About   Help   FAQ
Gene Expression Data
Assay Details
Assay
Reference: J:122989 Visel A, et al., GenePaint.org: an atlas of gene expression patterns in the mouse embryo. Nucleic Acids Res. 2004 Jan 1;32(Database issue):D552-6
Assay type: RNA in situ
MGI Accession ID: MGI:5422429
Gene symbol: Cdkn2c
Gene name: cyclin dependent kinase inhibitor 2C
Probe: T50275
Probe preparation: Antisense labelled with digoxigenin RNA
Visualized with: Alkaline phosphatase
Assay notes: Cryosections of fresh frozen material were fixed in 4% paraformaldehyde for 20 min. before further processing. A tyramide-biotin/streptavidin amplification step was included in the in situ hybridization procedure. These data were downloaded from GenePaint.org on 1/30/12.
Results
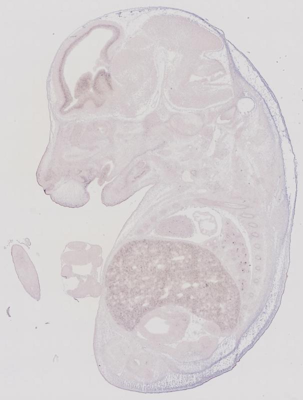
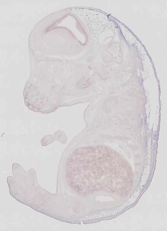
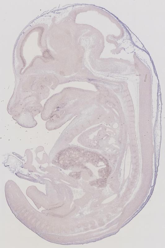
Specimen MH1846; Specimen C1867: embryonic day 14.5 (more )
Structure Level Pattern Image Note
TS22: nervous system Weak Regionally restricted Embryo_C1867_5_2D
TS22: central nervous system Weak Regionally restricted Embryo_C1867_5_2D
TS22: telencephalon Weak Regionally restricted Embryo_C1867_5_2D
TS22: cerebral cortex Weak Regionally restricted Embryo_C1867_5_2D
TS22: neocortex Weak Regionally restricted Embryo_C1867_5_2C
TS22: olfactory cortex Weak Regionally restricted Embryo_C1867_5_2D
TS22: main olfactory bulb Weak Regionally restricted Embryo_C1867_5_2D
TS22: piriform cortex Absent
TS22: hippocampus Weak Scattered Embryo_C1867_5_2C
TS22: basal ganglia Weak Regionally restricted Embryo_C1867_5_2D
TS22: corpus striatum Weak Regionally restricted Embryo_C1867_5_2D Expression was weak in the corpus striatum (lateral ganglionic eminence).
TS22: basal forebrain Absent
TS22: amygdala Absent
TS22: telencephalon septum Weak Regionally restricted Embryo_C1867_5_2D
TS22: pallidum Weak Regionally restricted Embryo_C1867_5_2D Expression was weak in the pallidum (medial ganglionic eminence).
TS22: diencephalon Absent
TS22: thalamus Absent
TS22: hypothalamus Absent
TS22: midbrain Absent
TS22: pretectum Absent
TS22: superior colliculus Absent
TS22: inferior colliculus Absent
TS22: midbrain tegmentum Absent
TS22: hindbrain Absent
TS22: cerebellum Absent
TS22: pons Absent
TS22: medulla oblongata Absent
TS22: spinal cord Absent
TS22: choroid plexus Absent
TS22: meninges Weak Regionally restricted Embryo_C1867_5_6B
TS22: peripheral nervous system Absent
TS22: cranial ganglion Absent
TS22: dorsal root ganglion Absent
TS22: eye Absent
TS22: retina Absent
TS22: lens Absent
TS22: cornea Absent
TS22: optic nerve Absent
TS22: nose Absent
TS22: olfactory epithelium Absent
TS22: ear Absent
TS22: inner ear Absent
TS22: cochlea Absent
TS22: inner ear labyrinth Absent
TS22: middle ear Absent
TS22: alimentary system Weak Regionally restricted Embryo_C1867_5_3C Expression was weak in the digestive system.
TS22: intestine Absent
TS22: salivary gland Absent
TS22: tongue Weak Regionally restricted Embryo_C1867_5_3B
TS22: tooth Absent
TS22: palatal shelf Absent
TS22: esophagus Absent
TS22: stomach Absent
TS22: liver Weak Scattered Embryo_C1867_5_3C
TS22: respiratory system Weak Regionally restricted Embryo_C1867_5_4B
TS22: pharynx Weak Regionally restricted Embryo_C1867_5_4B
TS22: larynx Weak Regionally restricted Embryo_C1867_5_4B
TS22: trachea Absent
TS22: main bronchus Absent
TS22: lung Absent
TS22: urinary system Weak Regionally restricted Embryo_C1867_5_4B Expression was weak in the genito-urinary system.
TS22: metanephros Absent
TS22: ureter Weak Regionally restricted Embryo_C1867_5_4B
TS22: bladder Absent
TS22: urethra Absent
TS22: reproductive system Weak Regionally restricted Embryo_C1867_5_4B
TS22: genital tubercle Weak Regionally restricted Embryo_C1867_5_4B
TS22: gonad Absent
TS22: gland Absent Expression was not detected in the endocrine system.
TS22: thyroid gland Absent
TS22: pituitary gland Absent
TS22: pancreas Absent
TS22: adrenal gland Absent
TS22: cardiovascular system Absent
TS22: heart Absent
TS22: heart atrium Absent
TS22: heart ventricle Absent
TS22: blood vessel Absent
TS22: hemolymphoid system Absent Expression was not detected in the immune system.
TS22: spleen primordium Absent
TS22: thymus primordium Absent
TS22: appendicular skeleton Absent Expression was not detected in the skeleton (limbs, shoulder, hip).
TS22: musculature Absent
TS22: face Absent Expression was not detected in the face/soft tissues.
TS22: facial bone primordium Absent
TS22: cranium Absent Expression was not detected in the skull (base and vault).
TS22: axial skeleton Absent
TS22: tail Absent
TS22: forelimb Absent
TS22: hindlimb Absent
TS22: integumental system Weak Regionally restricted Embryo_C1867_5_1C
TS22: skin Absent
TS22: hair Weak Regionally restricted Embryo_C1867_5_1C
TS22: vibrissa follicle Weak Regionally restricted Embryo_C1867_5_1C Expression was weak in whisker follicle.


Contributing Projects:
Mouse Genome Database (MGD), Gene Expression Database (GXD), Mouse Models of Human Cancer database (MMHCdb) (formerly Mouse Tumor Biology (MTB)), Gene Ontology (GO)
Citing These Resources
Funding Information
Warranty Disclaimer, Privacy Notice, Licensing, & Copyright
Send questions and comments to User Support.
last database update
03/24/2026
MGI 6.24
The Jackson Laboratory