About   Help   FAQ
Gene Expression Data
Assay Details
Assay
Reference: J:122989 Visel A, et al., GenePaint.org: an atlas of gene expression patterns in the mouse embryo. Nucleic Acids Res. 2004 Jan 1;32(Database issue):D552-6
Assay type: RNA in situ
MGI Accession ID: MGI:5422103
Gene symbol: Atp6v0c
Gene name: ATPase, H+ transporting, lysosomal V0 subunit C
Probe: T35961
Probe preparation: Antisense labelled with digoxigenin RNA
Visualized with: Alkaline phosphatase
Assay notes: Cryosections of fresh frozen material were fixed in 4% paraformaldehyde for 20 min. before further processing. A tyramide-biotin/streptavidin amplification step was included in the in situ hybridization procedure. These data were downloaded from GenePaint.org on 1/30/12.
Results
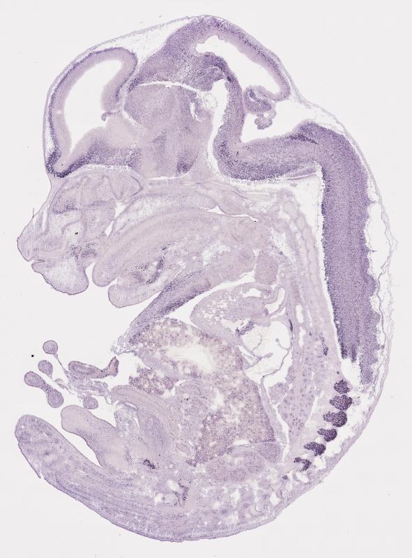
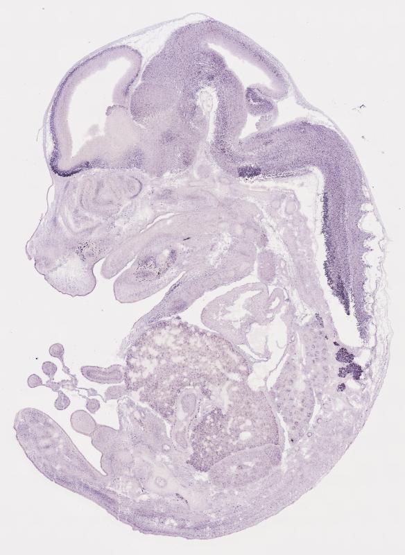
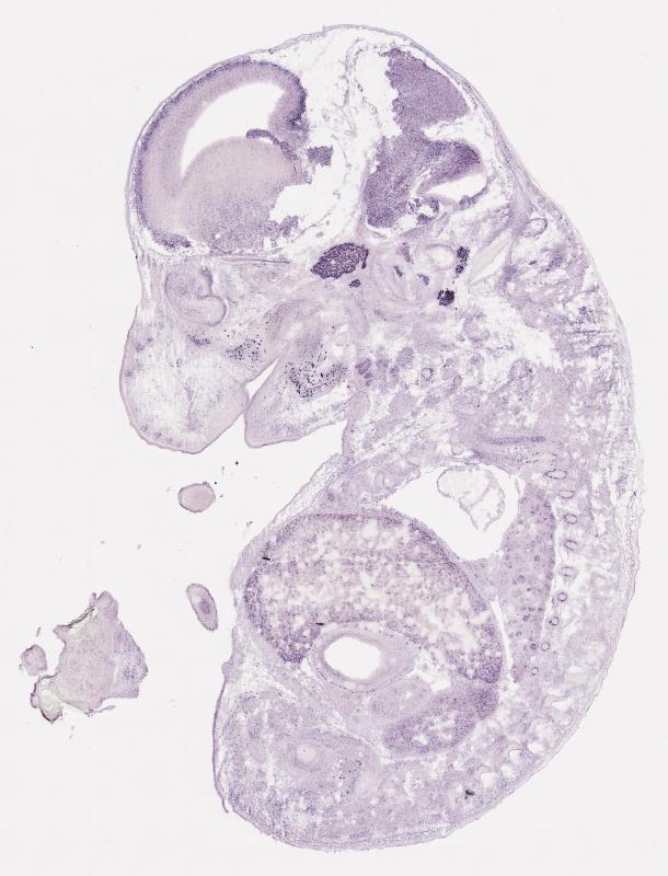
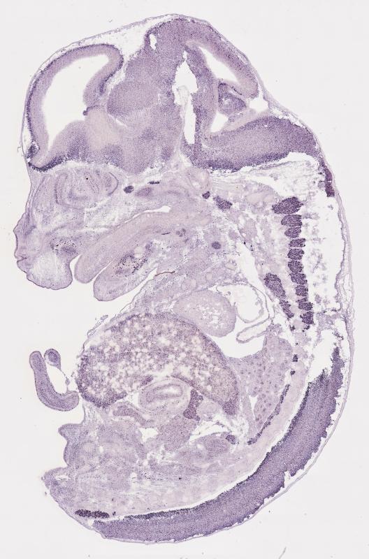
Specimen EB1962; Specimen B811: embryonic day 14.5 (more )
Structure Level Pattern Image Note
TS22: nervous system Strong Regionally restricted Embryo_B811_3_4B
TS22: central nervous system Strong Regionally restricted Embryo_B811_3_4B
TS22: telencephalon Strong Regionally restricted Embryo_B811_3_4B
TS22: cerebral cortex Strong Regionally restricted Embryo_B811_3_4B
TS22: neocortex Strong Regionally restricted Embryo_B811_3_3A
TS22: olfactory cortex Strong Regionally restricted Embryo_B811_3_4B
TS22: main olfactory bulb Strong Regionally restricted Embryo_B811_3_4B
TS22: piriform cortex Moderate Ubiquitous Embryo_B811_3_1D
TS22: hippocampus Strong Regionally restricted Embryo_B811_3_1D
TS22: basal ganglia Strong Regionally restricted Embryo_B811_3_2D
TS22: corpus striatum Moderate Ubiquitous Embryo_B811_3_1D Expression was detected in the corpus striatum (lateral ganglionic eminence).
TS22: basal forebrain Strong Regionally restricted Embryo_B811_3_2D
TS22: amygdala Moderate Ubiquitous Embryo_B811_3_1D
