About   Help   FAQ
Gene Expression Data
Assay Details
Assay
Reference: J:122989 Visel A, et al., GenePaint.org: an atlas of gene expression patterns in the mouse embryo. Nucleic Acids Res. 2004 Jan 1;32(Database issue):D552-6
Assay type: RNA in situ
MGI Accession ID: MGI:5422017
Gene symbol: Atp5pb
Gene name: ATP synthase peripheral stalk-membrane subunit b
Probe: T31835
Probe preparation: Antisense labelled with digoxigenin RNA
Visualized with: Alkaline phosphatase
Assay notes: Cryosections of fresh frozen material were fixed in 4% paraformaldehyde for 20 min. before further processing. A tyramide-biotin/streptavidin amplification step was included in the in situ hybridization procedure. These data were downloaded from GenePaint.org on 1/30/12.
Results
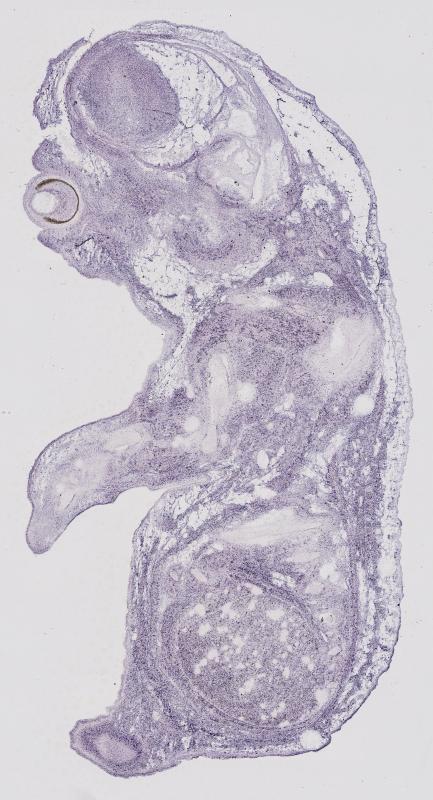
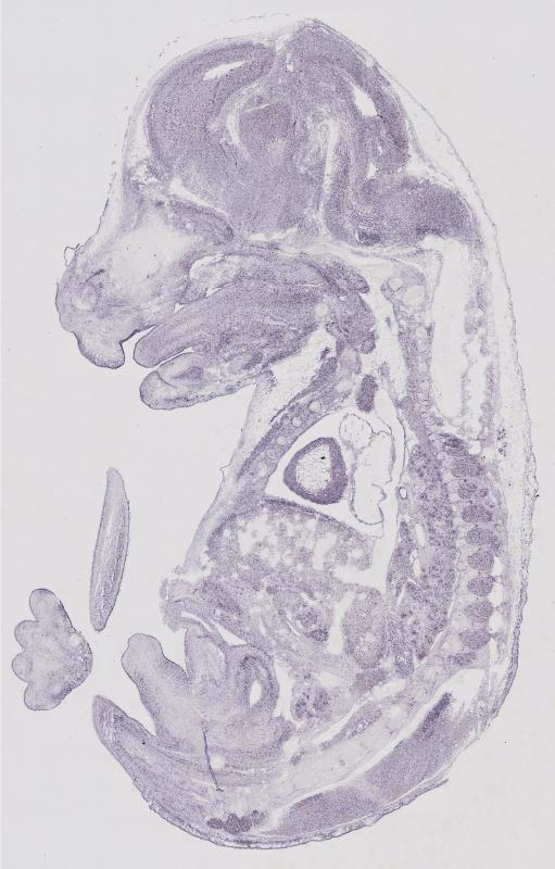
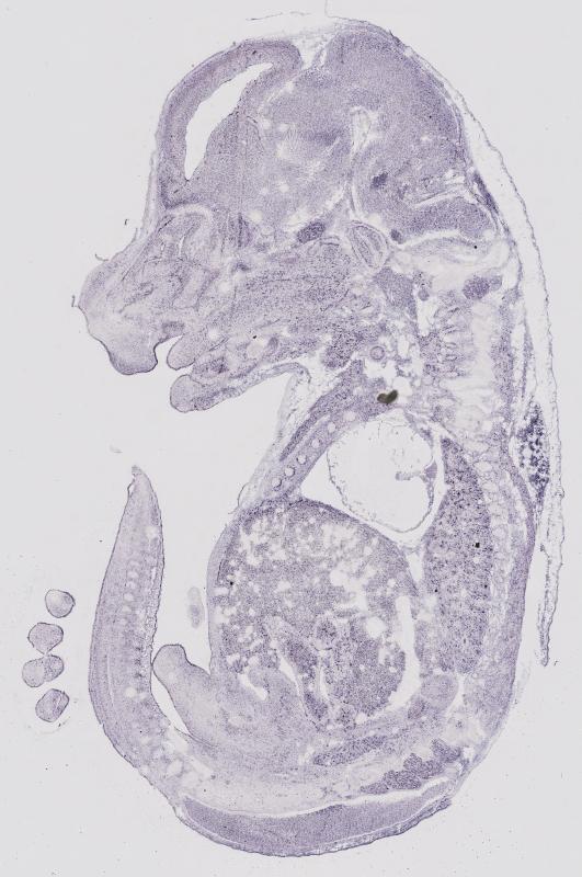
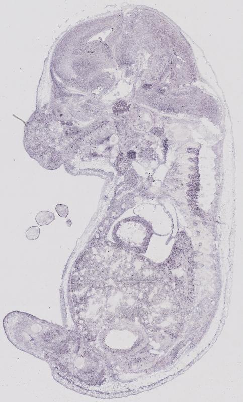
Specimen EN2088; Specimen N895: embryonic day 14.5 (more )
Structure Level Pattern Image Note
TS22: nervous system Strong Regionally restricted Embryo_N895_4_3B
TS22: central nervous system Strong Regionally restricted Embryo_N895_4_3B
TS22: telencephalon Strong Regionally restricted Embryo_N895_4_3D
TS22: cerebral cortex Strong Regionally restricted Embryo_N895_4_3D
TS22: neocortex Weak Regionally restricted Embryo_N895_4_3D
TS22: olfactory cortex Strong Regionally restricted Embryo_N895_4_3D
TS22: main olfactory bulb Strong Regionally restricted Embryo_N895_4_3D
TS22: piriform cortex Absent
TS22: hippocampus Weak Regionally restricted Embryo_N895_4_3D
TS22: basal ganglia Absent
TS22: corpus striatum Absent Expression was not detected in the corpus striatum (lateral ganglionic eminence).
