About   Help   FAQ
Gene Expression Data
Assay Details
Assay
Reference: J:122989 Visel A, et al., GenePaint.org: an atlas of gene expression patterns in the mouse embryo. Nucleic Acids Res. 2004 Jan 1;32(Database issue):D552-6
Assay type: RNA in situ
MGI Accession ID: MGI:5422550
Gene symbol: Elk3
Gene name: ETS transcription factor ELK3
Probe: T55039
Probe preparation: Antisense labelled with digoxigenin RNA
Visualized with: Alkaline phosphatase
Assay notes: Cryosections of fresh frozen material were fixed in 4% paraformaldehyde for 20 min. before further processing. A tyramide-biotin/streptavidin amplification step was included in the in situ hybridization procedure. These data were downloaded from GenePaint.org on 1/30/12.
Results
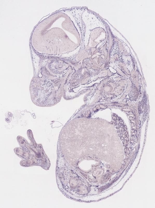
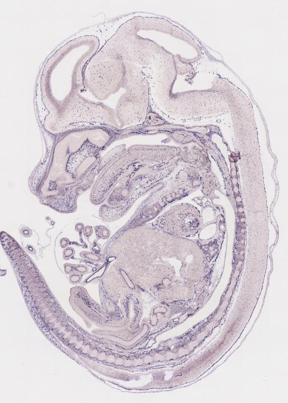
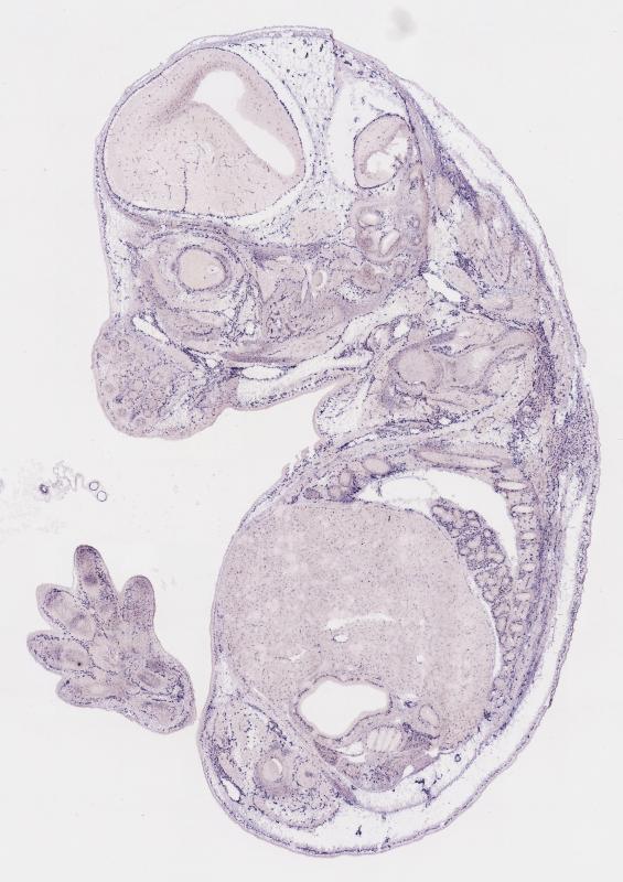
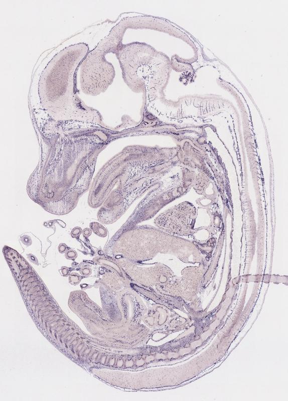
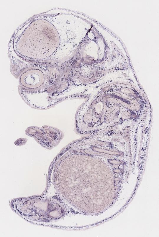
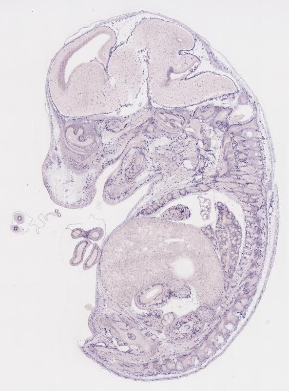
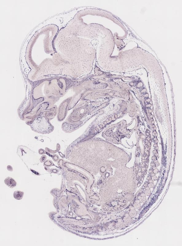
