About   Help   FAQ
Gene Expression Data
Assay Details
Assay
Reference: J:122989 Visel A, et al., GenePaint.org: an atlas of gene expression patterns in the mouse embryo. Nucleic Acids Res. 2004 Jan 1;32(Database issue):D552-6
Assay type: RNA in situ
MGI Accession ID: MGI:5422760
Gene symbol: Cdh11
Gene name: cadherin 11
Probe: D3-A11
Probe preparation: Antisense labelled with digoxigenin RNA
Visualized with: Alkaline phosphatase
Assay notes: Cryosections of fresh frozen material were fixed in 4% paraformaldehyde for 20 min. before further processing. A tyramide-biotin/streptavidin amplification step was included in the in situ hybridization procedure. These data were downloaded from GenePaint.org on 1/30/12.
Results
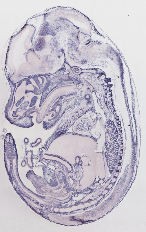
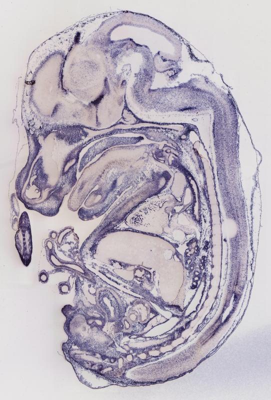
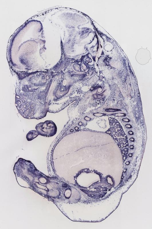
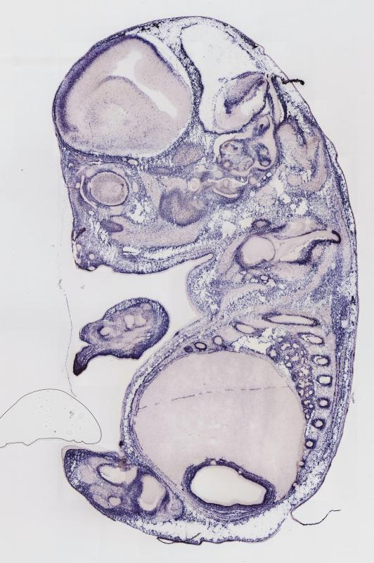
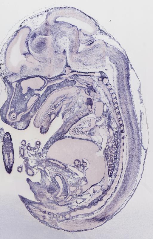
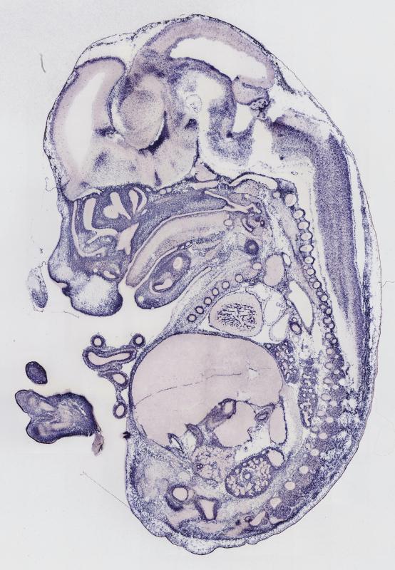
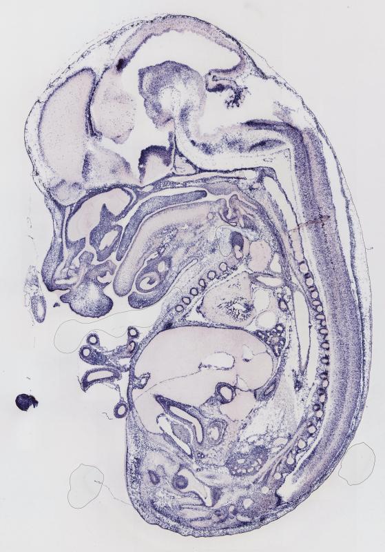
Specimen DA85; Specimen DA16: embryonic day 14.5 (more )
Structure Level Pattern Image Note
TS22: nervous system Strong Regionally restricted Embryo_DA16_4_3D
TS22: central nervous system Strong Regionally restricted Embryo_DA16_4_3D
TS22: telencephalon Strong Regionally restricted Embryo_DA16_4_1D
TS22: cerebral cortex Strong Regionally restricted Embryo_DA16_4_1D
TS22: neocortex Strong Regionally restricted Embryo_DA16_4_1D
TS22: olfactory cortex Moderate Regionally restricted Embryo_DA16_4_4B
TS22: main olfactory bulb Moderate Regionally restricted Embryo_DA16_4_4B
TS22: piriform cortex Weak Regionally restricted Embryo_DA16_4_5D
TS22: hippocampus Strong Regionally restricted Embryo_DA16_4_1D
TS22: basal ganglia Moderate Regionally restricted Embryo_DA16_4_5C
TS22: corpus striatum Moderate Regionally restricted Embryo_DA16_4_5C Expression was detected in the corpus striatum (lateral ganglionic eminence).
