About   Help   FAQ
Gene Expression Data
Assay Details
Assay
Reference: J:122989 Visel A, et al., GenePaint.org: an atlas of gene expression patterns in the mouse embryo. Nucleic Acids Res. 2004 Jan 1;32(Database issue):D552-6
Assay type: RNA in situ
MGI Accession ID: MGI:5422616
Gene symbol: Polr3h
Gene name: polymerase (RNA) III (DNA directed) polypeptide H
Probe: T55152
Probe preparation: Antisense labelled with digoxigenin RNA
Visualized with: Alkaline phosphatase
Assay notes: Cryosections of fresh frozen material were fixed in 4% paraformaldehyde for 20 min. before further processing. A tyramide-biotin/streptavidin amplification step was included in the in situ hybridization procedure. These data were downloaded from GenePaint.org on 1/30/12.
Results
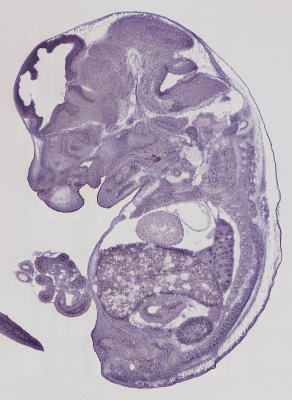
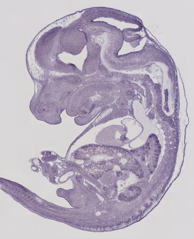
Specimen MH3016; Specimen C4089: embryonic day 14.5 (more )
Structure Level Pattern Image Note
TS22: nervous system Strong Regionally restricted Embryo_C4089_6_4C
TS22: central nervous system Strong Regionally restricted Embryo_C4089_6_4C
TS22: telencephalon Strong Regionally restricted Embryo_C4089_6_4B
TS22: cerebral cortex Strong Regionally restricted Embryo_C4089_6_4B
TS22: neocortex Strong Regionally restricted Embryo_C4089_6_4B
TS22: olfactory cortex Moderate Regionally restricted Embryo_C4089_6_4B
TS22: main olfactory bulb Moderate Regionally restricted Embryo_C4089_6_4B
TS22: piriform cortex Absent
TS22: hippocampus Strong Regionally restricted Embryo_C4089_6_1C
TS22: basal ganglia Strong Regionally restricted Embryo_C4089_6_6A
TS22: corpus striatum Strong Regionally restricted Embryo_C4089_6_6A Expression was strong in the corpus striatum (lateral ganglionic eminence).
TS22: basal forebrain Absent
TS22: amygdala Absent
TS22: telencephalon septum Weak Regionally restricted Embryo_C4089_6_3A
TS22: pallidum Moderate Regionally restricted Embryo_C4089_6_4C Expression was detected in the pallidum (medial ganglionic eminence).
TS22: diencephalon Strong Regionally restricted Embryo_C4089_6_3D
TS22: thalamus Strong Regionally restricted Embryo_C4089_6_3D
TS22: hypothalamus Strong Regionally restricted Embryo_C4089_6_4A
TS22: midbrain Strong Regionally restricted Embryo_C4089_6_4C
TS22: pretectum Absent
TS22: superior colliculus Strong Regionally restricted Embryo_C4089_6_4A
TS22: inferior colliculus Strong Regionally restricted Embryo_C4089_6_4C
TS22: midbrain tegmentum Strong Regionally restricted Embryo_C4089_6_3D
TS22: hindbrain Strong Regionally restricted Embryo_C4089_6_3D
TS22: cerebellum Strong Regionally restricted Embryo_C4089_6_4A
TS22: pons Strong Regionally restricted Embryo_C4089_6_3D
TS22: medulla oblongata Strong Regionally restricted Embryo_C4089_6_3C
TS22: spinal cord Strong Regionally restricted Embryo_C4089_6_4B
TS22: choroid plexus Absent
TS22: meninges Absent
TS22: peripheral nervous system Strong Ubiquitous Embryo_C4089_6_5C
TS22: cranial ganglion Moderate Ubiquitous Embryo_C4089_6_2A
TS22: dorsal root ganglion Strong Ubiquitous Embryo_C4089_6_5C
TS22: eye Strong Regionally restricted Embryo_C4089_6_6D
TS22: retina Absent
TS22: lens Strong Regionally restricted Embryo_C4089_6_6D
TS22: cornea Absent
TS22: optic nerve Absent
TS22: nose Absent
TS22: olfactory epithelium Absent
TS22: ear Weak Regionally restricted Embryo_C4089_6_1A
TS22: inner ear Absent
TS22: cochlea Absent
TS22: inner ear labyrinth Absent
TS22: middle ear Weak Ubiquitous Embryo_C4089_6_1A
TS22: alimentary system Strong Regionally restricted Embryo_C4089_6_4A Expression was strong in the digestive system.
