About   Help   FAQ
Gene Expression Data
Assay Details
Assay
Reference: J:122989 Visel A, et al., GenePaint.org: an atlas of gene expression patterns in the mouse embryo. Nucleic Acids Res. 2004 Jan 1;32(Database issue):D552-6
Assay type: RNA in situ
MGI Accession ID: MGI:5422462
Gene symbol: Kit
Gene name: Kit proto-oncogene receptor tyrosine kinase
Probe: T50580
Probe preparation: Antisense labelled with digoxigenin RNA
Visualized with: Alkaline phosphatase
Assay notes: Cryosections of fresh frozen material were fixed in 4% paraformaldehyde for 20 min. before further processing. A tyramide-biotin/streptavidin amplification step was included in the in situ hybridization procedure. These data were downloaded from GenePaint.org on 1/30/12.
Results
Specimen MH1718; Specimen C1827: embryonic day 14.5 (more )
Structure Level Pattern Image Note
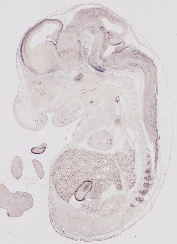
TS22: nervous system Strong Regionally restricted Embryo_C1827_1_3B
TS22: central nervous system Strong Regionally restricted Embryo_C1827_1_3B
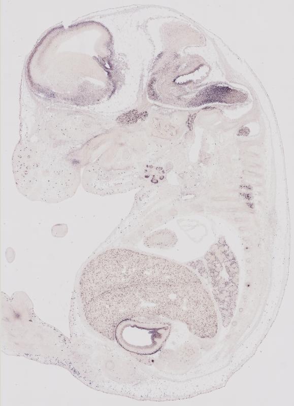
TS22: telencephalon Strong Regionally restricted Embryo_C1827_1_5D
TS22: cerebral cortex Strong Regionally restricted Embryo_C1827_1_5D
TS22: neocortex Moderate Regionally restricted Embryo_C1827_1_3B
TS22: olfactory cortex Strong Regionally restricted Embryo_C1827_1_5D
TS22: main olfactory bulb Strong Regionally restricted Embryo_C1827_1_5D
TS22: piriform cortex Weak Regionally restricted Embryo_C1827_1_2C
TS22: hippocampus Weak Regionally restricted Embryo_C1827_1_3B
TS22: basal ganglia Absent
TS22: corpus striatum Absent Expression was not detected in the corpus striatum (lateral ganglionic eminence).
TS22: basal forebrain Absent
TS22: amygdala Absent
TS22: telencephalon septum Absent
TS22: pallidum Absent Expression was not detected in the pallidum (medial ganglionic eminence).
TS22: diencephalon Absent
TS22: thalamus Absent
TS22: hypothalamus Absent
TS22: midbrain Weak Regionally restricted Embryo_C1827_1_3C
TS22: pretectum Absent
TS22: superior colliculus Absent
TS22: inferior colliculus Absent
TS22: midbrain tegmentum Weak Regionally restricted Embryo_C1827_1_3C
TS22: hindbrain Moderate Regionally restricted Embryo_C1827_1_3A
TS22: cerebellum Moderate Regionally restricted Embryo_C1827_1_3A
TS22: pons Moderate Regionally restricted Embryo_C1827_1_3B
TS22: medulla oblongata Moderate Regionally restricted Embryo_C1827_1_3A
TS22: spinal cord Weak Regionally restricted Embryo_C1827_1_3C
TS22: choroid plexus Moderate Regionally restricted Embryo_C1827_1_3B
TS22: meninges Absent
TS22: peripheral nervous system Moderate Regionally restricted Embryo_C1827_1_3B
TS22: cranial ganglion Moderate Scattered Embryo_C1827_1_3B
TS22: dorsal root ganglion Moderate Scattered Embryo_C1827_1_3B
TS22: eye Absent
TS22: retina Absent
TS22: lens Absent
TS22: cornea Absent
TS22: optic nerve Absent
TS22: nose Moderate Regionally restricted Embryo_C1827_1_5C
TS22: olfactory epithelium Moderate Regionally restricted Embryo_C1827_1_5C
TS22: ear Absent
TS22: inner ear Absent
TS22: cochlea Absent
TS22: inner ear labyrinth Absent
TS22: middle ear Absent
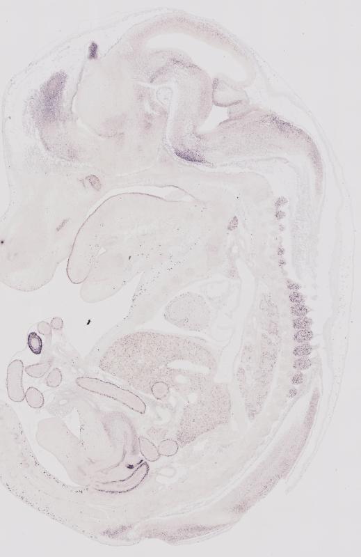
TS22: alimentary system Strong Regionally restricted Embryo_C1827_1_4A Expression was strong in the digestive system.
