About   Help   FAQ
Gene Expression Data
Assay Details
Assay
Reference: J:122989 Visel A, et al., GenePaint.org: an atlas of gene expression patterns in the mouse embryo. Nucleic Acids Res. 2004 Jan 1;32(Database issue):D552-6
Assay type: RNA in situ
MGI Accession ID: MGI:5422422
Gene symbol: Bub1b
Gene name: BUB1B, mitotic checkpoint serine/threonine kinase
Probe: T50163
Probe preparation: Antisense labelled with digoxigenin RNA
Visualized with: Alkaline phosphatase
Assay notes: Cryosections of fresh frozen material were fixed in 4% paraformaldehyde for 20 min. before further processing. A tyramide-biotin/streptavidin amplification step was included in the in situ hybridization procedure. These data were downloaded from GenePaint.org on 1/30/12.
Results
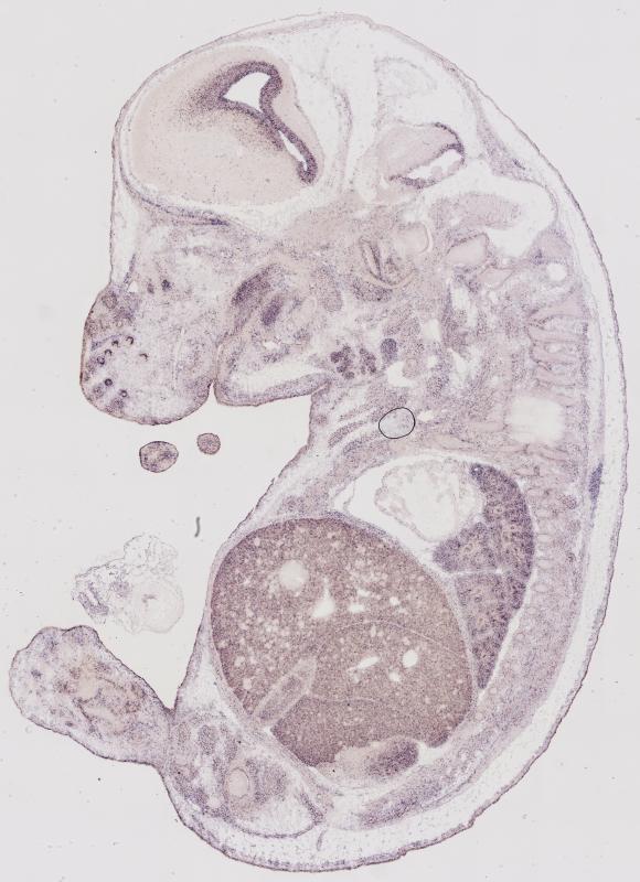
Specimen MH1733; Specimen C1818: embryonic day 14.5 (more )
Structure Level Pattern Image Note
TS22: nervous system Moderate Regionally restricted Embryo_C1818_6_4C
TS22: central nervous system Moderate Regionally restricted Embryo_C1818_6_4C
TS22: telencephalon Moderate Regionally restricted Embryo_C1818_6_4C
TS22: cerebral cortex Moderate Regionally restricted Embryo_C1818_6_4C
TS22: neocortex Moderate Regionally restricted Embryo_C1818_6_4C
TS22: olfactory cortex Moderate Regionally restricted Embryo_C1818_6_4C
TS22: main olfactory bulb Moderate Regionally restricted Embryo_C1818_6_4C
TS22: piriform cortex Weak Scattered Embryo_C1818_6_5A
TS22: hippocampus Moderate Regionally restricted Embryo_C1818_6_4C
TS22: basal ganglia Moderate Regionally restricted Embryo_C1818_6_4C
TS22: corpus striatum Moderate Regionally restricted Embryo_C1818_6_4C Expression was detected in the corpus striatum (lateral ganglionic eminence).
TS22: basal forebrain Absent
TS22: amygdala Absent
TS22: telencephalon septum Moderate Regionally restricted Embryo_C1818_6_4C
TS22: pallidum Moderate Regionally restricted Embryo_C1818_6_4C Expression was detected in the pallidum (medial ganglionic eminence).
TS22: diencephalon Weak Scattered Embryo_C1818_6_4C
TS22: thalamus Weak Scattered Embryo_C1818_6_4C
TS22: hypothalamus Weak Scattered Embryo_C1818_6_4C
TS22: midbrain Moderate Regionally restricted Embryo_C1818_6_4C
TS22: pretectum Weak Scattered Embryo_C1818_6_4C
TS22: superior colliculus Moderate Regionally restricted Embryo_C1818_6_4C
TS22: inferior colliculus Moderate Regionally restricted Embryo_C1818_6_4C
TS22: midbrain tegmentum Weak Scattered Embryo_C1818_6_4C
TS22: hindbrain Weak Regionally restricted Embryo_C1818_6_5A
TS22: cerebellum Weak Regionally restricted Embryo_C1818_6_5A
TS22: pons Weak Scattered Embryo_C1818_6_5A
TS22: medulla oblongata Weak Scattered Embryo_C1818_6_4C
TS22: spinal cord Weak Scattered Embryo_C1818_6_4C
TS22: choroid plexus Weak Scattered Embryo_C1818_6_3A
TS22: meninges Weak Regionally restricted Embryo_C1818_6_2B
TS22: peripheral nervous system Absent
TS22: cranial ganglion Absent
TS22: dorsal root ganglion Absent
TS22: eye Weak Regionally restricted Embryo_C1818_6_6C
TS22: retina Weak Regionally restricted Embryo_C1818_6_6C
TS22: lens Absent
TS22: cornea Absent
TS22: optic nerve Weak Regionally restricted Embryo_C1818_6_2B
TS22: nose Moderate Scattered Embryo_C1818_6_4C
TS22: olfactory epithelium Moderate Scattered Embryo_C1818_6_4C
TS22: ear Weak Regionally restricted Embryo_C1818_6_6B
TS22: inner ear Weak Scattered Embryo_C1818_6_6A
TS22: cochlea Weak Scattered Embryo_C1818_6_6B
TS22: inner ear labyrinth Weak Scattered Embryo_C1818_6_6B
TS22: middle ear Absent
TS22: alimentary system Moderate Regionally restricted Embryo_C1818_6_5A Expression was detected in the digestive system.