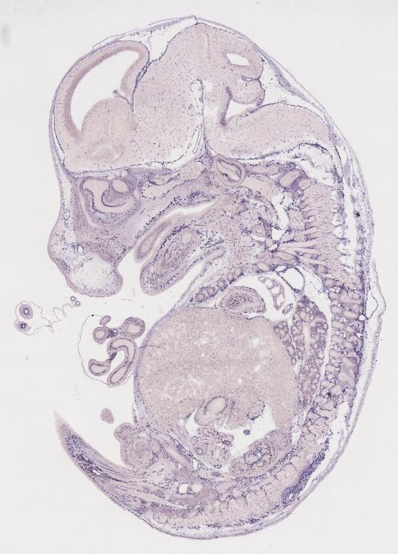
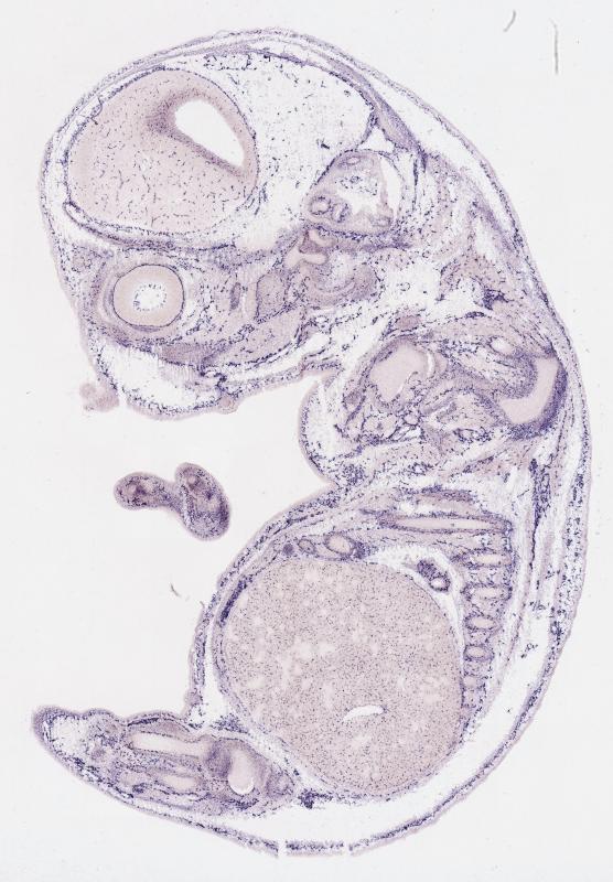
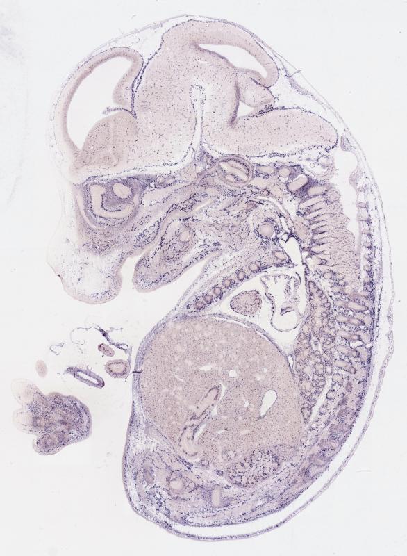
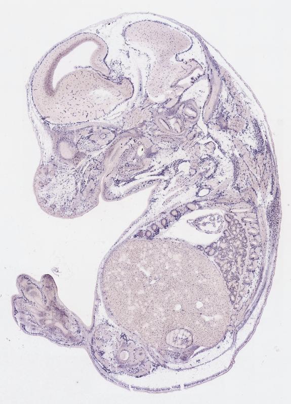
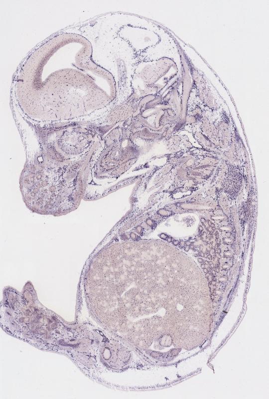
Specimen DA106; Specimen C1374: embryonic day 14.5 (more )
Structure Level Pattern Image Note
TS22: nervous system Strong Regionally restricted Embryo_C1374_6_3A
TS22: central nervous system Strong Regionally restricted Embryo_C1374_6_3A
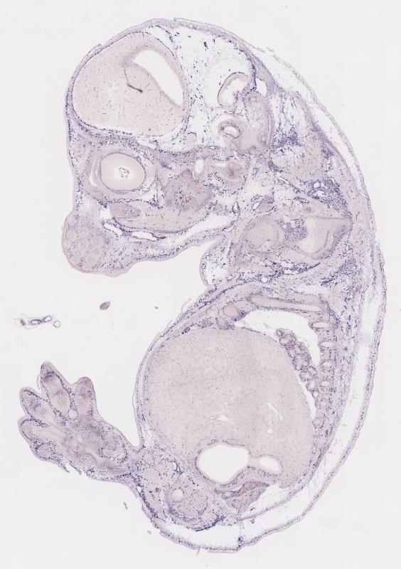
TS22: telencephalon Strong Scattered Embryo_C1374_6_2C
TS22: cerebral cortex Strong Scattered Embryo_C1374_6_2C
TS22: neocortex Strong Scattered Embryo_C1374_6_2C
TS22: olfactory cortex Strong Scattered Embryo_C1374_6_2D
TS22: main olfactory bulb Strong Scattered Embryo_C1374_6_2D
TS22: piriform cortex Strong Scattered Embryo_C1374_6_1D
TS22: hippocampus Strong Scattered Embryo_C1374_6_2C
TS22: basal ganglia Strong Scattered Embryo_C1374_6_3B
TS22: corpus striatum Strong Scattered Embryo_C1374_6_2D Expression was strong in the corpus striatum (lateral ganglionic eminence).