TS22: telencephalon septum Moderate Regionally restricted Embryo_B811_3_4A
TS22: pallidum Absent Expression was not detected in the pallidum (medial ganglionic eminence).
TS22: diencephalon Moderate Ubiquitous Embryo_B811_3_2D
TS22: thalamus Moderate Ubiquitous Embryo_B811_3_2D
TS22: hypothalamus Moderate Ubiquitous Embryo_B811_3_2D
TS22: midbrain Strong Ubiquitous Embryo_B811_3_4B
TS22: pretectum Moderate Ubiquitous Embryo_B811_3_4B
TS22: superior colliculus Strong Regionally restricted Embryo_B811_3_3D
TS22: inferior colliculus Moderate Regionally restricted Embryo_B811_3_3D
TS22: midbrain tegmentum Strong Ubiquitous Embryo_B811_3_4B
TS22: hindbrain Strong Regionally restricted Embryo_B811_3_4B
TS22: cerebellum Moderate Regionally restricted Embryo_B811_3_4D
TS22: pons Strong Regionally restricted Embryo_B811_3_4A
TS22: medulla oblongata Strong Regionally restricted Embryo_B811_3_4B
TS22: spinal cord Strong Regionally restricted Embryo_B811_3_3D
TS22: choroid plexus Moderate Regionally restricted Embryo_B811_3_2D
TS22: meninges Absent
TS22: peripheral nervous system Strong Ubiquitous Embryo_B811_3_2C
TS22: cranial ganglion Strong Ubiquitous Embryo_B811_3_2C
TS22: dorsal root ganglion Strong Ubiquitous Embryo_B811_3_2D
TS22: eye Strong Regionally restricted Embryo_B811_3_1A
TS22: retina Strong Regionally restricted Embryo_B811_3_1A
TS22: lens Moderate Regionally restricted Embryo_B811_3_6D
TS22: cornea Absent
TS22: optic nerve Absent
TS22: nose Weak Regionally restricted Embryo_B811_3_3B
TS22: olfactory epithelium Weak Regionally restricted Embryo_B811_3_3B
TS22: ear Moderate Regionally restricted Embryo_B811_3_2D
TS22: inner ear Moderate Regionally restricted Embryo_B811_3_2D
TS22: cochlea Moderate Regionally restricted Embryo_B811_3_2D
TS22: inner ear labyrinth Moderate Regionally restricted Embryo_B811_3_2B
TS22: middle ear Absent
TS22: alimentary system Strong Regionally restricted Embryo_B811_3_4A Expression was strong in the digestive system.
