About   Help   FAQ
Gene Expression Data
Assay Details
Assay
Reference: J:122989 Visel A, et al., GenePaint.org: an atlas of gene expression patterns in the mouse embryo. Nucleic Acids Res. 2004 Jan 1;32(Database issue):D552-6
Assay type: RNA in situ
MGI Accession ID: MGI:5422819
Gene symbol: Gars1
Gene name: glycyl-tRNA synthetase 1
Probe: MH2574 probe 2187
Probe preparation: Antisense labelled with digoxigenin RNA
Visualized with: Alkaline phosphatase
Assay notes: Cryosections of fresh frozen material were fixed in 4% paraformaldehyde for 20 min. before further processing. A tyramide-biotin/streptavidin amplification step was included in the in situ hybridization procedure. These data were downloaded from GenePaint.org on 1/30/12.
Results
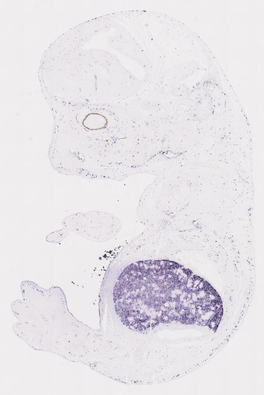
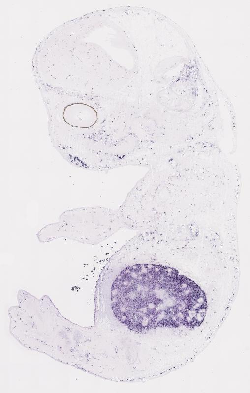
Specimen MH2574; Specimen C3136: embryonic day 14.5 (more )
Structure Level Pattern Image Note
TS22: nervous system Moderate Regionally restricted Embryo_C3136_6_4B
TS22: central nervous system Moderate Regionally restricted Embryo_C3136_6_4B
TS22: telencephalon Moderate Regionally restricted Embryo_C3136_6_4B
TS22: cerebral cortex Moderate Regionally restricted Embryo_C3136_6_3A
TS22: neocortex Moderate Scattered Embryo_C3136_6_2D
TS22: olfactory cortex Moderate Regionally restricted Embryo_C3136_6_3A
TS22: main olfactory bulb Moderate Scattered Embryo_C3136_6_3A
TS22: piriform cortex Moderate Scattered Embryo_C3136_6_1C
TS22: hippocampus Absent
TS22: basal ganglia Moderate Regionally restricted Embryo_C3136_6_1D
TS22: corpus striatum Moderate Scattered Embryo_C3136_6_1D Expression was detected in the corpus striatum (lateral ganglionic eminence).
TS22: basal forebrain Absent
TS22: amygdala Moderate Scattered Embryo_C3136_6_1C
TS22: telencephalon septum Moderate Scattered Embryo_C3136_6_4B
TS22: pallidum Moderate Scattered Embryo_C3136_6_4B Expression was detected in the pallidum (medial ganglionic eminence).
TS22: diencephalon Moderate Scattered Embryo_C3136_6_4B
TS22: thalamus Moderate Scattered Embryo_C3136_6_4B
TS22: hypothalamus Moderate Scattered Embryo_C3136_6_4B
TS22: midbrain Moderate Scattered Embryo_C3136_6_4B
TS22: pretectum Moderate Scattered Embryo_C3136_6_4B
TS22: superior colliculus Moderate Scattered Embryo_C3136_6_4B
TS22: inferior colliculus Moderate Scattered Embryo_C3136_6_4B
TS22: midbrain tegmentum Moderate Scattered Embryo_C3136_6_4B
TS22: hindbrain Moderate Scattered Embryo_C3136_6_4B
TS22: cerebellum Moderate Scattered Embryo_C3136_6_4B
TS22: pons Moderate Scattered Embryo_C3136_6_4B
TS22: medulla oblongata Moderate Scattered Embryo_C3136_6_4B
TS22: spinal cord Moderate Scattered Embryo_C3136_6_5A
TS22: choroid plexus Moderate Scattered Embryo_C3136_6_2A
TS22: meninges Absent
TS22: peripheral nervous system Weak Regionally restricted Embryo_C3136_6_2B
TS22: cranial ganglion Weak Scattered Embryo_C3136_6_2B
TS22: dorsal root ganglion Absent
TS22: eye Absent
TS22: retina Absent
TS22: lens Absent
TS22: cornea Absent
TS22: optic nerve Absent
TS22: nose Absent
TS22: olfactory epithelium Absent
TS22: ear Absent
TS22: inner ear Absent
TS22: cochlea Absent
TS22: inner ear labyrinth Absent
TS22: middle ear Absent
TS22: alimentary system Strong Regionally restricted Embryo_C3136_6_6A Expression was strong in the digestive system.
