About   Help   FAQ
Gene Expression Data
Assay Details
Assay
Reference: J:122989 Visel A, et al., GenePaint.org: an atlas of gene expression patterns in the mouse embryo. Nucleic Acids Res. 2004 Jan 1;32(Database issue):D552-6
Assay type: RNA in situ
MGI Accession ID: MGI:5422425
Gene symbol: Csnk2a1
Gene name: casein kinase 2, alpha 1 polypeptide
Probe: T50205
Probe preparation: Antisense labelled with digoxigenin RNA
Visualized with: Alkaline phosphatase
Assay notes: Cryosections of fresh frozen material were fixed in 4% paraformaldehyde for 20 min. before further processing. A tyramide-biotin/streptavidin amplification step was included in the in situ hybridization procedure. These data were downloaded from GenePaint.org on 1/30/12.
Results
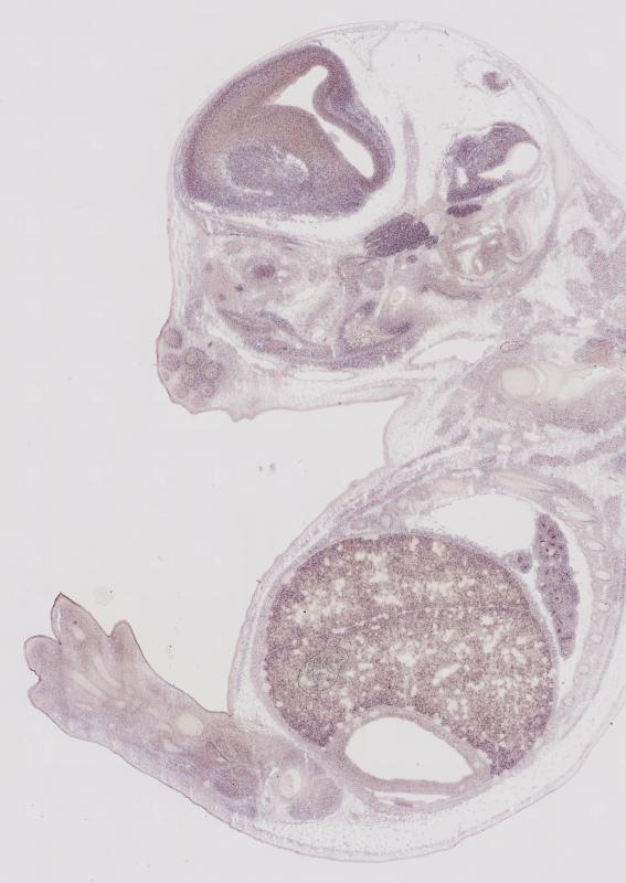
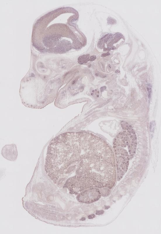
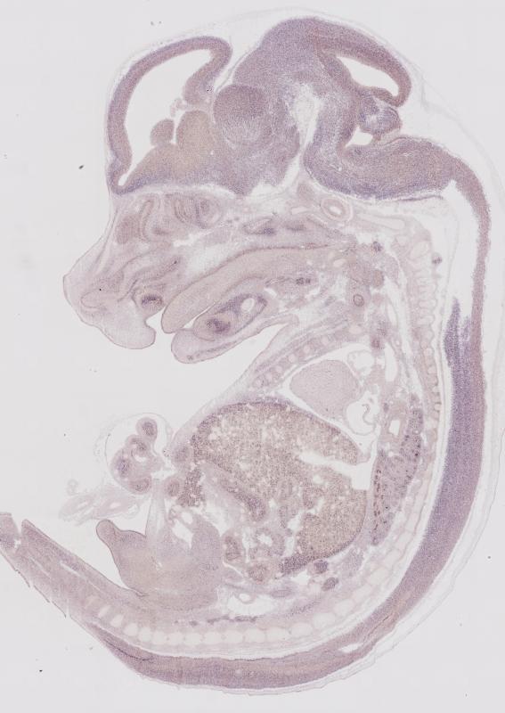
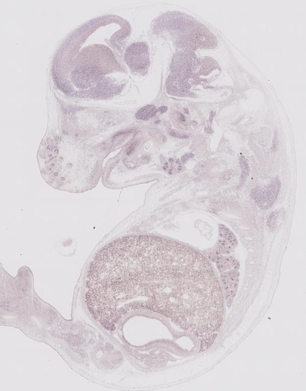
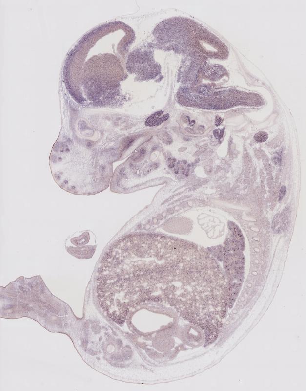
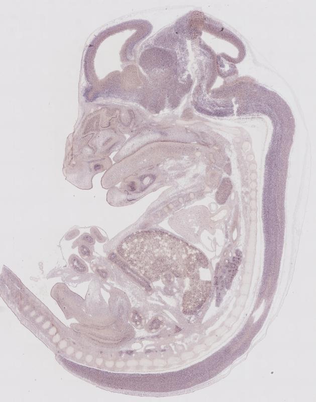
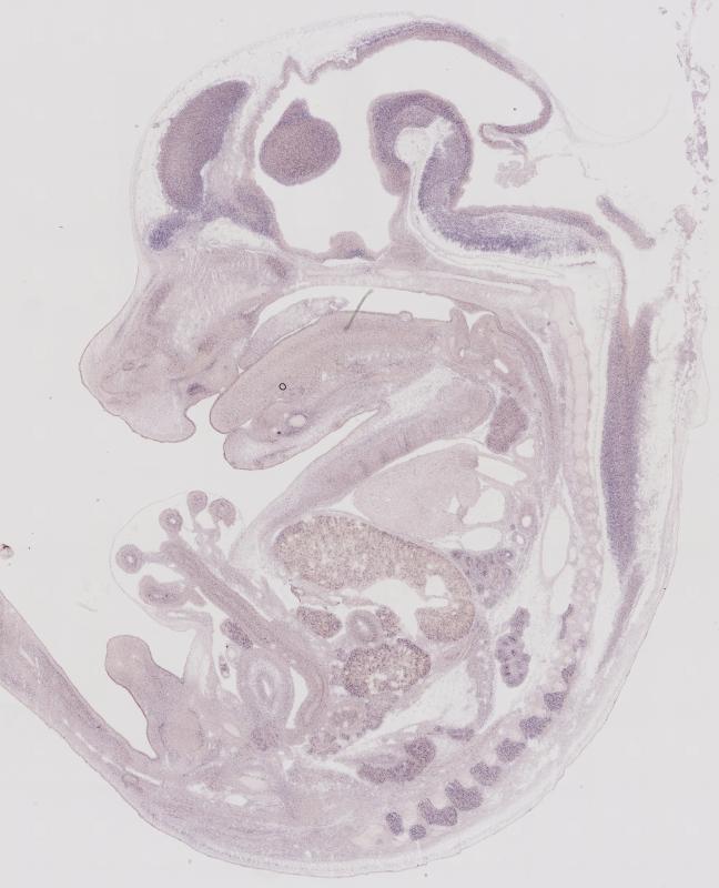
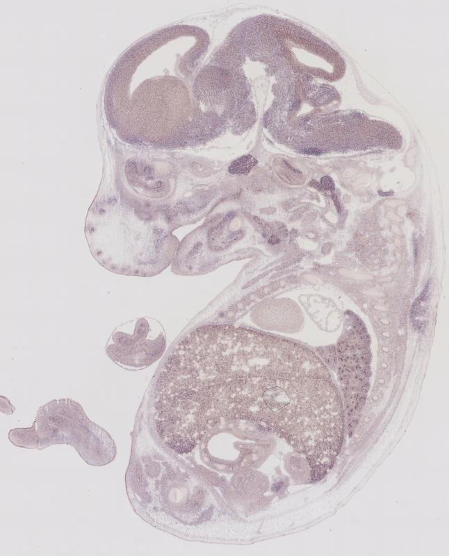
Specimen MH1804; Specimen C1923: embryonic day 14.5 (more )
Structure Level Pattern Image Note
TS22: nervous system Moderate Regionally restricted Embryo_C1923_2_4A
TS22: central nervous system Moderate Regionally restricted Embryo_C1923_2_3A
TS22: telencephalon Moderate Regionally restricted Embryo_C1923_2_3A
