ID: MGI:5422974
Gene symbol: Gpx8
Gene name: glutathione peroxidase 8 (putative)
Probe: EN727 probe 603
Probe preparation: Antisense labelled with digoxigenin RNA
Visualized with: Alkaline phosphatase
Assay notes: Cryosections of fresh frozen material were fixed in 4% paraformaldehyde for 20 min. before further processing. A tyramide-biotin/streptavidin amplification step was included in the in situ hybridization procedure. These data were downloaded from GenePaint.org on 1/30/12.
Results
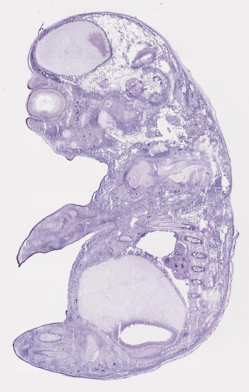
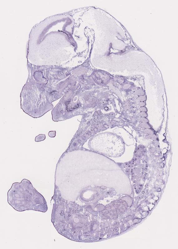
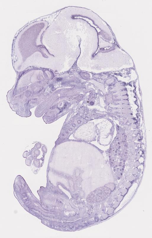
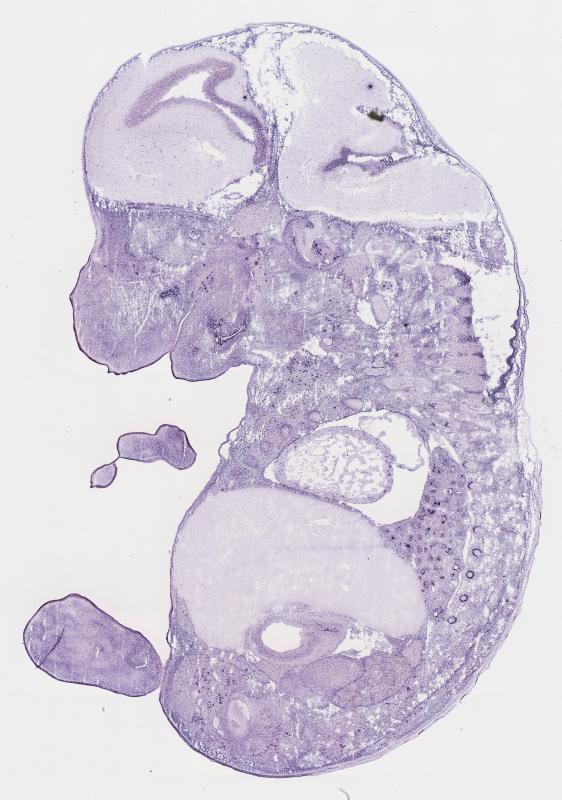
Specimen EN727; Specimen N361: embryonic day 14.5 (more )
Structure Level Pattern Image Note
TS22: nervous system Strong Regionally restricted Embryo_N361_1_3D
TS22: central nervous system Strong Regionally restricted Embryo_N361_1_3D
TS22: telencephalon Moderate Regionally restricted Embryo_N361_1_3C
TS22: cerebral cortex Moderate Regionally restricted Embryo_N361_1_3C
TS22: neocortex Moderate Regionally restricted Embryo_N361_1_3C
TS22: olfactory cortex Moderate Regionally restricted Embryo_N361_1_3C
TS22: main olfactory bulb Moderate Regionally restricted Embryo_N361_1_3C
TS22: piriform cortex Absent
TS22: hippocampus Moderate Regionally restricted Embryo_N361_1_3C
TS22: basal ganglia Moderate Regionally restricted Embryo_N361_1_3C
TS22: corpus striatum Absent Expression was not detected in the corpus striatum (lateral ganglionic eminence).
TS22: basal forebrain Absent
TS22: amygdala Absent
TS22: telencephalon septum Moderate Regionally restricted Embryo_N361_1_3C
TS22: pallidum Moderate Regionally restricted Embryo_N361_1_3C Expression was detected in the pallidum (medial ganglionic eminence).
