About   Help   FAQ
Gene Expression Data
Assay Details
Assay
Reference: J:122989 Visel A, et al., GenePaint.org: an atlas of gene expression patterns in the mouse embryo. Nucleic Acids Res. 2004 Jan 1;32(Database issue):D552-6
Assay type: RNA in situ
MGI Accession ID: MGI:5422765
Gene symbol: Slc19a1
Gene name: solute carrier family 19 (folate transporter), member 1
Probe: MY266
Probe preparation: Antisense labelled with digoxigenin RNA
Visualized with: Alkaline phosphatase
Assay notes: Cryosections of fresh frozen material were fixed in 4% paraformaldehyde for 20 min. before further processing. A tyramide-biotin/streptavidin amplification step was included in the in situ hybridization procedure. These data were downloaded from GenePaint.org on 1/30/12.
Results
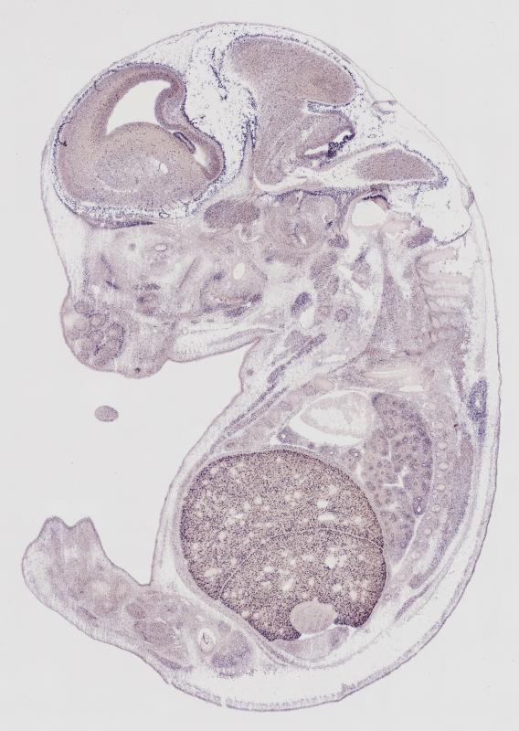
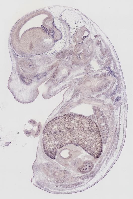
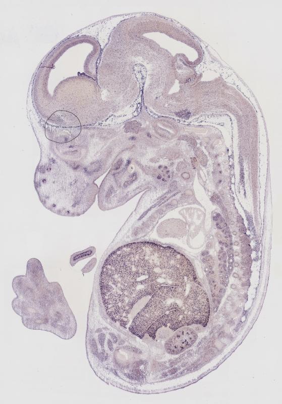
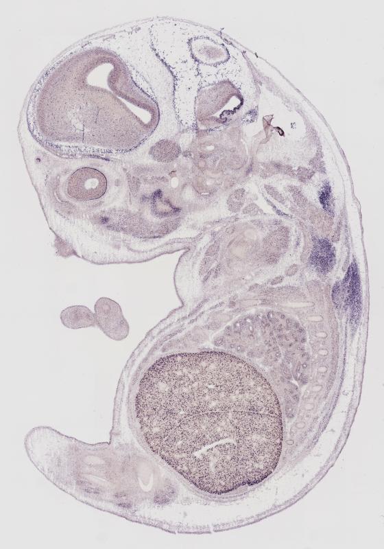
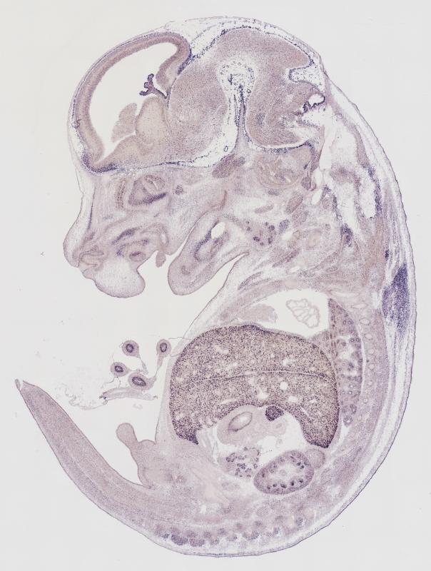
