About   Help   FAQ
Gene Expression Data
Assay Details
Assay
Reference: J:122989 Visel A, et al., GenePaint.org: an atlas of gene expression patterns in the mouse embryo. Nucleic Acids Res. 2004 Jan 1;32(Database issue):D552-6
Assay type: RNA in situ
MGI Accession ID: MGI:5422742
Gene symbol: App
Gene name: amyloid beta precursor protein
Probe: 1D10
Probe preparation: Antisense labelled with digoxigenin RNA
Visualized with: Alkaline phosphatase
Assay notes: Cryosections of fresh frozen material were fixed in 4% paraformaldehyde for 20 min. before further processing. A tyramide-biotin/streptavidin amplification step was included in the in situ hybridization procedure. These data were downloaded from GenePaint.org on 1/30/12.
Results
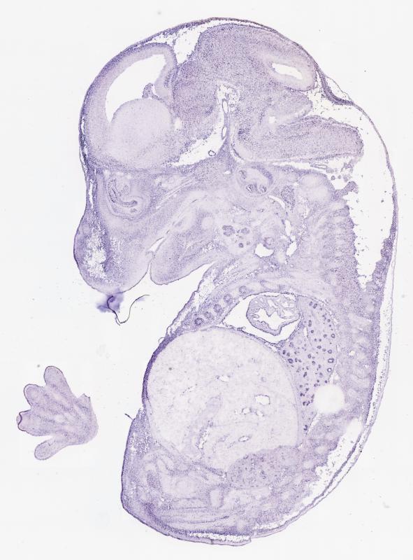
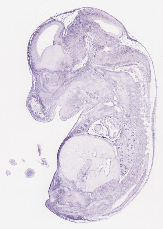
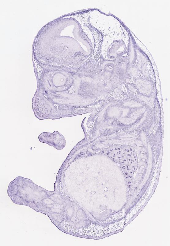
Specimen MY188; Specimen C1178: embryonic day 14.5 (more )
Structure Level Pattern Image Note
TS22: nervous system Strong Regionally restricted Embryo_C1178_6_4C
TS22: central nervous system Strong Regionally restricted Embryo_C1178_6_4C
TS22: telencephalon Strong Regionally restricted Embryo_C1178_6_4C
TS22: cerebral cortex Strong Regionally restricted Embryo_C1178_6_4C
TS22: neocortex Moderate Regionally restricted Embryo_C1178_6_4C
TS22: olfactory cortex Strong Regionally restricted Embryo_C1178_6_4C
TS22: main olfactory bulb Strong Regionally restricted Embryo_C1178_6_4C
TS22: piriform cortex Weak Regionally restricted Embryo_C1178_6_1D
TS22: hippocampus Moderate Regionally restricted Embryo_C1178_6_1D
TS22: basal ganglia Moderate Regionally restricted Embryo_C1178_6_4C
TS22: corpus striatum Weak Regionally restricted Embryo_C1178_6_1C Expression was weak in the corpus striatum (lateral ganglionic eminence).
TS22: basal forebrain Weak Regionally restricted Embryo_C1178_6_3A
TS22: amygdala Weak Regionally restricted Embryo_C1178_6_1C
TS22: telencephalon septum Moderate Regionally restricted Embryo_C1178_6_4C
TS22: pallidum Absent Expression was not detected in the pallidum (medial ganglionic eminence).
TS22: diencephalon Moderate Regionally restricted Embryo_C1178_6_4C
TS22: thalamus Moderate Regionally restricted Embryo_C1178_6_2D
TS22: hypothalamus Moderate Regionally restricted Embryo_C1178_6_4C
TS22: midbrain Strong Regionally restricted Embryo_C1178_6_3D
TS22: pretectum Weak Regionally restricted Embryo_C1178_6_2D
TS22: superior colliculus Moderate Regionally restricted Embryo_C1178_6_3C
TS22: inferior colliculus Weak Regionally restricted Embryo_C1178_6_3C
TS22: midbrain tegmentum Strong Regionally restricted Embryo_C1178_6_3D
TS22: hindbrain Strong Regionally restricted Embryo_C1178_6_3C
TS22: cerebellum Weak Regionally restricted Embryo_C1178_6_4B
TS22: pons Moderate Regionally restricted
TS22: medulla oblongata Strong Regionally restricted Embryo_C1178_6_3C
TS22: spinal cord Strong Regionally restricted Embryo_C1178_6_3D
TS22: choroid plexus Moderate Regionally restricted Embryo_C1178_6_4C
TS22: meninges Weak Ubiquitous Embryo_C1178_6_3C
TS22: peripheral nervous system Weak Regionally restricted
TS22: cranial ganglion Weak Regionally restricted
TS22: dorsal root ganglion Weak Regionally restricted
TS22: eye Moderate Regionally restricted Embryo_C1178_6_1A
TS22: retina Moderate Regionally restricted Embryo_C1178_6_1A
TS22: lens Moderate Regionally restricted Embryo_C1178_6_1A
TS22: optic nerve Absent
TS22: nose Moderate Regionally restricted
TS22: olfactory epithelium Moderate Regionally restricted
TS22: ear Moderate Regionally restricted
TS22: inner ear Moderate Regionally restricted
TS22: cochlea Moderate Regionally restricted
TS22: inner ear labyrinth Weak Regionally restricted Embryo_C1178_6_2B
TS22: middle ear Absent
TS22: alimentary system Strong Regionally restricted Embryo_C1178_6_3B Expression was strong in the digestive system.