TS22: basal forebrain Moderate Regionally restricted Embryo_DA16_4_3B
TS22: amygdala Weak Regionally restricted Embryo_DA16_4_1D
TS22: telencephalon septum Moderate Regionally restricted Embryo_DA16_4_3C
TS22: pallidum Weak Regionally restricted Embryo_DA16_4_2D Expression was weak in the pallidum (medial ganglionic eminence).
TS22: diencephalon Strong Regionally restricted Embryo_DA16_4_4A
TS22: thalamus Strong Regionally restricted Embryo_DA16_4_2C
TS22: hypothalamus Strong Regionally restricted Embryo_DA16_4_4A
TS22: midbrain Strong Regionally restricted Embryo_DA16_4_3D
TS22: pretectum Strong Regionally restricted Embryo_DA16_4_3D
TS22: superior colliculus Strong Regionally restricted Embryo_DA16_4_3D
TS22: inferior colliculus Strong Regionally restricted Embryo_DA16_4_3C
TS22: midbrain tegmentum Strong Regionally restricted Embryo_DA16_4_3B
TS22: hindbrain Strong Regionally restricted Embryo_DA16_4_3C
TS22: cerebellum Strong Regionally restricted Embryo_DA16_4_5A
TS22: pons Strong Regionally restricted Embryo_DA16_4_3B
TS22: medulla oblongata Strong Regionally restricted Embryo_DA16_4_3C
TS22: spinal cord Strong Regionally restricted Embryo_DA16_4_3D
TS22: choroid plexus Strong Regionally restricted Embryo_DA16_4_3C
TS22: meninges Strong Regionally restricted Embryo_DA16_4_1B
TS22: peripheral nervous system Moderate Regionally restricted Embryo_DA16_4_2D
TS22: cranial ganglion Moderate Regionally restricted Embryo_DA16_4_5A
TS22: dorsal root ganglion Moderate Regionally restricted Embryo_DA16_4_2D
TS22: eye Moderate Regionally restricted Embryo_DA16_4_1A
TS22: retina Moderate Regionally restricted Embryo_DA16_4_1A
TS22: lens Absent
TS22: optic nerve Weak Regionally restricted Embryo_DA16_4_4C
TS22: nose Absent
TS22: olfactory epithelium Absent
TS22: ear Strong Regionally restricted Embryo_DA16_4_2D
TS22: inner ear Strong Regionally restricted Embryo_DA16_4_2D
TS22: cochlea Strong Regionally restricted Embryo_DA16_4_2D
TS22: inner ear labyrinth Strong Regionally restricted Embryo_DA16_4_1A
TS22: middle ear Strong Regionally restricted Embryo_DA16_4_1A
TS22: alimentary system Strong Regionally restricted Embryo_DA16_4_4A Expression was strong in the digestive system.
