About   Help   FAQ
Gene Expression Data
Assay Details
Assay
Reference: J:122989 Visel A, et al., GenePaint.org: an atlas of gene expression patterns in the mouse embryo. Nucleic Acids Res. 2004 Jan 1;32(Database issue):D552-6
Assay type: RNA in situ
MGI Accession ID: MGI:5422781
Gene symbol: Dusp16
Gene name: dual specificity phosphatase 16
Probe: HD20 probe 22
Probe preparation: Antisense labelled with digoxigenin RNA
Visualized with: Alkaline phosphatase
Assay notes: Cryosections of fresh frozen material were fixed in 4% paraformaldehyde for 20 min. before further processing. A tyramide-biotin/streptavidin amplification step was included in the in situ hybridization procedure. These data were downloaded from GenePaint.org on 1/30/12.
Results
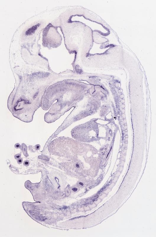
Specimen HD20; Specimen C1045: embryonic day 14.5 (more )
Structure Level Pattern Image Note
TS22: nervous system Strong Regionally restricted Embryo_C1045_8_2C
TS22: central nervous system Strong Regionally restricted Embryo_C1045_8_3D
TS22: telencephalon Strong Regionally restricted Embryo_C1045_8_2C
TS22: cerebral cortex Strong Regionally restricted Embryo_C1045_8_2C
TS22: neocortex Strong Regionally restricted Embryo_C1045_8_2C
TS22: olfactory cortex Moderate Regionally restricted Embryo_C1045_8_2D
TS22: main olfactory bulb Moderate Regionally restricted Embryo_C1045_8_2D
TS22: piriform cortex Weak Regionally restricted Embryo_C1045_8_1D
TS22: hippocampus Strong Regionally restricted Embryo_C1045_8_2B
TS22: basal ganglia Moderate Regionally restricted Embryo_C1045_8_2D
TS22: corpus striatum Moderate Regionally restricted Embryo_C1045_8_2A Expression was detected in the corpus striatum (lateral ganglionic eminence).
TS22: basal forebrain Moderate Regionally restricted Embryo_C1045_8_2C
TS22: amygdala Absent
TS22: telencephalon septum Moderate Regionally restricted Embryo_C1045_8_2D
TS22: pallidum Moderate Regionally restricted Embryo_C1045_8_2D Expression was detected in the pallidum (medial ganglionic eminence).
TS22: diencephalon Strong Regionally restricted Embryo_C1045_8_3B
TS22: thalamus Weak Regionally restricted Embryo_C1045_8_3A
TS22: hypothalamus Strong Regionally restricted Embryo_C1045_8_3B
TS22: midbrain Moderate Regionally restricted Embryo_C1045_8_3C
TS22: pretectum Weak Regionally restricted Embryo_C1045_8_3A
TS22: superior colliculus Moderate Regionally restricted Embryo_C1045_8_3C
TS22: inferior colliculus Moderate Regionally restricted Embryo_C1045_8_3C
TS22: midbrain tegmentum Moderate Regionally restricted Embryo_C1045_8_3C
TS22: hindbrain Strong Regionally restricted Embryo_C1045_8_3D
TS22: cerebellum Moderate Regionally restricted Embryo_C1045_8_3B
TS22: pons Strong Regionally restricted Embryo_C1045_8_3D
TS22: medulla oblongata Strong Regionally restricted Embryo_C1045_8_3D
TS22: spinal cord Strong Regionally restricted Embryo_C1045_8_5B
TS22: choroid plexus Weak Regionally restricted Embryo_C1045_8_3A
TS22: meninges Absent
TS22: peripheral nervous system Moderate Regionally restricted Embryo_C1045_8_3A
TS22: cranial ganglion Weak Regionally restricted Embryo_C1045_8_2A
TS22: dorsal root ganglion Moderate Regionally restricted Embryo_C1045_8_3A
TS22: eye Strong Regionally restricted Embryo_C1045_8_1A
TS22: retina Strong Regionally restricted Embryo_C1045_8_1A
TS22: optic nerve Weak Regionally restricted Embryo_C1045_8_1D
TS22: nose Moderate Regionally restricted Embryo_C1045_8_2C
TS22: olfactory epithelium Moderate Regionally restricted Embryo_C1045_8_2C
TS22: ear Strong Regionally restricted Embryo_C1045_8_1B
TS22: inner ear Strong Regionally restricted Embryo_C1045_8_2C
TS22: cochlea Strong Regionally restricted Embryo_C1045_8_2C
TS22: inner ear labyrinth Strong Regionally restricted Embryo_C1045_8_1B
TS22: middle ear Strong Regionally restricted Embryo_C1045_8_1B
TS22: alimentary system Strong Regionally restricted Embryo_C1045_8_3C Expression was strong in the digestive system.
