About   Help   FAQ
Gene Expression Data
Assay Details
Assay
Reference: J:122989 Visel A, et al., GenePaint.org: an atlas of gene expression patterns in the mouse embryo. Nucleic Acids Res. 2004 Jan 1;32(Database issue):D552-6
Assay type: RNA in situ
MGI Accession ID: MGI:5422780
Gene symbol: Gja1
Gene name: gap junction protein, alpha 1
Probe: HD12 probe 25
Probe preparation: Antisense labelled with digoxigenin RNA
Visualized with: Alkaline phosphatase
Assay notes: Cryosections of fresh frozen material were fixed in 4% paraformaldehyde for 20 min. before further processing. A tyramide-biotin/streptavidin amplification step was included in the in situ hybridization procedure. These data were downloaded from GenePaint.org on 1/30/12.
Results
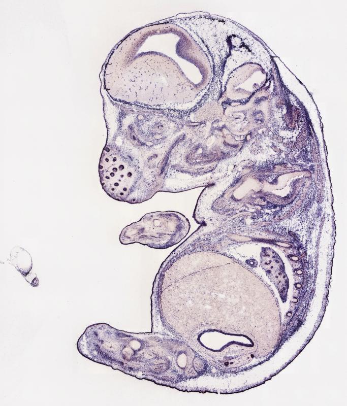
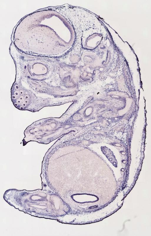
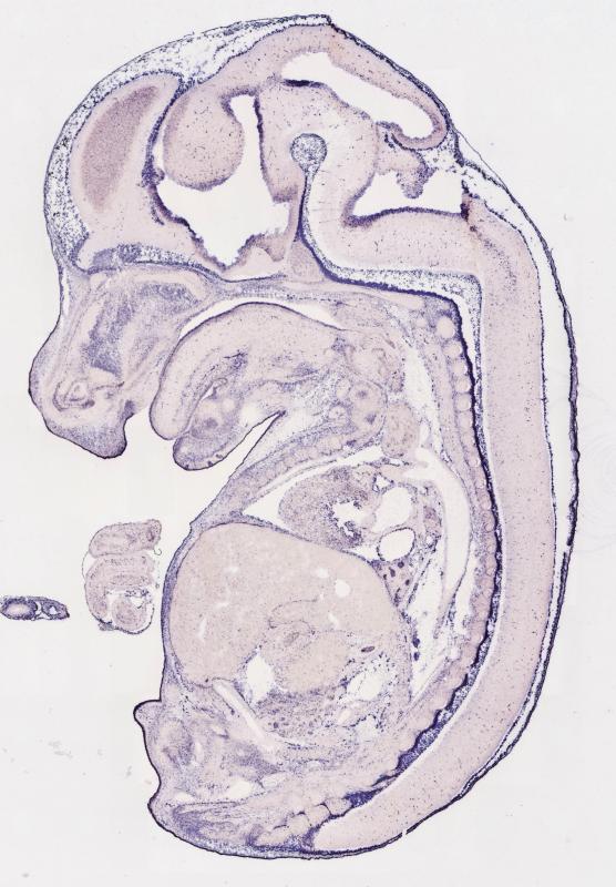
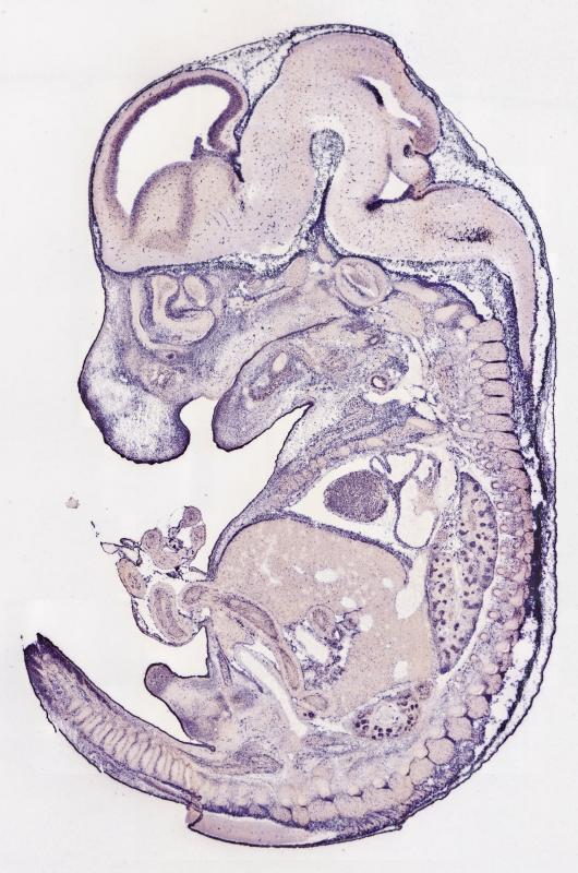
Specimen HD12; Specimen C1098: embryonic day 14.5 (more )
Structure Level Pattern Image Note
TS22: nervous system Strong Regionally restricted Embryo_C1098_5_4A
TS22: central nervous system Strong Regionally restricted Embryo_C1098_5_4A
TS22: telencephalon Strong Regionally restricted Embryo_C1098_5_3C
TS22: cerebral cortex Strong Regionally restricted Embryo_C1098_5_2B
TS22: neocortex Moderate Scattered Embryo_C1098_5_3A
TS22: olfactory cortex Strong Scattered Embryo_C1098_5_5A
TS22: main olfactory bulb Strong Scattered Embryo_C1098_5_5A
TS22: piriform cortex Moderate Scattered Embryo_C1098_5_1C
TS22: hippocampus Strong Regionally restricted Embryo_C1098_5_2B
TS22: basal ganglia Strong Regionally restricted Embryo_C1098_5_3C
TS22: corpus striatum Strong Scattered Embryo_C1098_5_2A Expression was strong in the corpus striatum (lateral ganglionic eminence).
TS22: basal forebrain Weak Scattered Embryo_C1098_5_5A
TS22: amygdala Strong Scattered Embryo_C1098_5_1C
TS22: telencephalon septum Strong Regionally restricted Embryo_C1098_5_3C
TS22: pallidum Moderate Regionally restricted Embryo_C1098_5_3A Expression was detected in the pallidum (medial ganglionic eminence).