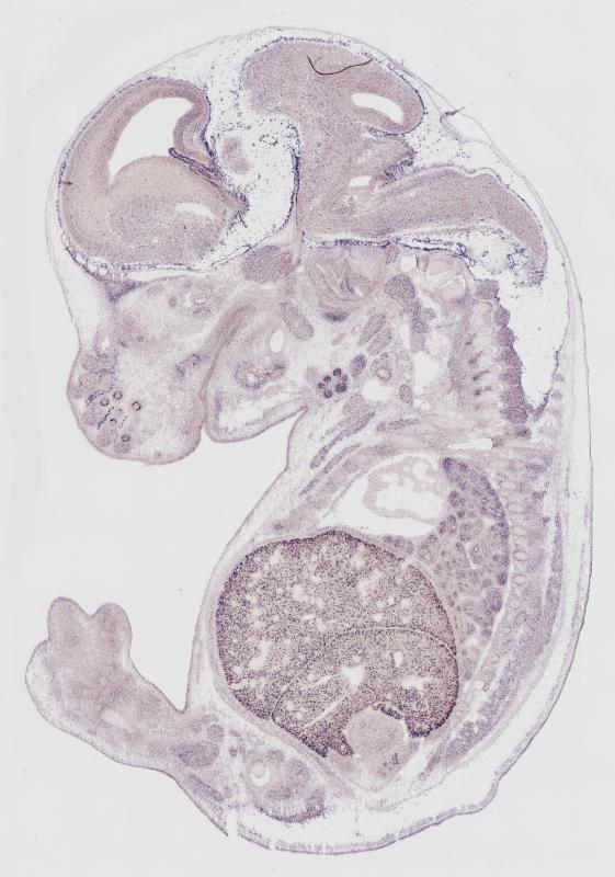
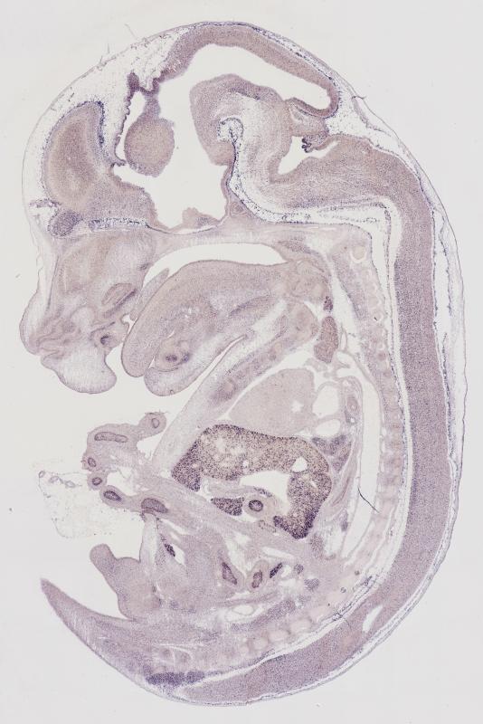
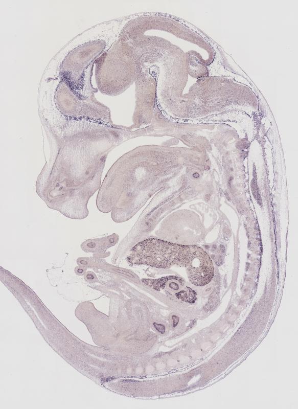
Specimen MY266; Specimen C1500: embryonic day 14.5 (more )
Structure Level Pattern Image Note
TS22: nervous system Strong Regionally restricted Embryo_C1500_1_3C
TS22: central nervous system Strong Regionally restricted Embryo_C1500_1_3C
TS22: telencephalon Moderate Regionally restricted Embryo_C1500_1_5C
TS22: cerebral cortex Moderate Regionally restricted Embryo_C1500_1_5C
TS22: neocortex Weak Regionally restricted Embryo_C1500_1_5A
TS22: olfactory cortex Moderate Regionally restricted Embryo_C1500_1_5C
TS22: main olfactory bulb Moderate Regionally restricted Embryo_C1500_1_5C
TS22: piriform cortex Absent
TS22: hippocampus Weak Regionally restricted Embryo_C1500_1_5A
TS22: basal ganglia Weak Regionally restricted Embryo_C1500_1_3C
TS22: corpus striatum Weak Regionally restricted Embryo_C1500_1_2B Expression was weak in the corpus striatum (lateral ganglionic eminence).