TS22: basal forebrain Absent
TS22: amygdala Absent
TS22: telencephalon septum Absent
TS22: pallidum Absent Expression was not detected in the pallidum (medial ganglionic eminence).
TS22: diencephalon Absent
TS22: thalamus Absent
TS22: hypothalamus Absent
TS22: midbrain Strong Regionally restricted Embryo_N895_4_3D
TS22: pretectum Absent
TS22: superior colliculus Absent
TS22: inferior colliculus Moderate Regionally restricted Embryo_N895_4_3B
TS22: midbrain tegmentum Strong Regionally restricted Embryo_N895_4_3D
TS22: hindbrain Strong Regionally restricted Embryo_N895_4_3B
TS22: cerebellum Absent
TS22: pons Absent
TS22: medulla oblongata Strong Regionally restricted Embryo_N895_4_3A
TS22: spinal cord Strong Regionally restricted Embryo_N895_4_3B
TS22: choroid plexus Strong Scattered Embryo_N895_4_3C
TS22: meninges Absent
TS22: peripheral nervous system Strong Ubiquitous Embryo_N895_4_2D
TS22: cranial ganglion Moderate Ubiquitous Embryo_N895_4_3A
TS22: dorsal root ganglion Strong Ubiquitous Embryo_N895_4_2D
TS22: eye Moderate Regionally restricted Embryo_N895_4_1D
TS22: retina Moderate Regionally restricted Embryo_N895_4_1D
TS22: lens Absent
TS22: cornea Absent
TS22: optic nerve Absent
TS22: nose Weak Regionally restricted Embryo_N895_4_3B
TS22: olfactory epithelium Weak Regionally restricted Embryo_N895_4_3B
TS22: ear Moderate Regionally restricted Embryo_N895_4_1A
TS22: inner ear Absent
TS22: cochlea Absent
TS22: inner ear labyrinth Absent
TS22: middle ear Moderate Regionally restricted Embryo_N895_4_1A
TS22: alimentary system Strong Regionally restricted Embryo_N895_4_6A Expression was strong in the digestive system.