TS22: cerebral cortex Moderate Regionally restricted Embryo_C1923_2_3A
TS22: neocortex Moderate Regionally restricted Embryo_C1923_2_3A
TS22: olfactory cortex Moderate Regionally restricted Embryo_C1923_2_4A
TS22: main olfactory bulb Moderate Regionally restricted Embryo_C1923_2_4A
TS22: piriform cortex Weak Regionally restricted Embryo_C1923_2_2B
TS22: hippocampus Moderate Regionally restricted Embryo_C1923_2_3A
TS22: basal ganglia Moderate Regionally restricted Embryo_C1923_2_2B
TS22: corpus striatum Weak Regionally restricted Embryo_C1923_2_6C Expression was weak in the corpus striatum (lateral ganglionic eminence).
TS22: basal forebrain Weak Regionally restricted Embryo_C1923_2_4A
TS22: amygdala Moderate Regionally restricted Embryo_C1923_2_2B
TS22: telencephalon septum Weak Regionally restricted Embryo_C1923_2_5C
TS22: pallidum Absent Expression was not detected in the pallidum (medial ganglionic eminence).
TS22: diencephalon Moderate Regionally restricted Embryo_C1923_2_5A
TS22: thalamus Moderate Regionally restricted Embryo_C1923_2_5A
TS22: hypothalamus Moderate Regionally restricted Embryo_C1923_2_5A
TS22: midbrain Moderate Regionally restricted Embryo_C1923_2_4A
TS22: pretectum Moderate Regionally restricted Embryo_C1923_2_5A
TS22: superior colliculus Weak Regionally restricted Embryo_C1923_2_4A
TS22: inferior colliculus Weak Regionally restricted Embryo_C1923_2_4A
