About   Help   FAQ
Gene Expression Data
Assay Details
Assay
Reference: J:122989 Visel A, et al., GenePaint.org: an atlas of gene expression patterns in the mouse embryo. Nucleic Acids Res. 2004 Jan 1;32(Database issue):D552-6
Assay type: RNA in situ
MGI Accession ID: MGI:5422428
Gene symbol: Cdk5
Gene name: cyclin dependent kinase 5
Probe: T50270
Probe preparation: Antisense labelled with digoxigenin RNA
Visualized with: Alkaline phosphatase
Assay notes: Cryosections of fresh frozen material were fixed in 4% paraformaldehyde for 20 min. before further processing. A tyramide-biotin/streptavidin amplification step was included in the in situ hybridization procedure. These data were downloaded from GenePaint.org on 1/30/12.
Results
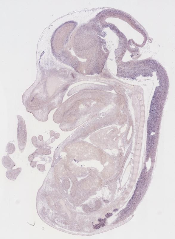
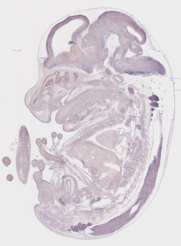
Specimen DC43; Specimen C1373: embryonic day 14.5 (more )
Structure Level Pattern Image Note
TS22: nervous system Strong Regionally restricted Embryo_C1373_1_3A
TS22: central nervous system Moderate Regionally restricted Embryo_C1373_1_3A
TS22: telencephalon Moderate Regionally restricted Embryo_C1373_1_3A
TS22: cerebral cortex Moderate Regionally restricted Embryo_C1373_1_3A
TS22: neocortex Moderate Regionally restricted Embryo_C1373_1_3B
TS22: olfactory cortex Moderate Regionally restricted Embryo_C1373_1_3A
TS22: main olfactory bulb Moderate Regionally restricted Embryo_C1373_1_3A
TS22: piriform cortex Weak Regionally restricted Embryo_C1373_1_2C
TS22: hippocampus Moderate Regionally restricted Embryo_C1373_1_2C
TS22: basal ganglia Moderate Regionally restricted Embryo_C1373_1_4C
TS22: corpus striatum Weak Regionally restricted Embryo_C1373_1_3A Expression was weak in the corpus striatum (lateral ganglionic eminence).
TS22: basal forebrain Weak Regionally restricted Embryo_C1373_1_3C
TS22: amygdala Weak Regionally restricted Embryo_C1373_1_2C
TS22: telencephalon septum Moderate Regionally restricted Embryo_C1373_1_4C
TS22: pallidum Weak Regionally restricted Embryo_C1373_1_3B Expression was weak in the pallidum (medial ganglionic eminence).
TS22: diencephalon Moderate Regionally restricted Embryo_C1373_1_4C
TS22: thalamus Weak Regionally restricted Embryo_C1373_1_4C
TS22: hypothalamus Moderate Regionally restricted Embryo_C1373_1_4C
TS22: midbrain Moderate Regionally restricted Embryo_C1373_1_4B
TS22: pretectum Weak Regionally restricted Embryo_C1373_1_4B
TS22: superior colliculus Weak Regionally restricted Embryo_C1373_1_4B
TS22: inferior colliculus Weak Regionally restricted Embryo_C1373_1_4B
TS22: midbrain tegmentum Moderate Regionally restricted Embryo_C1373_1_4B
TS22: hindbrain Moderate Regionally restricted Embryo_C1373_1_4C
TS22: cerebellum Weak Regionally restricted Embryo_C1373_1_5C
TS22: pons Weak Regionally restricted Embryo_C1373_1_4C
TS22: medulla oblongata Moderate Regionally restricted Embryo_C1373_1_4C
TS22: spinal cord Moderate Regionally restricted Embryo_C1373_1_4A
TS22: choroid plexus Moderate Regionally restricted Embryo_C1373_1_3B
TS22: meninges Absent
TS22: peripheral nervous system Strong Regionally restricted Embryo_C1373_1_3A
TS22: cranial ganglion Moderate Regionally restricted Embryo_C1373_1_6A
TS22: dorsal root ganglion Strong Regionally restricted Embryo_C1373_1_3A
TS22: eye Moderate Regionally restricted Embryo_C1373_1_1B
TS22: retina Moderate Regionally restricted Embryo_C1373_1_1B
TS22: lens Weak Regionally restricted Embryo_C1373_1_1A
TS22: optic nerve Absent
TS22: nose Weak Regionally restricted Embryo_C1373_1_3B
TS22: olfactory epithelium Weak Regionally restricted Embryo_C1373_1_3B
TS22: ear Weak Regionally restricted Embryo_C1373_1_3C
TS22: inner ear Weak Regionally restricted Embryo_C1373_1_3C
TS22: cochlea Weak Regionally restricted Embryo_C1373_1_3C
TS22: inner ear labyrinth Weak Regionally restricted Embryo_C1373_1_1C
TS22: middle ear Absent
TS22: alimentary system Moderate Regionally restricted Embryo_C1373_1_5C Expression was detected in the digestive system.