TS22: intestine Strong Regionally restricted Embryo_N895_4_4C
TS22: salivary gland Strong Regionally restricted Embryo_N895_4_6A
TS22: tongue Weak Ubiquitous Embryo_N895_4_4B
TS22: tooth Strong Ubiquitous Embryo_N895_4_4C
TS22: palatal shelf Weak Ubiquitous Embryo_N895_4_4B
TS22: esophagus Weak Regionally restricted Embryo_N895_4_4C
TS22: stomach Absent
TS22: liver Moderate Ubiquitous Embryo_N895_4_5B
TS22: respiratory system Strong Regionally restricted Embryo_N895_4_5B
TS22: pharynx Absent
TS22: larynx Absent
TS22: trachea Absent
TS22: main bronchus Absent
TS22: lung Strong Ubiquitous Embryo_N895_4_5B
TS22: urinary system Moderate Regionally restricted Embryo_N895_4_4D Expression was detected in the genito-urinary system.
TS22: metanephros Moderate Ubiquitous Embryo_N895_4_3B
TS22: ureter Absent
TS22: bladder Moderate Regionally restricted Embryo_N895_4_4D
TS22: urethra Absent
TS22: reproductive system Moderate Regionally restricted Embryo_N895_4_4D
TS22: genital tubercle Moderate Regionally restricted Embryo_N895_4_4D
TS22: gonad Absent
TS22: gland Moderate Regionally restricted Embryo_N895_4_3B Expression was detected in the endocrine system.
TS22: thyroid gland Moderate Regionally restricted Embryo_N895_4_4D
TS22: pituitary gland Absent
TS22: pancreas Moderate Ubiquitous Embryo_N895_4_3B
TS22: adrenal gland Absent
TS22: cardiovascular system Strong Regionally restricted Embryo_N895_4_4C
TS22: heart Strong Regionally restricted Embryo_N895_4_4C
TS22: heart atrium Absent
TS22: heart ventricle Strong Ubiquitous Embryo_N895_4_4C
TS22: blood vessel Absent
TS22: hemolymphoid system Strong Regionally restricted Embryo_N895_4_4C Expression was strong in the immune system.
TS22: spleen primordium Absent
TS22: thymus primordium Strong Ubiquitous Embryo_N895_4_4C
TS22: appendicular skeleton Absent Expression was not detected in the skeleton (limbs, shoulder, hip).
TS22: musculature Strong Regionally restricted Embryo_N895_4_1B
TS22: face Absent Expression was not detected in the face/soft tissues.
TS22: facial bone primordium Absent
TS22: cranium Strong Regionally restricted Embryo_N895_4_2A Expression was strong in the skull (base and vault).
TS22: axial skeleton Absent
TS22: tail Strong Regionally restricted Embryo_N895_4_5C
TS22: forelimb Moderate Regionally restricted Embryo_N895_4_1B
TS22: hindlimb Moderate Regionally restricted Embryo_N895_4_1B
TS22: integumental system Absent
TS22: skin Absent
TS22: hair Absent
TS22: vibrissa follicle Absent Expression was not detected in whisker follicle.


Contributing Projects:
Mouse Genome Database (MGD), Gene Expression Database (GXD), Mouse Models of Human Cancer database (MMHCdb) (formerly Mouse Tumor Biology (MTB)), Gene Ontology (GO)
Citing These Resources
Funding Information
Warranty Disclaimer, Privacy Notice, Licensing, & Copyright
Send questions and comments to User Support.
last database update
01/28/2026
MGI 6.24
The Jackson Laboratory