About   Help   FAQ
Gene Expression Data
Assay Details
Assay
Reference: J:122989 Visel A, et al., GenePaint.org: an atlas of gene expression patterns in the mouse embryo. Nucleic Acids Res. 2004 Jan 1;32(Database issue):D552-6
Assay type: RNA in situ
MGI Accession ID: MGI:5422407
Gene symbol: Ache
Gene name: acetylcholinesterase
Probe: T50046
Probe preparation: Antisense labelled with digoxigenin RNA
Visualized with: Alkaline phosphatase
Assay notes: Cryosections of fresh frozen material were fixed in 4% paraformaldehyde for 20 min. before further processing. A tyramide-biotin/streptavidin amplification step was included in the in situ hybridization procedure. These data were downloaded from GenePaint.org on 1/30/12.
Results
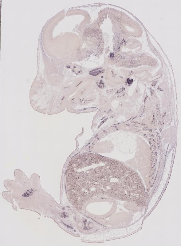
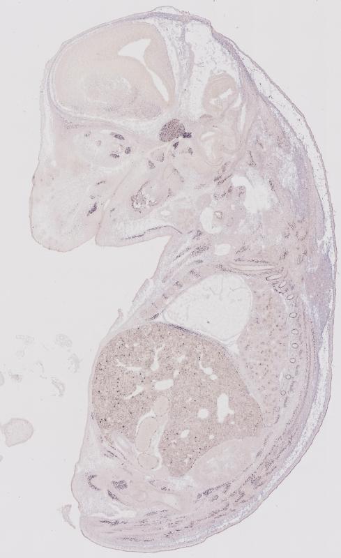
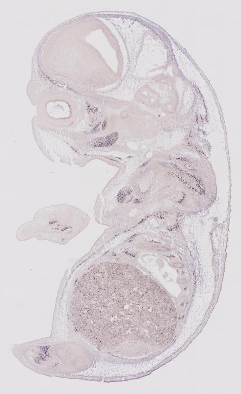
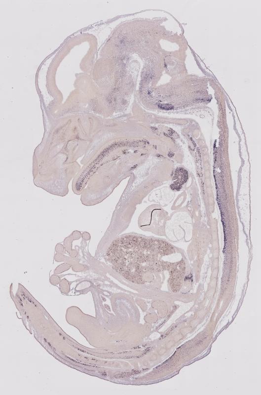
Specimen MH1712; Specimen C1826: embryonic day 14.5 (more )
Structure Level Pattern Image Note
TS22: nervous system Strong Regionally restricted Embryo_C1826_3_5B
TS22: central nervous system Strong Regionally restricted Embryo_C1826_3_5B
TS22: telencephalon Weak Regionally restricted Embryo_C1826_3_5C
TS22: cerebral cortex Weak Regionally restricted Embryo_C1826_3_5C
TS22: neocortex Absent
TS22: olfactory cortex Weak Regionally restricted Embryo_C1826_3_5C
TS22: main olfactory bulb Weak Regionally restricted Embryo_C1826_3_5C
TS22: piriform cortex Absent
TS22: hippocampus Absent
TS22: basal ganglia Weak Regionally restricted Embryo_C1826_3_6D
TS22: corpus striatum Absent Expression was not detected in the corpus striatum (lateral ganglionic eminence).
TS22: basal forebrain Weak Regionally restricted Embryo_C1826_3_5B
TS22: amygdala Weak Scattered Embryo_C1826_3_6D
TS22: telencephalon septum Absent
TS22: pallidum Absent Expression was not detected in the pallidum (medial ganglionic eminence).