TS22: diencephalon Strong Regionally restricted Embryo_C1098_5_4B
TS22: thalamus Strong Scattered Embryo_C1098_5_3A
TS22: hypothalamus Strong Regionally restricted Embryo_C1098_5_4B
TS22: midbrain Strong Regionally restricted Embryo_C1098_5_4D
TS22: pretectum Strong Scattered Embryo_C1098_5_3B
TS22: superior colliculus Strong Scattered Embryo_C1098_5_3D
TS22: inferior colliculus Moderate Regionally restricted Embryo_C1098_5_4A
TS22: midbrain tegmentum Strong Regionally restricted Embryo_C1098_5_4D
TS22: hindbrain Strong Regionally restricted Embryo_C1098_5_4C
TS22: cerebellum Strong Regionally restricted Embryo_C1098_5_4D
TS22: pons Strong Regionally restricted Embryo_C1098_5_4A
TS22: medulla oblongata Strong Regionally restricted Embryo_C1098_5_4C
TS22: spinal cord Strong Regionally restricted Embryo_C1098_5_4A
TS22: choroid plexus Moderate Regionally restricted Embryo_C1098_5_3A
TS22: meninges Strong Ubiquitous Embryo_C1098_5_3A
TS22: peripheral nervous system Weak Scattered Embryo_C1098_5_5A
TS22: cranial ganglion Weak Scattered Embryo_C1098_5_5A
TS22: dorsal root ganglion Weak Scattered Embryo_C1098_5_5A
TS22: eye Strong Regionally restricted Embryo_C1098_5_1A
TS22: retina Strong Regionally restricted Embryo_C1098_5_1A
TS22: lens Absent
TS22: cornea Moderate Regionally restricted Embryo_C1098_5_1A
TS22: optic nerve Moderate Regionally restricted Embryo_C1098_5_2C
TS22: nose Moderate Regionally restricted Embryo_C1098_5_3A
TS22: olfactory epithelium Moderate Regionally restricted Embryo_C1098_5_3A
TS22: ear Strong Regionally restricted Embryo_C1098_5_1A
TS22: inner ear Moderate Regionally restricted Embryo_C1098_5_1C
TS22: cochlea Moderate Regionally restricted Embryo_C1098_5_5A
TS22: inner ear labyrinth Moderate Regionally restricted Embryo_C1098_5_1C
TS22: middle ear Strong Regionally restricted Embryo_C1098_5_1A
TS22: alimentary system Strong Regionally restricted Embryo_C1098_5_1D Expression was strong in the digestive system.