TS22: intestine Strong Regionally restricted Embryo_C1827_1_4A
TS22: salivary gland Strong Regionally restricted Embryo_C1827_1_5C
TS22: tongue Absent
TS22: tooth Absent
TS22: palatal shelf Absent
TS22: esophagus Absent
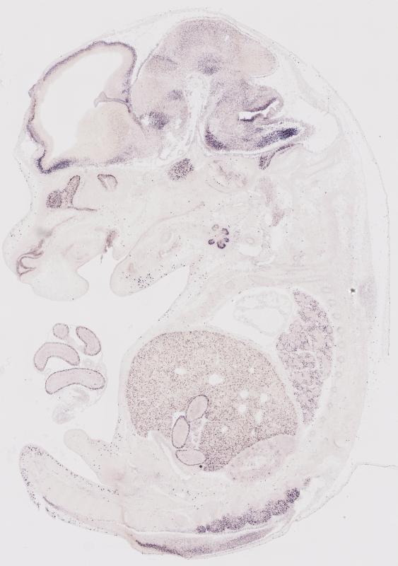
TS22: stomach Moderate Regionally restricted Embryo_C1827_1_2C
TS22: liver Weak Scattered Embryo_C1827_1_5C
TS22: respiratory system Moderate Regionally restricted Embryo_C1827_1_2B
TS22: pharynx Absent
TS22: larynx Absent
TS22: trachea Absent
TS22: main bronchus Absent
TS22: lung Moderate Regionally restricted Embryo_C1827_1_2B
TS22: urinary system Strong Regionally restricted Embryo_C1827_1_4C Expression was strong in the genito-urinary system.
TS22: metanephros Absent
TS22: ureter Strong Regionally restricted Embryo_C1827_1_4D
TS22: bladder Weak Regionally restricted Embryo_C1827_1_4C
TS22: urethra Moderate Regionally restricted Embryo_C1827_1_4C
TS22: reproductive system Absent
TS22: genital tubercle Absent
TS22: gonad Absent
TS22: gland Moderate Regionally restricted Embryo_C1827_1_3C Expression was detected in the endocrine system.
TS22: thyroid gland Moderate Regionally restricted Embryo_C1827_1_3C
TS22: pituitary gland Absent
TS22: pancreas Weak Regionally restricted Embryo_C1827_1_3C
TS22: adrenal gland Absent
TS22: cardiovascular system Absent
TS22: heart Absent
TS22: heart atrium Absent
TS22: heart ventricle Absent
TS22: blood vessel Absent
TS22: hemolymphoid system Weak Scattered Embryo_C1827_1_3C Expression was weak in the immune system.
TS22: spleen primordium Absent
TS22: thymus primordium Weak Scattered Embryo_C1827_1_3C
TS22: appendicular skeleton Absent Expression was not detected in the skeleton (limbs, shoulder, hip).
TS22: musculature Absent
TS22: face Absent Expression was not detected in the face/soft tissues.
TS22: facial bone primordium Absent
TS22: cranium Absent Expression was not detected in the skull (base and vault).
TS22: axial skeleton Absent
TS22: tail Absent
TS22: forelimb Absent
TS22: hindlimb Weak Regionally restricted Embryo_C1827_1_3B
TS22: integumental system Absent
TS22: skin Absent
TS22: hair Absent
TS22: vibrissa follicle Absent Expression was not detected in whisker follicle.


Contributing Projects:
Mouse Genome Database (MGD), Gene Expression Database (GXD), Mouse Models of Human Cancer database (MMHCdb) (formerly Mouse Tumor Biology (MTB)), Gene Ontology (GO)
Citing These Resources
Funding Information
Warranty Disclaimer, Privacy Notice, Licensing, & Copyright
Send questions and comments to User Support.
last database update
03/24/2026
MGI 6.24
The Jackson Laboratory