TS22: intestine Strong Regionally restricted Embryo_C1045_8_3C
TS22: salivary gland Absent
TS22: tongue Moderate Regionally restricted Embryo_C1045_8_3C
TS22: tooth Strong Regionally restricted Embryo_C1045_8_2D
TS22: esophagus Strong Regionally restricted Embryo_C1045_8_3D
TS22: stomach Strong Regionally restricted Embryo_C1045_8_1D
TS22: liver Weak Regionally restricted Embryo_C1045_8_3C
TS22: respiratory system Strong Regionally restricted Embryo_C1045_8_3B
TS22: pharynx Weak Regionally restricted Embryo_C1045_8_3B
TS22: larynx Strong Regionally restricted Embryo_C1045_8_3B
TS22: trachea Moderate Regionally restricted Embryo_C1045_8_3D
TS22: main bronchus Absent
TS22: lung Moderate Regionally restricted Embryo_C1045_8_2A
TS22: urinary system Strong Regionally restricted Embryo_C1045_8_3D Expression was strong in the genito-urinary system.
TS22: metanephros Moderate Regionally restricted Embryo_C1045_8_2A
TS22: bladder Strong Regionally restricted Embryo_C1045_8_3D
TS22: urethra Strong Regionally restricted Embryo_C1045_8_3D
TS22: reproductive system Moderate Regionally restricted
TS22: genital tubercle Moderate Regionally restricted Embryo_C1045_8_3C
TS22: gonad Moderate Regionally restricted
TS22: gland Moderate Regionally restricted Embryo_C1045_8_2D Expression was detected in the endocrine system.
TS22: thyroid gland Weak Regionally restricted Embryo_C1045_8_3B
TS22: pituitary gland Moderate Regionally restricted Embryo_C1045_8_3A
TS22: pancreas Weak Regionally restricted Embryo_C1045_8_2D
TS22: adrenal gland Moderate Regionally restricted Embryo_C1045_8_2D
TS22: cardiovascular system Moderate Regionally restricted Embryo_C1045_8_3B
TS22: heart Moderate Regionally restricted Embryo_C1045_8_3B
TS22: heart atrium Weak Regionally restricted Embryo_C1045_8_3B
TS22: heart ventricle Moderate Regionally restricted Embryo_C1045_8_3B
TS22: blood vessel Weak Regionally restricted Embryo_C1045_8_3B
TS22: hemolymphoid system Strong Regionally restricted Embryo_C1045_8_2A Expression was strong in the immune system.
TS22: spleen primordium Strong Regionally restricted Embryo_C1045_8_2A
TS22: thymus primordium Weak Regionally restricted Embryo_C1045_8_3B
TS22: appendicular skeleton Absent Expression was not detected in the skeleton (limbs, shoulder, hip).
TS22: musculature Moderate Regionally restricted Embryo_C1045_8_2A
TS22: face Moderate Regionally restricted Embryo_C1045_8_2C Expression was detected in the face/soft tissues.
TS22: facial bone primordium Absent
TS22: cranium Absent Expression was not detected in the skull (base and vault).
TS22: axial skeleton Absent
TS22: tail Moderate Regionally restricted Embryo_C1045_8_5C
TS22: forelimb Moderate Regionally restricted Embryo_C1045_8_1A
TS22: hindlimb Moderate Regionally restricted Embryo_C1045_8_1D
TS22: integumental system Strong Regionally restricted Embryo_C1045_8_1C
TS22: skin Strong Regionally restricted Embryo_C1045_8_1C
TS22: hair Moderate Regionally restricted Embryo_C1045_8_1C
TS22: vibrissa follicle Moderate Regionally restricted Embryo_C1045_8_1C Expression was detected in whisker follicle.


Contributing Projects:
Mouse Genome Database (MGD), Gene Expression Database (GXD), Mouse Models of Human Cancer database (MMHCdb) (formerly Mouse Tumor Biology (MTB)), Gene Ontology (GO)
Citing These Resources
Funding Information
Warranty Disclaimer, Privacy Notice, Licensing, & Copyright
Send questions and comments to User Support.
last database update
04/14/2026
MGI 6.24
The Jackson Laboratory