TS22: intestine Moderate Regionally restricted Embryo_C1098_5_4A
TS22: salivary gland Weak Regionally restricted Embryo_C1098_5_3A
TS22: tongue Strong Regionally restricted Embryo_C1098_5_4A
TS22: tooth Moderate Regionally restricted Embryo_C1098_5_3B
TS22: palatal shelf Moderate Regionally restricted Embryo_C1098_5_4C
TS22: esophagus Moderate Regionally restricted Embryo_C1098_5_4A
TS22: stomach Strong Regionally restricted Embryo_C1098_5_1D
TS22: liver Moderate Scattered Embryo_C1098_5_1B
TS22: respiratory system Strong Regionally restricted Embryo_C1098_5_5A
TS22: pharynx Moderate Regionally restricted Embryo_C1098_5_4A
TS22: larynx Weak Regionally restricted Embryo_C1098_5_4A
TS22: trachea Moderate Regionally restricted Embryo_C1098_5_4B
TS22: main bronchus Absent
TS22: lung Strong Regionally restricted Embryo_C1098_5_5A
TS22: urinary system Strong Regionally restricted Embryo_C1098_5_5A Expression was strong in the genito-urinary system.
TS22: metanephros Strong Regionally restricted Embryo_C1098_5_5A
TS22: ureter Weak Regionally restricted Embryo_C1098_5_4B
TS22: bladder Moderate Regionally restricted Embryo_C1098_5_4C
TS22: urethra Moderate Regionally restricted Embryo_C1098_5_4C
TS22: reproductive system Strong Regionally restricted Embryo_C1098_5_4C
TS22: genital tubercle Strong Regionally restricted Embryo_C1098_5_4C
TS22: gonad Moderate Regionally restricted Embryo_C1098_5_2C
TS22: gland Moderate Regionally restricted Embryo_C1098_5_5B Expression was detected in the endocrine system.
TS22: thyroid gland Weak Regionally restricted Embryo_C1098_5_3D
TS22: pituitary gland Weak Regionally restricted Embryo_C1098_5_3D
TS22: pancreas Moderate Regionally restricted Embryo_C1098_5_3C
TS22: adrenal gland Moderate Regionally restricted Embryo_C1098_5_5B
TS22: cardiovascular system Moderate Regionally restricted Embryo_C1098_5_4B
TS22: heart Moderate Regionally restricted Embryo_C1098_5_4B
TS22: heart atrium Moderate Regionally restricted Embryo_C1098_5_5B
TS22: heart ventricle Moderate Regionally restricted Embryo_C1098_5_4B
TS22: blood vessel Moderate Regionally restricted Embryo_C1098_5_4A
TS22: hemolymphoid system Weak Regionally restricted Embryo_C1098_5_3D Expression was weak in the immune system.
TS22: spleen primordium Weak Regionally restricted Embryo_C1098_5_2B
TS22: thymus primordium Weak Regionally restricted Embryo_C1098_5_3D
TS22: appendicular skeleton Absent Expression was not detected in the skeleton (limbs, shoulder, hip).
TS22: musculature Moderate Regionally restricted Embryo_C1098_5_2A
TS22: face Strong Regionally restricted Embryo_C1098_5_5A Expression was strong in the face/soft tissues.
TS22: facial bone primordium Absent
TS22: cranium Weak Regionally restricted Embryo_C1098_5_4A Expression was weak in the skull (base and vault).
TS22: axial skeleton Strong Regionally restricted Embryo_C1098_5_2A
TS22: tail Strong Regionally restricted Embryo_C1098_5_5A
TS22: forelimb Strong Regionally restricted Embryo_C1098_5_1C
TS22: hindlimb Strong Regionally restricted Embryo_C1098_5_2D
TS22: integumental system Strong Regionally restricted Embryo_C1098_5_1B
TS22: skin Strong Regionally restricted Embryo_C1098_5_1B
TS22: hair Strong Regionally restricted Embryo_C1098_5_2A
TS22: vibrissa follicle Strong Regionally restricted Embryo_C1098_5_2A Expression was strong in whisker follicle.


Contributing Projects:
Mouse Genome Database (MGD), Gene Expression Database (GXD), Mouse Models of Human Cancer database (MMHCdb) (formerly Mouse Tumor Biology (MTB)), Gene Ontology (GO)
Citing These Resources
Funding Information
Warranty Disclaimer, Privacy Notice, Licensing, & Copyright
Send questions and comments to User Support.
last database update
04/14/2026
MGI 6.24
The Jackson Laboratory