TS22: intestine Weak Regionally restricted Embryo_C1373_1_3B
TS22: salivary gland Moderate Regionally restricted Embryo_C1373_1_5C
TS22: tongue Weak Regionally restricted Embryo_C1373_1_4C
TS22: tooth Weak Regionally restricted Embryo_C1373_1_3B
TS22: palatal shelf Weak Regionally restricted Embryo_C1373_1_4A
TS22: esophagus Absent
TS22: stomach Weak Regionally restricted Embryo_C1373_1_6A
TS22: liver Absent
TS22: respiratory system Weak Regionally restricted Embryo_C1373_1_3A
TS22: pharynx Absent
TS22: larynx Absent
TS22: trachea Absent
TS22: main bronchus Absent
TS22: lung Weak Regionally restricted Embryo_C1373_1_3A
TS22: urinary system Moderate Regionally restricted Embryo_C1373_1_1B Expression was detected in the genito-urinary system.
TS22: metanephros Weak Regionally restricted Embryo_C1373_1_2A
TS22: ureter Absent
TS22: bladder Weak Regionally restricted Embryo_C1373_1_3C
TS22: urethra Absent
TS22: reproductive system Moderate Regionally restricted Embryo_C1373_1_1B
TS22: genital tubercle Weak Regionally restricted Embryo_C1373_1_3C
TS22: gonad Moderate Regionally restricted Embryo_C1373_1_1B
TS22: gland Weak Regionally restricted Embryo_C1373_1_4A Expression was weak in the endocrine system.
TS22: thyroid gland Weak Regionally restricted Embryo_C1373_1_3D
TS22: pituitary gland Weak Regionally restricted Embryo_C1373_1_4A
TS22: pancreas Absent
TS22: adrenal gland Weak Regionally restricted Embryo_C1373_1_4C
TS22: cardiovascular system Weak Regionally restricted Embryo_C1373_1_4B
TS22: heart Weak Regionally restricted Embryo_C1373_1_4B
TS22: heart atrium Absent
TS22: heart ventricle Weak Regionally restricted Embryo_C1373_1_4B
TS22: blood vessel Absent
TS22: hemolymphoid system Absent Expression was not detected in the immune system.
TS22: spleen primordium Absent
TS22: thymus primordium Absent
TS22: appendicular skeleton Weak Regionally restricted Embryo_C1373_1_5B Expression was weak in the skeleton (limbs, shoulder, hip).
TS22: musculature Absent
TS22: face Weak Regionally restricted Embryo_C1373_1_3A Expression was weak in the face/soft tissues.
TS22: facial bone primordium Absent
TS22: cranium Absent Expression was not detected in the skull (base and vault).
TS22: axial skeleton Absent
TS22: tail Weak Regionally restricted Embryo_C1373_1_3B
TS22: forelimb Weak Regionally restricted Embryo_C1373_1_6C
TS22: hindlimb Weak Regionally restricted Embryo_C1373_1_6B
TS22: integumental system Weak Regionally restricted Embryo_C1373_1_4C
TS22: skin Weak Regionally restricted Embryo_C1373_1_4C
TS22: hair Absent
TS22: vibrissa follicle Absent Expression was not detected in whisker follicle.


Contributing Projects:
Mouse Genome Database (MGD), Gene Expression Database (GXD), Mouse Models of Human Cancer database (MMHCdb) (formerly Mouse Tumor Biology (MTB)), Gene Ontology (GO)
Citing These Resources
Funding Information
Warranty Disclaimer, Privacy Notice, Licensing, & Copyright
Send questions and comments to User Support.
last database update
03/24/2026
MGI 6.24
The Jackson Laboratory