TS22: midbrain tegmentum Moderate Regionally restricted Embryo_C1923_2_4A
TS22: hindbrain Moderate Regionally restricted Embryo_C1923_2_5C
TS22: cerebellum Weak Regionally restricted Embryo_C1923_2_5B
TS22: pons Moderate Regionally restricted Embryo_C1923_2_5C
TS22: medulla oblongata Moderate Regionally restricted Embryo_C1923_2_5C
TS22: spinal cord Moderate Regionally restricted Embryo_C1923_2_5B
TS22: choroid plexus Absent
TS22: meninges Absent
TS22: peripheral nervous system Moderate Regionally restricted Embryo_C1923_2_3D
TS22: cranial ganglion Moderate Regionally restricted Embryo_C1923_2_3B
TS22: dorsal root ganglion Moderate Regionally restricted Embryo_C1923_2_3D
TS22: eye Moderate Regionally restricted Embryo_C1923_2_1C
TS22: retina Moderate Regionally restricted Embryo_C1923_2_1C
TS22: lens Moderate Regionally restricted Embryo_C1923_2_1C
TS22: cornea Absent
TS22: optic nerve Absent
TS22: nose Moderate Regionally restricted Embryo_C1923_2_5C
TS22: olfactory epithelium Moderate Regionally restricted Embryo_C1923_2_5C
TS22: ear Weak Regionally restricted Embryo_C1923_2_6A
TS22: inner ear Weak Regionally restricted Embryo_C1923_2_6A
TS22: cochlea Absent
TS22: inner ear labyrinth Weak Regionally restricted Embryo_C1923_2_6A
TS22: middle ear Weak Regionally restricted Embryo_C1923_2_2D
TS22: alimentary system Moderate Regionally restricted Embryo_C1923_2_5B Expression was detected in the digestive system.