TS22: intestine Strong Regionally restricted Embryo_DA16_4_4A
TS22: salivary gland Weak Regionally restricted Embryo_DA16_4_2B
TS22: tongue Moderate Regionally restricted Embryo_DA16_4_4A
TS22: tooth Weak Regionally restricted Embryo_DA16_4_4C
TS22: palatal shelf Strong Regionally restricted Embryo_DA16_4_4A
TS22: esophagus Moderate Regionally restricted Embryo_DA16_4_3D
TS22: stomach Strong Regionally restricted Embryo_DA16_4_1C
TS22: liver Moderate Regionally restricted Embryo_DA16_4_3C
TS22: respiratory system Strong Regionally restricted Embryo_DA16_4_4A
TS22: pharynx Absent
TS22: larynx Moderate Regionally restricted Embryo_DA16_4_3B
TS22: trachea Strong Regionally restricted Embryo_DA16_4_4A
TS22: main bronchus Strong Regionally restricted Embryo_DA16_4_3B
TS22: lung Strong Regionally restricted Embryo_DA16_4_4B
TS22: urinary system Strong Regionally restricted Embryo_DA16_4_4A Expression was strong in the genito-urinary system.
TS22: metanephros Strong Regionally restricted Embryo_DA16_4_5C
TS22: ureter Absent
TS22: bladder Moderate Regionally restricted Embryo_DA16_4_4A
TS22: urethra Absent
TS22: reproductive system Strong Regionally restricted Embryo_DA16_4_4A
TS22: genital tubercle Strong Regionally restricted Embryo_DA16_4_4A
TS22: gonad Moderate Regionally restricted Embryo_DA16_4_5C
TS22: gland Strong Regionally restricted Embryo_DA16_4_2D Expression was strong in the endocrine system.
TS22: thyroid gland Weak Regionally restricted Embryo_DA16_4_4B
TS22: pituitary gland Moderate Regionally restricted Embryo_DA16_4_3D
TS22: pancreas Moderate Regionally restricted Embryo_DA16_4_3B
TS22: adrenal gland Strong Regionally restricted Embryo_DA16_4_2D
TS22: cardiovascular system Strong Regionally restricted Embryo_DA16_4_3A
TS22: heart Strong Regionally restricted Embryo_DA16_4_3A
TS22: heart atrium Strong Regionally restricted Embryo_DA16_4_3D
TS22: heart ventricle Strong Regionally restricted Embryo_DA16_4_3A
TS22: blood vessel Strong Regionally restricted Embryo_DA16_4_4A
TS22: hemolymphoid system Strong Regionally restricted Embryo_DA16_4_1D Expression was strong in the immune system.
TS22: spleen primordium Strong Regionally restricted Embryo_DA16_4_1D
TS22: thymus primordium Absent
TS22: appendicular skeleton Strong Regionally restricted Embryo_DA16_4_1C Expression was strong in the skeleton (limbs, shoulder, hip).
TS22: musculature Moderate Regionally restricted Embryo_DA16_4_1A
TS22: face Strong Regionally restricted Embryo_DA16_4_4D Expression was strong in the face/soft tissues.
TS22: facial bone primordium Absent
TS22: cranium Moderate Regionally restricted Embryo_DA16_4_3C Expression was detected in the skull (base and vault).
TS22: axial skeleton Strong Regionally restricted Embryo_DA16_4_2A
TS22: tail Strong Regionally restricted Embryo_DA16_4_5B
TS22: forelimb Strong Regionally restricted Embryo_DA16_4_1A
TS22: hindlimb Strong Regionally restricted Embryo_DA16_4_2C
TS22: integumental system Moderate Regionally restricted Embryo_DA16_4_2B
TS22: skin Absent
TS22: hair Moderate Regionally restricted Embryo_DA16_4_2B
TS22: vibrissa follicle Moderate Regionally restricted Embryo_DA16_4_2B Expression was detected in whisker follicle.


Contributing Projects:
Mouse Genome Database (MGD), Gene Expression Database (GXD), Mouse Models of Human Cancer database (MMHCdb) (formerly Mouse Tumor Biology (MTB)), Gene Ontology (GO)
Citing These Resources
Funding Information
Warranty Disclaimer, Privacy Notice, Licensing, & Copyright
Send questions and comments to User Support.
last database update
12/30/2025
MGI 6.24
The Jackson Laboratory