TS22: intestine Strong Regionally restricted Embryo_C3136_6_6A
TS22: salivary gland Moderate Regionally restricted Embryo_C3136_6_6B
TS22: tongue Moderate Regionally restricted Embryo_C3136_6_4A
TS22: tooth Absent
TS22: palatal shelf Moderate Regionally restricted Embryo_C3136_6_4C
TS22: esophagus Absent
TS22: stomach Weak Scattered Embryo_C3136_6_2A
TS22: liver Strong Ubiquitous Embryo_C3136_6_1A
TS22: respiratory system Moderate Regionally restricted Embryo_C3136_6_6A
TS22: pharynx Absent
TS22: larynx Absent
TS22: trachea Absent
TS22: main bronchus Absent
TS22: lung Moderate Scattered Embryo_C3136_6_6A
TS22: urinary system Strong Regionally restricted Embryo_C3136_6_5C Expression was strong in the genito-urinary system.
TS22: metanephros Strong Scattered Embryo_C3136_6_5C
TS22: ureter Absent
TS22: bladder Moderate Regionally restricted Embryo_C3136_6_4B
TS22: urethra Absent
TS22: reproductive system Absent
TS22: genital tubercle Absent
TS22: gonad Absent
TS22: gland Strong Regionally restricted Embryo_C3136_6_5C Expression was strong in the endocrine system.
TS22: thyroid gland Strong Scattered Embryo_C3136_6_4D
TS22: pituitary gland Moderate Regionally restricted Embryo_C3136_6_3C
TS22: pancreas Moderate Scattered Embryo_C3136_6_3B
TS22: adrenal gland Strong Scattered Embryo_C3136_6_5C
TS22: cardiovascular system Strong Regionally restricted Embryo_C3136_6_4B
TS22: heart Strong Regionally restricted Embryo_C3136_6_5A
TS22: heart atrium Strong Ubiquitous Embryo_C3136_6_6A
TS22: heart ventricle Strong Regionally restricted Embryo_C3136_6_5A
TS22: blood vessel Strong Regionally restricted Embryo_C3136_6_4B
TS22: hemolymphoid system Strong Scattered Embryo_C3136_6_4D Expression was strong in the immune system.
TS22: spleen primordium Strong Regionally restricted Embryo_C3136_6_2A
TS22: thymus primordium Strong Scattered Embryo_C3136_6_4D
TS22: appendicular skeleton Absent Expression was not detected in the skeleton (limbs, shoulder, hip).
TS22: musculature Moderate Scattered Embryo_C3136_6_1C
TS22: face Moderate Scattered Embryo_C3136_6_1B Expression was detected in the face/soft tissues.
TS22: facial bone primordium Absent
TS22: cranium Absent Expression was not detected in the skull (base and vault).
TS22: axial skeleton Absent
TS22: tail Moderate Scattered Embryo_C3136_6_3C
TS22: forelimb Moderate Regionally restricted Embryo_C3136_6_1A
TS22: hindlimb Moderate Regionally restricted Embryo_C3136_6_1A
TS22: integumental system Absent
TS22: skin Absent
TS22: hair Absent
TS22: vibrissa follicle Absent Expression was not detected in whisker follicle.


Contributing Projects:
Mouse Genome Database (MGD), Gene Expression Database (GXD), Mouse Models of Human Cancer database (MMHCdb) (formerly Mouse Tumor Biology (MTB)), Gene Ontology (GO)
Citing These Resources
Funding Information
Warranty Disclaimer, Privacy Notice, Licensing, & Copyright
Send questions and comments to User Support.
last database update
12/30/2025
MGI 6.24
The Jackson Laboratory