TS22: intestine Moderate Scattered Embryo_C1178_6_3C
TS22: salivary gland Moderate Regionally restricted Embryo_C1178_6_2C
TS22: tongue Moderate Regionally restricted Embryo_C1178_6_4B
TS22: tooth Absent
TS22: palatal shelf Moderate Regionally restricted Embryo_C1178_6_3C
TS22: esophagus Weak Regionally restricted Embryo_C1178_6_3D
TS22: stomach Moderate Regionally restricted Embryo_C1178_6_4C
TS22: liver Strong Regionally restricted Embryo_C1178_6_3B
TS22: respiratory system Strong Regionally restricted Embryo_C1178_6_2B
TS22: pharynx Weak Regionally restricted Embryo_C1178_6_3D
TS22: larynx Weak Regionally restricted Embryo_C1178_6_3D
TS22: trachea Weak Regionally restricted Embryo_C1178_6_3D
TS22: main bronchus Absent
TS22: lung Strong Regionally restricted Embryo_C1178_6_2B
TS22: urinary system Moderate Regionally restricted Embryo_C1178_6_2B Expression was detected in the genito-urinary system.
TS22: metanephros Moderate Regionally restricted Embryo_C1178_6_2B
TS22: ureter Weak Regionally restricted Embryo_C1178_6_4B
TS22: bladder Weak Regionally restricted Embryo_C1178_6_3D
TS22: urethra Weak Regionally restricted Embryo_C1178_6_4B
TS22: reproductive system Moderate Regionally restricted Embryo_C1178_6_3C
TS22: genital tubercle Moderate Regionally restricted Embryo_C1178_6_3C
TS22: gonad Weak Regionally restricted Embryo_C1178_6_1D
TS22: gland Weak Regionally restricted Embryo_C1178_6_2D Expression was weak in the endocrine system.
TS22: thyroid gland Weak Regionally restricted Embryo_C1178_6_4B
TS22: pituitary gland Absent
TS22: pancreas Weak Regionally restricted Embryo_C1178_6_4C
TS22: adrenal gland Weak Regionally restricted Embryo_C1178_6_2D
TS22: cardiovascular system Moderate Regionally restricted Embryo_C1178_6_3C
TS22: heart Moderate Regionally restricted Embryo_C1178_6_3C
TS22: heart atrium Moderate Regionally restricted Embryo_C1178_6_3D
TS22: heart ventricle Moderate Regionally restricted Embryo_C1178_6_3C
TS22: blood vessel Moderate Regionally restricted Embryo_C1178_6_4C
TS22: hemolymphoid system Weak Regionally restricted Embryo_C1178_6_4B Expression was weak in the immune system.
TS22: thymus primordium Weak Regionally restricted Embryo_C1178_6_4B
TS22: appendicular skeleton Weak Regionally restricted Embryo_C1178_6_2A Expression was weak in the skeleton (limbs, shoulder, hip).
TS22: musculature Weak Ubiquitous Embryo_C1178_6_1B
TS22: face Moderate Regionally restricted Embryo_C1178_6_4C Expression was detected in the face/soft tissues.
TS22: facial bone primordium Weak Regionally restricted Embryo_C1178_6_3C
TS22: cranium Absent Expression was not detected in the skull (base and vault).
TS22: axial skeleton Moderate Regionally restricted Embryo_C1178_6_3C
TS22: tail Strong Regionally restricted Embryo_C1178_6_3D
TS22: forelimb Moderate Regionally restricted Embryo_C1178_6_1B
TS22: hindlimb Moderate Regionally restricted Embryo_C1178_6_2A
TS22: integumental system Strong Regionally restricted Embryo_C1178_6_4B
TS22: skin Strong Regionally restricted Embryo_C1178_6_4B
TS22: hair Moderate Regionally restricted Embryo_C1178_6_2A
TS22: vibrissa follicle Moderate Regionally restricted Embryo_C1178_6_2A Expression was detected in whisker follicle.


Contributing Projects:
Mouse Genome Database (MGD), Gene Expression Database (GXD), Mouse Models of Human Cancer database (MMHCdb) (formerly Mouse Tumor Biology (MTB)), Gene Ontology (GO)
Citing These Resources
Funding Information
Warranty Disclaimer, Privacy Notice, Licensing, & Copyright
Send questions and comments to User Support.
last database update
03/31/2026
MGI 6.24
The Jackson Laboratory