TS22: diencephalon Strong Regionally restricted Embryo_N361_1_3D
TS22: thalamus Strong Regionally restricted Embryo_N361_1_3D
TS22: hypothalamus Strong Regionally restricted Embryo_N361_1_3D
TS22: midbrain Strong Regionally restricted Embryo_N361_1_3D
TS22: pretectum Absent
TS22: superior colliculus Moderate Regionally restricted Embryo_N361_1_3C
TS22: inferior colliculus Moderate Regionally restricted Embryo_N361_1_3C
TS22: midbrain tegmentum Strong Regionally restricted Embryo_N361_1_3D
TS22: hindbrain Strong Ubiquitous Embryo_N361_1_3C
TS22: cerebellum Moderate Regionally restricted Embryo_N361_1_3C
TS22: pons Strong Regionally restricted Embryo_N361_1_3C
TS22: medulla oblongata Strong Regionally restricted Embryo_N361_1_3C
TS22: spinal cord Strong Regionally restricted Embryo_N361_1_3C
TS22: choroid plexus Strong Regionally restricted Embryo_N361_1_5B
TS22: meninges Moderate Ubiquitous Embryo_N361_1_1B
TS22: peripheral nervous system Weak Ubiquitous Embryo_N361_1_2C
TS22: cranial ganglion Weak Ubiquitous Embryo_N361_1_2C
TS22: dorsal root ganglion Weak Ubiquitous Embryo_N361_1_2C
TS22: eye Moderate Regionally restricted Embryo_N361_1_1A
TS22: retina Weak Ubiquitous Embryo_N361_1_1B
TS22: lens Moderate Regionally restricted Embryo_N361_1_1A
TS22: cornea Weak Ubiquitous Embryo_N361_1_1B
TS22: optic nerve Weak Ubiquitous Embryo_N361_1_2D
TS22: nose Absent
TS22: olfactory epithelium Absent
TS22: ear Strong Regionally restricted Embryo_N361_1_2B
TS22: inner ear Strong Regionally restricted Embryo_N361_1_2B
TS22: cochlea Strong Regionally restricted Embryo_N361_1_2B
TS22: inner ear labyrinth Weak Ubiquitous Embryo_N361_1_1C
TS22: middle ear Absent
TS22: alimentary system Weak Regionally restricted Embryo_N361_1_3C Expression was weak in the digestive system.
TS22: intestine Weak Ubiquitous Embryo_N361_1_4A
TS22: salivary gland Weak Ubiquitous Embryo_N361_1_1C
TS22: tongue Weak Ubiquitous Embryo_N361_1_3C
TS22: tooth Absent
TS22: palatal shelf Weak Ubiquitous Embryo_N361_1_3C
TS22: esophagus Weak Ubiquitous Embryo_N361_1_3C
TS22: stomach Weak Ubiquitous Embryo_N361_1_1D
TS22: liver Absent
TS22: respiratory system Strong Regionally restricted Embryo_N361_1_2D
TS22: pharynx Weak Ubiquitous
TS22: larynx Weak Ubiquitous
TS22: trachea Weak Ubiquitous Embryo_N361_1_3C
TS22: main bronchus Weak Ubiquitous Embryo_N361_1_4B
TS22: lung Strong Regionally restricted Embryo_N361_1_2D
TS22: urinary system Moderate Regionally restricted Embryo_N361_1_4C Expression was detected in the genito-urinary system.
TS22: metanephros Moderate Ubiquitous Embryo_N361_1_4C
TS22: ureter Absent
TS22: bladder Weak Ubiquitous Embryo_N361_1_4A
TS22: urethra Weak Ubiquitous Embryo_N361_1_4A
TS22: reproductive system Absent
TS22: genital tubercle Absent
TS22: gonad Absent
TS22: gland Strong Regionally restricted Embryo_N361_1_3B Expression was strong in the endocrine system.
TS22: thyroid gland Absent
TS22: pituitary gland Strong Regionally restricted Embryo_N361_1_3B
TS22: pancreas Absent
TS22: adrenal gland Moderate Regionally restricted Embryo_N361_1_4C
TS22: cardiovascular system Strong Regionally restricted Embryo_N361_1_3C
TS22: heart Strong Regionally restricted Embryo_N361_1_3C
TS22: heart atrium Strong Regionally restricted Embryo_N361_1_3C
TS22: heart ventricle Absent
TS22: blood vessel Absent
TS22: hemolymphoid system Absent Expression was not detected in the immune system.
TS22: spleen primordium Absent
TS22: thymus primordium Absent
TS22: appendicular skeleton Absent Expression was not detected in the skeleton (limbs, shoulder, hip).
TS22: musculature Weak Ubiquitous Embryo_N361_1_1B
TS22: face Weak Ubiquitous Embryo_N361_1_2C Expression was weak in the face/soft tissues.
TS22: facial bone primordium Strong Regionally restricted Embryo_N361_1_3D
TS22: cranium Strong Regionally restricted Embryo_N361_1_1C Expression was strong in the skull (base and vault).
TS22: axial skeleton Absent
TS22: tail Weak Ubiquitous Embryo_N361_1_4D
TS22: forelimb Weak Ubiquitous Embryo_N361_1_1A
TS22: hindlimb Weak Ubiquitous Embryo_N361_1_1A
TS22: integumental system Weak Ubiquitous Embryo_N361_1_2A
TS22: skin Absent
TS22: hair Weak Ubiquitous Embryo_N361_1_2A
TS22: vibrissa follicle Weak Ubiquitous Embryo_N361_1_2A Expression was weak in whisker follicle.


Contributing Projects:
Mouse Genome Database (MGD), Gene Expression Database (GXD), Mouse Models of Human Cancer database (MMHCdb) (formerly Mouse Tumor Biology (MTB)), Gene Ontology (GO)
Citing These Resources
Funding Information
Warranty Disclaimer, Privacy Notice, Licensing, & Copyright
Send questions and comments to User Support.
last database update
12/30/2025
MGI 6.24
The Jackson Laboratory