About   Help   FAQ
Gene Expression Data
Assay Details
Assay
Reference: J:122989 Visel A, et al., GenePaint.org: an atlas of gene expression patterns in the mouse embryo. Nucleic Acids Res. 2004 Jan 1;32(Database issue):D552-6
Assay type: RNA in situ
MGI Accession ID: MGI:5422413
Gene symbol: Acsl5
Gene name: acyl-CoA synthetase long-chain family member 5
Probe: T50063
Probe preparation: Antisense labelled with digoxigenin RNA
Visualized with: Alkaline phosphatase
Assay notes: Cryosections of fresh frozen material were fixed in 4% paraformaldehyde for 20 min. before further processing. A tyramide-biotin/streptavidin amplification step was included in the in situ hybridization procedure. These data were downloaded from GenePaint.org on 1/30/12.
Results
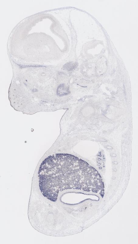
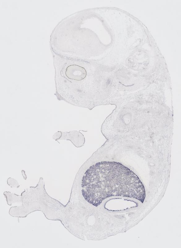
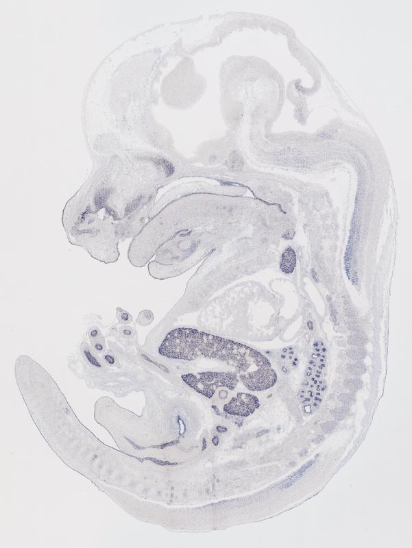
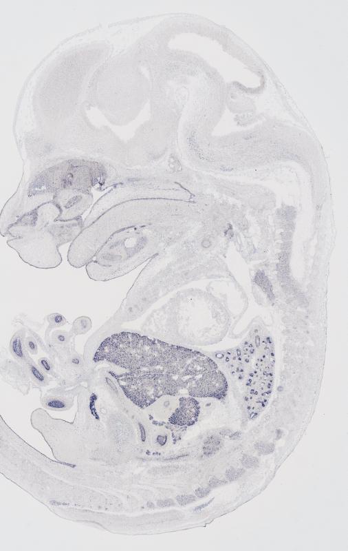
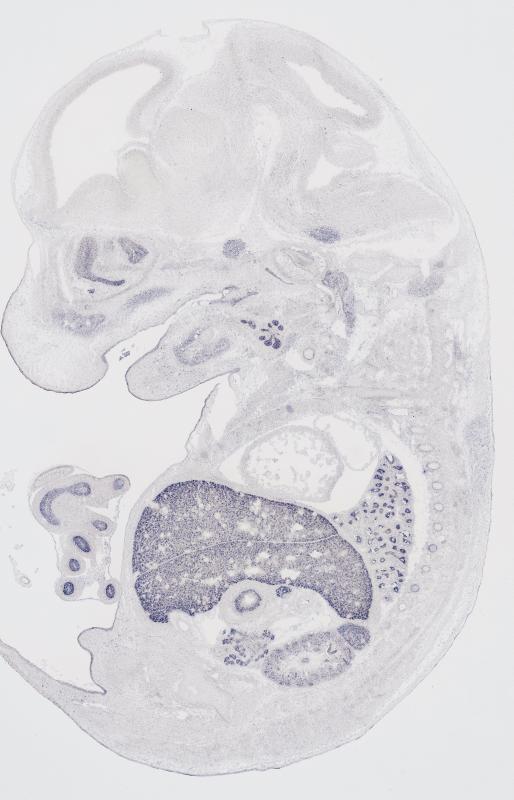
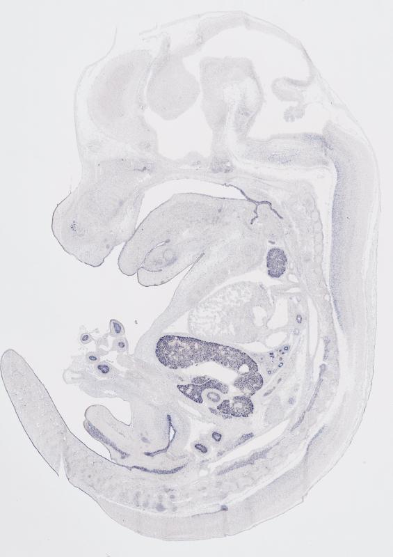
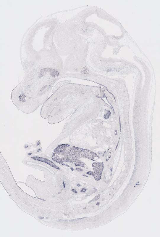
Specimen MH2116; Specimen C2248: embryonic day 14.5 (more )
Structure Level Pattern Image Note
TS22: nervous system Strong Regionally restricted Embryo_C2248_4_3A
TS22: central nervous system Weak Regionally restricted Embryo_C2248_4_3D
TS22: telencephalon Absent
TS22: cerebral cortex Absent
TS22: neocortex Absent
TS22: olfactory cortex Absent
TS22: main olfactory bulb Absent
TS22: piriform cortex Absent
TS22: hippocampus Absent
TS22: basal ganglia Absent
TS22: corpus striatum Absent Expression was not detected in the corpus striatum (lateral ganglionic eminence).
TS22: basal forebrain Absent
TS22: amygdala Absent
TS22: telencephalon septum Absent
TS22: pallidum Absent Expression was not detected in the pallidum (medial ganglionic eminence).