TS22: intestine Strong Regionally restricted Embryo_C4089_6_3A
TS22: salivary gland Strong Ubiquitous Embryo_C4089_6_5B
TS22: tongue Strong Regionally restricted Embryo_C4089_6_4A
TS22: tooth Strong Regionally restricted Embryo_C4089_6_3B
TS22: palatal shelf Absent
TS22: esophagus Moderate Regionally restricted Embryo_C4089_6_4B
TS22: stomach Weak Regionally restricted Embryo_C4089_6_2D
TS22: liver Strong Ubiquitous Embryo_C4089_6_4A
TS22: respiratory system Strong Regionally restricted Embryo_C4089_6_3C
TS22: pharynx Absent
TS22: larynx Absent
TS22: trachea Weak Regionally restricted Embryo_C4089_6_4B
TS22: main bronchus Absent
TS22: lung Strong Regionally restricted Embryo_C4089_6_3C
TS22: urinary system Strong Regionally restricted Embryo_C4089_6_3B Expression was strong in the genito-urinary system.
TS22: metanephros Strong Regionally restricted Embryo_C4089_6_3B
TS22: ureter Absent
TS22: bladder Absent
TS22: urethra Strong Regionally restricted Embryo_C4089_6_4A
TS22: reproductive system Absent
TS22: genital tubercle Absent
TS22: gonad Absent
TS22: gland Moderate Regionally restricted Embryo_C4089_6_3B Expression was detected in the endocrine system.
TS22: thyroid gland Absent
TS22: pituitary gland Absent
TS22: pancreas Moderate Ubiquitous Embryo_C4089_6_3B
TS22: adrenal gland Absent
TS22: cardiovascular system Strong Regionally restricted Embryo_C4089_6_3C
TS22: heart Strong Regionally restricted Embryo_C4089_6_3C
TS22: heart atrium Strong Regionally restricted Embryo_C4089_6_3C
TS22: heart ventricle Absent
TS22: blood vessel Absent
TS22: hemolymphoid system Strong Regionally restricted Embryo_C4089_6_4A Expression was strong in the immune system.
TS22: spleen primordium Absent
TS22: thymus primordium Strong Ubiquitous Embryo_C4089_6_4A
TS22: appendicular skeleton Absent Expression was not detected in the skeleton (limbs, shoulder, hip).
TS22: musculature Moderate Regionally restricted Embryo_C4089_6_2B
TS22: face Absent Expression was not detected in the face/soft tissues.
TS22: facial bone primordium Weak Regionally restricted Embryo_C4089_6_3C
TS22: cranium Strong Regionally restricted Embryo_C4089_6_1D Expression was strong in the skull (base and vault).
TS22: axial skeleton Moderate Regionally restricted Embryo_C4089_6_2B
TS22: tail Strong Regionally restricted Embryo_C4089_6_3C
TS22: forelimb Moderate Regionally restricted Embryo_C4089_6_1B
TS22: hindlimb Strong Regionally restricted Embryo_C4089_6_6A
TS22: integumental system Strong Regionally restricted Embryo_C4089_6_6A
TS22: skin Absent
TS22: hair Strong Regionally restricted Embryo_C4089_6_6A
TS22: vibrissa follicle Strong Regionally restricted Embryo_C4089_6_6A Expression was strong in whisker follicle.


Contributing Projects:
Mouse Genome Database (MGD), Gene Expression Database (GXD), Mouse Models of Human Cancer database (MMHCdb) (formerly Mouse Tumor Biology (MTB)), Gene Ontology (GO)
Citing These Resources
Funding Information
Warranty Disclaimer, Privacy Notice, Licensing, & Copyright
Send questions and comments to User Support.
last database update
03/24/2026
MGI 6.24
The Jackson Laboratory