About   Help   FAQ
Gene Expression Data
Assay Details
Assay
Reference: J:122989 Visel A, et al., GenePaint.org: an atlas of gene expression patterns in the mouse embryo. Nucleic Acids Res. 2004 Jan 1;32(Database issue):D552-6
Assay type: RNA in situ
MGI Accession ID: MGI:5422026
Gene symbol: Ehmt2
Gene name: euchromatic histone lysine N-methyltransferase 2
Probe: T3217
Probe preparation: Antisense labelled with digoxigenin RNA
Visualized with: Alkaline phosphatase
Assay notes: Cryosections of fresh frozen material were fixed in 4% paraformaldehyde for 20 min. before further processing. A tyramide-biotin/streptavidin amplification step was included in the in situ hybridization procedure. These data were downloaded from GenePaint.org on 1/30/12.
Results
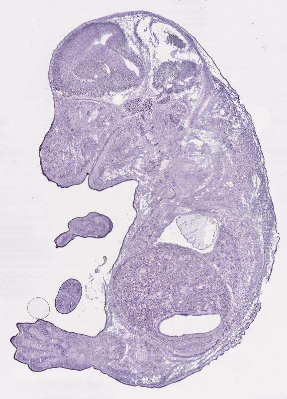
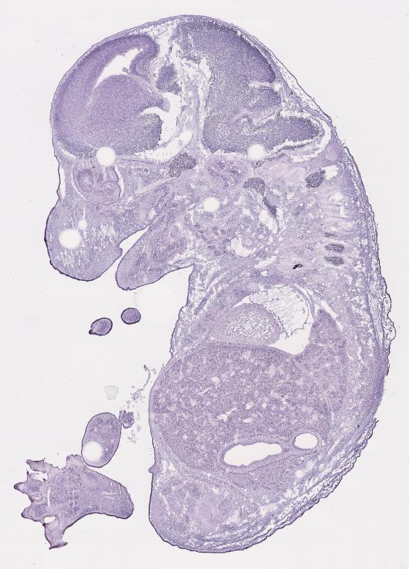
Specimen EN341; Specimen N263: embryonic day 14.5 (more )
Structure Level Pattern Image Note
TS22: nervous system Strong Regionally restricted Embryo_N263_5_3A
TS22: central nervous system Strong Regionally restricted Embryo_N263_5_4B
TS22: telencephalon Moderate Regionally restricted Embryo_N263_5_3B
TS22: cerebral cortex Moderate Regionally restricted Embryo_N263_5_3B
TS22: neocortex Moderate Regionally restricted Embryo_N263_5_3B
TS22: olfactory cortex Moderate Regionally restricted Embryo_N263_5_3B
TS22: main olfactory bulb Moderate Regionally restricted Embryo_N263_5_3C
TS22: piriform cortex Absent
TS22: hippocampus Moderate Regionally restricted Embryo_N263_5_3B
TS22: basal ganglia Absent
TS22: corpus striatum Absent Expression was not detected in the corpus striatum (lateral ganglionic eminence).
TS22: basal forebrain Absent
TS22: amygdala Absent
TS22: telencephalon septum Absent
TS22: pallidum Absent Expression was not detected in the pallidum (medial ganglionic eminence).
TS22: diencephalon Moderate Regionally restricted Embryo_N263_5_4A
TS22: thalamus Moderate Regionally restricted Embryo_N263_5_4A
TS22: hypothalamus Moderate Regionally restricted Embryo_N263_5_4A
TS22: midbrain Strong Regionally restricted Embryo_N263_5_4B
TS22: pretectum Moderate Ubiquitous Embryo_N263_5_3A
TS22: superior colliculus Strong Regionally restricted Embryo_N263_5_4B
TS22: inferior colliculus Strong Regionally restricted Embryo_N263_5_4B
TS22: midbrain tegmentum Strong Regionally restricted Embryo_N263_5_4B
TS22: hindbrain Moderate Ubiquitous Embryo_N263_5_4B
TS22: cerebellum Moderate Ubiquitous Embryo_N263_5_4B
TS22: pons Moderate Ubiquitous Embryo_N263_5_4B
TS22: medulla oblongata Moderate Ubiquitous Embryo_N263_5_4B
TS22: spinal cord Moderate Ubiquitous Embryo_N263_5_4B
TS22: choroid plexus Absent
TS22: meninges Absent
TS22: peripheral nervous system Strong Ubiquitous Embryo_N263_5_3A
TS22: cranial ganglion Strong Ubiquitous Embryo_N263_5_5C
TS22: dorsal root ganglion Strong Ubiquitous Embryo_N263_5_3A
TS22: eye Strong Regionally restricted Embryo_N263_5_1B
TS22: retina Strong Regionally restricted Embryo_N263_5_1B
TS22: lens Strong Regionally restricted Embryo_N263_5_1B
TS22: cornea Absent
TS22: optic nerve Moderate Ubiquitous Embryo_N263_5_2D
TS22: nose Moderate Regionally restricted Embryo_N263_5_3A
TS22: olfactory epithelium Moderate Regionally restricted Embryo_N263_5_3A
TS22: ear Strong Regionally restricted Embryo_N263_5_2C
TS22: inner ear Strong Regionally restricted Embryo_N263_5_2C
TS22: cochlea Moderate Regionally restricted Embryo_N263_5_3A
TS22: inner ear labyrinth Strong Regionally restricted Embryo_N263_5_2C
TS22: middle ear Moderate Regionally restricted Embryo_N263_5_1A
TS22: alimentary system Strong Regionally restricted Embryo_N263_5_5B Expression was strong in the digestive system.