TS22: intestine Moderate Regionally restricted Embryo_C1818_6_5A
TS22: salivary gland Moderate Regionally restricted Embryo_C1818_6_3B
TS22: tongue Weak Scattered Embryo_C1818_6_4A
TS22: tooth Weak Regionally restricted Embryo_C1818_6_3D
TS22: palatal shelf Weak Scattered Embryo_C1818_6_3C
TS22: esophagus Weak Scattered Embryo_C1818_6_4C
TS22: stomach Weak Regionally restricted Embryo_C1818_6_2C
TS22: liver Weak Scattered Embryo_C1818_6_3C
TS22: respiratory system Moderate Regionally restricted Embryo_C1818_6_3B
TS22: pharynx Weak Regionally restricted Embryo_C1818_6_3C
TS22: larynx Weak Regionally restricted Embryo_C1818_6_4C
TS22: trachea Weak Scattered Embryo_C1818_6_4C
TS22: main bronchus Absent
TS22: lung Moderate Regionally restricted Embryo_C1818_6_3B
TS22: urinary system Moderate Regionally restricted Embryo_C1818_6_5A Expression was detected in the genito-urinary system.
TS22: metanephros Moderate Regionally restricted Embryo_C1818_6_5A
TS22: ureter Absent
TS22: bladder Weak Regionally restricted Embryo_C1818_6_4A
TS22: urethra Moderate Scattered Embryo_C1818_6_4A
TS22: reproductive system Weak Regionally restricted Embryo_C1818_6_5A
TS22: genital tubercle Weak Regionally restricted Embryo_C1818_6_4A
TS22: gonad Absent
TS22: gland Moderate Regionally restricted Embryo_C1818_6_4A Expression was detected in the endocrine system.
TS22: thyroid gland Moderate Regionally restricted Embryo_C1818_6_4A
TS22: pituitary gland Moderate Regionally restricted Embryo_C1818_6_4B
TS22: pancreas Weak Regionally restricted Embryo_C1818_6_3A
TS22: adrenal gland Weak Scattered Embryo_C1818_6_3A
TS22: cardiovascular system Weak Regionally restricted Embryo_C1818_6_5A
TS22: heart Weak Scattered Embryo_C1818_6_5A
TS22: heart atrium Weak Scattered Embryo_C1818_6_5A
TS22: heart ventricle Weak Regionally restricted Embryo_C1818_6_5A
TS22: blood vessel Weak Scattered Embryo_C1818_6_5A
TS22: hemolymphoid system Moderate Regionally restricted Embryo_C1818_6_4A Expression was detected in the immune system.
TS22: spleen primordium Weak Scattered Embryo_C1818_6_2A
TS22: thymus primordium Moderate Regionally restricted Embryo_C1818_6_4A
TS22: appendicular skeleton Absent Expression was not detected in the skeleton (limbs, shoulder, hip).
TS22: musculature Moderate Regionally restricted Embryo_C1818_6_2C
TS22: face Weak Scattered Embryo_C1818_6_5C Expression was weak in the face/soft tissues.
TS22: facial bone primordium Weak Scattered Embryo_C1818_6_4B
TS22: cranium Absent Expression was not detected in the skull (base and vault).
TS22: axial skeleton Absent
TS22: tail Weak Regionally restricted Embryo_C1818_6_4A
TS22: forelimb Weak Regionally restricted Embryo_C1818_6_6D
TS22: hindlimb Weak Regionally restricted Embryo_C1818_6_6D
TS22: integumental system Moderate Regionally restricted Embryo_C1818_6_6A
TS22: skin Weak Regionally restricted Embryo_C1818_6_6A
TS22: hair Weak Regionally restricted Embryo_C1818_6_6A
TS22: vibrissa follicle Moderate Regionally restricted Embryo_C1818_6_6A Expression was detected in whisker follicle.


Contributing Projects:
Mouse Genome Database (MGD), Gene Expression Database (GXD), Mouse Models of Human Cancer database (MMHCdb) (formerly Mouse Tumor Biology (MTB)), Gene Ontology (GO)
Citing These Resources
Funding Information
Warranty Disclaimer, Privacy Notice, Licensing, & Copyright
Send questions and comments to User Support.
last database update
03/24/2026
MGI 6.24
The Jackson Laboratory