TS22: basal forebrain Strong Scattered Embryo_C1374_6_2D
TS22: amygdala Strong Scattered Embryo_C1374_6_1D
TS22: telencephalon septum Strong Scattered Embryo_C1374_6_3B
TS22: pallidum Strong Scattered Embryo_C1374_6_3B Expression was strong in the pallidum (medial ganglionic eminence).
TS22: diencephalon Strong Scattered Embryo_C1374_6_3A
TS22: thalamus Strong Scattered Embryo_C1374_6_3A
TS22: hypothalamus Strong Scattered Embryo_C1374_6_3A
TS22: midbrain Strong Scattered Embryo_C1374_6_3A
TS22: pretectum Strong Scattered Embryo_C1374_6_3A
TS22: superior colliculus Moderate Scattered Embryo_C1374_6_3A
TS22: inferior colliculus Moderate Scattered Embryo_C1374_6_3A
TS22: midbrain tegmentum Strong Scattered Embryo_C1374_6_3A
TS22: hindbrain Strong Regionally restricted Embryo_C1374_6_3A
TS22: cerebellum Strong Scattered Embryo_C1374_6_3A
TS22: pons Strong Scattered Embryo_C1374_6_3A
TS22: medulla oblongata Strong Regionally restricted Embryo_C1374_6_3A
TS22: spinal cord Strong Scattered Embryo_C1374_6_3C
TS22: choroid plexus Strong Regionally restricted Embryo_C1374_6_3C
TS22: meninges Strong Regionally restricted Embryo_C1374_6_3C
TS22: peripheral nervous system Moderate Scattered Embryo_C1374_6_3A
TS22: cranial ganglion Moderate Scattered Embryo_C1374_6_2C
TS22: dorsal root ganglion Moderate Scattered Embryo_C1374_6_3A
TS22: eye Strong Regionally restricted Embryo_C1374_6_2C
TS22: retina Moderate Regionally restricted Embryo_C1374_6_1A
TS22: lens Absent
TS22: cornea Weak Regionally restricted Embryo_C1374_6_1A
TS22: optic nerve Strong Regionally restricted Embryo_C1374_6_2C
TS22: nose Absent
TS22: olfactory epithelium Absent
TS22: ear Strong Regionally restricted Embryo_C1374_6_1C
TS22: inner ear Strong Regionally restricted Embryo_C1374_6_1C
TS22: cochlea Strong Regionally restricted Embryo_C1374_6_2C
TS22: inner ear labyrinth Strong Regionally restricted Embryo_C1374_6_1C
TS22: middle ear Absent
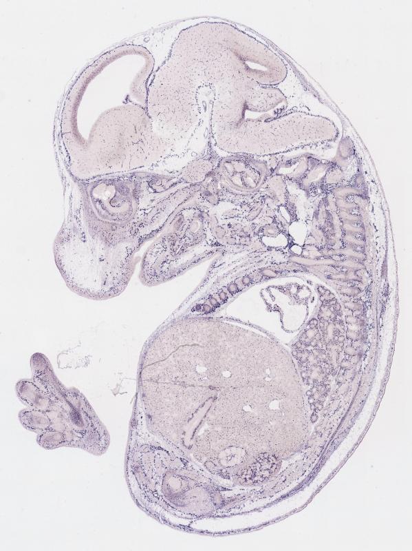
TS22: alimentary system Strong Regionally restricted Embryo_C1374_6_4D Expression was strong in the digestive system.
