About   Help   FAQ
Gene Expression Data
Assay Details
Assay
Reference: J:122989 Visel A, et al., GenePaint.org: an atlas of gene expression patterns in the mouse embryo. Nucleic Acids Res. 2004 Jan 1;32(Database issue):D552-6
Assay type: RNA in situ
MGI Accession ID: MGI:5421994
Gene symbol: Lars1
Gene name: leucyl-tRNA synthetase 1
Probe: T30722
Probe preparation: Antisense labelled with digoxigenin RNA
Visualized with: Alkaline phosphatase
Assay notes: Cryosections of fresh frozen material were fixed in 4% paraformaldehyde for 20 min. before further processing. A tyramide-biotin/streptavidin amplification step was included in the in situ hybridization procedure. These data were downloaded from GenePaint.org on 1/30/12.
Results
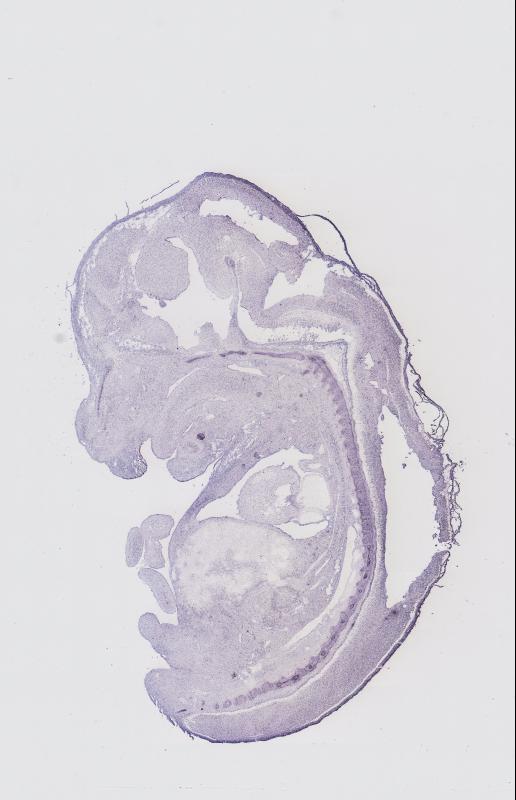
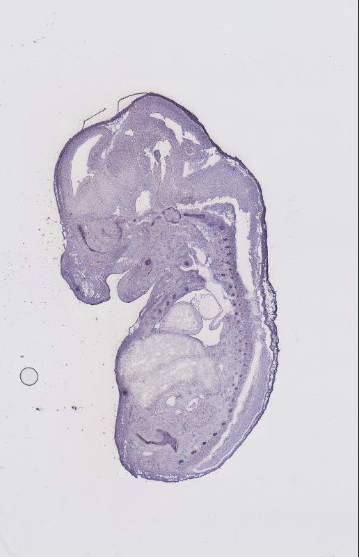
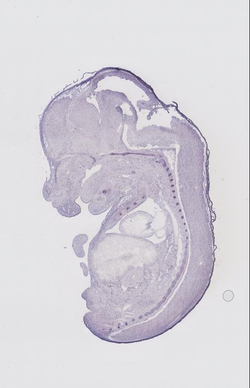
Specimen EN1901; Specimen N847: embryonic day 14.5 (more )
Structure Level Pattern Image Note
TS22: nervous system Strong Regionally restricted Embryo_N847_1_1C
TS22: central nervous system Strong Regionally restricted Embryo_N847_1_1C
TS22: telencephalon Moderate Regionally restricted Embryo_N847_1_3B
TS22: cerebral cortex Moderate Regionally restricted Embryo_N847_1_3B
TS22: neocortex Moderate Regionally restricted Embryo_N847_1_3B
TS22: olfactory cortex Moderate Regionally restricted Embryo_N847_1_3B
TS22: main olfactory bulb Moderate Regionally restricted Embryo_N847_1_3B
TS22: piriform cortex Absent
TS22: hippocampus Moderate Regionally restricted Embryo_N847_1_3B
TS22: basal ganglia Weak Regionally restricted Embryo_N847_1_2A
TS22: corpus striatum Weak Regionally restricted Embryo_N847_1_2A Expression was weak in the corpus striatum (lateral ganglionic eminence).
TS22: basal forebrain Absent
TS22: amygdala Absent
TS22: telencephalon septum Absent
TS22: pallidum Absent Expression was not detected in the pallidum (medial ganglionic eminence).