TS22: basal forebrain Absent
TS22: amygdala Weak Regionally restricted Embryo_C1500_1_2B
TS22: telencephalon septum Weak Regionally restricted Embryo_C1500_1_5A
TS22: pallidum Weak Regionally restricted Embryo_C1500_1_3C Expression was weak in the pallidum (medial ganglionic eminence).
TS22: diencephalon Moderate Regionally restricted Embryo_C1500_1_4B
TS22: thalamus Weak Regionally restricted Embryo_C1500_1_4C
TS22: hypothalamus Weak Regionally restricted Embryo_C1500_1_4A
TS22: midbrain Moderate Regionally restricted Embryo_C1500_1_4A
TS22: pretectum Moderate Regionally restricted Embryo_C1500_1_4A
TS22: superior colliculus Weak Regionally restricted Embryo_C1500_1_3C
TS22: inferior colliculus Weak Regionally restricted Embryo_C1500_1_3B
TS22: midbrain tegmentum Weak Regionally restricted Embryo_C1500_1_3C
TS22: hindbrain Moderate Regionally restricted Embryo_C1500_1_5A
TS22: cerebellum Weak Regionally restricted Embryo_C1500_1_3D
TS22: pons Weak Regionally restricted Embryo_C1500_1_2D
TS22: medulla oblongata Moderate Regionally restricted Embryo_C1500_1_5A
TS22: spinal cord Moderate Regionally restricted Embryo_C1500_1_3A
TS22: choroid plexus Strong Regionally restricted Embryo_C1500_1_3C
TS22: meninges Strong Regionally restricted Embryo_C1500_1_3C
TS22: peripheral nervous system Moderate Regionally restricted Embryo_C1500_1_2C
TS22: cranial ganglion Weak Regionally restricted Embryo_C1500_1_2B
TS22: dorsal root ganglion Moderate Regionally restricted Embryo_C1500_1_2C
TS22: eye Strong Regionally restricted Embryo_C1500_1_1D
TS22: retina Strong Regionally restricted Embryo_C1500_1_1D
TS22: lens Moderate Regionally restricted Embryo_C1500_1_1A
TS22: cornea Weak Regionally restricted Embryo_C1500_1_1A
TS22: optic nerve Absent
TS22: nose Weak Regionally restricted Embryo_C1500_1_5C
TS22: olfactory epithelium Weak Regionally restricted Embryo_C1500_1_5C
TS22: ear Weak Regionally restricted Embryo_C1500_1_2A
TS22: inner ear Weak Regionally restricted Embryo_C1500_1_2A
TS22: cochlea Weak Regionally restricted Embryo_C1500_1_3A
TS22: inner ear labyrinth Weak Regionally restricted Embryo_C1500_1_2A
TS22: middle ear Weak Regionally restricted Embryo_C1500_1_1A
TS22: alimentary system Strong Regionally restricted Embryo_C1500_1_5B Expression was strong in the digestive system.