TS22: intestine Moderate Regionally restricted Embryo_C1374_6_4B
TS22: salivary gland Strong Scattered Embryo_C1374_6_3A
TS22: tongue Moderate Regionally restricted Embryo_C1374_6_4B
TS22: tooth Weak Regionally restricted Embryo_C1374_6_4B
TS22: palatal shelf Strong Regionally restricted Embryo_C1374_6_4D
TS22: esophagus Absent
TS22: stomach Moderate Regionally restricted Embryo_C1374_6_6C
TS22: liver Moderate Regionally restricted Embryo_C1374_6_6C
TS22: respiratory system Strong Regionally restricted Embryo_C1374_6_5B
TS22: pharynx Absent
TS22: larynx Absent
TS22: trachea Absent
TS22: main bronchus Absent
TS22: lung Strong Regionally restricted Embryo_C1374_6_5B
TS22: urinary system Strong Regionally restricted Embryo_C1374_6_6A Expression was strong in the genito-urinary system.
TS22: metanephros Strong Regionally restricted Embryo_C1374_6_5C
TS22: ureter Absent
TS22: bladder Strong Regionally restricted Embryo_C1374_6_4C
TS22: urethra Absent
TS22: reproductive system Strong Regionally restricted Embryo_C1374_6_4C
TS22: genital tubercle Strong Regionally restricted Embryo_C1374_6_4C
TS22: gonad Moderate Regionally restricted Embryo_C1374_6_6B
TS22: gland Strong Regionally restricted Embryo_C1374_6_4C Expression was strong in the endocrine system.
TS22: thyroid gland Strong Regionally restricted Embryo_C1374_6_4C
TS22: pituitary gland Strong Regionally restricted Embryo_C1374_6_4C
TS22: pancreas Strong Regionally restricted Embryo_C1374_6_5C
TS22: adrenal gland Moderate Regionally restricted Embryo_C1374_6_5C
TS22: cardiovascular system Strong Regionally restricted Embryo_C1374_6_4A
TS22: heart Strong Regionally restricted Embryo_C1374_6_4A
TS22: heart atrium Strong Regionally restricted Embryo_C1374_6_4A
TS22: heart ventricle Strong Regionally restricted Embryo_C1374_6_4A
TS22: blood vessel Absent
TS22: hemolymphoid system Strong Regionally restricted Embryo_C1374_6_4C Expression was strong in the immune system.
TS22: spleen primordium Moderate Regionally restricted Embryo_C1374_6_6D
TS22: thymus primordium Strong Regionally restricted Embryo_C1374_6_4C
TS22: appendicular skeleton Moderate Regionally restricted Embryo_C1374_6_6C Expression was detected in the skeleton (limbs, shoulder, hip).
TS22: musculature Strong Scattered Embryo_C1374_6_2A
TS22: face Strong Regionally restricted Embryo_C1374_6_4B Expression was strong in the face/soft tissues.
TS22: facial bone primordium Weak Regionally restricted Embryo_C1374_6_4B
TS22: cranium Weak Regionally restricted Embryo_C1374_6_4B Expression was weak in the skull (base and vault).
TS22: axial skeleton Strong Regionally restricted Embryo_C1374_6_3C
TS22: tail Strong Regionally restricted Embryo_C1374_6_4B
TS22: forelimb Strong Regionally restricted Embryo_C1374_6_1B
TS22: hindlimb Moderate Regionally restricted Embryo_C1374_6_2B
TS22: integumental system Moderate Regionally restricted Embryo_C1374_6_2A
TS22: skin Moderate Regionally restricted Embryo_C1374_6_2A
TS22: hair Moderate Regionally restricted Embryo_C1374_6_2A
TS22: vibrissa follicle Moderate Regionally restricted Embryo_C1374_6_2A Expression was detected in whisker follicle.


Contributing Projects:
Mouse Genome Database (MGD), Gene Expression Database (GXD), Mouse Models of Human Cancer database (MMHCdb) (formerly Mouse Tumor Biology (MTB)), Gene Ontology (GO)
Citing These Resources
Funding Information
Warranty Disclaimer, Privacy Notice, Licensing, & Copyright
Send questions and comments to User Support.
last database update
04/07/2026
MGI 6.24
The Jackson Laboratory