TS22: diencephalon Weak Regionally restricted Embryo_N847_1_2D
TS22: thalamus Weak Ubiquitous Embryo_N847_1_2D
TS22: hypothalamus Absent
TS22: midbrain Moderate Regionally restricted Embryo_N847_1_2D
TS22: pretectum Weak Ubiquitous Embryo_N847_1_2D
TS22: superior colliculus Moderate Regionally restricted Embryo_N847_1_2D
TS22: inferior colliculus Moderate Regionally restricted Embryo_N847_1_2D
TS22: midbrain tegmentum Moderate Regionally restricted Embryo_N847_1_2D
TS22: hindbrain Moderate Regionally restricted Embryo_N847_1_2D
TS22: cerebellum Moderate Regionally restricted Embryo_N847_1_2D
TS22: pons Moderate Regionally restricted Embryo_N847_1_2D
TS22: medulla oblongata Moderate Regionally restricted Embryo_N847_1_2D
TS22: spinal cord Moderate Regionally restricted Embryo_N847_1_3B
TS22: choroid plexus Absent
TS22: meninges Strong Regionally restricted Embryo_N847_1_1C
TS22: peripheral nervous system Moderate Ubiquitous Embryo_N847_1_2D
TS22: cranial ganglion Moderate Ubiquitous Embryo_N847_1_2A
TS22: dorsal root ganglion Moderate Ubiquitous Embryo_N847_1_2D
TS22: eye Strong Regionally restricted Embryo_N847_1_3B
TS22: retina Moderate Regionally restricted Embryo_N847_1_1B
TS22: lens Moderate Regionally restricted Embryo_N847_1_1A
TS22: cornea Absent
TS22: optic nerve Strong Regionally restricted Embryo_N847_1_3B
TS22: nose Absent
TS22: olfactory epithelium Absent
TS22: ear Moderate Regionally restricted Embryo_N847_1_2B
TS22: inner ear Moderate Regionally restricted Embryo_N847_1_2B
TS22: cochlea Moderate Regionally restricted Embryo_N847_1_2D
TS22: inner ear labyrinth Moderate Regionally restricted Embryo_N847_1_2B
TS22: middle ear Absent
TS22: alimentary system Moderate Regionally restricted Embryo_N847_1_5B Expression was detected in the digestive system.
TS22: intestine Moderate Regionally restricted Embryo_N847_1_5B
TS22: salivary gland Absent
TS22: tongue Absent
TS22: tooth Absent
TS22: palatal shelf Absent
TS22: esophagus Absent
TS22: stomach Moderate Regionally restricted Embryo_N847_1_2B
TS22: liver Weak Regionally restricted Embryo_N847_1_3D
TS22: respiratory system Moderate Regionally restricted Embryo_N847_1_3D
TS22: pharynx Moderate Regionally restricted Embryo_N847_1_3D
TS22: larynx Absent
TS22: trachea Absent
TS22: main bronchus Absent
TS22: lung Moderate Regionally restricted Embryo_N847_1_3B
TS22: urinary system Moderate Regionally restricted Embryo_N847_1_3D Expression was detected in the genito-urinary system.
TS22: metanephros Weak Regionally restricted Embryo_N847_1_3A
TS22: ureter Weak Regionally restricted Embryo_N847_1_4A
TS22: bladder Weak Regionally restricted Embryo_N847_1_4A
TS22: urethra Absent
TS22: reproductive system Moderate Regionally restricted Embryo_N847_1_3D
TS22: genital tubercle Moderate Regionally restricted Embryo_N847_1_3D
TS22: gonad Weak Regionally restricted Embryo_N847_1_2B
TS22: gland Absent Expression was not detected in the endocrine system.
TS22: thyroid gland Absent
TS22: pituitary gland Absent
TS22: pancreas Absent
TS22: adrenal gland Absent
TS22: cardiovascular system Moderate Regionally restricted Embryo_N847_1_3D
TS22: heart Moderate Regionally restricted Embryo_N847_1_3D
TS22: heart atrium Moderate Regionally restricted Embryo_N847_1_3D
TS22: heart ventricle Absent
TS22: blood vessel Absent
TS22: hemolymphoid system Absent Expression was not detected in the immune system.
TS22: spleen primordium Absent
TS22: thymus primordium Absent
TS22: appendicular skeleton Moderate Regionally restricted Embryo_N847_1_1D Expression was detected in the skeleton (limbs, shoulder, hip).
TS22: musculature Absent
TS22: face Absent Expression was not detected in the face/soft tissues.
TS22: facial bone primordium Strong Regionally restricted Embryo_N847_1_3A
TS22: cranium Strong Regionally restricted Embryo_N847_1_1D Expression was strong in the skull (base and vault).
TS22: axial skeleton Strong Regionally restricted Embryo_N847_1_3C
TS22: tail Strong Regionally restricted Embryo_N847_1_5B
TS22: forelimb Strong Regionally restricted Embryo_N847_1_1A
TS22: hindlimb Strong Regionally restricted Embryo_N847_1_1B
TS22: integumental system Strong Regionally restricted Embryo_N847_1_1B
TS22: skin Strong Regionally restricted Embryo_N847_1_1B
TS22: hair Absent
TS22: vibrissa follicle Absent Expression was not detected in whisker follicle.


Contributing Projects:
Mouse Genome Database (MGD), Gene Expression Database (GXD), Mouse Models of Human Cancer database (MMHCdb) (formerly Mouse Tumor Biology (MTB)), Gene Ontology (GO)
Citing These Resources
Funding Information
Warranty Disclaimer, Privacy Notice, Licensing, & Copyright
Send questions and comments to User Support.
last database update
04/14/2026
MGI 6.24
The Jackson Laboratory