TS22: intestine Strong Regionally restricted Embryo_C1500_1_4D
TS22: salivary gland Moderate Regionally restricted Embryo_C1500_1_2D
TS22: tongue Moderate Regionally restricted Embryo_C1500_1_5A
TS22: tooth Moderate Regionally restricted Embryo_C1500_1_5B
TS22: palatal shelf Weak Regionally restricted Embryo_C1500_1_3D
TS22: esophagus Weak Regionally restricted Embryo_C1500_1_4A
TS22: stomach Weak Regionally restricted Embryo_C1500_1_6A
TS22: liver Strong Scattered Embryo_C1500_1_5B
TS22: respiratory system Moderate Regionally restricted Embryo_C1500_1_5B
TS22: pharynx Weak Regionally restricted Embryo_C1500_1_3D
TS22: larynx Weak Regionally restricted Embryo_C1500_1_3D
TS22: trachea Weak Regionally restricted Embryo_C1500_1_4A
TS22: main bronchus Absent
TS22: lung Moderate Regionally restricted Embryo_C1500_1_5B
TS22: urinary system Strong Regionally restricted Embryo_C1500_1_3A Expression was strong in the genito-urinary system.
TS22: metanephros Strong Regionally restricted Embryo_C1500_1_3A
TS22: ureter Weak Regionally restricted Embryo_C1500_1_5A
TS22: bladder Absent
TS22: urethra Absent
TS22: reproductive system Weak Regionally restricted Embryo_C1500_1_5A
TS22: genital tubercle Weak Regionally restricted Embryo_C1500_1_5A
TS22: gonad Weak Regionally restricted Embryo_C1500_1_6A
TS22: gland Strong Regionally restricted Embryo_C1500_1_5C Expression was strong in the endocrine system.
TS22: thyroid gland Moderate Regionally restricted Embryo_C1500_1_3B
TS22: pituitary gland Weak Regionally restricted Embryo_C1500_1_4A
TS22: pancreas Strong Regionally restricted Embryo_C1500_1_5C
TS22: adrenal gland Weak Regionally restricted Embryo_C1500_1_5C
TS22: cardiovascular system Absent
TS22: heart Absent
TS22: heart atrium Absent
TS22: heart ventricle Absent
TS22: blood vessel Absent
TS22: hemolymphoid system Weak Regionally restricted Embryo_C1500_1_4A Expression was weak in the immune system.
TS22: spleen primordium Absent
TS22: thymus primordium Weak Regionally restricted Embryo_C1500_1_4A
TS22: appendicular skeleton Absent Expression was not detected in the skeleton (limbs, shoulder, hip).
TS22: musculature Moderate Regionally restricted Embryo_C1500_1_1A
TS22: face Moderate Regionally restricted Embryo_C1500_1_3B Expression was detected in the face/soft tissues.
TS22: facial bone primordium Absent
TS22: cranium Absent Expression was not detected in the skull (base and vault).
TS22: axial skeleton Moderate Regionally restricted Embryo_C1500_1_1A
TS22: tail Moderate Regionally restricted Embryo_C1500_1_5A
TS22: forelimb Weak Regionally restricted Embryo_C1500_1_1C
TS22: hindlimb Weak Regionally restricted Embryo_C1500_1_2B
TS22: integumental system Strong Regionally restricted Embryo_C1500_1_2C
TS22: skin Moderate Regionally restricted Embryo_C1500_1_5A
TS22: hair Strong Regionally restricted Embryo_C1500_1_2C
TS22: vibrissa follicle Strong Regionally restricted Embryo_C1500_1_2C Expression was strong in whisker follicle.


Contributing Projects:
Mouse Genome Database (MGD), Gene Expression Database (GXD), Mouse Models of Human Cancer database (MMHCdb) (formerly Mouse Tumor Biology (MTB)), Gene Ontology (GO)
Citing These Resources
Funding Information
Warranty Disclaimer, Privacy Notice, Licensing, & Copyright
Send questions and comments to User Support.
last database update
03/24/2026
MGI 6.24
The Jackson Laboratory