TS22: intestine Moderate Regionally restricted Embryo_C1923_2_5B
TS22: salivary gland Moderate Regionally restricted Embryo_C1923_2_6C
TS22: tongue Weak Regionally restricted Embryo_C1923_2_4C
TS22: tooth Moderate Regionally restricted Embryo_C1923_2_5B
TS22: palatal shelf Absent
TS22: esophagus Absent
TS22: stomach Absent
TS22: liver Moderate Regionally restricted Embryo_C1923_2_2A
TS22: respiratory system Moderate Regionally restricted Embryo_C1923_2_3B
TS22: pharynx Absent
TS22: larynx Absent
TS22: trachea Absent
TS22: main bronchus Absent
TS22: lung Moderate Regionally restricted Embryo_C1923_2_3B
TS22: urinary system Weak Regionally restricted Embryo_C1923_2_5B Expression was weak in the genito-urinary system.
TS22: metanephros Weak Regionally restricted Embryo_C1923_2_6A
TS22: ureter Weak Regionally restricted Embryo_C1923_2_5B
TS22: bladder Absent
TS22: urethra Weak Regionally restricted Embryo_C1923_2_5A
TS22: reproductive system Weak Regionally restricted Embryo_C1923_2_5B
TS22: genital tubercle Weak Regionally restricted Embryo_C1923_2_5B
TS22: gonad Absent
TS22: gland Weak Regionally restricted Embryo_C1923_2_4A Expression was weak in the endocrine system.
TS22: thyroid gland Weak Regionally restricted Embryo_C1923_2_4A
TS22: pituitary gland Weak Regionally restricted Embryo_C1923_2_4A
TS22: pancreas Absent
TS22: adrenal gland Absent
TS22: cardiovascular system Absent
TS22: heart Absent
TS22: heart atrium Absent
TS22: heart ventricle Absent
TS22: blood vessel Absent
TS22: hemolymphoid system Weak Regionally restricted Embryo_C1923_2_4A Expression was weak in the immune system.
TS22: spleen primordium Absent
TS22: thymus primordium Weak Regionally restricted Embryo_C1923_2_4A
TS22: appendicular skeleton Absent Expression was not detected in the skeleton (limbs, shoulder, hip).
TS22: musculature Weak Regionally restricted Embryo_C1923_2_3A
TS22: face Absent Expression was not detected in the face/soft tissues.
TS22: facial bone primordium Absent
TS22: cranium Absent Expression was not detected in the skull (base and vault).
TS22: axial skeleton Absent
TS22: tail Weak Regionally restricted Embryo_C1923_2_5A
TS22: forelimb Weak Regionally restricted Embryo_C1923_2_2A
TS22: hindlimb Weak Regionally restricted Embryo_C1923_2_1A
TS22: integumental system Moderate Regionally restricted Embryo_C1923_2_2D
TS22: skin Absent
TS22: hair Moderate Regionally restricted Embryo_C1923_2_2D
TS22: vibrissa follicle Moderate Regionally restricted Embryo_C1923_2_2D Expression was detected in whisker follicle.


Contributing Projects:
Mouse Genome Database (MGD), Gene Expression Database (GXD), Mouse Models of Human Cancer database (MMHCdb) (formerly Mouse Tumor Biology (MTB)), Gene Ontology (GO)
Citing These Resources
Funding Information
Warranty Disclaimer, Privacy Notice, Licensing, & Copyright
Send questions and comments to User Support.
last database update
04/07/2026
MGI 6.24
The Jackson Laboratory