TS22: diencephalon Absent
TS22: thalamus Absent
TS22: hypothalamus Absent
TS22: midbrain Weak Regionally restricted Embryo_C2248_4_3D
TS22: pretectum Absent
TS22: superior colliculus Absent
TS22: inferior colliculus Weak Regionally restricted Embryo_C2248_4_3D
TS22: midbrain tegmentum Absent
TS22: hindbrain Weak Regionally restricted Embryo_C2248_4_3D
TS22: cerebellum Absent
TS22: pons Weak Regionally restricted Embryo_C2248_4_3D
TS22: medulla oblongata Absent
TS22: spinal cord Moderate Regionally restricted Embryo_C2248_4_4A
TS22: choroid plexus Absent
TS22: meninges Absent
TS22: peripheral nervous system Moderate Ubiquitous Embryo_C2248_4_5D
TS22: cranial ganglion Moderate Ubiquitous Embryo_C2248_4_3A
TS22: dorsal root ganglion Weak Ubiquitous Embryo_C2248_4_5D
TS22: eye Absent
TS22: retina Absent
TS22: lens Absent
TS22: cornea Absent
TS22: optic nerve Absent
TS22: nose Strong Regionally restricted Embryo_C2248_4_3A
TS22: olfactory epithelium Strong Regionally restricted Embryo_C2248_4_3A
TS22: ear Moderate Regionally restricted Embryo_C2248_4_1C
TS22: inner ear Moderate Regionally restricted Embryo_C2248_4_1C
TS22: cochlea Absent
TS22: inner ear labyrinth Moderate Regionally restricted Embryo_C2248_4_3A
TS22: middle ear Moderate Ubiquitous Embryo_C2248_4_1C
TS22: alimentary system Strong Regionally restricted Embryo_C2248_4_3A Expression was strong in the digestive system.
TS22: intestine Strong Regionally restricted Embryo_C2248_4_3A
TS22: salivary gland Strong Ubiquitous Embryo_C2248_4_3A
TS22: tongue Strong Regionally restricted Embryo_C2248_4_3D
TS22: tooth Absent
TS22: palatal shelf Strong Regionally restricted Embryo_C2248_4_3D
TS22: esophagus Strong Regionally restricted Embryo_C2248_4_4C
TS22: stomach Strong Regionally restricted Embryo_C2248_4_3A
TS22: liver Strong Ubiquitous Embryo_C2248_4_3A
TS22: respiratory system Strong Regionally restricted Embryo_C2248_4_3B
TS22: pharynx Strong Regionally restricted Embryo_C2248_4_4A
TS22: larynx Strong Regionally restricted Embryo_C2248_4_4C
TS22: trachea Strong Regionally restricted Embryo_C2248_4_4C
TS22: main bronchus Weak Regionally restricted Embryo_C2248_4_3D
TS22: lung Strong Regionally restricted Embryo_C2248_4_3B
TS22: urinary system Strong Regionally restricted Embryo_C2248_4_4B Expression was strong in the genito-urinary system.
TS22: metanephros Moderate Regionally restricted Embryo_C2248_4_3A
TS22: ureter Absent
TS22: bladder Strong Regionally restricted Embryo_C2248_4_4B
TS22: urethra Strong Regionally restricted Embryo_C2248_4_4B
TS22: reproductive system Moderate Regionally restricted Embryo_C2248_4_4B
TS22: genital tubercle Moderate Regionally restricted Embryo_C2248_4_4B
TS22: gonad Absent
TS22: gland Strong Regionally restricted Embryo_C2248_4_3A Expression was strong in the endocrine system.
TS22: thyroid gland Strong Regionally restricted Embryo_C2248_4_4A
TS22: pituitary gland Weak Regionally restricted Embryo_C2248_4_4A
TS22: pancreas Strong Ubiquitous Embryo_C2248_4_3A
TS22: adrenal gland Moderate Regionally restricted Embryo_C2248_4_3B
TS22: cardiovascular system Absent
TS22: heart Absent
TS22: heart atrium Absent
TS22: heart ventricle Absent
TS22: blood vessel Absent
TS22: hemolymphoid system Strong Regionally restricted Embryo_C2248_4_4B Expression was strong in the immune system.
TS22: spleen primordium Strong Regionally restricted Embryo_C2248_4_2B
TS22: thymus primordium Strong Regionally restricted Embryo_C2248_4_4B
TS22: appendicular skeleton Strong Regionally restricted Embryo_C2248_4_2B Expression was strong in the skeleton (limbs, shoulder, hip).
TS22: musculature Absent
TS22: face Absent Expression was not detected in the face/soft tissues.
TS22: facial bone primordium Absent
TS22: cranium Moderate Regionally restricted Embryo_C2248_4_2A Expression was detected in the skull (base and vault).
TS22: axial skeleton Absent
TS22: tail Strong Regionally restricted Embryo_C2248_4_4A
TS22: forelimb Moderate Regionally restricted Embryo_C2248_4_1A
TS22: hindlimb Weak Regionally restricted Embryo_C2248_4_1A
TS22: integumental system Moderate Regionally restricted Embryo_C2248_4_1A
TS22: skin Moderate Regionally restricted Embryo_C2248_4_1A
TS22: hair Weak Regionally restricted Embryo_C2248_4_2B
TS22: vibrissa follicle Weak Regionally restricted Embryo_C2248_4_2B Expression was weak in whisker follicle.


Contributing Projects:
Mouse Genome Database (MGD), Gene Expression Database (GXD), Mouse Models of Human Cancer database (MMHCdb) (formerly Mouse Tumor Biology (MTB)), Gene Ontology (GO)
Citing These Resources
Funding Information
Warranty Disclaimer, Privacy Notice, Licensing, & Copyright
Send questions and comments to User Support.
last database update
04/14/2026
MGI 6.24
The Jackson Laboratory