TS22: intestine Absent
TS22: salivary gland Strong Ubiquitous Embryo_N263_5_5B
TS22: tongue Weak Regionally restricted Embryo_N263_5_4C
TS22: tooth Absent
TS22: palatal shelf Moderate Regionally restricted Embryo_N263_5_4A
TS22: esophagus Moderate Regionally restricted Embryo_N263_5_4A
TS22: stomach Moderate Regionally restricted Embryo_N263_5_2B
TS22: liver Moderate Ubiquitous Embryo_N263_5_1B
TS22: respiratory system Moderate Regionally restricted Embryo_N263_5_3A
TS22: pharynx Moderate Regionally restricted Embryo_N263_5_4A
TS22: larynx Absent
TS22: trachea Weak Regionally restricted Embryo_N263_5_4A
TS22: main bronchus Weak Regionally restricted Embryo_N263_5_3B
TS22: lung Moderate Ubiquitous Embryo_N263_5_3A
TS22: urinary system Weak Regionally restricted Embryo_N263_5_4B Expression was weak in the genito-urinary system.
TS22: metanephros Weak Ubiquitous Embryo_N263_5_5B
TS22: ureter Absent
TS22: bladder Absent
TS22: urethra Weak Regionally restricted Embryo_N263_5_4B
TS22: reproductive system Absent
TS22: genital tubercle Absent
TS22: gonad Absent
TS22: gland Weak Regionally restricted Embryo_N263_5_4B Expression was weak in the endocrine system.
TS22: thyroid gland Weak Ubiquitous Embryo_N263_5_4C
TS22: pituitary gland Weak Ubiquitous Embryo_N263_5_4B
TS22: pancreas Weak Ubiquitous Embryo_N263_5_3B
TS22: adrenal gland Absent
TS22: cardiovascular system Strong Regionally restricted Embryo_N263_5_4B
TS22: heart Strong Regionally restricted Embryo_N263_5_4B
TS22: heart atrium Strong Regionally restricted Embryo_N263_5_4B
TS22: heart ventricle Absent
TS22: blood vessel Absent
TS22: hemolymphoid system Moderate Regionally restricted Embryo_N263_5_3C Expression was detected in the immune system.
TS22: spleen primordium Absent
TS22: thymus primordium Moderate Ubiquitous Embryo_N263_5_3C
TS22: appendicular skeleton Moderate Regionally restricted Embryo_N263_5_1C Expression was detected in the skeleton (limbs, shoulder, hip).
TS22: musculature Weak Ubiquitous Embryo_N263_5_1B
TS22: face Absent Expression was not detected in the face/soft tissues.
TS22: facial bone primordium Absent
TS22: cranium Absent Expression was not detected in the skull (base and vault).
TS22: axial skeleton Absent
TS22: tail Moderate Regionally restricted Embryo_N263_5_4C
TS22: forelimb Weak Ubiquitous Embryo_N263_5_6D
TS22: hindlimb Weak Ubiquitous Embryo_N263_5_6D
TS22: integumental system Weak Regionally restricted Embryo_N263_5_5D
TS22: skin Absent
TS22: hair Weak Regionally restricted Embryo_N263_5_5D
TS22: vibrissa follicle Weak Regionally restricted Embryo_N263_5_5D Expression was weak in whisker follicle.


Contributing Projects:
Mouse Genome Database (MGD), Gene Expression Database (GXD), Mouse Models of Human Cancer database (MMHCdb) (formerly Mouse Tumor Biology (MTB)), Gene Ontology (GO)
Citing These Resources
Funding Information
Warranty Disclaimer, Privacy Notice, Licensing, & Copyright
Send questions and comments to User Support.
last database update
04/14/2026
MGI 6.24
The Jackson Laboratory