TS22: intestine Weak Regionally restricted Embryo_B811_3_4B
TS22: salivary gland Moderate Regionally restricted Embryo_B811_3_5B
TS22: tongue Strong Regionally restricted Embryo_B811_3_4A
TS22: tooth Strong Scattered Embryo_B811_3_4B
TS22: palatal shelf Absent
TS22: esophagus Absent
TS22: stomach Absent
TS22: liver Moderate Regionally restricted Embryo_B811_3_2D
TS22: respiratory system Moderate Regionally restricted Embryo_B811_3_2D
TS22: pharynx Absent
TS22: larynx Absent
TS22: trachea Absent
TS22: main bronchus Absent
TS22: lung Moderate Regionally restricted Embryo_B811_3_2D
TS22: urinary system Strong Regionally restricted Embryo_B811_3_4C Expression was strong in the genito-urinary system.
TS22: metanephros Weak Regionally restricted Embryo_B811_3_2A
TS22: ureter Strong Scattered Embryo_B811_3_4C
TS22: bladder Absent
TS22: urethra Absent
TS22: reproductive system Weak Regionally restricted Embryo_B811_3_2D
TS22: genital tubercle Absent
TS22: gonad Weak Regionally restricted Embryo_B811_3_2D
TS22: gland Weak Regionally restricted Embryo_B811_3_2B Expression was weak in the endocrine system.
TS22: thyroid gland Absent
TS22: pituitary gland Absent
TS22: pancreas Weak Ubiquitous Embryo_B811_3_2D
TS22: adrenal gland Weak Ubiquitous Embryo_B811_3_2B
TS22: cardiovascular system Absent
TS22: heart Absent
TS22: heart atrium Absent
TS22: heart ventricle Absent
TS22: blood vessel Absent
TS22: hemolymphoid system Absent Expression was not detected in the immune system.
TS22: spleen primordium Absent
TS22: thymus primordium Absent
TS22: appendicular skeleton Strong Regionally restricted Embryo_B811_3_1A Expression was strong in the skeleton (limbs, shoulder, hip).
TS22: musculature Absent
TS22: face Absent Expression was not detected in the face/soft tissues.
TS22: facial bone primordium Absent
TS22: cranium Moderate Regionally restricted Embryo_B811_3_1C Expression was detected in the skull (base and vault).
TS22: axial skeleton Weak Regionally restricted Embryo_B811_3_2B
TS22: tail Weak Regionally restricted Embryo_B811_3_4B
TS22: forelimb Absent
TS22: hindlimb Moderate Regionally restricted Embryo_B811_3_6D
TS22: integumental system Weak Regionally restricted Embryo_B811_3_2A
TS22: skin Absent
TS22: hair Moderate Regionally restricted Embryo_B811_3_2A
TS22: vibrissa follicle Moderate Regionally restricted Embryo_B811_3_2A Expression was detected in whisker follicle.


Contributing Projects:
Mouse Genome Database (MGD), Gene Expression Database (GXD), Mouse Models of Human Cancer database (MMHCdb) (formerly Mouse Tumor Biology (MTB)), Gene Ontology (GO)
Citing These Resources
Funding Information
Warranty Disclaimer, Privacy Notice, Licensing, & Copyright
Send questions and comments to User Support.
last database update
01/28/2026
MGI 6.24
The Jackson Laboratory