TS22: diencephalon Weak Regionally restricted Embryo_C1826_3_5A
TS22: thalamus Weak Regionally restricted Embryo_C1826_3_5A
TS22: hypothalamus Weak Regionally restricted Embryo_C1826_3_5A
TS22: midbrain Weak Regionally restricted Embryo_C1826_3_5A
TS22: pretectum Weak Regionally restricted Embryo_C1826_3_5A
TS22: superior colliculus Absent
TS22: inferior colliculus Absent
TS22: midbrain tegmentum Weak Regionally restricted Embryo_C1826_3_5B
TS22: hindbrain Weak Regionally restricted Embryo_C1826_3_5B
TS22: cerebellum Absent
TS22: pons Weak Regionally restricted Embryo_C1826_3_5C
TS22: medulla oblongata Weak Regionally restricted Embryo_C1826_3_5B
TS22: spinal cord Strong Regionally restricted Embryo_C1826_3_5C
TS22: choroid plexus Absent
TS22: meninges Weak Regionally restricted Embryo_C1826_3_1C
TS22: peripheral nervous system Strong Regionally restricted Embryo_C1826_3_6C
TS22: cranial ganglion Moderate Regionally restricted Embryo_C1826_3_6C
TS22: dorsal root ganglion Strong Regionally restricted Embryo_C1826_3_6A
TS22: eye Weak Regionally restricted Embryo_C1826_3_1C
TS22: retina Weak Regionally restricted Embryo_C1826_3_1C
TS22: lens Weak Regionally restricted Embryo_C1826_3_1C
TS22: cornea Absent
TS22: optic nerve Absent
TS22: nose Weak Scattered Embryo_C1826_3_5B
TS22: olfactory epithelium Weak Scattered Embryo_C1826_3_5B
TS22: ear Weak Regionally restricted Embryo_C1826_3_3A
TS22: inner ear Weak Regionally restricted Embryo_C1826_3_3B
TS22: cochlea Absent
TS22: inner ear labyrinth Weak Regionally restricted Embryo_C1826_3_3A
TS22: middle ear Absent
TS22: alimentary system Strong Regionally restricted Embryo_C1826_3_4C Expression was strong in the digestive system.
TS22: intestine Weak Regionally restricted Embryo_C1826_3_5B
TS22: salivary gland Absent
TS22: tongue Strong Regionally restricted Embryo_C1826_3_4C
TS22: tooth Absent
TS22: palatal shelf Absent
TS22: esophagus Absent
TS22: stomach Weak Regionally restricted Embryo_C1826_3_3B
TS22: liver Weak Scattered Embryo_C1826_3_3B
TS22: respiratory system Absent
TS22: pharynx Absent
TS22: larynx Absent
TS22: trachea Absent
TS22: main bronchus Absent
TS22: lung Absent
TS22: urinary system Weak Regionally restricted Embryo_C1826_3_5B Expression was weak in the genito-urinary system.
TS22: metanephros Absent
TS22: ureter Absent
TS22: bladder Absent
TS22: urethra Absent
TS22: reproductive system Weak Regionally restricted Embryo_C1826_3_5B
TS22: genital tubercle Weak Regionally restricted Embryo_C1826_3_5B
TS22: gonad Absent
TS22: gland Moderate Regionally restricted Embryo_C1826_3_5B Expression was detected in the endocrine system.
TS22: thyroid gland Moderate Scattered Embryo_C1826_3_5B
TS22: pituitary gland Absent
TS22: pancreas Absent
TS22: adrenal gland Absent
TS22: cardiovascular system Absent
TS22: heart Absent
TS22: heart atrium Absent
TS22: heart ventricle Absent
TS22: blood vessel Absent
TS22: hemolymphoid system Moderate Regionally restricted Embryo_C1826_3_5B Expression was detected in the immune system.
TS22: spleen primordium Absent
TS22: thymus primordium Moderate Ubiquitous Embryo_C1826_3_5B
TS22: appendicular skeleton Absent Expression was not detected in the skeleton (limbs, shoulder, hip).
TS22: musculature Strong Regionally restricted Embryo_C1826_3_2C
TS22: face Absent Expression was not detected in the face/soft tissues.
TS22: facial bone primordium Absent
TS22: cranium Absent Expression was not detected in the skull (base and vault).
TS22: axial skeleton Absent
TS22: tail Weak Regionally restricted Embryo_C1826_3_5B
TS22: forelimb Weak Regionally restricted Embryo_C1826_3_1A
TS22: hindlimb Weak Regionally restricted Embryo_C1826_3_3B
TS22: integumental system Absent
TS22: skin Absent
TS22: hair Absent
TS22: vibrissa follicle Absent Expression was not detected in whisker follicle.


Contributing Projects:
Mouse Genome Database (MGD), Gene Expression Database (GXD), Mouse Models of Human Cancer database (MMHCdb) (formerly Mouse Tumor Biology (MTB)), Gene Ontology (GO)
Citing These Resources
Funding Information
Warranty Disclaimer, Privacy Notice, Licensing, & Copyright
Send questions and comments to User Support.
last database update
04/14/2026
MGI 6.24
The Jackson Laboratory